First Report of Successful Rituximab Therapy in Idiopathic Sclerosing Mesenteritis.

IF 0.6 Q3 MEDICINE, GENERAL & INTERNAL
Indira Acharya, Carey Field, Mary E Clark
{"title":"First Report of Successful Rituximab Therapy in Idiopathic Sclerosing Mesenteritis.","authors":"Indira Acharya, Carey Field, Mary E Clark","doi":"10.55729/2000-9666.1504","DOIUrl":null,"url":null,"abstract":"<p><p>Sclerosing mesenteritis (SM) is a rare idiopathic fibroinflammatory disorder of the bowel mesentery adipose tissue. While the use of rituximab has been documented in IgG4-related SM, its effectiveness in idiopathic, IgG4-unrelated SM remains unknown. We present a case of idiopathic SM successfully managed with rituximab, suggesting that this treatment may be an option for patients who either have contraindications to or have not responded to current first-line therapies.</p>","PeriodicalId":15460,"journal":{"name":"Journal of Community Hospital Internal Medicine Perspectives","volume":"15 4","pages":"100-103"},"PeriodicalIF":0.6000,"publicationDate":"2025-07-03","publicationTypes":"Journal Article","fieldsOfStudy":null,"isOpenAccess":false,"openAccessPdf":"https://www.ncbi.nlm.nih.gov/pmc/articles/PMC12315893/pdf/","citationCount":"0","resultStr":null,"platform":"Semanticscholar","paperid":null,"PeriodicalName":"Journal of Community Hospital Internal Medicine Perspectives","FirstCategoryId":"1085","ListUrlMain":"https://doi.org/10.55729/2000-9666.1504","RegionNum":0,"RegionCategory":null,"ArticlePicture":[],"TitleCN":null,"AbstractTextCN":null,"PMCID":null,"EPubDate":"2025/1/1 0:00:00","PubModel":"eCollection","JCR":"Q3","JCRName":"MEDICINE, GENERAL & INTERNAL","Score":null,"Total":0}
引用次数: 0

Abstract

Sclerosing mesenteritis (SM) is a rare idiopathic fibroinflammatory disorder of the bowel mesentery adipose tissue. While the use of rituximab has been documented in IgG4-related SM, its effectiveness in idiopathic, IgG4-unrelated SM remains unknown. We present a case of idiopathic SM successfully managed with rituximab, suggesting that this treatment may be an option for patients who either have contraindications to or have not responded to current first-line therapies.

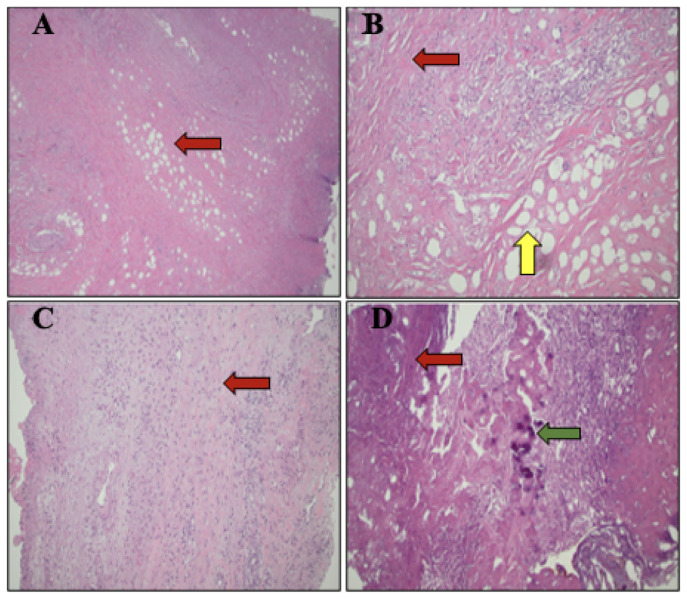
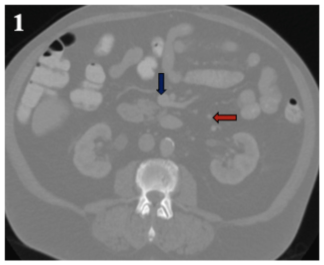
Abstract Image

Abstract Image

利妥昔单抗治疗特发性硬化性肠系炎成功的首次报道。
硬化性肠系膜炎(SM)是一种罕见的肠肠系膜脂肪组织的特发性纤维炎性疾病。虽然在igg4相关的SM中有使用利妥昔单抗的记录,但其在特发性、igg4无关的SM中的有效性仍然未知。我们报告了一例特发性SM成功地用利妥昔单抗治疗,这表明这种治疗可能是对目前一线治疗有禁忌症或无反应的患者的一种选择。
本文章由计算机程序翻译,如有差异,请以英文原文为准。
求助全文
约1分钟内获得全文 求助全文
来源期刊
自引率
0.00%
发文量
106
审稿时长
17 weeks
期刊介绍: JCHIMP provides: up-to-date information in the field of Internal Medicine to community hospital medical professionals a platform for clinical faculty, residents, and medical students to publish research relevant to community hospital programs. Manuscripts that explore aspects of medicine at community hospitals welcome, including but not limited to: the best practices of community academic programs community hospital-based research opinion and insight from community hospital leadership and faculty the scholarly work of residents and medical students affiliated with community hospitals.
×
引用
GB/T 7714-2015
复制
MLA
复制
APA
复制
导出至
BibTeX EndNote RefMan NoteFirst NoteExpress
×
提示
您的信息不完整,为了账户安全,请先补充。
现在去补充
×
提示
您因"违规操作"
具体请查看互助需知
我知道了
×
提示
确定
请完成安全验证×
copy
已复制链接
快去分享给好友吧!
我知道了
右上角分享
点击右上角分享
0
联系我们:info@booksci.cn Book学术提供免费学术资源搜索服务,方便国内外学者检索中英文文献。致力于提供最便捷和优质的服务体验。 Copyright © 2023 布克学术 All rights reserved.
京ICP备2023020795号-1
ghs 京公网安备 11010802042870号
Book学术文献互助
Book学术文献互助群
群 号:604180095
Book学术官方微信