Clinical-year Students' Competency in Chest X-ray Interpretation: A Theoretical-based Intervention.

IF 1.5 Q2 MEDICINE, GENERAL & INTERNAL
Tarek Hegazi, Khalid Kurdi, Abdulaziz Alfayez, Ali Alhammad, Abdullah Aldakheel, Rakan Alshahrani, Ghazi Alotaibi, Muhannad AlQahtani, Mu'taman Jarrar, Hussain Abu Al Ola, Abdulmohsen Al Elq
{"title":"Clinical-year Students' Competency in Chest X-ray Interpretation: A Theoretical-based Intervention.","authors":"Tarek Hegazi, Khalid Kurdi, Abdulaziz Alfayez, Ali Alhammad, Abdullah Aldakheel, Rakan Alshahrani, Ghazi Alotaibi, Muhannad AlQahtani, Mu'taman Jarrar, Hussain Abu Al Ola, Abdulmohsen Al Elq","doi":"10.4103/sjmms.sjmms_623_24","DOIUrl":null,"url":null,"abstract":"<p><strong>Background: </strong>Chest radiography is important in detecting chest abnormalities, an essential skill for medical students during their transition into clinical years. Although critical, limited research has evaluated students' competencies in chest X-ray interpretation, a recognized area of weakness.</p><p><strong>Objectives: </strong>This study aims to (1) assess medical students' competencies and confidence in chest X-ray interpretation, (2) measure the effectiveness of an educational intervention, and (3) determine the influence of clinical history on students' decision-making.</p><p><strong>Materials and methods: </strong>This experimental pre- and post-design study included clinical-year students from College of Medicine, Imam Abdulrahman Bin Faisal University, Dammam, Saudi Arabia, and was conducted between November 2022 and April 2023. It was executed in three phases: pre-intervention assessment, an intervention involving a lecture based on Thomas and Kern's six-step approach, and a post-intervention assessment.</p><p><strong>Results: </strong>The study comprised 77 students. Mean self-reported knowledge and confidence scores were 3.08 ± 0.6 and 2.78 ± 0.7, respectively. There was a significant difference in the mean scores for the pre-test without clinical history (6.29 ± 2.38) compared with the pre-test with clinical history scores (8.58 ± 2.65) (<i>P</i> < 0.001). Post-intervention scores were also significant (9.40 ± 2.91) compared to both pre-tests without and with clinical history (<i>P</i> < 0.001 and 0.034, respectively). Students exhibited high accuracy in diagnosing pneumoperitoneum with and without clinical history (88% and 97%, respectively). Confidence scores were elevated when clinical history was provided and the students had access to their patients' histories.</p><p><strong>Conclusions: </strong>A lecture-based intervention built on Thomas and Kern's approach markedly enhanced students' capacities to interpret chest X-rays. Integrating clinical history proved beneficial, underscoring the necessity for comprehensive teaching methodologies in medical education.</p>","PeriodicalId":21442,"journal":{"name":"Saudi Journal of Medicine & Medical Sciences","volume":"13 2","pages":"133-141"},"PeriodicalIF":1.5000,"publicationDate":"2025-04-01","publicationTypes":"Journal Article","fieldsOfStudy":null,"isOpenAccess":false,"openAccessPdf":"https://www.ncbi.nlm.nih.gov/pmc/articles/PMC12063959/pdf/","citationCount":"0","resultStr":null,"platform":"Semanticscholar","paperid":null,"PeriodicalName":"Saudi Journal of Medicine & Medical Sciences","FirstCategoryId":"1085","ListUrlMain":"https://doi.org/10.4103/sjmms.sjmms_623_24","RegionNum":0,"RegionCategory":null,"ArticlePicture":[],"TitleCN":null,"AbstractTextCN":null,"PMCID":null,"EPubDate":"2025/4/21 0:00:00","PubModel":"Epub","JCR":"Q2","JCRName":"MEDICINE, GENERAL & INTERNAL","Score":null,"Total":0}
引用次数: 0

Abstract

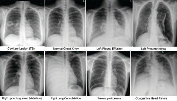
Background: Chest radiography is important in detecting chest abnormalities, an essential skill for medical students during their transition into clinical years. Although critical, limited research has evaluated students' competencies in chest X-ray interpretation, a recognized area of weakness.

Objectives: This study aims to (1) assess medical students' competencies and confidence in chest X-ray interpretation, (2) measure the effectiveness of an educational intervention, and (3) determine the influence of clinical history on students' decision-making.

Materials and methods: This experimental pre- and post-design study included clinical-year students from College of Medicine, Imam Abdulrahman Bin Faisal University, Dammam, Saudi Arabia, and was conducted between November 2022 and April 2023. It was executed in three phases: pre-intervention assessment, an intervention involving a lecture based on Thomas and Kern's six-step approach, and a post-intervention assessment.

Results: The study comprised 77 students. Mean self-reported knowledge and confidence scores were 3.08 ± 0.6 and 2.78 ± 0.7, respectively. There was a significant difference in the mean scores for the pre-test without clinical history (6.29 ± 2.38) compared with the pre-test with clinical history scores (8.58 ± 2.65) (P < 0.001). Post-intervention scores were also significant (9.40 ± 2.91) compared to both pre-tests without and with clinical history (P < 0.001 and 0.034, respectively). Students exhibited high accuracy in diagnosing pneumoperitoneum with and without clinical history (88% and 97%, respectively). Confidence scores were elevated when clinical history was provided and the students had access to their patients' histories.

Conclusions: A lecture-based intervention built on Thomas and Kern's approach markedly enhanced students' capacities to interpret chest X-rays. Integrating clinical history proved beneficial, underscoring the necessity for comprehensive teaching methodologies in medical education.

Abstract Image

Abstract Image

临床年级学生胸部x线解读能力:基于理论的干预。
背景:胸部x线摄影在检测胸部异常方面很重要,是医学生进入临床阶段的一项基本技能。尽管至关重要,但有限的研究评估了学生在胸部x射线解释方面的能力,这是一个公认的弱点。目的:本研究旨在(1)评估医学生对胸片解释的能力和信心,(2)衡量教育干预的有效性,(3)确定病史对学生决策的影响。材料和方法:本实验设计前和设计后研究包括来自沙特阿拉伯达曼伊玛目阿卜杜勒拉赫曼本费萨尔大学医学院的临床年级学生,于2022年11月至2023年4月进行。它分三个阶段进行:干预前评估,干预包括基于Thomas和Kern的六步方法的讲座,以及干预后评估。结果:本研究共纳入77名学生。自述知识和自信得分均值分别为3.08±0.6分和2.78±0.7分。无病史前测的平均得分为6.29±2.38分,有病史前测的平均得分为8.58±2.65分,差异有统计学意义(P < 0.001)。与无病史和有病史的两组相比,干预后得分均有显著性差异(9.40±2.91)(P分别< 0.001和0.034)。有和无临床病史的学生对气腹的诊断准确率较高(分别为88%和97%)。当提供了患者的临床病史,并且学生们能够接触到患者的病史时,信心得分就会提高。结论:基于Thomas和Kern方法的以讲座为基础的干预显著提高了学生解读胸部x光片的能力。结合临床病史证明是有益的,强调了医学教育中综合教学方法的必要性。
本文章由计算机程序翻译,如有差异,请以英文原文为准。
求助全文
约1分钟内获得全文 求助全文
来源期刊
Saudi Journal of Medicine & Medical Sciences
Saudi Journal of Medicine & Medical Sciences MEDICINE, GENERAL & INTERNAL-
CiteScore
1.40
自引率
0.00%
发文量
52
审稿时长
15 weeks
期刊介绍: Saudi Journal of Medicine & Medical Sciences (SJMMS) is the official scientific journal of Imam Abdulrahman Bin Faisal University. It is an international peer-reviewed, general medical journal. The scope of the Journal is to publish research that will be of interest to health specialties both in academic and clinical practice. The Journal aims at disseminating high-powered research results with the objective of turning research into knowledge. It seeks to promote scholarly publishing in medicine and medical sciences. The Journal is published in print and online. The target readers of the Journal include all medical and health professionals in the health cluster such as in medicine, dentistry, nursing, applied medical sciences, clinical pharmacology, public health, etc.
×
引用
GB/T 7714-2015
复制
MLA
复制
APA
复制
导出至
BibTeX EndNote RefMan NoteFirst NoteExpress
×
提示
您的信息不完整,为了账户安全,请先补充。
现在去补充
×
提示
您因"违规操作"
具体请查看互助需知
我知道了
×
提示
确定
请完成安全验证×
copy
已复制链接
快去分享给好友吧!
我知道了
右上角分享
点击右上角分享
0
联系我们:info@booksci.cn Book学术提供免费学术资源搜索服务,方便国内外学者检索中英文文献。致力于提供最便捷和优质的服务体验。 Copyright © 2023 布克学术 All rights reserved.
京ICP备2023020795号-1
ghs 京公网安备 11010802042870号
Book学术文献互助
Book学术文献互助群
群 号:604180095
Book学术官方微信