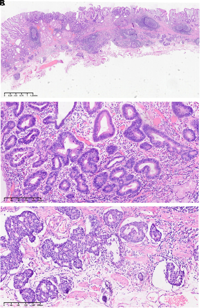
A Rare Case of Early Gastric Mixed Neuroendocrine-Non-Neuroendocrine Neoplasm.

IF 1.6 4区 医学 Q4 GASTROENTEROLOGY & HEPATOLOGY
Shouxin Yin, Shuai Han, Shuangshuang Ren
{"title":"A Rare Case of Early Gastric Mixed Neuroendocrine-Non-Neuroendocrine Neoplasm.","authors":"Shouxin Yin, Shuai Han, Shuangshuang Ren","doi":"10.5152/tjg.2025.24574","DOIUrl":null,"url":null,"abstract":"","PeriodicalId":51205,"journal":{"name":"Turkish Journal of Gastroenterology","volume":" ","pages":"474-476"},"PeriodicalIF":1.6000,"publicationDate":"2025-03-25","publicationTypes":"Journal Article","fieldsOfStudy":null,"isOpenAccess":false,"openAccessPdf":"https://www.ncbi.nlm.nih.gov/pmc/articles/PMC12257710/pdf/","citationCount":"0","resultStr":null,"platform":"Semanticscholar","paperid":null,"PeriodicalName":"Turkish Journal of Gastroenterology","FirstCategoryId":"3","ListUrlMain":"https://doi.org/10.5152/tjg.2025.24574","RegionNum":4,"RegionCategory":"医学","ArticlePicture":[],"TitleCN":null,"AbstractTextCN":null,"PMCID":null,"EPubDate":"","PubModel":"","JCR":"Q4","JCRName":"GASTROENTEROLOGY & HEPATOLOGY","Score":null,"Total":0}
引用次数: 0

Abstract Image

Abstract Image

Abstract Image

早期胃神经内分泌-非神经内分泌混合性肿瘤1例。
本文章由计算机程序翻译,如有差异,请以英文原文为准。
求助全文
约1分钟内获得全文 求助全文
来源期刊
Turkish Journal of Gastroenterology
Turkish Journal of Gastroenterology 医学-胃肠肝病学
CiteScore
1.90
自引率
0.00%
发文量
127
审稿时长
6 months
期刊介绍: The Turkish Journal of Gastroenterology (Turk J Gastroenterol) is the double-blind peer-reviewed, open access, international publication organ of the Turkish Society of Gastroenterology. The journal is a bimonthly publication, published on January, March, May, July, September, November and its publication language is English. The Turkish Journal of Gastroenterology aims to publish international at the highest clinical and scientific level on original issues of gastroenterology and hepatology. The journal publishes original papers, review articles, case reports and letters to the editor on clinical and experimental gastroenterology and hepatology.
×
引用
GB/T 7714-2015
复制
MLA
复制
APA
复制
导出至
BibTeX EndNote RefMan NoteFirst NoteExpress
×
提示
您的信息不完整,为了账户安全,请先补充。
现在去补充
×
提示
您因"违规操作"
具体请查看互助需知
我知道了
×
提示
确定
请完成安全验证×
copy
已复制链接
快去分享给好友吧!
我知道了
右上角分享
点击右上角分享
0
联系我们:info@booksci.cn Book学术提供免费学术资源搜索服务,方便国内外学者检索中英文文献。致力于提供最便捷和优质的服务体验。 Copyright © 2023 布克学术 All rights reserved.
京ICP备2023020795号-1
ghs 京公网安备 11010802042870号
Book学术文献互助
Book学术文献互助群
群 号:604180095
Book学术官方微信