Managing the Complexity of Thrombotic and Bleeding Risks: Case Report of Factor VII Deficiency and Factor V Leiden Mutation in a Patient With Bi-valvular Infective Endocarditis Undergoing Open-heart Surgery.

IF 0.6 Q3 MEDICINE, GENERAL & INTERNAL
Tharun Shyam, Soe P Winn, Vallabh Shet, Saumya Nanda, Momna Noor, Vahagn Tamazyan, Palvi S Jindal, Kamlesh Kumar, Alina Zatsepina, Stephen Peeke, Mariya Astashkevich
{"title":"Managing the Complexity of Thrombotic and Bleeding Risks: Case Report of Factor VII Deficiency and Factor V Leiden Mutation in a Patient With Bi-valvular Infective Endocarditis Undergoing Open-heart Surgery.","authors":"Tharun Shyam, Soe P Winn, Vallabh Shet, Saumya Nanda, Momna Noor, Vahagn Tamazyan, Palvi S Jindal, Kamlesh Kumar, Alina Zatsepina, Stephen Peeke, Mariya Astashkevich","doi":"10.55729/2000-9666.1463","DOIUrl":null,"url":null,"abstract":"<p><p>Factor VII deficiency (FVIID) is a rare autosomal dominant disorder that occurs in approximately 1 in 500,000 individuals. Paradoxically, 3-4 percent of cases of FVIID result in thrombosis. The etiology behind this clotting predilection is thought to be multifactorial, possibly due to an associated pro-coagulant mutation. We hereby describe a case of FVIID with a heterozygous Factor V Leiden mutation (FVLM) in a patient with bivalvular infective endocarditis undergoing open-heart surgery. This case highlights the complexity of managing patients with concomitant bleeding and thrombotic tendencies, especially in the context of major surgery. We recommend tailoring anticoagulation strategies on a case by case basis to manage these risks.</p>","PeriodicalId":15460,"journal":{"name":"Journal of Community Hospital Internal Medicine Perspectives","volume":"15 2","pages":"71-75"},"PeriodicalIF":0.6000,"publicationDate":"2025-03-07","publicationTypes":"Journal Article","fieldsOfStudy":null,"isOpenAccess":false,"openAccessPdf":"https://www.ncbi.nlm.nih.gov/pmc/articles/PMC12039323/pdf/","citationCount":"0","resultStr":null,"platform":"Semanticscholar","paperid":null,"PeriodicalName":"Journal of Community Hospital Internal Medicine Perspectives","FirstCategoryId":"1085","ListUrlMain":"https://doi.org/10.55729/2000-9666.1463","RegionNum":0,"RegionCategory":null,"ArticlePicture":[],"TitleCN":null,"AbstractTextCN":null,"PMCID":null,"EPubDate":"2025/1/1 0:00:00","PubModel":"eCollection","JCR":"Q3","JCRName":"MEDICINE, GENERAL & INTERNAL","Score":null,"Total":0}
引用次数: 0

Abstract

Factor VII deficiency (FVIID) is a rare autosomal dominant disorder that occurs in approximately 1 in 500,000 individuals. Paradoxically, 3-4 percent of cases of FVIID result in thrombosis. The etiology behind this clotting predilection is thought to be multifactorial, possibly due to an associated pro-coagulant mutation. We hereby describe a case of FVIID with a heterozygous Factor V Leiden mutation (FVLM) in a patient with bivalvular infective endocarditis undergoing open-heart surgery. This case highlights the complexity of managing patients with concomitant bleeding and thrombotic tendencies, especially in the context of major surgery. We recommend tailoring anticoagulation strategies on a case by case basis to manage these risks.

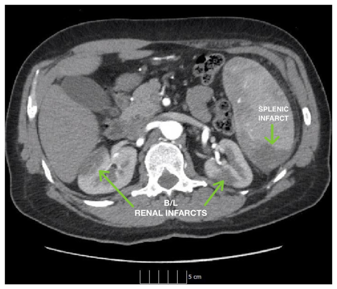
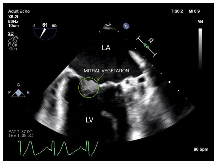
Abstract Image

Abstract Image

Abstract Image

管理血栓和出血风险的复杂性:一名接受心内直视手术的双瓣感染性心内膜炎患者的因子7缺乏和因子V Leiden突变病例报告。
因子七缺乏症(FVIID)是一种罕见的常染色体显性遗传病,大约发生在50万人中。矛盾的是,3- 4%的FVIID病例会导致血栓形成。这种凝血倾向背后的病因被认为是多因素的,可能是由于相关的促凝剂突变。我们在此描述一例伴有杂合因子V Leiden突变(FVLM)的双瓣感染性心内膜炎患者接受心内直视手术。本病例强调了管理伴有出血和血栓形成倾向的患者的复杂性,特别是在大手术的背景下。我们建议根据具体情况量身定制抗凝策略来管理这些风险。
本文章由计算机程序翻译,如有差异,请以英文原文为准。
求助全文
约1分钟内获得全文 求助全文
来源期刊
自引率
0.00%
发文量
106
审稿时长
17 weeks
期刊介绍: JCHIMP provides: up-to-date information in the field of Internal Medicine to community hospital medical professionals a platform for clinical faculty, residents, and medical students to publish research relevant to community hospital programs. Manuscripts that explore aspects of medicine at community hospitals welcome, including but not limited to: the best practices of community academic programs community hospital-based research opinion and insight from community hospital leadership and faculty the scholarly work of residents and medical students affiliated with community hospitals.
×
引用
GB/T 7714-2015
复制
MLA
复制
APA
复制
导出至
BibTeX EndNote RefMan NoteFirst NoteExpress
×
提示
您的信息不完整,为了账户安全,请先补充。
现在去补充
×
提示
您因"违规操作"
具体请查看互助需知
我知道了
×
提示
确定
请完成安全验证×
copy
已复制链接
快去分享给好友吧!
我知道了
右上角分享
点击右上角分享
0
联系我们:info@booksci.cn Book学术提供免费学术资源搜索服务,方便国内外学者检索中英文文献。致力于提供最便捷和优质的服务体验。 Copyright © 2023 布克学术 All rights reserved.
京ICP备2023020795号-1
ghs 京公网安备 11010802042870号
Book学术文献互助
Book学术文献互助群
群 号:604180095
Book学术官方微信