Tofacitinib monotherapy as maintenance treatment in juvenile dermatomyositis: a case report.

IF 4.7 2区 医学 Q1 RHEUMATOLOGY
Delia Argüelles Balas, Estefanía Barral Mena, M Ángeles Martín Díaz, Enrique Calvo-Aranda
{"title":"Tofacitinib monotherapy as maintenance treatment in juvenile dermatomyositis: a case report.","authors":"Delia Argüelles Balas, Estefanía Barral Mena, M Ángeles Martín Díaz, Enrique Calvo-Aranda","doi":"10.1136/rmdopen-2025-005651","DOIUrl":null,"url":null,"abstract":"<p><p>Juvenile dermatomyositis (JDM) is a multisystem autoimmune disease associated with considerable morbidity and mortality, having a significant impact on patient health. Early diagnosis and appropriate treatment play a key role in optimising outcomes. JDM management remains challenging, particularly in severe or refractory cases, due to the limited evidence regarding therapeutic options. Given these challenges, Janus kinase inhibitors, including tofacitinib, have emerged as promising alternatives, yet evidence in paediatric populations is still scarce. We present the case of a child with JDM who achieved sustained remission with tofacitinib monotherapy following the failure of previous therapies. While its use is currently restricted to refractory cases, these findings suggest its potential for earlier integration into treatment algorithms. This work aims to provide valuable insights to guide therapeutic strategies in JDM.</p>","PeriodicalId":21396,"journal":{"name":"RMD Open","volume":"11 2","pages":""},"PeriodicalIF":4.7000,"publicationDate":"2025-05-21","publicationTypes":"Journal Article","fieldsOfStudy":null,"isOpenAccess":false,"openAccessPdf":"https://www.ncbi.nlm.nih.gov/pmc/articles/PMC12097033/pdf/","citationCount":"0","resultStr":null,"platform":"Semanticscholar","paperid":null,"PeriodicalName":"RMD Open","FirstCategoryId":"3","ListUrlMain":"https://doi.org/10.1136/rmdopen-2025-005651","RegionNum":2,"RegionCategory":"医学","ArticlePicture":[],"TitleCN":null,"AbstractTextCN":null,"PMCID":null,"EPubDate":"","PubModel":"","JCR":"Q1","JCRName":"RHEUMATOLOGY","Score":null,"Total":0}
引用次数: 0

Abstract

Juvenile dermatomyositis (JDM) is a multisystem autoimmune disease associated with considerable morbidity and mortality, having a significant impact on patient health. Early diagnosis and appropriate treatment play a key role in optimising outcomes. JDM management remains challenging, particularly in severe or refractory cases, due to the limited evidence regarding therapeutic options. Given these challenges, Janus kinase inhibitors, including tofacitinib, have emerged as promising alternatives, yet evidence in paediatric populations is still scarce. We present the case of a child with JDM who achieved sustained remission with tofacitinib monotherapy following the failure of previous therapies. While its use is currently restricted to refractory cases, these findings suggest its potential for earlier integration into treatment algorithms. This work aims to provide valuable insights to guide therapeutic strategies in JDM.

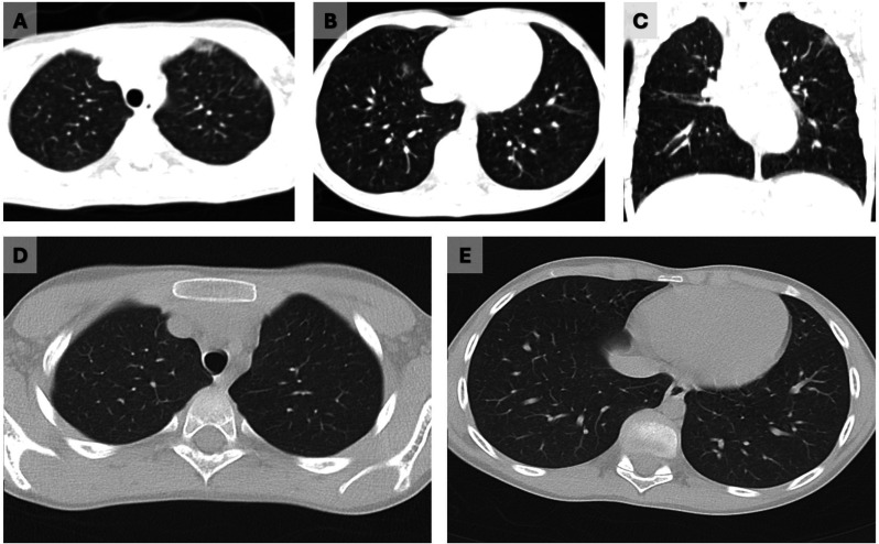
Abstract Image

Abstract Image

托法替尼单药治疗青少年皮肌炎维持治疗1例。
青少年皮肌炎(JDM)是一种多系统自身免疫性疾病,具有相当高的发病率和死亡率,对患者健康有重大影响。早期诊断和适当治疗在优化预后方面起着关键作用。由于有关治疗选择的证据有限,JDM的管理仍然具有挑战性,特别是在严重或难治性病例中。鉴于这些挑战,包括托法替尼在内的Janus激酶抑制剂已成为有希望的替代品,但在儿科人群中的证据仍然很少。我们报告了一名患有JDM的儿童,在先前的治疗失败后,通过托法替尼单药治疗获得了持续的缓解。虽然目前它的使用仅限于难治性病例,但这些发现表明,它有可能更早地整合到治疗算法中。本研究旨在为指导JDM的治疗策略提供有价值的见解。
本文章由计算机程序翻译,如有差异,请以英文原文为准。
求助全文
约1分钟内获得全文 求助全文
来源期刊
RMD Open
RMD Open RHEUMATOLOGY-
CiteScore
7.30
自引率
6.50%
发文量
205
审稿时长
14 weeks
期刊介绍: RMD Open publishes high quality peer-reviewed original research covering the full spectrum of musculoskeletal disorders, rheumatism and connective tissue diseases, including osteoporosis, spine and rehabilitation. Clinical and epidemiological research, basic and translational medicine, interesting clinical cases, and smaller studies that add to the literature are all considered.
×
引用
GB/T 7714-2015
复制
MLA
复制
APA
复制
导出至
BibTeX EndNote RefMan NoteFirst NoteExpress
×
提示
您的信息不完整,为了账户安全,请先补充。
现在去补充
×
提示
您因"违规操作"
具体请查看互助需知
我知道了
×
提示
确定
请完成安全验证×
copy
已复制链接
快去分享给好友吧!
我知道了
右上角分享
点击右上角分享
0
联系我们:info@booksci.cn Book学术提供免费学术资源搜索服务,方便国内外学者检索中英文文献。致力于提供最便捷和优质的服务体验。 Copyright © 2023 布克学术 All rights reserved.
京ICP备2023020795号-1
ghs 京公网安备 11010802042870号
Book学术文献互助
Book学术文献互助群
群 号:604180095
Book学术官方微信