Comparative Analysis of Romosozumab Versus Vertebroplasty With Denosumab: Efficacy, Safety, and Secondary Bone Mineral Density Outcomes.

IF 3.6 2区 医学 Q1 CLINICAL NEUROLOGY
Neurospine Pub Date : 2025-03-01 Epub Date: 2025-03-31 DOI:10.14245/ns.2449228.614
Hyun Woong Mun, Jong Joo Lee, Hyun Chul Shin, Tae-Hwan Kim, Seok Woo Kim, Jae Keun Oh
{"title":"Comparative Analysis of Romosozumab Versus Vertebroplasty With Denosumab: Efficacy, Safety, and Secondary Bone Mineral Density Outcomes.","authors":"Hyun Woong Mun, Jong Joo Lee, Hyun Chul Shin, Tae-Hwan Kim, Seok Woo Kim, Jae Keun Oh","doi":"10.14245/ns.2449228.614","DOIUrl":null,"url":null,"abstract":"<p><strong>Objective: </strong>This study aimed to compare the efficacy and safety of romosozumab, a bone anabolic agent, versus vertebroplasty, a conventional surgical intervention, in treating osteoporotic vertebral compression fractures (OVCFs).</p><p><strong>Methods: </strong>A retrospective analysis included 86 thoracic/lumbar compression fracture patients from 2014 to 2022 at a medical center. Forty-two patients received romosozumab (monthly injections for 1 year) followed by 1 year of denosumab, while 44 underwent vertebroplasty followed by denosumab injections biannually for 2 years. Outcomes were assessed using the Numerical Rating Scale (NRS) for pain, bone mineral density (BMD), vertebral compression ratio, and Cobb angle over 12 months.</p><p><strong>Results: </strong>At 12 months, the romosozumab group showed a greater reduction in NRS scores (4.90 ± 1.01 vs. 4.27 ± 1.34, p = 0.015) and a higher increase in lumbar BMD (0.8 ± 0.5 vs. 0.5 ± 0.3, p = 0.000) compared to the vertebroplasty group. There were no significant differences in changes in hip total BMD and femur neck BMD (p = 0.190, p = 0.167, respectively). Radiographic assessments showed no significant differences in vertebral compression ratio (14.7% vs. 14.8%; p = 0.960) or Cobb angle (4.2° vs. 4.9°; p = 0.302). The incidence of major osteoporotic fractures was lower in the romosozumab group (7.1% vs. 25.0%, p = 0.051), with similar rates of cardiovascular events in both groups (4.8% vs. 9.1%, p = 0.716).</p><p><strong>Conclusion: </strong>Romosozumab has demonstrated superior pain reduction and lumbar BMD improvement compared to vertebroplasty at 12 months, with no significant differences in radiographic outcomes or adverse events, suggesting it as an alternative to vertebroplasty for OVCF.</p>","PeriodicalId":19269,"journal":{"name":"Neurospine","volume":"22 1","pages":"69-77"},"PeriodicalIF":3.6000,"publicationDate":"2025-03-01","publicationTypes":"Journal Article","fieldsOfStudy":null,"isOpenAccess":false,"openAccessPdf":"https://www.ncbi.nlm.nih.gov/pmc/articles/PMC12010838/pdf/","citationCount":"0","resultStr":null,"platform":"Semanticscholar","paperid":null,"PeriodicalName":"Neurospine","FirstCategoryId":"3","ListUrlMain":"https://doi.org/10.14245/ns.2449228.614","RegionNum":2,"RegionCategory":"医学","ArticlePicture":[],"TitleCN":null,"AbstractTextCN":null,"PMCID":null,"EPubDate":"2025/3/31 0:00:00","PubModel":"Epub","JCR":"Q1","JCRName":"CLINICAL NEUROLOGY","Score":null,"Total":0}
引用次数: 0

Abstract

Objective: This study aimed to compare the efficacy and safety of romosozumab, a bone anabolic agent, versus vertebroplasty, a conventional surgical intervention, in treating osteoporotic vertebral compression fractures (OVCFs).

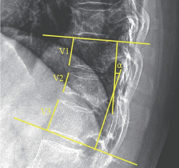
Methods: A retrospective analysis included 86 thoracic/lumbar compression fracture patients from 2014 to 2022 at a medical center. Forty-two patients received romosozumab (monthly injections for 1 year) followed by 1 year of denosumab, while 44 underwent vertebroplasty followed by denosumab injections biannually for 2 years. Outcomes were assessed using the Numerical Rating Scale (NRS) for pain, bone mineral density (BMD), vertebral compression ratio, and Cobb angle over 12 months.

Results: At 12 months, the romosozumab group showed a greater reduction in NRS scores (4.90 ± 1.01 vs. 4.27 ± 1.34, p = 0.015) and a higher increase in lumbar BMD (0.8 ± 0.5 vs. 0.5 ± 0.3, p = 0.000) compared to the vertebroplasty group. There were no significant differences in changes in hip total BMD and femur neck BMD (p = 0.190, p = 0.167, respectively). Radiographic assessments showed no significant differences in vertebral compression ratio (14.7% vs. 14.8%; p = 0.960) or Cobb angle (4.2° vs. 4.9°; p = 0.302). The incidence of major osteoporotic fractures was lower in the romosozumab group (7.1% vs. 25.0%, p = 0.051), with similar rates of cardiovascular events in both groups (4.8% vs. 9.1%, p = 0.716).

Conclusion: Romosozumab has demonstrated superior pain reduction and lumbar BMD improvement compared to vertebroplasty at 12 months, with no significant differences in radiographic outcomes or adverse events, suggesting it as an alternative to vertebroplasty for OVCF.

Abstract Image

Abstract Image

Abstract Image

Romosozumab与Denosumab椎体成形术的比较分析:疗效、安全性和二次骨密度结果。
目的:本研究旨在比较romosozumab(一种骨合成代谢药物)与椎体成形术(一种常规手术干预)治疗骨质疏松性椎体压缩性骨折(OVCFs)的疗效和安全性。方法:回顾性分析某医疗中心2014 - 2022年收治的86例胸腰椎压缩性骨折患者。42例患者接受了romosozumab(每月注射1年),随后接受了1年的denosumab,而44例患者接受了椎体成形术,随后每半年注射一次denosumab,持续2年。采用数值评定量表(NRS)对疼痛、骨密度(BMD)、椎体压缩比和Cobb角进行12个月的评估。结果:在12个月时,与椎体成形术组相比,romosozumab组的NRS评分降低幅度更大(4.90±1.01比4.27±1.34,p = 0.015),腰椎骨密度增加幅度更高(0.8±0.5比0.5±0.3,p = 0.000)。两组患者髋部总骨密度和股骨颈骨密度变化无显著性差异(p = 0.190, p = 0.167)。x线评估显示椎体压缩比无显著差异(14.7% vs 14.8%;p = 0.960)或Cobb角(4.2°vs. 4.9°;P = 0.302)。romosozumab组的骨质疏松性骨折发生率较低(7.1% vs. 25.0%, p = 0.051),两组的心血管事件发生率相似(4.8% vs. 9.1%, p = 0.716)。结论:与椎体成形术相比,Romosozumab在12个月时显示出更好的疼痛减轻和腰椎BMD改善,放射学结果或不良事件无显着差异,表明它是OVCF椎体成形术的替代方案。
本文章由计算机程序翻译,如有差异,请以英文原文为准。
求助全文
约1分钟内获得全文 求助全文
来源期刊
Neurospine
Neurospine Multiple-
CiteScore
5.80
自引率
18.80%
发文量
93
审稿时长
10 weeks
×
引用
GB/T 7714-2015
复制
MLA
复制
APA
复制
导出至
BibTeX EndNote RefMan NoteFirst NoteExpress
×
提示
您的信息不完整,为了账户安全,请先补充。
现在去补充
×
提示
您因"违规操作"
具体请查看互助需知
我知道了
×
提示
确定
请完成安全验证×
copy
已复制链接
快去分享给好友吧!
我知道了
右上角分享
点击右上角分享
0
联系我们:info@booksci.cn Book学术提供免费学术资源搜索服务,方便国内外学者检索中英文文献。致力于提供最便捷和优质的服务体验。 Copyright © 2023 布克学术 All rights reserved.
京ICP备2023020795号-1
ghs 京公网安备 11010802042870号
Book学术文献互助
Book学术文献互助群
群 号:604180095
Book学术官方微信