Pulmonary Mycobactetrium kumamotonense With Hepatosplenic Dissemination in an Immunocompetent Patient: A Case Report and Review.

IF 0.6 Q3 MEDICINE, GENERAL & INTERNAL
Michael S Wang, Jeremiah Chang, Tiffany Whelan, Bo Liu, Katie Fitton, Jeffrey J Grondin
{"title":"Pulmonary <i>Mycobactetrium kumamotonense</i> With Hepatosplenic Dissemination in an Immunocompetent Patient: A Case Report and Review.","authors":"Michael S Wang, Jeremiah Chang, Tiffany Whelan, Bo Liu, Katie Fitton, Jeffrey J Grondin","doi":"10.55729/2000-9666.1503","DOIUrl":null,"url":null,"abstract":"<p><p>We report a 69-year-old with a past medical history of prostate cancer, and arsenic poisoning, who was incidentally found to have multiple pulmonary nodules and hepatosplenic lesions on CT imaging. He denied respiratory symptoms, but was noted to have significant weight loss. A bronchoscopy revealed <i>mycobacterium kumamotonense</i> on culture. He was treated presumptively for pulmonary and disseminated infection with azithromycin and ethambutol for 16 months, and 12 months of rifabutin after four months of rifampin which was discontinued due to resistance. Patient's weight loss resolved and CT imaging appeared significantly improved.</p>","PeriodicalId":15460,"journal":{"name":"Journal of Community Hospital Internal Medicine Perspectives","volume":"15 4","pages":"37-42"},"PeriodicalIF":0.6000,"publicationDate":"2025-07-03","publicationTypes":"Journal Article","fieldsOfStudy":null,"isOpenAccess":false,"openAccessPdf":"https://www.ncbi.nlm.nih.gov/pmc/articles/PMC12315891/pdf/","citationCount":"0","resultStr":null,"platform":"Semanticscholar","paperid":null,"PeriodicalName":"Journal of Community Hospital Internal Medicine Perspectives","FirstCategoryId":"1085","ListUrlMain":"https://doi.org/10.55729/2000-9666.1503","RegionNum":0,"RegionCategory":null,"ArticlePicture":[],"TitleCN":null,"AbstractTextCN":null,"PMCID":null,"EPubDate":"2025/1/1 0:00:00","PubModel":"eCollection","JCR":"Q3","JCRName":"MEDICINE, GENERAL & INTERNAL","Score":null,"Total":0}
引用次数: 0

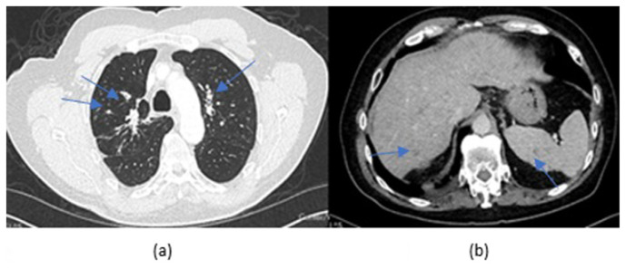
Abstract

We report a 69-year-old with a past medical history of prostate cancer, and arsenic poisoning, who was incidentally found to have multiple pulmonary nodules and hepatosplenic lesions on CT imaging. He denied respiratory symptoms, but was noted to have significant weight loss. A bronchoscopy revealed mycobacterium kumamotonense on culture. He was treated presumptively for pulmonary and disseminated infection with azithromycin and ethambutol for 16 months, and 12 months of rifabutin after four months of rifampin which was discontinued due to resistance. Patient's weight loss resolved and CT imaging appeared significantly improved.

Abstract Image

Abstract Image

免疫功能正常患者伴肝脾传播的熊原肺分枝杆菌一例报告与回顾。
我们报告一位69岁的患者,既往有前列腺癌和砷中毒病史,在CT上偶然发现有多发肺结节和肝脾病变。他否认有呼吸道症状,但体重明显减轻。支气管镜检查发现熊本分枝杆菌培养。假定他因肺部和播散性感染接受阿奇霉素和乙胺丁醇治疗16个月,在利福平治疗4个月后(因耐药而停用)接受利福丁治疗12个月。患者体重减轻,CT成像明显改善。
本文章由计算机程序翻译,如有差异,请以英文原文为准。
求助全文
约1分钟内获得全文 求助全文
来源期刊
自引率
0.00%
发文量
106
审稿时长
17 weeks
期刊介绍: JCHIMP provides: up-to-date information in the field of Internal Medicine to community hospital medical professionals a platform for clinical faculty, residents, and medical students to publish research relevant to community hospital programs. Manuscripts that explore aspects of medicine at community hospitals welcome, including but not limited to: the best practices of community academic programs community hospital-based research opinion and insight from community hospital leadership and faculty the scholarly work of residents and medical students affiliated with community hospitals.
×
引用
GB/T 7714-2015
复制
MLA
复制
APA
复制
导出至
BibTeX EndNote RefMan NoteFirst NoteExpress
×
提示
您的信息不完整,为了账户安全,请先补充。
现在去补充
×
提示
您因"违规操作"
具体请查看互助需知
我知道了
×
提示
确定
请完成安全验证×
copy
已复制链接
快去分享给好友吧!
我知道了
右上角分享
点击右上角分享
0
联系我们:info@booksci.cn Book学术提供免费学术资源搜索服务,方便国内外学者检索中英文文献。致力于提供最便捷和优质的服务体验。 Copyright © 2023 布克学术 All rights reserved.
京ICP备2023020795号-1
ghs 京公网安备 11010802042870号
Book学术文献互助
Book学术文献互助群
群 号:604180095
Book学术官方微信