Walking Pneumonia - Not Always so Timid. A Case of Severe ARDS Due to Fulminant Mycoplasma Pneumonia.

IF 0.6 Q3 MEDICINE, GENERAL & INTERNAL
Tharun Shyam, Momna Noor, Yan N Tun, Saumya Nanda, Omair Khan, Ravi K Patti
{"title":"Walking Pneumonia - Not Always so Timid. A Case of Severe ARDS Due to Fulminant Mycoplasma Pneumonia.","authors":"Tharun Shyam, Momna Noor, Yan N Tun, Saumya Nanda, Omair Khan, Ravi K Patti","doi":"10.55729/2000-9666.1498","DOIUrl":null,"url":null,"abstract":"<p><p><i>Mycoplasma pneumoniae</i> pneumonia (MPP) most commonly presents as bronchitis or as a self-limited 'walking' community acquired pneumonia. A fulminant form of MPP may occur in 0.5 %-2 % of patients and is characterized by rapidly progressive respiratory failure and Acute respiratory distress syndrome (ARDS). Our case highlights the importance of considering fulminant MPP as a cause of ARDS, especially in the young adult and middle-aged population. We review the current literature and management principles of this rare disease with an emphasis on antibiotic stewardship and corticosteroid therapy. Further research is needed to better understand patterns of antibiotic resistance and to establish management guidelines for fulminant MPP.</p>","PeriodicalId":15460,"journal":{"name":"Journal of Community Hospital Internal Medicine Perspectives","volume":"15 4","pages":"88-91"},"PeriodicalIF":0.6000,"publicationDate":"2025-07-03","publicationTypes":"Journal Article","fieldsOfStudy":null,"isOpenAccess":false,"openAccessPdf":"https://www.ncbi.nlm.nih.gov/pmc/articles/PMC12315890/pdf/","citationCount":"0","resultStr":null,"platform":"Semanticscholar","paperid":null,"PeriodicalName":"Journal of Community Hospital Internal Medicine Perspectives","FirstCategoryId":"1085","ListUrlMain":"https://doi.org/10.55729/2000-9666.1498","RegionNum":0,"RegionCategory":null,"ArticlePicture":[],"TitleCN":null,"AbstractTextCN":null,"PMCID":null,"EPubDate":"2025/1/1 0:00:00","PubModel":"eCollection","JCR":"Q3","JCRName":"MEDICINE, GENERAL & INTERNAL","Score":null,"Total":0}
引用次数: 0

Abstract

Mycoplasma pneumoniae pneumonia (MPP) most commonly presents as bronchitis or as a self-limited 'walking' community acquired pneumonia. A fulminant form of MPP may occur in 0.5 %-2 % of patients and is characterized by rapidly progressive respiratory failure and Acute respiratory distress syndrome (ARDS). Our case highlights the importance of considering fulminant MPP as a cause of ARDS, especially in the young adult and middle-aged population. We review the current literature and management principles of this rare disease with an emphasis on antibiotic stewardship and corticosteroid therapy. Further research is needed to better understand patterns of antibiotic resistance and to establish management guidelines for fulminant MPP.

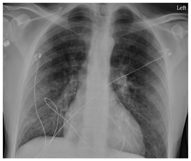
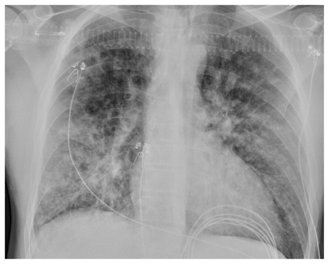
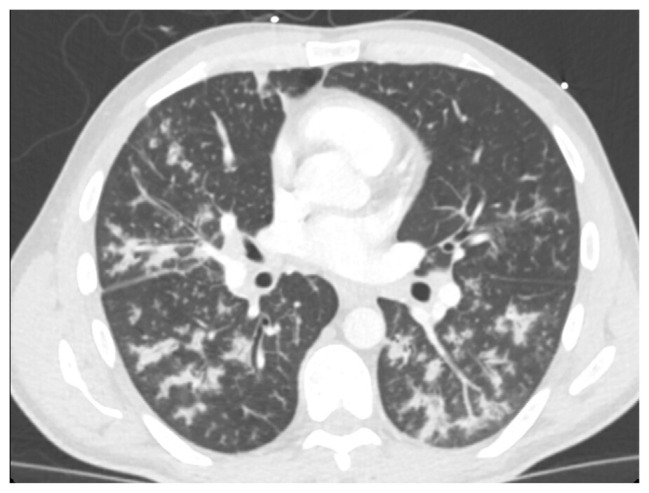
Abstract Image

Abstract Image

Abstract Image

行走的肺炎——不总是那么胆小。暴发性支原体肺炎致严重ARDS 1例。
肺炎支原体肺炎(MPP)最常表现为支气管炎或自限性“行走”社区获得性肺炎。暴发性MPP可能发生在0.5% - 2%的患者中,其特征是快速进行性呼吸衰竭和急性呼吸窘迫综合征(ARDS)。我们的病例强调了考虑暴发性MPP作为ARDS病因的重要性,特别是在年轻人和中年人群中。我们回顾了目前的文献和这种罕见疾病的管理原则,重点是抗生素管理和皮质类固醇治疗。需要进一步研究以更好地了解抗生素耐药模式并建立暴发性MPP的管理指南。
本文章由计算机程序翻译,如有差异,请以英文原文为准。
求助全文
约1分钟内获得全文 求助全文
来源期刊
自引率
0.00%
发文量
106
审稿时长
17 weeks
期刊介绍: JCHIMP provides: up-to-date information in the field of Internal Medicine to community hospital medical professionals a platform for clinical faculty, residents, and medical students to publish research relevant to community hospital programs. Manuscripts that explore aspects of medicine at community hospitals welcome, including but not limited to: the best practices of community academic programs community hospital-based research opinion and insight from community hospital leadership and faculty the scholarly work of residents and medical students affiliated with community hospitals.
×
引用
GB/T 7714-2015
复制
MLA
复制
APA
复制
导出至
BibTeX EndNote RefMan NoteFirst NoteExpress
×
提示
您的信息不完整,为了账户安全,请先补充。
现在去补充
×
提示
您因"违规操作"
具体请查看互助需知
我知道了
×
提示
确定
请完成安全验证×
copy
已复制链接
快去分享给好友吧!
我知道了
右上角分享
点击右上角分享
0
联系我们:info@booksci.cn Book学术提供免费学术资源搜索服务,方便国内外学者检索中英文文献。致力于提供最便捷和优质的服务体验。 Copyright © 2023 布克学术 All rights reserved.
京ICP备2023020795号-1
ghs 京公网安备 11010802042870号
Book学术文献互助
Book学术文献互助群
群 号:604180095
Book学术官方微信