Ataxia Telangiectasia with Giant Suprasellar Arachnoid Cyst - A Case Report and a Brief Review.

IF 0.9 Q4 CLINICAL NEUROLOGY
Iranian Journal of Child Neurology Pub Date : 2025-01-01 Epub Date: 2025-03-11 DOI:10.22037/ijcn.v19i2.45580
Mahmoud Reza Ashrafi, Ali Nikkhah, Morteza Heidari, Golazin ShahbodaghKhan, Roya Sinaei, Solmaz Aziz-Ahari, Hossein Yousefimanesh
{"title":"Ataxia Telangiectasia with Giant Suprasellar Arachnoid Cyst - A Case Report and a Brief Review.","authors":"Mahmoud Reza Ashrafi, Ali Nikkhah, Morteza Heidari, Golazin ShahbodaghKhan, Roya Sinaei, Solmaz Aziz-Ahari, Hossein Yousefimanesh","doi":"10.22037/ijcn.v19i2.45580","DOIUrl":null,"url":null,"abstract":"<p><p>Ataxiatelangiectasia (A-T) is an infrequent genetic neurodegenerative disorder inherited autosomal recessively. It is mainly characterized by early-onset progressive cerebellar ataxia and dilated capillaries in the oculocutaneous regions especially conjunctivae so-called telangiectasia. A-T is a multisystem disorder and requires multi-disciplinary approach to management. Diagnosis is difficult in some cases because presentation is not in the same manner and showing a phenotypic spectrum. In atypical cases serum immunoglobulins and alfa fetoprotein are normal and telangiectasia is absent. We present a 5.5-year-old boy with progressive cerebellar ataxia and history of repeated sino-pulmonary infections that was homozygote for ataxia-telangiectasia mutated gene and had a giant arachnoid cyst in left hemisphere. It is important to keep in mind those cases with ataxia and repeated sino-pulmonary infections may be ataxia telangectasia patients. Genetic study is helpful and confirms the diagnosis by showing ataxia-telangiectasia mutated gene.</p>","PeriodicalId":14537,"journal":{"name":"Iranian Journal of Child Neurology","volume":"19 2","pages":"143-147"},"PeriodicalIF":0.9000,"publicationDate":"2025-01-01","publicationTypes":"Journal Article","fieldsOfStudy":null,"isOpenAccess":false,"openAccessPdf":"https://www.ncbi.nlm.nih.gov/pmc/articles/PMC11994129/pdf/","citationCount":"0","resultStr":null,"platform":"Semanticscholar","paperid":null,"PeriodicalName":"Iranian Journal of Child Neurology","FirstCategoryId":"1085","ListUrlMain":"https://doi.org/10.22037/ijcn.v19i2.45580","RegionNum":0,"RegionCategory":null,"ArticlePicture":[],"TitleCN":null,"AbstractTextCN":null,"PMCID":null,"EPubDate":"2025/3/11 0:00:00","PubModel":"Epub","JCR":"Q4","JCRName":"CLINICAL NEUROLOGY","Score":null,"Total":0}
引用次数: 0

Abstract

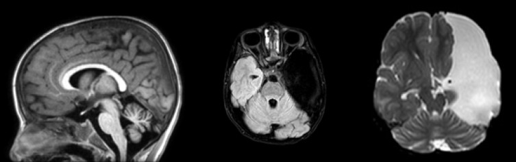
Ataxiatelangiectasia (A-T) is an infrequent genetic neurodegenerative disorder inherited autosomal recessively. It is mainly characterized by early-onset progressive cerebellar ataxia and dilated capillaries in the oculocutaneous regions especially conjunctivae so-called telangiectasia. A-T is a multisystem disorder and requires multi-disciplinary approach to management. Diagnosis is difficult in some cases because presentation is not in the same manner and showing a phenotypic spectrum. In atypical cases serum immunoglobulins and alfa fetoprotein are normal and telangiectasia is absent. We present a 5.5-year-old boy with progressive cerebellar ataxia and history of repeated sino-pulmonary infections that was homozygote for ataxia-telangiectasia mutated gene and had a giant arachnoid cyst in left hemisphere. It is important to keep in mind those cases with ataxia and repeated sino-pulmonary infections may be ataxia telangectasia patients. Genetic study is helpful and confirms the diagnosis by showing ataxia-telangiectasia mutated gene.

Abstract Image

Abstract Image

共济失调毛细血管扩张伴巨大鞍上蛛网膜囊肿1例报告及简要回顾。
共济失调性血管扩张症是一种罕见的遗传性神经退行性疾病,常染色体隐性遗传。主要表现为早发性进行性小脑共济失调和眼皮区毛细血管扩张,尤其是结膜毛细血管扩张。a - t是一种多系统疾病,需要多学科的管理方法。诊断是困难的,在某些情况下,因为表现不相同的方式,并显示表型谱。不典型病例血清免疫球蛋白和甲胎蛋白正常,无毛细血管扩张。我们报告了一个5.5岁的男孩,他患有进行性小脑性共济失调和反复的肺感染史,他是共济失调-毛细血管扩张突变基因的纯合子,并在左半球有一个巨大的蛛网膜囊肿。重要的是要记住,那些有共济失调和反复肺感染的病例可能是共济失调性毛细血管扩张患者。基因研究有助于确定共济失调-毛细血管扩张症的突变基因。
本文章由计算机程序翻译,如有差异,请以英文原文为准。
求助全文
约1分钟内获得全文 求助全文
来源期刊
CiteScore
1.40
自引率
0.00%
发文量
35
×
引用
GB/T 7714-2015
复制
MLA
复制
APA
复制
导出至
BibTeX EndNote RefMan NoteFirst NoteExpress
×
提示
您的信息不完整,为了账户安全,请先补充。
现在去补充
×
提示
您因"违规操作"
具体请查看互助需知
我知道了
×
提示
确定
请完成安全验证×
copy
已复制链接
快去分享给好友吧!
我知道了
右上角分享
点击右上角分享
0
联系我们:info@booksci.cn Book学术提供免费学术资源搜索服务,方便国内外学者检索中英文文献。致力于提供最便捷和优质的服务体验。 Copyright © 2023 布克学术 All rights reserved.
京ICP备2023020795号-1
ghs 京公网安备 11010802042870号
Book学术文献互助
Book学术文献互助群
群 号:604180095
Book学术官方微信