Epilepsy Secondary to Polymicrogyria.

IF 0.6 Q3 MEDICINE, GENERAL & INTERNAL
Yuktha Putta, Samuel B Miller, Sumanth K Bandaru
{"title":"Epilepsy Secondary to Polymicrogyria.","authors":"Yuktha Putta, Samuel B Miller, Sumanth K Bandaru","doi":"10.55729/2000-9666.1507","DOIUrl":null,"url":null,"abstract":"<p><p>We present the case of a young man in his early thirties who sought medical attention after a witnessed seizure episode. His drug screen revealed the presence of cocaine, marijuana, and benzodiazepines. To investigate any potential structural causes contributing to his seizure, we conducted an MRI of the brain, which revealed polymicrogyria. This structural abnormality is strongly associated with seizures. This case emphasizes the importance of ruling out underlying structural causes of seizure disorders in patients with a history of drug abuse before recommending cessation of drug use.</p>","PeriodicalId":15460,"journal":{"name":"Journal of Community Hospital Internal Medicine Perspectives","volume":"15 4","pages":"35-36"},"PeriodicalIF":0.6000,"publicationDate":"2025-07-03","publicationTypes":"Journal Article","fieldsOfStudy":null,"isOpenAccess":false,"openAccessPdf":"https://www.ncbi.nlm.nih.gov/pmc/articles/PMC12315886/pdf/","citationCount":"0","resultStr":null,"platform":"Semanticscholar","paperid":null,"PeriodicalName":"Journal of Community Hospital Internal Medicine Perspectives","FirstCategoryId":"1085","ListUrlMain":"https://doi.org/10.55729/2000-9666.1507","RegionNum":0,"RegionCategory":null,"ArticlePicture":[],"TitleCN":null,"AbstractTextCN":null,"PMCID":null,"EPubDate":"2025/1/1 0:00:00","PubModel":"eCollection","JCR":"Q3","JCRName":"MEDICINE, GENERAL & INTERNAL","Score":null,"Total":0}
引用次数: 0

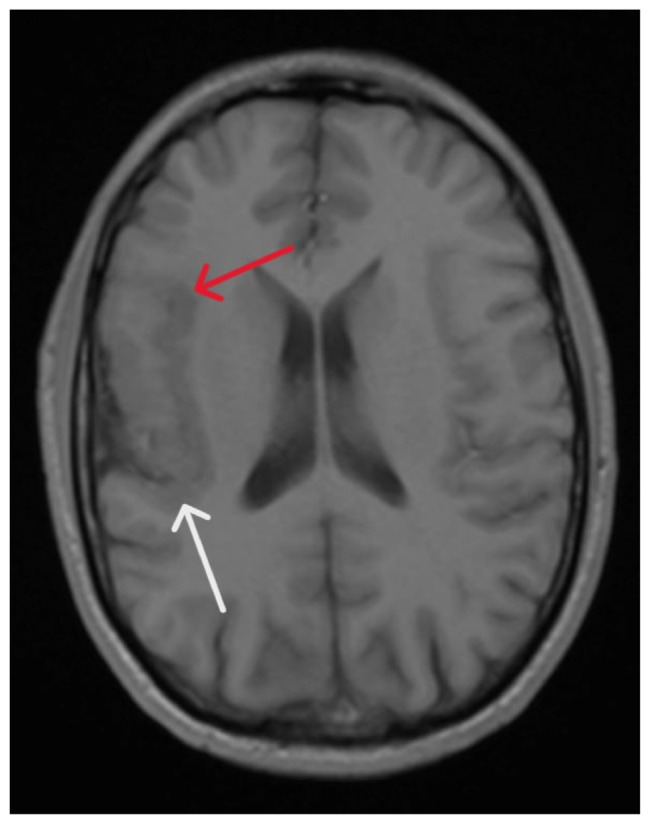
Abstract

We present the case of a young man in his early thirties who sought medical attention after a witnessed seizure episode. His drug screen revealed the presence of cocaine, marijuana, and benzodiazepines. To investigate any potential structural causes contributing to his seizure, we conducted an MRI of the brain, which revealed polymicrogyria. This structural abnormality is strongly associated with seizures. This case emphasizes the importance of ruling out underlying structural causes of seizure disorders in patients with a history of drug abuse before recommending cessation of drug use.

Abstract Image

继发于多小回症的癫痫。
我们提出的情况下,一个年轻人在他的三十出头谁寻求医疗后,目睹癫痫发作。他的药物检查显示有可卡因,大麻和苯二氮卓类药物。为了调查导致他癫痫发作的任何潜在结构性原因,我们对他的大脑进行了MRI检查,结果显示他患有多小回症。这种结构异常与癫痫发作密切相关。本病例强调了在建议停止使用药物之前,排除有药物滥用史的患者癫痫发作的潜在结构性原因的重要性。
本文章由计算机程序翻译,如有差异,请以英文原文为准。
求助全文
约1分钟内获得全文 求助全文
来源期刊
自引率
0.00%
发文量
106
审稿时长
17 weeks
期刊介绍: JCHIMP provides: up-to-date information in the field of Internal Medicine to community hospital medical professionals a platform for clinical faculty, residents, and medical students to publish research relevant to community hospital programs. Manuscripts that explore aspects of medicine at community hospitals welcome, including but not limited to: the best practices of community academic programs community hospital-based research opinion and insight from community hospital leadership and faculty the scholarly work of residents and medical students affiliated with community hospitals.
×
引用
GB/T 7714-2015
复制
MLA
复制
APA
复制
导出至
BibTeX EndNote RefMan NoteFirst NoteExpress
×
提示
您的信息不完整,为了账户安全,请先补充。
现在去补充
×
提示
您因"违规操作"
具体请查看互助需知
我知道了
×
提示
确定
请完成安全验证×
copy
已复制链接
快去分享给好友吧!
我知道了
右上角分享
点击右上角分享
0
联系我们:info@booksci.cn Book学术提供免费学术资源搜索服务,方便国内外学者检索中英文文献。致力于提供最便捷和优质的服务体验。 Copyright © 2023 布克学术 All rights reserved.
京ICP备2023020795号-1
ghs 京公网安备 11010802042870号
Book学术文献互助
Book学术文献互助群
群 号:604180095
Book学术官方微信