Post-myocardial Infarction Associated Ventricular Septal Defect in an Older Female.

IF 0.6 Q3 MEDICINE, GENERAL & INTERNAL
Nismat Javed, Vikram Itare, Nolberto B Hernandez, Nisha Ali, Preeti Jadhav
{"title":"Post-myocardial Infarction Associated Ventricular Septal Defect in an Older Female.","authors":"Nismat Javed, Vikram Itare, Nolberto B Hernandez, Nisha Ali, Preeti Jadhav","doi":"10.55729/2000-9666.1472","DOIUrl":null,"url":null,"abstract":"<p><strong>Background: </strong>Ventricular septal defect (VSD) is a serious but uncommon complication that can develop 2 days to 2 weeks after a myocardial infarction (MI), particularly if percutaneous coronary intervention (PCI) is delayed.</p><p><strong>Case presentation: </strong>A 91-year-old woman with a history of coronary artery disease had undergone PCI in left anterior descending (LAD) and left circumflex artery (LCX) for a non-ST-elevation myocardial infarction (NSTEMI) 4 weeks prior at another facility, which was complicated by distal wire perforation leading to hemopericardium and the need for pericardiocentesis. She presented with chest pain, and her tests showed ST-segment elevation in leads I, aVL, V2-5, and ST-depression on III, avF, and high troponin levels which were concerning for stent thrombosis. Due to her age and multiple comorbidities, she was managed medically and her code status was changed to do-not-resuscitate/do-not-intubate (DNR/DNI) after family discussion. Echocardiogram revealed a severely reduced ejection fraction and a new mid-inferoseptal VSD detected on readmission. The patient died 4 days later, highlighting the critical importance of timely PCI to prevent severe complications like VSD.</p><p><strong>Conclusions: </strong>VSD lesions although uncommon with the advent of PCI should always be considered in cases with septal lead STEMI and new onset murmur. VSD remains a late complication of STEMI in patients who are managed medically and not offered PCI.</p>","PeriodicalId":15460,"journal":{"name":"Journal of Community Hospital Internal Medicine Perspectives","volume":"15 3","pages":"63-67"},"PeriodicalIF":0.6000,"publicationDate":"2025-05-05","publicationTypes":"Journal Article","fieldsOfStudy":null,"isOpenAccess":false,"openAccessPdf":"https://www.ncbi.nlm.nih.gov/pmc/articles/PMC12313281/pdf/","citationCount":"0","resultStr":null,"platform":"Semanticscholar","paperid":null,"PeriodicalName":"Journal of Community Hospital Internal Medicine Perspectives","FirstCategoryId":"1085","ListUrlMain":"https://doi.org/10.55729/2000-9666.1472","RegionNum":0,"RegionCategory":null,"ArticlePicture":[],"TitleCN":null,"AbstractTextCN":null,"PMCID":null,"EPubDate":"2025/1/1 0:00:00","PubModel":"eCollection","JCR":"Q3","JCRName":"MEDICINE, GENERAL & INTERNAL","Score":null,"Total":0}
引用次数: 0

Abstract

Background: Ventricular septal defect (VSD) is a serious but uncommon complication that can develop 2 days to 2 weeks after a myocardial infarction (MI), particularly if percutaneous coronary intervention (PCI) is delayed.

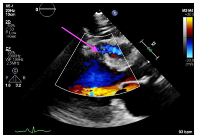
Case presentation: A 91-year-old woman with a history of coronary artery disease had undergone PCI in left anterior descending (LAD) and left circumflex artery (LCX) for a non-ST-elevation myocardial infarction (NSTEMI) 4 weeks prior at another facility, which was complicated by distal wire perforation leading to hemopericardium and the need for pericardiocentesis. She presented with chest pain, and her tests showed ST-segment elevation in leads I, aVL, V2-5, and ST-depression on III, avF, and high troponin levels which were concerning for stent thrombosis. Due to her age and multiple comorbidities, she was managed medically and her code status was changed to do-not-resuscitate/do-not-intubate (DNR/DNI) after family discussion. Echocardiogram revealed a severely reduced ejection fraction and a new mid-inferoseptal VSD detected on readmission. The patient died 4 days later, highlighting the critical importance of timely PCI to prevent severe complications like VSD.

Conclusions: VSD lesions although uncommon with the advent of PCI should always be considered in cases with septal lead STEMI and new onset murmur. VSD remains a late complication of STEMI in patients who are managed medically and not offered PCI.

Abstract Image

Abstract Image

Abstract Image

老年女性心肌梗死后室间隔缺损1例。
背景:室间隔缺损(VSD)是一种严重但罕见的并发症,可在心肌梗死(MI)后2天至2周发生,特别是经皮冠状动脉介入治疗(PCI)延迟。病例介绍:一名有冠状动脉病史的91岁女性,4周前在另一家医院因非st段抬高型心肌梗死(NSTEMI)在左前降支(LAD)和左旋支(LCX)行PCI,并发远端金属丝穿孔导致心包积血,需要心包穿刺。患者表现为胸痛,检查显示I、aVL、V2-5导联st段抬高,III、avF导联st段下降,肌钙蛋白水平高,可能与支架血栓形成有关。由于她的年龄和多重合并症,她接受了医学管理,经家人讨论后,她的代码状态改为不复苏/不插管(DNR/DNI)。超声心动图显示射血分数严重降低,再入院时发现新的室间隔中间室间隔缺损。患者于4天后死亡,这凸显了及时PCI治疗对预防VSD等严重并发症的重要性。结论:室间隔导联性STEMI和新发杂音的病例虽然不常见,但仍应考虑室间隔sd病变。在接受医学治疗且未接受PCI治疗的患者中,室间隔缺损仍然是STEMI的晚期并发症。
本文章由计算机程序翻译,如有差异,请以英文原文为准。
求助全文
约1分钟内获得全文 求助全文
来源期刊
自引率
0.00%
发文量
106
审稿时长
17 weeks
期刊介绍: JCHIMP provides: up-to-date information in the field of Internal Medicine to community hospital medical professionals a platform for clinical faculty, residents, and medical students to publish research relevant to community hospital programs. Manuscripts that explore aspects of medicine at community hospitals welcome, including but not limited to: the best practices of community academic programs community hospital-based research opinion and insight from community hospital leadership and faculty the scholarly work of residents and medical students affiliated with community hospitals.
×
引用
GB/T 7714-2015
复制
MLA
复制
APA
复制
导出至
BibTeX EndNote RefMan NoteFirst NoteExpress
×
提示
您的信息不完整,为了账户安全,请先补充。
现在去补充
×
提示
您因"违规操作"
具体请查看互助需知
我知道了
×
提示
确定
请完成安全验证×
copy
已复制链接
快去分享给好友吧!
我知道了
右上角分享
点击右上角分享
0
联系我们:info@booksci.cn Book学术提供免费学术资源搜索服务,方便国内外学者检索中英文文献。致力于提供最便捷和优质的服务体验。 Copyright © 2023 布克学术 All rights reserved.
京ICP备2023020795号-1
ghs 京公网安备 11010802042870号
Book学术文献互助
Book学术文献互助群
群 号:604180095
Book学术官方微信