Melanoma on Chronically Sun-Damaged Skin: Deciphering Gene Expression Signatures.

IF 2.3 4区 医学 Q2 DERMATOLOGY
Alejandra Avila, Varsha Thakur, Natalie Vincent, Pilar Valencia, Mecker G Möller, Rimpi Khurana, Guo Yan, Jennifer C Tang, Barbara Bedogni, Natalia Jaimes
{"title":"Melanoma on Chronically Sun-Damaged Skin: Deciphering Gene Expression Signatures.","authors":"Alejandra Avila, Varsha Thakur, Natalie Vincent, Pilar Valencia, Mecker G Möller, Rimpi Khurana, Guo Yan, Jennifer C Tang, Barbara Bedogni, Natalia Jaimes","doi":"10.5826/dpc.1502a4952","DOIUrl":null,"url":null,"abstract":"<p><strong>Introduction: </strong>Melanoma of the skin is responsible for most skin cancer-related deaths. It is well known that exposure to ultraviolet radiation is the most common and modifiable risk factor for melanoma. Melanomas arising on chronically sun-damaged skin (CSDS) have shown a higher mutational burden.</p><p><strong>Objectives: </strong>To analyze skin samples of patients with melanoma on CSDS to identify possible gene expression signatures that may contribute to melanomagenesis.</p><p><strong>Methods: </strong>This experimental observational analysis, conducted at the Dermatology Melanoma and Pigmented Lesion Clinic at University of Miami Hospitals/Sylvester Comprehensive Cancer Center, Miami, Florida, included a total of 10 patients over 18 years of age with a recent diagnosis of melanoma on CSDS. For each patient, two skin samples were obtained using a 2-mm punch (one from CSDS within 2 cm of the primary melanoma, another from sun-protected skin). Skin samples were sent to the Sylvester Onco-genomics Shared Resource (OGSR) for library preparation and RNA sequencing. Main outcome was the identification of differentially expressed genes between CSDS and non-CSDS of patients with a recent diagnosis of melanoma.</p><p><strong>Results: </strong>A total of four skin samples met the necessary quality standards for molecular analyses. Significant differences were observed between the CSDS and non-CSDS samples. Pathways involved in inflammation (e.g., IL-17 signaling), immune responses (e.g., ABC transporters), and oxidative phosphorylation were overexpressed in CSDS.</p><p><strong>Conclusions: </strong>CSDS can be an adequate milieu for the development and progression of melanoma. CSDS reveals overexpression of pathways involved in inflammation, immune responses, and oxidative phosphorylation, all of which may facilitate interactions between the skin microenvironment and melanocytes/melanoma cells, predisposing to melanoma development and progression.</p>","PeriodicalId":11168,"journal":{"name":"Dermatology practical & conceptual","volume":"15 2","pages":""},"PeriodicalIF":2.3000,"publicationDate":"2025-04-01","publicationTypes":"Journal Article","fieldsOfStudy":null,"isOpenAccess":false,"openAccessPdf":"https://www.ncbi.nlm.nih.gov/pmc/articles/PMC12090909/pdf/","citationCount":"0","resultStr":null,"platform":"Semanticscholar","paperid":null,"PeriodicalName":"Dermatology practical & conceptual","FirstCategoryId":"3","ListUrlMain":"https://doi.org/10.5826/dpc.1502a4952","RegionNum":4,"RegionCategory":"医学","ArticlePicture":[],"TitleCN":null,"AbstractTextCN":null,"PMCID":null,"EPubDate":"","PubModel":"","JCR":"Q2","JCRName":"DERMATOLOGY","Score":null,"Total":0}
引用次数: 0

Abstract

Introduction: Melanoma of the skin is responsible for most skin cancer-related deaths. It is well known that exposure to ultraviolet radiation is the most common and modifiable risk factor for melanoma. Melanomas arising on chronically sun-damaged skin (CSDS) have shown a higher mutational burden.

Objectives: To analyze skin samples of patients with melanoma on CSDS to identify possible gene expression signatures that may contribute to melanomagenesis.

Methods: This experimental observational analysis, conducted at the Dermatology Melanoma and Pigmented Lesion Clinic at University of Miami Hospitals/Sylvester Comprehensive Cancer Center, Miami, Florida, included a total of 10 patients over 18 years of age with a recent diagnosis of melanoma on CSDS. For each patient, two skin samples were obtained using a 2-mm punch (one from CSDS within 2 cm of the primary melanoma, another from sun-protected skin). Skin samples were sent to the Sylvester Onco-genomics Shared Resource (OGSR) for library preparation and RNA sequencing. Main outcome was the identification of differentially expressed genes between CSDS and non-CSDS of patients with a recent diagnosis of melanoma.

Results: A total of four skin samples met the necessary quality standards for molecular analyses. Significant differences were observed between the CSDS and non-CSDS samples. Pathways involved in inflammation (e.g., IL-17 signaling), immune responses (e.g., ABC transporters), and oxidative phosphorylation were overexpressed in CSDS.

Conclusions: CSDS can be an adequate milieu for the development and progression of melanoma. CSDS reveals overexpression of pathways involved in inflammation, immune responses, and oxidative phosphorylation, all of which may facilitate interactions between the skin microenvironment and melanocytes/melanoma cells, predisposing to melanoma development and progression.

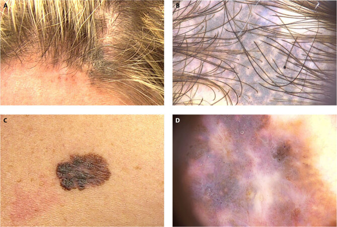
Abstract Image

Abstract Image

Abstract Image

长期晒伤皮肤上的黑色素瘤:解读基因表达特征。
皮肤黑色素瘤是大多数皮肤癌相关死亡的原因。众所周知,暴露于紫外线辐射是黑色素瘤最常见和可改变的危险因素。慢性晒伤皮肤(CSDS)上产生的黑色素瘤显示出更高的突变负担。目的:分析CSDS黑色素瘤患者的皮肤样本,以确定可能导致黑色素瘤形成的基因表达特征。方法:本实验观察分析在佛罗里达州迈阿密迈阿密大学医院/Sylvester综合癌症中心皮肤科黑色素瘤和色素沉着病变诊所进行,共纳入10例18岁以上近期诊断为CSDS黑色素瘤的患者。对于每个患者,使用2mm打孔法获得两个皮肤样本(一个来自原发性黑色素瘤2厘米内的CSDS,另一个来自防晒皮肤)。皮肤样本送到Sylvester Onco-genomics Shared Resource (OGSR)进行文库制备和RNA测序。主要结果是近期诊断为黑色素瘤的CSDS和非CSDS患者之间差异表达基因的鉴定。结果:共有4份皮肤样品符合分子分析所需的质量标准。在CSDS和非CSDS样本之间观察到显著差异。参与炎症(如IL-17信号传导)、免疫反应(如ABC转运蛋白)和氧化磷酸化的途径在CSDS中过度表达。结论:CSDS可能是黑色素瘤发生发展的良好环境。CSDS揭示了炎症、免疫反应和氧化磷酸化通路的过度表达,所有这些通路都可能促进皮肤微环境与黑素细胞/黑色素瘤细胞之间的相互作用,易导致黑色素瘤的发生和进展。
本文章由计算机程序翻译,如有差异,请以英文原文为准。
求助全文
约1分钟内获得全文 求助全文
来源期刊
CiteScore
1.40
自引率
0.00%
发文量
217
×
引用
GB/T 7714-2015
复制
MLA
复制
APA
复制
导出至
BibTeX EndNote RefMan NoteFirst NoteExpress
×
提示
您的信息不完整,为了账户安全,请先补充。
现在去补充
×
提示
您因"违规操作"
具体请查看互助需知
我知道了
×
提示
确定
请完成安全验证×
copy
已复制链接
快去分享给好友吧!
我知道了
右上角分享
点击右上角分享
0
联系我们:info@booksci.cn Book学术提供免费学术资源搜索服务,方便国内外学者检索中英文文献。致力于提供最便捷和优质的服务体验。 Copyright © 2023 布克学术 All rights reserved.
京ICP备2023020795号-1
ghs 京公网安备 11010802042870号
Book学术文献互助
Book学术文献互助群
群 号:604180095
Book学术官方微信