Predicting critical surgical characteristics of intracranial meningiomas on MRI-A prospective study on 100 consecutive patients.

IF 2.5 Q2 CLINICAL NEUROLOGY
Neuro-oncology practice Pub Date : 2025-01-10 eCollection Date: 2025-06-01 DOI:10.1093/nop/npaf004
Fabian Winter, Julia Furtner, Astrid Dunst, Gregor Kasprian, Michael Weber, Adelheid Woehrer, Karl Roessler, Christian Dorfer
{"title":"Predicting critical surgical characteristics of intracranial meningiomas on MRI-A prospective study on 100 consecutive patients.","authors":"Fabian Winter, Julia Furtner, Astrid Dunst, Gregor Kasprian, Michael Weber, Adelheid Woehrer, Karl Roessler, Christian Dorfer","doi":"10.1093/nop/npaf004","DOIUrl":null,"url":null,"abstract":"<p><strong>Background: </strong>This study aimed to identify magnetic resonance imaging (MRI) markers predictive of essential surgical characteristics in meningiomas, including consistency, ease of dissection of meningioma from surrounding brain tissue, and vascularity, which are crucial for surgical decisions and outcomes.</p><p><strong>Methods: </strong>We conducted preoperative MRI using a standardized protocol to measure signal intensities (SI) within meningiomas. Additionally, we administered intraoperative questionnaires and performed histological analyses on each tumor.</p><p><strong>Results: </strong>A total of 100 consecutive patients (mean age, 58 years ± 13, 69 female) were enrolled in this prospective clinical trial. Meningioma volumes varied (0.4-185.6 cm<sup>3</sup>) with surgeries lasting on average 176 min (range 35-610 min). SI measurements on T1-weighted, time-of-flight (TOF), and T2-weighted imaging were significantly associated with tumor consistency and vascularity. Specifically, the sensitivity and specificity for predicting consistency grades above 3 (on a 1-5 grade scale) were 75% and 55% postcontrast on T1-weighted imaging (SI ≥ 711) and 73% and 70% on TOF imaging (SI ≥ 124.5). For vascularity grades above 5 (on a 1-10 grade scale), the values were 73% sensitivity and 54% specificity on TOF imaging (SI ≥ 123). No correlation was found between the surgical cleavage plane and MRI data; however, dissection plane type significantly influenced surgery duration and hospitalization length. A lower SI on T2-weighted imaging correlated with specific histological features.</p><p><strong>Conclusion: </strong>Key surgical aspects of meningiomas can be predicted using conventional MRI sequences. This may improve patient counseling and surgical planning.</p>","PeriodicalId":19234,"journal":{"name":"Neuro-oncology practice","volume":"12 3","pages":"458-466"},"PeriodicalIF":2.5000,"publicationDate":"2025-01-10","publicationTypes":"Journal Article","fieldsOfStudy":null,"isOpenAccess":false,"openAccessPdf":"https://www.ncbi.nlm.nih.gov/pmc/articles/PMC12137207/pdf/","citationCount":"0","resultStr":null,"platform":"Semanticscholar","paperid":null,"PeriodicalName":"Neuro-oncology practice","FirstCategoryId":"1085","ListUrlMain":"https://doi.org/10.1093/nop/npaf004","RegionNum":0,"RegionCategory":null,"ArticlePicture":[],"TitleCN":null,"AbstractTextCN":null,"PMCID":null,"EPubDate":"2025/6/1 0:00:00","PubModel":"eCollection","JCR":"Q2","JCRName":"CLINICAL NEUROLOGY","Score":null,"Total":0}
引用次数: 0

Abstract

Background: This study aimed to identify magnetic resonance imaging (MRI) markers predictive of essential surgical characteristics in meningiomas, including consistency, ease of dissection of meningioma from surrounding brain tissue, and vascularity, which are crucial for surgical decisions and outcomes.

Methods: We conducted preoperative MRI using a standardized protocol to measure signal intensities (SI) within meningiomas. Additionally, we administered intraoperative questionnaires and performed histological analyses on each tumor.

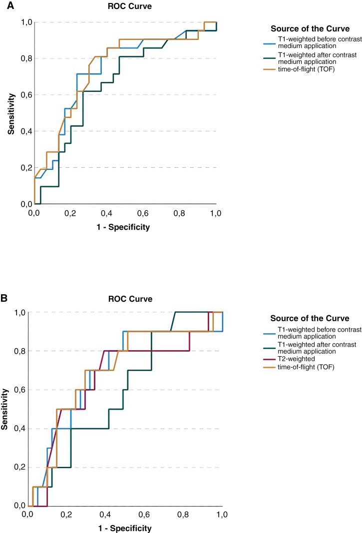
Results: A total of 100 consecutive patients (mean age, 58 years ± 13, 69 female) were enrolled in this prospective clinical trial. Meningioma volumes varied (0.4-185.6 cm3) with surgeries lasting on average 176 min (range 35-610 min). SI measurements on T1-weighted, time-of-flight (TOF), and T2-weighted imaging were significantly associated with tumor consistency and vascularity. Specifically, the sensitivity and specificity for predicting consistency grades above 3 (on a 1-5 grade scale) were 75% and 55% postcontrast on T1-weighted imaging (SI ≥ 711) and 73% and 70% on TOF imaging (SI ≥ 124.5). For vascularity grades above 5 (on a 1-10 grade scale), the values were 73% sensitivity and 54% specificity on TOF imaging (SI ≥ 123). No correlation was found between the surgical cleavage plane and MRI data; however, dissection plane type significantly influenced surgery duration and hospitalization length. A lower SI on T2-weighted imaging correlated with specific histological features.

Conclusion: Key surgical aspects of meningiomas can be predicted using conventional MRI sequences. This may improve patient counseling and surgical planning.

Abstract Image

Abstract Image

Abstract Image

在mri上预测颅内脑膜瘤的关键手术特征——一项连续100例患者的前瞻性研究。
背景:本研究旨在确定预测脑膜瘤基本手术特征的磁共振成像(MRI)标记,包括一致性,脑膜瘤与周围脑组织的剥离难易性和血管性,这些对手术决策和结果至关重要。方法:术前MRI采用标准化方案测量脑膜瘤内的信号强度(SI)。此外,我们进行术中问卷调查,并对每个肿瘤进行组织学分析。结果:共有100例患者(平均年龄58岁±13岁,女性69例)连续入组该前瞻性临床试验。脑膜瘤体积变化(0.4-185.6 cm3),手术平均持续176分钟(范围35-610分钟)。t1加权、飞行时间(TOF)和t2加权成像的SI测量与肿瘤一致性和血管密度显著相关。具体来说,在t1加权成像(SI≥711)和TOF成像(SI≥124.5)对比后,预测一致性等级高于3(1-5级量表)的敏感性和特异性分别为75%和55%和73%和70%。对于5级以上的血管分级(1-10级),TOF成像的敏感性为73%,特异性为54% (SI≥123)。手术劈裂面与MRI数据无相关性;解剖平面类型对手术时间和住院时间有显著影响。t2加权成像上较低的SI与特定的组织学特征相关。结论:常规MRI序列可预测脑膜瘤的关键手术部位。这可能会改善病人的咨询和手术计划。
本文章由计算机程序翻译,如有差异,请以英文原文为准。
求助全文
约1分钟内获得全文 求助全文
来源期刊
Neuro-oncology practice
Neuro-oncology practice CLINICAL NEUROLOGY-
CiteScore
5.30
自引率
11.10%
发文量
92
期刊介绍: Neuro-Oncology Practice focuses on the clinical aspects of the subspecialty for practicing clinicians and healthcare specialists from a variety of disciplines including physicians, nurses, physical/occupational therapists, neuropsychologists, and palliative care specialists, who have focused their careers on clinical patient care and who want to apply the latest treatment advances to their practice. These include: Applying new trial results to improve standards of patient care Translating scientific advances such as tumor molecular profiling and advanced imaging into clinical treatment decision making and personalized brain tumor therapies Raising awareness of basic, translational and clinical research in areas of symptom management, survivorship, neurocognitive function, end of life issues and caregiving
×
引用
GB/T 7714-2015
复制
MLA
复制
APA
复制
导出至
BibTeX EndNote RefMan NoteFirst NoteExpress
×
提示
您的信息不完整,为了账户安全,请先补充。
现在去补充
×
提示
您因"违规操作"
具体请查看互助需知
我知道了
×
提示
确定
请完成安全验证×
copy
已复制链接
快去分享给好友吧!
我知道了
右上角分享
点击右上角分享
0
联系我们:info@booksci.cn Book学术提供免费学术资源搜索服务,方便国内外学者检索中英文文献。致力于提供最便捷和优质的服务体验。 Copyright © 2023 布克学术 All rights reserved.
京ICP备2023020795号-1
ghs 京公网安备 11010802042870号
Book学术文献互助
Book学术文献互助群
群 号:604180095
Book学术官方微信