An Unusual Case of Cutaneous Langerhans Cell Sarcoma Lacking S100 Expression: A Case Report and Review of the Literature

IF 1.1 4区 医学 Q3 DERMATOLOGY
Randa Obid, Austin R. Green, Sion W. Jasmine, Rachel P. Kowal, Brooj Abro, Laura M. Warmke, Magdalena B. Czader, Ahmed K. Alomari, Carina A. Dehner
{"title":"An Unusual Case of Cutaneous Langerhans Cell Sarcoma Lacking S100 Expression: A Case Report and Review of the Literature","authors":"Randa Obid,&nbsp;Austin R. Green,&nbsp;Sion W. Jasmine,&nbsp;Rachel P. Kowal,&nbsp;Brooj Abro,&nbsp;Laura M. Warmke,&nbsp;Magdalena B. Czader,&nbsp;Ahmed K. Alomari,&nbsp;Carina A. Dehner","doi":"10.1111/cup.14833","DOIUrl":null,"url":null,"abstract":"<p>Langerhans cell sarcoma (LCS) is a rare neoplastic proliferation of Langerhans cell with aggressive clinical behavior and involves multiple organ systems, including the skin. LCS is characterized by marked cytologic atypia, frequent mitoses including atypical ones, and expression of CD1a, S100, and langerin (CD207). CD1a and Langerin-positive but S100− negative LCS is extremely rare in clinical practice. We present a case of a 71-year-old female with a history of melanoma and atypical fibroxanthoma who presented with an erythematous plaque on her left knee. Histopathologic examination revealed a dermal infiltrate comprised of large pleomorphic cells with irregular nuclear contours, prominent longitudinal grooves, and vesicular chromatin, and a high mitotic rate. Notably, there were epidermotropism and a distinctive immunohistochemical profile: S100−, CD1a+, Langerin+, and focal CD68+. Next-generation sequencing identified copy number loss of <i>CDKN2A</i>, <i>CDKN2B</i>, and <i>FOXA1</i>, mutations in <i>TP53</i>, <i>POT1</i>, <i>SH2B3</i>, and <i>SMARCA4</i>, and a high tumor mutational burden. Herein, we discuss the clinical and pathologic features of 38 cases of LCS with cutaneous involvement reported in the literature, including recent advances in understanding molecular characteristics of this disease. This exceptional case may contribute to our understanding of the etiology of this rare neoplasm.</p>","PeriodicalId":15407,"journal":{"name":"Journal of Cutaneous Pathology","volume":"52 9","pages":"554-567"},"PeriodicalIF":1.1000,"publicationDate":"2025-06-24","publicationTypes":"Journal Article","fieldsOfStudy":null,"isOpenAccess":false,"openAccessPdf":"https://onlinelibrary.wiley.com/doi/epdf/10.1111/cup.14833","citationCount":"0","resultStr":null,"platform":"Semanticscholar","paperid":null,"PeriodicalName":"Journal of Cutaneous Pathology","FirstCategoryId":"3","ListUrlMain":"https://onlinelibrary.wiley.com/doi/10.1111/cup.14833","RegionNum":4,"RegionCategory":"医学","ArticlePicture":[],"TitleCN":null,"AbstractTextCN":null,"PMCID":null,"EPubDate":"","PubModel":"","JCR":"Q3","JCRName":"DERMATOLOGY","Score":null,"Total":0}
引用次数: 0

Abstract

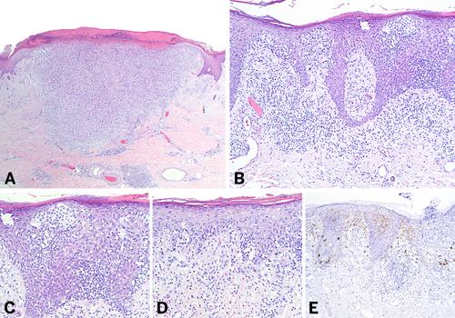
Langerhans cell sarcoma (LCS) is a rare neoplastic proliferation of Langerhans cell with aggressive clinical behavior and involves multiple organ systems, including the skin. LCS is characterized by marked cytologic atypia, frequent mitoses including atypical ones, and expression of CD1a, S100, and langerin (CD207). CD1a and Langerin-positive but S100− negative LCS is extremely rare in clinical practice. We present a case of a 71-year-old female with a history of melanoma and atypical fibroxanthoma who presented with an erythematous plaque on her left knee. Histopathologic examination revealed a dermal infiltrate comprised of large pleomorphic cells with irregular nuclear contours, prominent longitudinal grooves, and vesicular chromatin, and a high mitotic rate. Notably, there were epidermotropism and a distinctive immunohistochemical profile: S100−, CD1a+, Langerin+, and focal CD68+. Next-generation sequencing identified copy number loss of CDKN2A, CDKN2B, and FOXA1, mutations in TP53, POT1, SH2B3, and SMARCA4, and a high tumor mutational burden. Herein, we discuss the clinical and pathologic features of 38 cases of LCS with cutaneous involvement reported in the literature, including recent advances in understanding molecular characteristics of this disease. This exceptional case may contribute to our understanding of the etiology of this rare neoplasm.

Abstract Image

皮肤朗格汉斯细胞肉瘤1例缺乏S100表达:1例报告及文献复习。
朗格汉斯细胞肉瘤(LCS)是一种罕见的朗格汉斯细胞肿瘤增生,具有侵袭性临床行为,累及包括皮肤在内的多器官系统。LCS的特点是明显的细胞学非典型性,频繁的有丝分裂,包括非典型的有丝分裂,以及CD1a、S100和langerin (CD207)的表达。CD1a和朗格林阳性但S100阴性的LCS在临床实践中极为罕见。我们提出一个病例71岁的女性黑色素瘤和非典型纤维黄色瘤的历史谁提出了一个红斑斑在她的左膝。组织病理学检查显示真皮浸润,由大的多形性细胞组成,细胞核轮廓不规则,突出的纵向凹槽,泡状染色质,有丝分裂率高。值得注意的是,有表皮性和独特的免疫组织化学特征:S100-、CD1a+、Langerin+和局灶性CD68+。下一代测序发现CDKN2A、CDKN2B和FOXA1拷贝数缺失,TP53、POT1、SH2B3和SMARCA4突变,以及高肿瘤突变负担。在此,我们讨论了38例文献报道的LCS伴皮肤受累的临床和病理特征,包括对这种疾病分子特征的最新研究进展。这个特殊的病例可能有助于我们了解这种罕见肿瘤的病因。
本文章由计算机程序翻译,如有差异,请以英文原文为准。
求助全文
约1分钟内获得全文 求助全文
来源期刊
CiteScore
3.20
自引率
5.90%
发文量
174
审稿时长
3-8 weeks
期刊介绍: Journal of Cutaneous Pathology publishes manuscripts broadly relevant to diseases of the skin and mucosae, with the aims of advancing scientific knowledge regarding dermatopathology and enhancing the communication between clinical practitioners and research scientists. Original scientific manuscripts on diagnostic and experimental cutaneous pathology are especially desirable. Timely, pertinent review articles also will be given high priority. Manuscripts based on light, fluorescence, and electron microscopy, histochemistry, immunology, molecular biology, and genetics, as well as allied sciences, are all welcome, provided their principal focus is on cutaneous pathology. Publication time will be kept as short as possible, ensuring that articles will be quickly available to all interested in this speciality.
×
引用
GB/T 7714-2015
复制
MLA
复制
APA
复制
导出至
BibTeX EndNote RefMan NoteFirst NoteExpress
×
提示
您的信息不完整,为了账户安全,请先补充。
现在去补充
×
提示
您因"违规操作"
具体请查看互助需知
我知道了
×
提示
确定
请完成安全验证×
copy
已复制链接
快去分享给好友吧!
我知道了
右上角分享
点击右上角分享
0
联系我们:info@booksci.cn Book学术提供免费学术资源搜索服务,方便国内外学者检索中英文文献。致力于提供最便捷和优质的服务体验。 Copyright © 2023 布克学术 All rights reserved.
京ICP备2023020795号-1
ghs 京公网安备 11010802042870号
Book学术文献互助
Book学术文献互助群
群 号:604180095
Book学术官方微信