Targeted Modulation of Mitochondrial Oxidative Stress Ameliorates 5-Fluorouracil-Induced Renal Injury in BALB/c Mice.

2区 生物学 Q1 Biochemistry, Genetics and Molecular Biology
Oxidative Medicine and Cellular Longevity Pub Date : 2025-03-06 eCollection Date: 2025-01-01 DOI:10.1155/omcl/8892026
Prasad Kisan Tambe, Maya P Shetty, Komal Rana, Sanjay Bharati
{"title":"Targeted Modulation of Mitochondrial Oxidative Stress Ameliorates 5-Fluorouracil-Induced Renal Injury in BALB/c Mice.","authors":"Prasad Kisan Tambe, Maya P Shetty, Komal Rana, Sanjay Bharati","doi":"10.1155/omcl/8892026","DOIUrl":null,"url":null,"abstract":"<p><p><b>Background:</b> The present study reports the protective effect conferred by scavenging mitochondrial oxidative stress (mtOS) in 5-fluorouracil (5-FU)-induced renal injury. <b>Methods:</b> 5-FU renal toxicity model was created by administering 5-FU (12 mg/kg b.w. intraperitoneally [i.p.], for 4 days) to male BALB/c mice. The protective effect of mitochondria-targeted antioxidant (MTA), Mito-TEMPO coadministered at a dosage of 0.1 mg/kg b.w. i.p., was established in terms of levels/expressions of renal injury markers, histopathological alterations, oxidative DNA damage, proinflammatory markers, mtOS, mitochondrial dysfunction, and modulation of apoptotic proteins and apoptotic cell death. <b>Results:</b> A significant rise in the levels of serum urea, uric acid, and creatinine was noted after 5-FU administration to the animals. Immunohistochemical and ELISA findings demonstrated significant decrease in podocin and conversely a significant increase in neutrophil gelatinase-associated lipocalin (NGAL) expression after 5-FU challenge. The histopathological analysis further revealed Bowman's capsule dilation, glomerular condensation, and vacuolar degeneration. Mito-TEMPO treatment significantly lowered renal injury markers, reversed the expressions of podocin and NGAL to normal, and restored normal histoarchitecture of renal tissue. Mitochondrial reactive oxygen species (mtROS), mtLPO, activity of mitochondrial enzyme complexes, and mitochondrial antioxidant defense status were significantly improved in Mito-TEMPO protected group as compared to the 5-FU group. Further, significantly decreased expression of 8-OHdG, reduction in apoptotic cell death, and modulation of apoptotic proteins Bax, Bcl-2, and caspase-3 were noted in Mito-TEMPO protected group, indicating its protective effect against 5-FU-induced renal injury. <b>Conclusion:</b> The approach of targeting mtOS using MTA, Mito-TEMPO, may prove as safe adjuvant in alleviating renal toxicity during 5-FU chemotherapy.</p>","PeriodicalId":19657,"journal":{"name":"Oxidative Medicine and Cellular Longevity","volume":"2025 ","pages":"8892026"},"PeriodicalIF":0.0000,"publicationDate":"2025-03-06","publicationTypes":"Journal Article","fieldsOfStudy":null,"isOpenAccess":false,"openAccessPdf":"https://www.ncbi.nlm.nih.gov/pmc/articles/PMC11986914/pdf/","citationCount":"0","resultStr":null,"platform":"Semanticscholar","paperid":null,"PeriodicalName":"Oxidative Medicine and Cellular Longevity","FirstCategoryId":"99","ListUrlMain":"https://doi.org/10.1155/omcl/8892026","RegionNum":2,"RegionCategory":"生物学","ArticlePicture":[],"TitleCN":null,"AbstractTextCN":null,"PMCID":null,"EPubDate":"2025/1/1 0:00:00","PubModel":"eCollection","JCR":"Q1","JCRName":"Biochemistry, Genetics and Molecular Biology","Score":null,"Total":0}
引用次数: 0

Abstract

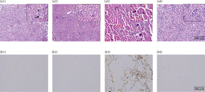
Background: The present study reports the protective effect conferred by scavenging mitochondrial oxidative stress (mtOS) in 5-fluorouracil (5-FU)-induced renal injury. Methods: 5-FU renal toxicity model was created by administering 5-FU (12 mg/kg b.w. intraperitoneally [i.p.], for 4 days) to male BALB/c mice. The protective effect of mitochondria-targeted antioxidant (MTA), Mito-TEMPO coadministered at a dosage of 0.1 mg/kg b.w. i.p., was established in terms of levels/expressions of renal injury markers, histopathological alterations, oxidative DNA damage, proinflammatory markers, mtOS, mitochondrial dysfunction, and modulation of apoptotic proteins and apoptotic cell death. Results: A significant rise in the levels of serum urea, uric acid, and creatinine was noted after 5-FU administration to the animals. Immunohistochemical and ELISA findings demonstrated significant decrease in podocin and conversely a significant increase in neutrophil gelatinase-associated lipocalin (NGAL) expression after 5-FU challenge. The histopathological analysis further revealed Bowman's capsule dilation, glomerular condensation, and vacuolar degeneration. Mito-TEMPO treatment significantly lowered renal injury markers, reversed the expressions of podocin and NGAL to normal, and restored normal histoarchitecture of renal tissue. Mitochondrial reactive oxygen species (mtROS), mtLPO, activity of mitochondrial enzyme complexes, and mitochondrial antioxidant defense status were significantly improved in Mito-TEMPO protected group as compared to the 5-FU group. Further, significantly decreased expression of 8-OHdG, reduction in apoptotic cell death, and modulation of apoptotic proteins Bax, Bcl-2, and caspase-3 were noted in Mito-TEMPO protected group, indicating its protective effect against 5-FU-induced renal injury. Conclusion: The approach of targeting mtOS using MTA, Mito-TEMPO, may prove as safe adjuvant in alleviating renal toxicity during 5-FU chemotherapy.

Abstract Image

Abstract Image

Abstract Image

靶向调节线粒体氧化应激可改善5-氟尿嘧啶诱导的BALB/c小鼠肾损伤
背景:本研究报道了清除线粒体氧化应激(mtOS)对5-氟尿嘧啶(5-FU)所致肾损伤的保护作用。方法:采用5-FU (12 mg/kg b.w.)腹腔注射法建立5-FU肾毒性模型;],持续4天)。线粒体靶向抗氧化剂(MTA) Mito-TEMPO以0.1 mg/kg体重/体重共给药,在肾损伤标志物、组织病理学改变、氧化DNA损伤、促炎标志物、mtOS、线粒体功能障碍、凋亡蛋白和凋亡细胞死亡调节的水平/表达方面建立了保护作用。结果:5-FU给药后,血清尿素、尿酸和肌酐水平显著升高。免疫组织化学和ELISA结果显示,5-FU刺激后,podocin显著降低,中性粒细胞明胶酶相关脂钙蛋白(NGAL)表达显著增加。组织病理学分析进一步显示Bowman囊扩张、肾小球凝聚和空泡变性。Mito-TEMPO处理显著降低肾损伤标志物,使podocin和NGAL表达恢复正常,恢复肾组织正常组织结构。与5-FU组相比,Mito-TEMPO保护组线粒体活性氧(mtROS)、mtLPO、线粒体酶复合物活性和线粒体抗氧化防御状态均显著改善。此外,Mito-TEMPO保护组8-OHdG的表达显著降低,凋亡细胞死亡减少,凋亡蛋白Bax、Bcl-2和caspase-3的调节,表明其对5- fu诱导的肾损伤具有保护作用。结论:MTA、Mito-TEMPO靶向mtOS可作为减轻5-FU化疗期间肾毒性的安全辅助手段。
本文章由计算机程序翻译,如有差异,请以英文原文为准。
求助全文
约1分钟内获得全文 求助全文
来源期刊
CiteScore
13.20
自引率
0.00%
发文量
1274
审稿时长
3-8 weeks
期刊介绍: Oxidative Medicine and Cellular Longevity is a unique peer-reviewed, Open Access journal that publishes original research and review articles dealing with the cellular and molecular mechanisms of oxidative stress in the nervous system and related organ systems in relation to aging, immune function, vascular biology, metabolism, cellular survival and cellular longevity. Oxidative stress impacts almost all acute and chronic progressive disorders and on a cellular basis is intimately linked to aging, cardiovascular disease, cancer, immune function, metabolism and neurodegeneration. The journal fills a significant void in today’s scientific literature and serves as an international forum for the scientific community worldwide to translate pioneering “bench to bedside” research into clinical strategies.
×
引用
GB/T 7714-2015
复制
MLA
复制
APA
复制
导出至
BibTeX EndNote RefMan NoteFirst NoteExpress
×
提示
您的信息不完整,为了账户安全,请先补充。
现在去补充
×
提示
您因"违规操作"
具体请查看互助需知
我知道了
×
提示
确定
请完成安全验证×
copy
已复制链接
快去分享给好友吧!
我知道了
右上角分享
点击右上角分享
0
联系我们:info@booksci.cn Book学术提供免费学术资源搜索服务,方便国内外学者检索中英文文献。致力于提供最便捷和优质的服务体验。 Copyright © 2023 布克学术 All rights reserved.
京ICP备2023020795号-1
ghs 京公网安备 11010802042870号
Book学术文献互助
Book学术文献互助群
群 号:604180095
Book学术官方微信