Unexpected Twists: Intussusception as a Long Term Sequalae of Bariatric Surgery.

IF 0.6 Q3 MEDICINE, GENERAL & INTERNAL
Mohamed A M Amer, Ramya Vasireddy, Dimitrios Ladakis, Adhvithi Pingili, Ahmed Aly, Christopher Haas
{"title":"Unexpected Twists: Intussusception as a Long Term Sequalae of Bariatric Surgery.","authors":"Mohamed A M Amer, Ramya Vasireddy, Dimitrios Ladakis, Adhvithi Pingili, Ahmed Aly, Christopher Haas","doi":"10.55729/2000-9666.1459","DOIUrl":null,"url":null,"abstract":"<p><p>Bowel intussusception is rare in adults and accounts for less than 5 % of all cases, occurs in only 1 % of patients with bowel obstruction and in 0.64 % of patients following Roux-en-y bypass surgery with a female predominance. Our case underscores the unusual size and configuration of intussusception, wherein the distal segment telescopes into the proximal segment, defying the conventional presentation. Notably, the rarity of observing intussusception following Roux-en-Y gastric bypass surgery is also highlighted. It is important to be clinically vigilant and keep long term sequalae of bariatric surgery on the differential. A 56-year-old female with a remote history of Roux-en-Y gastric bypass surgery presented with epigastric pain radiating to the lower left and right quadrants, nausea, and vomiting of 1-day duration. She was on a prolonged outpatient course of non-steroidal anti-inflammatory drugs and steroids for pain management following recent orthopedic procedure. In the emergency department, she was afebrile, saturating well on two liters of oxygen, and normotensive with sinus tachycardia. Labs showed leukocytosis with mildly elevated lipase, alkaline phosphatase, and lactic acid. Initial CT abdomen pelvis with contrast was unremarkable. The patient continued to experience abdominal pain with worsening lactic acid. Repeat imaging revealed a 10 cm enteroenteric intussusception containing proximal jejunum with the gastric bypass Roux limb acting as the intussuscipiens. No obvious mass or lead point was identified. Ulceration/stricture at the jejunojejunal anastomosis was thought to be contributory to this. The patient underwent successful laparoscopic surgery.</p>","PeriodicalId":15460,"journal":{"name":"Journal of Community Hospital Internal Medicine Perspectives","volume":"15 2","pages":"33-34"},"PeriodicalIF":0.6000,"publicationDate":"2025-03-07","publicationTypes":"Journal Article","fieldsOfStudy":null,"isOpenAccess":false,"openAccessPdf":"https://www.ncbi.nlm.nih.gov/pmc/articles/PMC12039324/pdf/","citationCount":"0","resultStr":null,"platform":"Semanticscholar","paperid":null,"PeriodicalName":"Journal of Community Hospital Internal Medicine Perspectives","FirstCategoryId":"1085","ListUrlMain":"https://doi.org/10.55729/2000-9666.1459","RegionNum":0,"RegionCategory":null,"ArticlePicture":[],"TitleCN":null,"AbstractTextCN":null,"PMCID":null,"EPubDate":"2025/1/1 0:00:00","PubModel":"eCollection","JCR":"Q3","JCRName":"MEDICINE, GENERAL & INTERNAL","Score":null,"Total":0}
引用次数: 0

Abstract

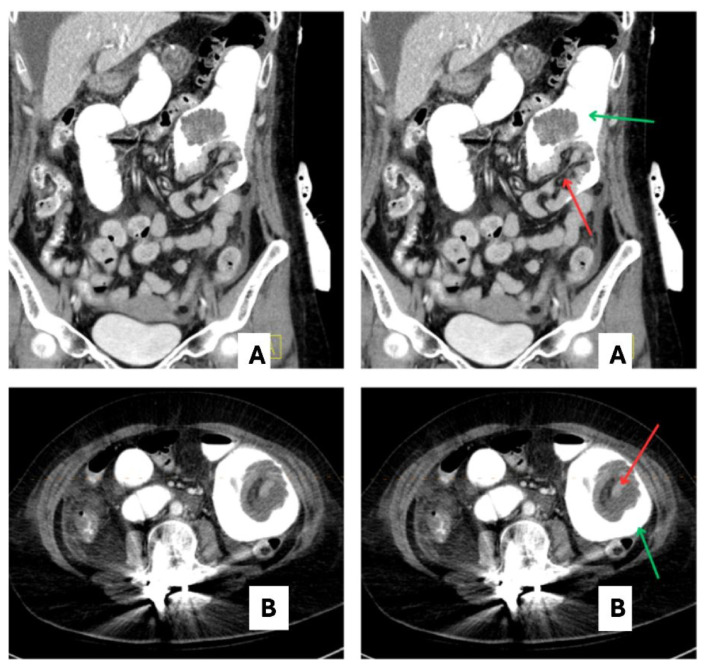
Bowel intussusception is rare in adults and accounts for less than 5 % of all cases, occurs in only 1 % of patients with bowel obstruction and in 0.64 % of patients following Roux-en-y bypass surgery with a female predominance. Our case underscores the unusual size and configuration of intussusception, wherein the distal segment telescopes into the proximal segment, defying the conventional presentation. Notably, the rarity of observing intussusception following Roux-en-Y gastric bypass surgery is also highlighted. It is important to be clinically vigilant and keep long term sequalae of bariatric surgery on the differential. A 56-year-old female with a remote history of Roux-en-Y gastric bypass surgery presented with epigastric pain radiating to the lower left and right quadrants, nausea, and vomiting of 1-day duration. She was on a prolonged outpatient course of non-steroidal anti-inflammatory drugs and steroids for pain management following recent orthopedic procedure. In the emergency department, she was afebrile, saturating well on two liters of oxygen, and normotensive with sinus tachycardia. Labs showed leukocytosis with mildly elevated lipase, alkaline phosphatase, and lactic acid. Initial CT abdomen pelvis with contrast was unremarkable. The patient continued to experience abdominal pain with worsening lactic acid. Repeat imaging revealed a 10 cm enteroenteric intussusception containing proximal jejunum with the gastric bypass Roux limb acting as the intussuscipiens. No obvious mass or lead point was identified. Ulceration/stricture at the jejunojejunal anastomosis was thought to be contributory to this. The patient underwent successful laparoscopic surgery.

Abstract Image

意想不到的转折:肠套叠作为减肥手术的长期后遗症。
肠套叠在成人中很少见,占所有病例的不到5%,仅在1%的肠梗阻患者中发生,在Roux-en-y旁路手术患者中发生率为0.64%,以女性为主。我们的病例强调了肠套叠不寻常的大小和结构,其中远端节段望远镜到近端节段,挑战传统的表现。值得注意的是,Roux-en-Y胃旁路手术后观察肠套叠的罕见性也被强调。重要的是要保持临床警惕,并对减肥手术的长期后遗症进行鉴别。56岁女性,既往有Roux-en-Y胃旁路手术史,表现为胃脘痛放射至左下和右下象限,恶心和呕吐1天。在最近的骨科手术后,她长期接受非甾体抗炎药和类固醇治疗疼痛。在急诊科,她不发烧,两升吸氧饱和度良好,血压正常,伴有窦性心动过速。实验室显示白细胞增多,脂肪酶、碱性磷酸酶和乳酸轻度升高。初始CT腹部骨盆造影未见明显变化。患者持续腹痛并伴有乳酸恶化。重复成像显示一个10厘米的肠肠套叠,包括近空肠,胃旁路Roux肢作为肠套叠。没有发现明显的质量或铅点。空肠-空肠吻合处的溃疡/狭窄被认为是造成这种情况的原因。病人接受了成功的腹腔镜手术。
本文章由计算机程序翻译,如有差异,请以英文原文为准。
求助全文
约1分钟内获得全文 求助全文
来源期刊
自引率
0.00%
发文量
106
审稿时长
17 weeks
期刊介绍: JCHIMP provides: up-to-date information in the field of Internal Medicine to community hospital medical professionals a platform for clinical faculty, residents, and medical students to publish research relevant to community hospital programs. Manuscripts that explore aspects of medicine at community hospitals welcome, including but not limited to: the best practices of community academic programs community hospital-based research opinion and insight from community hospital leadership and faculty the scholarly work of residents and medical students affiliated with community hospitals.
×
引用
GB/T 7714-2015
复制
MLA
复制
APA
复制
导出至
BibTeX EndNote RefMan NoteFirst NoteExpress
×
提示
您的信息不完整,为了账户安全,请先补充。
现在去补充
×
提示
您因"违规操作"
具体请查看互助需知
我知道了
×
提示
确定
请完成安全验证×
copy
已复制链接
快去分享给好友吧!
我知道了
右上角分享
点击右上角分享
0
联系我们:info@booksci.cn Book学术提供免费学术资源搜索服务,方便国内外学者检索中英文文献。致力于提供最便捷和优质的服务体验。 Copyright © 2023 布克学术 All rights reserved.
京ICP备2023020795号-1
ghs 京公网安备 11010802042870号
Book学术文献互助
Book学术文献互助群
群 号:604180095
Book学术官方微信