Rapidly Developing Bilateral Loculated Streptococcus Pyogenes Empyema in an Immunocompetent Adult: A Case Report.

IF 0.6 Q3 MEDICINE, GENERAL & INTERNAL
Anish K Shrestha, Matthew Dwumah-Agyen, Boniface Mensah, Yvette Yeboah-Kordieh, Marcos A Wolff, Jennifer A Evans
{"title":"Rapidly Developing Bilateral Loculated Streptococcus Pyogenes Empyema in an Immunocompetent Adult: A Case Report.","authors":"Anish K Shrestha, Matthew Dwumah-Agyen, Boniface Mensah, Yvette Yeboah-Kordieh, Marcos A Wolff, Jennifer A Evans","doi":"10.55729/2000-9666.1489","DOIUrl":null,"url":null,"abstract":"<p><p><i>Streptococcus pyogenes</i> is a rare cause of empyema, especially in immunocompetent individuals. The organism expresses various virulence factors leading to rapid progression of the disease. We report a case of rapidly progressing bilateral loculated empyema caused by streptococcus pyogenes in an immunocompetent host without additional risk factors.</p>","PeriodicalId":15460,"journal":{"name":"Journal of Community Hospital Internal Medicine Perspectives","volume":"15 3","pages":"116-119"},"PeriodicalIF":0.6000,"publicationDate":"2025-05-05","publicationTypes":"Journal Article","fieldsOfStudy":null,"isOpenAccess":false,"openAccessPdf":"https://www.ncbi.nlm.nih.gov/pmc/articles/PMC12313124/pdf/","citationCount":"0","resultStr":null,"platform":"Semanticscholar","paperid":null,"PeriodicalName":"Journal of Community Hospital Internal Medicine Perspectives","FirstCategoryId":"1085","ListUrlMain":"https://doi.org/10.55729/2000-9666.1489","RegionNum":0,"RegionCategory":null,"ArticlePicture":[],"TitleCN":null,"AbstractTextCN":null,"PMCID":null,"EPubDate":"2025/1/1 0:00:00","PubModel":"eCollection","JCR":"Q3","JCRName":"MEDICINE, GENERAL & INTERNAL","Score":null,"Total":0}
引用次数: 0

Abstract

Streptococcus pyogenes is a rare cause of empyema, especially in immunocompetent individuals. The organism expresses various virulence factors leading to rapid progression of the disease. We report a case of rapidly progressing bilateral loculated empyema caused by streptococcus pyogenes in an immunocompetent host without additional risk factors.

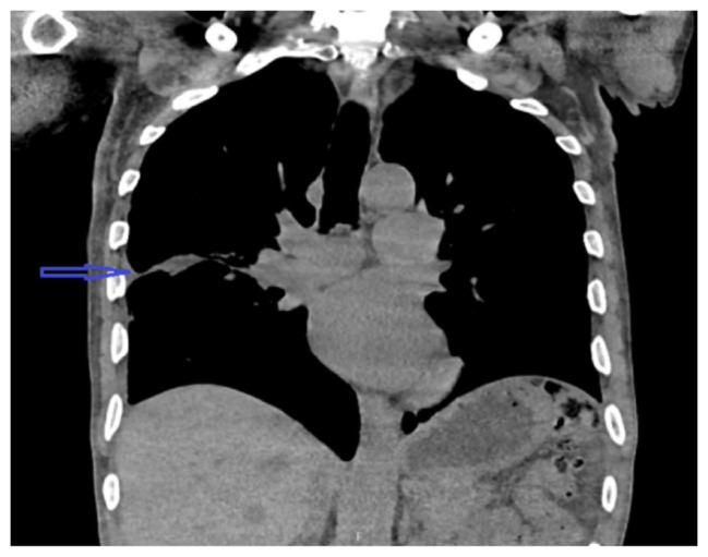
Abstract Image

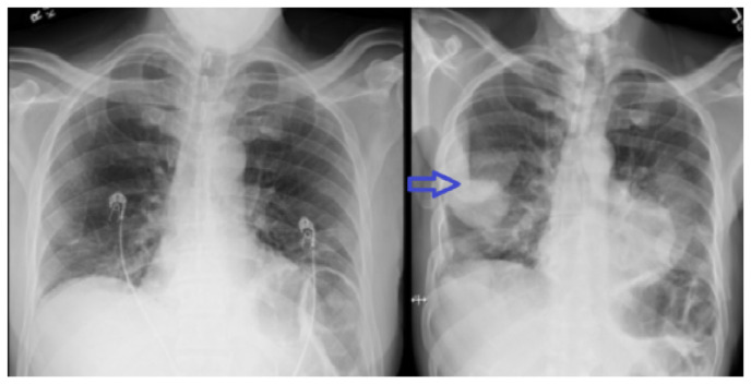
Abstract Image

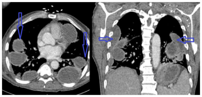
Abstract Image

免疫正常成人快速发展的双侧化脓性链球菌脓胸一例报告。
化脓性链球菌是一种罕见的引起脓胸的原因,特别是在免疫能力强的个体中。生物体表达各种毒力因子导致疾病的快速进展。我们报告一例由化脓性链球菌引起的快速进展的双侧局部脓胸,在免疫正常的宿主中没有其他危险因素。
本文章由计算机程序翻译,如有差异,请以英文原文为准。
求助全文
约1分钟内获得全文 求助全文
来源期刊
自引率
0.00%
发文量
106
审稿时长
17 weeks
期刊介绍: JCHIMP provides: up-to-date information in the field of Internal Medicine to community hospital medical professionals a platform for clinical faculty, residents, and medical students to publish research relevant to community hospital programs. Manuscripts that explore aspects of medicine at community hospitals welcome, including but not limited to: the best practices of community academic programs community hospital-based research opinion and insight from community hospital leadership and faculty the scholarly work of residents and medical students affiliated with community hospitals.
×
引用
GB/T 7714-2015
复制
MLA
复制
APA
复制
导出至
BibTeX EndNote RefMan NoteFirst NoteExpress
×
提示
您的信息不完整,为了账户安全,请先补充。
现在去补充
×
提示
您因"违规操作"
具体请查看互助需知
我知道了
×
提示
确定
请完成安全验证×
copy
已复制链接
快去分享给好友吧!
我知道了
右上角分享
点击右上角分享
0
联系我们:info@booksci.cn Book学术提供免费学术资源搜索服务,方便国内外学者检索中英文文献。致力于提供最便捷和优质的服务体验。 Copyright © 2023 布克学术 All rights reserved.
京ICP备2023020795号-1
ghs 京公网安备 11010802042870号
Book学术文献互助
Book学术文献互助群
群 号:604180095
Book学术官方微信