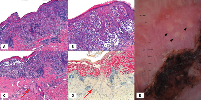
Amelanotic Melanoma in Oculocutaneous Albinism: Clinical Presentation and Diagnostic Pitfalls with Dermoscopic-Histopathological Correlation.

IF 2.3 4区 医学 Q2 DERMATOLOGY
Davide Gioco, Ilaria Girolami, Maria Angeles Gonzalez Inchaurraga, Cesare Massone, Simona Sola, Maria A Pizzichetta
{"title":"Amelanotic Melanoma in Oculocutaneous Albinism: Clinical Presentation and Diagnostic Pitfalls with Dermoscopic-Histopathological Correlation.","authors":"Davide Gioco, Ilaria Girolami, Maria Angeles Gonzalez Inchaurraga, Cesare Massone, Simona Sola, Maria A Pizzichetta","doi":"10.5826/dpc.1502a4986","DOIUrl":null,"url":null,"abstract":"","PeriodicalId":11168,"journal":{"name":"Dermatology practical & conceptual","volume":"15 2","pages":""},"PeriodicalIF":2.3000,"publicationDate":"2025-04-01","publicationTypes":"Journal Article","fieldsOfStudy":null,"isOpenAccess":false,"openAccessPdf":"https://www.ncbi.nlm.nih.gov/pmc/articles/PMC12090962/pdf/","citationCount":"0","resultStr":null,"platform":"Semanticscholar","paperid":null,"PeriodicalName":"Dermatology practical & conceptual","FirstCategoryId":"3","ListUrlMain":"https://doi.org/10.5826/dpc.1502a4986","RegionNum":4,"RegionCategory":"医学","ArticlePicture":[],"TitleCN":null,"AbstractTextCN":null,"PMCID":null,"EPubDate":"","PubModel":"","JCR":"Q2","JCRName":"DERMATOLOGY","Score":null,"Total":0}
引用次数: 0

Abstract Image

Abstract Image

皮肤白化病的无色素黑色素瘤:临床表现和皮肤镜-组织病理学相关性的诊断缺陷。
本文章由计算机程序翻译,如有差异,请以英文原文为准。
求助全文
约1分钟内获得全文 求助全文
来源期刊
CiteScore
1.40
自引率
0.00%
发文量
217
×
引用
GB/T 7714-2015
复制
MLA
复制
APA
复制
导出至
BibTeX EndNote RefMan NoteFirst NoteExpress
×
提示
您的信息不完整,为了账户安全,请先补充。
现在去补充
×
提示
您因"违规操作"
具体请查看互助需知
我知道了
×
提示
确定
请完成安全验证×
copy
已复制链接
快去分享给好友吧!
我知道了
右上角分享
点击右上角分享
0
联系我们:info@booksci.cn Book学术提供免费学术资源搜索服务,方便国内外学者检索中英文文献。致力于提供最便捷和优质的服务体验。 Copyright © 2023 布克学术 All rights reserved.
京ICP备2023020795号-1
ghs 京公网安备 11010802042870号
Book学术文献互助
Book学术文献互助群
群 号:604180095
Book学术官方微信