Age-dependent accumulation of mitochondrial tRNA mutations in mouse kidneys linked to mitochondrial kidney diseases

IF 19.4 Q1 CELL BIOLOGY
Leping Zhang, Zhe Xu, Jia Jing, Guoshi Chai, Guanglei Xie, Yanfei Ru, Qunyu Lv, Xiang Zuo, Qian Zhang, Jiatong Chen, He Jin, Ning Liu, Minghua Kong, Bin Shen, Mingxi Liu, Lei Jiang, Xi Wang, Yanxiao Zhang, Min Jiang
{"title":"Age-dependent accumulation of mitochondrial tRNA mutations in mouse kidneys linked to mitochondrial kidney diseases","authors":"Leping Zhang, Zhe Xu, Jia Jing, Guoshi Chai, Guanglei Xie, Yanfei Ru, Qunyu Lv, Xiang Zuo, Qian Zhang, Jiatong Chen, He Jin, Ning Liu, Minghua Kong, Bin Shen, Mingxi Liu, Lei Jiang, Xi Wang, Yanxiao Zhang, Min Jiang","doi":"10.1038/s43587-025-00909-y","DOIUrl":null,"url":null,"abstract":"Heteroplasmic pathogenic mitochondrial DNA (mtDNA) mutations are key drivers of mitochondrial diseases, yet their tissue-specific and cell-specific accumulation patterns during aging and the mechanistic links to pathology remain poorly understood. In this study, we employed DddA-derived cytosine base editor technology to generate three mouse models harboring distinct pathogenic mitochondrial tRNA mutations. These mutations exhibited age-dependent accumulation in the kidneys, leading to severe kidney defects that well recapitulate human mitochondrial kidney disease. Mitochondrial single-cell assay for transposase-accessible chromatin with sequencing (mtscATAC–seq) revealed unique heteroplasmy dynamics across different kidney cell types: podocytes exhibited a positive selection for mutant mtDNA, whereas tubular epithelial cells displayed neutral drift of mutations during aging. Integrative analyses combining mtscATAC–seq, single-cell RNA sequencing and spatially enhanced resolution omics sequencing further identified molecular changes in high-mutant defective cells, including increased AP-1 family transcription factor activity, tubular epithelial cell proliferation and immune activation, which contribute to disease progression. Our study underscores the importance of kidney function monitoring in patients with mitochondrial disease, particularly in older adults, and establishes robust preclinical models to facilitate the development of therapeutic strategies. The tissue-specific accumulation patterns of pathogenic mtDNA mutations during aging remain incompletely understood. In this study, the researchers developed three mouse models with distinct mitochondrial tRNA mutations, revealing age-dependent accumulation of these mutations in the kidneys, leading to mitochondrial kidney disease.","PeriodicalId":94150,"journal":{"name":"Nature aging","volume":"5 7","pages":"1317-1339"},"PeriodicalIF":19.4000,"publicationDate":"2025-06-27","publicationTypes":"Journal Article","fieldsOfStudy":null,"isOpenAccess":false,"openAccessPdf":"","citationCount":"0","resultStr":null,"platform":"Semanticscholar","paperid":null,"PeriodicalName":"Nature aging","FirstCategoryId":"1085","ListUrlMain":"https://www.nature.com/articles/s43587-025-00909-y","RegionNum":0,"RegionCategory":null,"ArticlePicture":[],"TitleCN":null,"AbstractTextCN":null,"PMCID":null,"EPubDate":"","PubModel":"","JCR":"Q1","JCRName":"CELL BIOLOGY","Score":null,"Total":0}
引用次数: 0

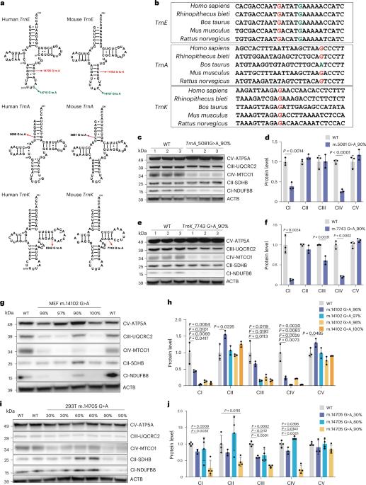
Abstract

Heteroplasmic pathogenic mitochondrial DNA (mtDNA) mutations are key drivers of mitochondrial diseases, yet their tissue-specific and cell-specific accumulation patterns during aging and the mechanistic links to pathology remain poorly understood. In this study, we employed DddA-derived cytosine base editor technology to generate three mouse models harboring distinct pathogenic mitochondrial tRNA mutations. These mutations exhibited age-dependent accumulation in the kidneys, leading to severe kidney defects that well recapitulate human mitochondrial kidney disease. Mitochondrial single-cell assay for transposase-accessible chromatin with sequencing (mtscATAC–seq) revealed unique heteroplasmy dynamics across different kidney cell types: podocytes exhibited a positive selection for mutant mtDNA, whereas tubular epithelial cells displayed neutral drift of mutations during aging. Integrative analyses combining mtscATAC–seq, single-cell RNA sequencing and spatially enhanced resolution omics sequencing further identified molecular changes in high-mutant defective cells, including increased AP-1 family transcription factor activity, tubular epithelial cell proliferation and immune activation, which contribute to disease progression. Our study underscores the importance of kidney function monitoring in patients with mitochondrial disease, particularly in older adults, and establishes robust preclinical models to facilitate the development of therapeutic strategies. The tissue-specific accumulation patterns of pathogenic mtDNA mutations during aging remain incompletely understood. In this study, the researchers developed three mouse models with distinct mitochondrial tRNA mutations, revealing age-dependent accumulation of these mutations in the kidneys, leading to mitochondrial kidney disease.

Abstract Image

与线粒体肾病相关的小鼠肾脏线粒体tRNA突变的年龄依赖性积累
异质致病性线粒体DNA (mtDNA)突变是线粒体疾病的关键驱动因素,但其在衰老过程中的组织特异性和细胞特异性积累模式以及与病理的机制联系仍然知之甚少。在这项研究中,我们采用ddda衍生的胞嘧啶碱基编辑技术,生成了三种具有不同致病性线粒体tRNA突变的小鼠模型。这些突变在肾脏中表现出年龄依赖性积累,导致严重的肾脏缺陷,很好地概括了人类线粒体肾病。线粒体单细胞转座酶可及染色质测序试验(mtscATAC-seq)揭示了不同肾细胞类型之间独特的异质性动力学:足细胞对突变mtDNA表现出积极的选择,而小管上皮细胞在衰老过程中表现出中性的突变漂移。结合mtscATAC-seq、单细胞RNA测序和空间增强分辨率组学测序的综合分析进一步确定了高突变缺陷细胞的分子变化,包括AP-1家族转录因子活性增加、小管上皮细胞增殖和免疫激活,这些都有助于疾病的进展。我们的研究强调了对线粒体疾病患者,特别是老年人进行肾功能监测的重要性,并建立了健全的临床前模型,以促进治疗策略的发展。
本文章由计算机程序翻译,如有差异,请以英文原文为准。
求助全文
约1分钟内获得全文 求助全文
来源期刊
CiteScore
14.70
自引率
0.00%
发文量
0
×
引用
GB/T 7714-2015
复制
MLA
复制
APA
复制
导出至
BibTeX EndNote RefMan NoteFirst NoteExpress
×
提示
您的信息不完整,为了账户安全,请先补充。
现在去补充
×
提示
您因"违规操作"
具体请查看互助需知
我知道了
×
提示
确定
请完成安全验证×
copy
已复制链接
快去分享给好友吧!
我知道了
右上角分享
点击右上角分享
0
联系我们:info@booksci.cn Book学术提供免费学术资源搜索服务,方便国内外学者检索中英文文献。致力于提供最便捷和优质的服务体验。 Copyright © 2023 布克学术 All rights reserved.
京ICP备2023020795号-1
ghs 京公网安备 11010802042870号
Book学术文献互助
Book学术文献互助群
群 号:604180095
Book学术官方微信