Quantitative Analysis of Intracranial Atherosclerosis and Its Correlation with Ischemic Cerebrovascular Disease and Prognosis.

IF 2.8 3区 医学 Q3 NEUROSCIENCES
Jingjing Cai, Sizhan Chen, Shiyu Hu, Lijie Ren, Gelin Xu
{"title":"Quantitative Analysis of Intracranial Atherosclerosis and Its Correlation with Ischemic Cerebrovascular Disease and Prognosis.","authors":"Jingjing Cai, Sizhan Chen, Shiyu Hu, Lijie Ren, Gelin Xu","doi":"10.3390/brainsci15091009","DOIUrl":null,"url":null,"abstract":"<p><p><i><b>Background:</b></i> Intracranial atherosclerosis disease (ICAD) represents a significant etiology of stroke. This study aimed to evaluate correlations between intracranial atherosclerotic burden and risk of ischemic events. <i><b>Methods</b></i>: In this prospective observational study, all enrolled patients underwent High-Resolution Magnetic Resonance vessel wall Imaging (HR MR-VMI) within two weeks of onset, or of enrollment. Baseline assessments included modified American Heart Association plaque type, stenosis degree, intra-plaque hemorrhage (IPH), plaque thickness, plaque length, and vessel wall enhancement. Modified Rankin Scale (mRS) was followed with one-year treatment in adherence to the guidelines. Comparative analyses were conducted between symptomatic and asymptomatic groups, culprit versus non-culprit plaques, and favorable versus poor prognosis groups. <i><b>Results:</b></i> The study included 129 symptomatic and 42 asymptomatic patients. Hypertension, diabetes, and smoking were more prevalent in patients in the symptomatic group. Vulnerable plaque (97.7% vs. 64.3%, <i>p</i> = 0.003), IPH (17.8% vs. 4.8%, <i>p</i> = 0.022) and higher stenosis degree (χ<sup>2</sup> = 2.675, <i>p</i> = 0.008) were significantly more prevalent in the symptomatic group. Culprit plaques were predominantly located in the superior wall of the middle cerebral artery (MCA) (χ<sup>2</sup> = 15.561, <i>p</i> = 0.001) and the left wall of the basilar artery (χ<sup>2</sup> = 34.138, <i>p</i> = 0.008). Factors associated with poor prognosis included older age (63.63 ± 8.19 vs. 55.63 ± 13.15, <i>p</i> = 0.001), presence of IPH (31.82% vs. 14.29%, <i>p</i> = 0.037), and elevated D-dimer levels (0.77 ± 0.60 vs. 0.40 ± 0.36, <i>p</i> = 0.022). <i><b>Conclusions:</b></i> Vulnerable plaque, specific lesion locations, and higher stenosis degree are significantly associated with ischemic events in ICAD. While plaque enhancement and stenosis correlate with stroke occurrence, they show no clear association with prognosis. Neither the length nor the thickness of plaques manifests a significant correlation with either stroke events or the prognostic outcomes.</p>","PeriodicalId":9095,"journal":{"name":"Brain Sciences","volume":"15 9","pages":""},"PeriodicalIF":2.8000,"publicationDate":"2025-09-18","publicationTypes":"Journal Article","fieldsOfStudy":null,"isOpenAccess":false,"openAccessPdf":"https://www.ncbi.nlm.nih.gov/pmc/articles/PMC12469028/pdf/","citationCount":"0","resultStr":null,"platform":"Semanticscholar","paperid":null,"PeriodicalName":"Brain Sciences","FirstCategoryId":"3","ListUrlMain":"https://doi.org/10.3390/brainsci15091009","RegionNum":3,"RegionCategory":"医学","ArticlePicture":[],"TitleCN":null,"AbstractTextCN":null,"PMCID":null,"EPubDate":"","PubModel":"","JCR":"Q3","JCRName":"NEUROSCIENCES","Score":null,"Total":0}
引用次数: 0

Abstract

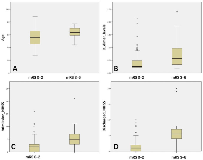
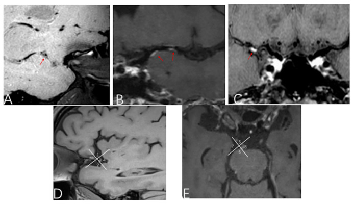
Background: Intracranial atherosclerosis disease (ICAD) represents a significant etiology of stroke. This study aimed to evaluate correlations between intracranial atherosclerotic burden and risk of ischemic events. Methods: In this prospective observational study, all enrolled patients underwent High-Resolution Magnetic Resonance vessel wall Imaging (HR MR-VMI) within two weeks of onset, or of enrollment. Baseline assessments included modified American Heart Association plaque type, stenosis degree, intra-plaque hemorrhage (IPH), plaque thickness, plaque length, and vessel wall enhancement. Modified Rankin Scale (mRS) was followed with one-year treatment in adherence to the guidelines. Comparative analyses were conducted between symptomatic and asymptomatic groups, culprit versus non-culprit plaques, and favorable versus poor prognosis groups. Results: The study included 129 symptomatic and 42 asymptomatic patients. Hypertension, diabetes, and smoking were more prevalent in patients in the symptomatic group. Vulnerable plaque (97.7% vs. 64.3%, p = 0.003), IPH (17.8% vs. 4.8%, p = 0.022) and higher stenosis degree (χ2 = 2.675, p = 0.008) were significantly more prevalent in the symptomatic group. Culprit plaques were predominantly located in the superior wall of the middle cerebral artery (MCA) (χ2 = 15.561, p = 0.001) and the left wall of the basilar artery (χ2 = 34.138, p = 0.008). Factors associated with poor prognosis included older age (63.63 ± 8.19 vs. 55.63 ± 13.15, p = 0.001), presence of IPH (31.82% vs. 14.29%, p = 0.037), and elevated D-dimer levels (0.77 ± 0.60 vs. 0.40 ± 0.36, p = 0.022). Conclusions: Vulnerable plaque, specific lesion locations, and higher stenosis degree are significantly associated with ischemic events in ICAD. While plaque enhancement and stenosis correlate with stroke occurrence, they show no clear association with prognosis. Neither the length nor the thickness of plaques manifests a significant correlation with either stroke events or the prognostic outcomes.

Abstract Image

Abstract Image

Abstract Image

颅内动脉粥样硬化与缺血性脑血管病及预后的定量分析。
背景:颅内动脉粥样硬化病(ICAD)是脑卒中的重要病因。本研究旨在评估颅内动脉粥样硬化负荷与缺血性事件风险之间的相关性。方法:在这项前瞻性观察性研究中,所有入组患者在发病或入组后两周内接受了高分辨率磁共振血管壁成像(HR MR-VMI)。基线评估包括改良的美国心脏协会斑块类型、狭窄程度、斑块内出血(IPH)、斑块厚度、斑块长度和血管壁增强。遵循改良Rankin量表(mRS),并按照指南进行为期一年的治疗。在有症状组和无症状组、罪魁祸首斑块组和非罪魁祸首斑块组、预后良好组和预后不良组之间进行比较分析。结果:纳入有症状患者129例,无症状患者42例。高血压、糖尿病和吸烟在症状组患者中更为普遍。易损斑块(97.7% vs. 64.3%, p = 0.003)、IPH (17.8% vs. 4.8%, p = 0.022)和较高的狭窄程度(χ2 = 2.675, p = 0.008)在症状组中更为普遍。罪魁祸首斑块主要位于大脑中动脉(MCA)上壁(χ2 = 15.561, p = 0.001)和基底动脉左壁(χ2 = 34.138, p = 0.008)。与预后不良相关的因素包括年龄较大(63.63±8.19比55.63±13.15,p = 0.001)、存在IPH(31.82%比14.29%,p = 0.037)、d -二聚体水平升高(0.77±0.60比0.40±0.36,p = 0.022)。结论:易损斑块、特定病变部位、较高的狭窄程度与ICAD缺血性事件显著相关。虽然斑块增强和狭窄与卒中发生相关,但它们与预后没有明确的关联。斑块的长度和厚度与卒中事件或预后结果均无显著相关性。
本文章由计算机程序翻译,如有差异,请以英文原文为准。
求助全文
约1分钟内获得全文 求助全文
来源期刊
Brain Sciences
Brain Sciences Neuroscience-General Neuroscience
CiteScore
4.80
自引率
9.10%
发文量
1472
审稿时长
18.71 days
期刊介绍: Brain Sciences (ISSN 2076-3425) is a peer-reviewed scientific journal that publishes original articles, critical reviews, research notes and short communications in the areas of cognitive neuroscience, developmental neuroscience, molecular and cellular neuroscience, neural engineering, neuroimaging, neurolinguistics, neuropathy, systems neuroscience, and theoretical and computational neuroscience. Our aim is to encourage scientists to publish their experimental and theoretical results in as much detail as possible. There is no restriction on the length of the papers. The full experimental details must be provided so that the results can be reproduced. Electronic files or software regarding the full details of the calculation and experimental procedure, if unable to be published in a normal way, can be deposited as supplementary material.
×
引用
GB/T 7714-2015
复制
MLA
复制
APA
复制
导出至
BibTeX EndNote RefMan NoteFirst NoteExpress
×
提示
您的信息不完整,为了账户安全,请先补充。
现在去补充
×
提示
您因"违规操作"
具体请查看互助需知
我知道了
×
提示
确定
请完成安全验证×
copy
已复制链接
快去分享给好友吧!
我知道了
右上角分享
点击右上角分享
0
联系我们:info@booksci.cn Book学术提供免费学术资源搜索服务,方便国内外学者检索中英文文献。致力于提供最便捷和优质的服务体验。 Copyright © 2023 布克学术 All rights reserved.
京ICP备2023020795号-1
ghs 京公网安备 11010802042870号
Book学术文献互助
Book学术文献互助群
群 号:604180095
Book学术官方微信