A Rare Case of Isolated Metastasis to the Pleura in the Setting of Newly Diagnosed Pancreatic Adenocarcinoma.

IF 0.6 Q3 MEDICINE, GENERAL & INTERNAL
Rakahn Haddadin, Humzah Iqbal, Danny Aboujamra, George Trad, John Ryan, Hatim Gemil
{"title":"A Rare Case of Isolated Metastasis to the Pleura in the Setting of Newly Diagnosed Pancreatic Adenocarcinoma.","authors":"Rakahn Haddadin, Humzah Iqbal, Danny Aboujamra, George Trad, John Ryan, Hatim Gemil","doi":"10.55729/2000-9666.1454","DOIUrl":null,"url":null,"abstract":"<p><p>In the landscape of pancreatic cancer, extra-pancreatic manifestations like pleural effusion are infrequent. Our case spotlights a 78-year-old female with a recent diagnosis of pancreatic adenocarcinoma with isolated metastasis to the pleura. The patient presented with exacerbated dyspnea and cough, shedding light on the uncommon link between pancreatic adenocarcinoma and pleural effusion. Pancreatic cancer typically exhibits nonspecific symptoms, and its association with pleural effusion significantly complicates diagnosis, often leading to delayed recognition and management challenges. This case underscores the diagnostic complexities and the need for heightened vigilance when faced with atypical presentations in pancreatic cancer, emphasizing the intricacies of managing such rare extra-pancreatic manifestations.</p>","PeriodicalId":15460,"journal":{"name":"Journal of Community Hospital Internal Medicine Perspectives","volume":"15 2","pages":"90-93"},"PeriodicalIF":0.6000,"publicationDate":"2025-03-07","publicationTypes":"Journal Article","fieldsOfStudy":null,"isOpenAccess":false,"openAccessPdf":"https://www.ncbi.nlm.nih.gov/pmc/articles/PMC12039329/pdf/","citationCount":"0","resultStr":null,"platform":"Semanticscholar","paperid":null,"PeriodicalName":"Journal of Community Hospital Internal Medicine Perspectives","FirstCategoryId":"1085","ListUrlMain":"https://doi.org/10.55729/2000-9666.1454","RegionNum":0,"RegionCategory":null,"ArticlePicture":[],"TitleCN":null,"AbstractTextCN":null,"PMCID":null,"EPubDate":"2025/1/1 0:00:00","PubModel":"eCollection","JCR":"Q3","JCRName":"MEDICINE, GENERAL & INTERNAL","Score":null,"Total":0}
引用次数: 0

Abstract

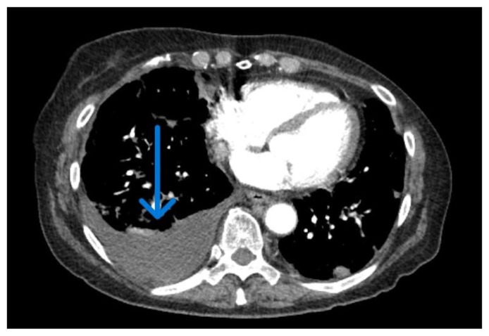
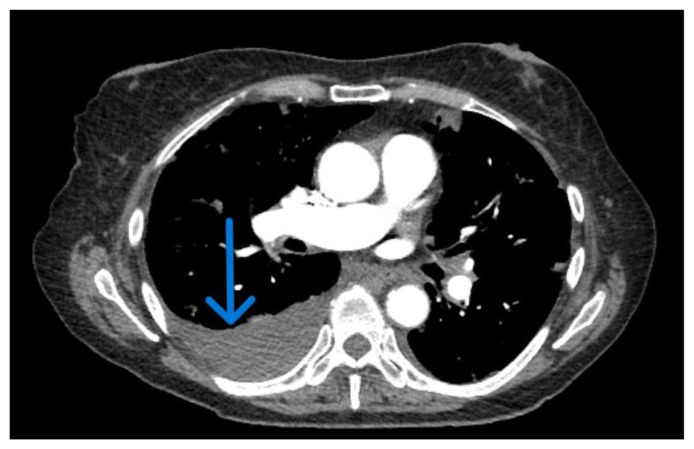
In the landscape of pancreatic cancer, extra-pancreatic manifestations like pleural effusion are infrequent. Our case spotlights a 78-year-old female with a recent diagnosis of pancreatic adenocarcinoma with isolated metastasis to the pleura. The patient presented with exacerbated dyspnea and cough, shedding light on the uncommon link between pancreatic adenocarcinoma and pleural effusion. Pancreatic cancer typically exhibits nonspecific symptoms, and its association with pleural effusion significantly complicates diagnosis, often leading to delayed recognition and management challenges. This case underscores the diagnostic complexities and the need for heightened vigilance when faced with atypical presentations in pancreatic cancer, emphasizing the intricacies of managing such rare extra-pancreatic manifestations.

Abstract Image

Abstract Image

新诊断的胰腺腺癌中一例罕见的胸膜转移。
在胰腺癌的表现中,像胸腔积液这样的胰腺外表现并不常见。我们的病例是一位78岁的女性,最近诊断为胰腺腺癌并孤立转移到胸膜。患者表现为呼吸困难和咳嗽加重,揭示了胰腺腺癌与胸腔积液之间的罕见联系。胰腺癌通常表现出非特异性症状,其与胸腔积液的关联显著地使诊断复杂化,常常导致延迟识别和治疗挑战。本病例强调了诊断的复杂性和面对胰腺癌非典型表现时提高警惕的必要性,强调了处理这种罕见的胰腺外表现的复杂性。
本文章由计算机程序翻译,如有差异,请以英文原文为准。
求助全文
约1分钟内获得全文 求助全文
来源期刊
自引率
0.00%
发文量
106
审稿时长
17 weeks
期刊介绍: JCHIMP provides: up-to-date information in the field of Internal Medicine to community hospital medical professionals a platform for clinical faculty, residents, and medical students to publish research relevant to community hospital programs. Manuscripts that explore aspects of medicine at community hospitals welcome, including but not limited to: the best practices of community academic programs community hospital-based research opinion and insight from community hospital leadership and faculty the scholarly work of residents and medical students affiliated with community hospitals.
×
引用
GB/T 7714-2015
复制
MLA
复制
APA
复制
导出至
BibTeX EndNote RefMan NoteFirst NoteExpress
×
提示
您的信息不完整,为了账户安全,请先补充。
现在去补充
×
提示
您因"违规操作"
具体请查看互助需知
我知道了
×
提示
确定
请完成安全验证×
copy
已复制链接
快去分享给好友吧!
我知道了
右上角分享
点击右上角分享
0
联系我们:info@booksci.cn Book学术提供免费学术资源搜索服务,方便国内外学者检索中英文文献。致力于提供最便捷和优质的服务体验。 Copyright © 2023 布克学术 All rights reserved.
京ICP备2023020795号-1
ghs 京公网安备 11010802042870号
Book学术文献互助
Book学术文献互助群
群 号:604180095
Book学术官方微信