Horner Syndrome Following Permcath Insertion in a Child with End-Stage Renal Disease: A Case Report.

IF 0.9 Q4 CLINICAL NEUROLOGY
Iranian Journal of Child Neurology Pub Date : 2025-01-01 Epub Date: 2025-03-11 DOI:10.22037/ijcn.V19i2.44855
Masoumeh Mohkam, Shiva Fatollahierad, Farzad Ahmadabadi, Mitra Khalili
{"title":"Horner Syndrome Following Permcath Insertion in a Child with End-Stage Renal Disease: A Case Report.","authors":"Masoumeh Mohkam, Shiva Fatollahierad, Farzad Ahmadabadi, Mitra Khalili","doi":"10.22037/ijcn.V19i2.44855","DOIUrl":null,"url":null,"abstract":"<p><p>Horner syndrome, characterized by the triad of unilateral ptosis, miosis, and anhidrosis, typically arises following a stroke, surgical interventions in the neck and chest, or trauma. Horner syndrome is rare in children. This study presents the case of a 9-year-old girl with End-Stage Renal Disease (ESRD) caused by renal hypodysplasia. After permcath insertion, she developed a severe headache and anisocoria, followed by ptosis and a progressively expanding neck hematoma. Physical examination and MRI of the neck revealed that Horner syndrome, caused by hematoma formation following permcath placement, was the diagnosis. Supportive interventions were implemented, leading to significant improvement in Horner syndrome over a six-month period. Complications from permcath insertion can be a cause of Horner syndrome.</p>","PeriodicalId":14537,"journal":{"name":"Iranian Journal of Child Neurology","volume":"19 2","pages":"153-158"},"PeriodicalIF":0.9000,"publicationDate":"2025-01-01","publicationTypes":"Journal Article","fieldsOfStudy":null,"isOpenAccess":false,"openAccessPdf":"https://www.ncbi.nlm.nih.gov/pmc/articles/PMC11994131/pdf/","citationCount":"0","resultStr":null,"platform":"Semanticscholar","paperid":null,"PeriodicalName":"Iranian Journal of Child Neurology","FirstCategoryId":"1085","ListUrlMain":"https://doi.org/10.22037/ijcn.V19i2.44855","RegionNum":0,"RegionCategory":null,"ArticlePicture":[],"TitleCN":null,"AbstractTextCN":null,"PMCID":null,"EPubDate":"2025/3/11 0:00:00","PubModel":"Epub","JCR":"Q4","JCRName":"CLINICAL NEUROLOGY","Score":null,"Total":0}
引用次数: 0

Abstract

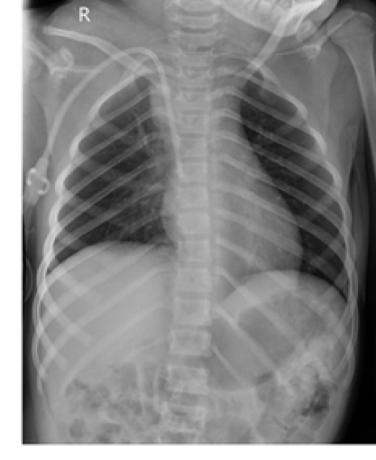
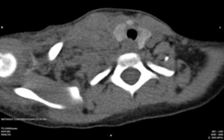
Horner syndrome, characterized by the triad of unilateral ptosis, miosis, and anhidrosis, typically arises following a stroke, surgical interventions in the neck and chest, or trauma. Horner syndrome is rare in children. This study presents the case of a 9-year-old girl with End-Stage Renal Disease (ESRD) caused by renal hypodysplasia. After permcath insertion, she developed a severe headache and anisocoria, followed by ptosis and a progressively expanding neck hematoma. Physical examination and MRI of the neck revealed that Horner syndrome, caused by hematoma formation following permcath placement, was the diagnosis. Supportive interventions were implemented, leading to significant improvement in Horner syndrome over a six-month period. Complications from permcath insertion can be a cause of Horner syndrome.

Abstract Image

Abstract Image

Abstract Image

终末期肾脏疾病儿童插入永久导管后出现霍纳综合征1例报告。
霍纳综合征,以单侧上睑下垂、瞳孔缩小和无汗三联征为特征,通常在中风、颈部和胸部手术干预或创伤后出现。霍纳综合症在儿童中很少见。本研究报告一例9岁女童终末期肾脏疾病(ESRD)引起的肾脏发育不良。插入导管后,患者出现严重头痛和斜视,随后出现上睑下垂和逐渐扩大的颈部血肿。颈部体格检查和MRI显示,诊断为霍纳综合征,由永久性填埋后血肿形成引起。实施了支持性干预措施,在六个月的时间里,霍纳综合征得到了显著改善。从永久导管插入并发症可引起霍纳综合征。
本文章由计算机程序翻译,如有差异,请以英文原文为准。
求助全文
约1分钟内获得全文 求助全文
来源期刊
CiteScore
1.40
自引率
0.00%
发文量
35
×
引用
GB/T 7714-2015
复制
MLA
复制
APA
复制
导出至
BibTeX EndNote RefMan NoteFirst NoteExpress
×
提示
您的信息不完整,为了账户安全,请先补充。
现在去补充
×
提示
您因"违规操作"
具体请查看互助需知
我知道了
×
提示
确定
请完成安全验证×
copy
已复制链接
快去分享给好友吧!
我知道了
右上角分享
点击右上角分享
0
联系我们:info@booksci.cn Book学术提供免费学术资源搜索服务,方便国内外学者检索中英文文献。致力于提供最便捷和优质的服务体验。 Copyright © 2023 布克学术 All rights reserved.
京ICP备2023020795号-1
ghs 京公网安备 11010802042870号
Book学术文献互助
Book学术文献互助群
群 号:604180095
Book学术官方微信