Modulation of sirtuin expression by a high-sugar diet and regular swimming trained precedes the loss of kidney function.

IF 1.9 4区 医学 Q2 BIOLOGY
D C Oliveira, D T de Oliveira, V G O Neves, I C Fernandes, T A P Dos Santos, C M Carneiro, N C Nogueira-Paiva, N R Barboza, R Guerra-Sá
{"title":"Modulation of sirtuin expression by a high-sugar diet and regular swimming trained precedes the loss of kidney function.","authors":"D C Oliveira, D T de Oliveira, V G O Neves, I C Fernandes, T A P Dos Santos, C M Carneiro, N C Nogueira-Paiva, N R Barboza, R Guerra-Sá","doi":"10.1590/1414-431X2024e13043","DOIUrl":null,"url":null,"abstract":"<p><p>Sirtuins (SIRTs) are key regulators of cellular metabolism, involved in a wide range of physiological and pathological processes. However, there is scarce knowledge about the effect of sugar consumption and physical activity on SIRTs in kidney disorders. Here, we evaluated the impact of prolonged consumption of an isocaloric high-sugar diet (HSD) and physical training on the modulation of renal Sirts and the link between these alterations and possible obesity-associated kidney damage. Newly weaned male Wistar rats were fed a standard chow diet (STD) or HSD ad libitum and then subjected or not to regular workload swimming training for 18 weeks. Morphometric and biochemical parameters were analyzed, and the kidneys were removed for lipid quantification, histological analysis, and for Sirts1-7 expression. HSD led to the development of obesity, increased serum triglyceride levels, and glucose intolerance, regardless of higher caloric consumption. However, training was able to partially inhibit the HSD-induced obesogenic effect. No changes were identified in kidney mass, lipid content, histology, and creatinine clearance among the groups; these results were associated with a decrease in the renal expression of Sirt2-3 and Sirt7; however, training was able to reverse this modulation. The interaction between HSD and training led to an increase in Sirt4-7. However, Sirt1 remained constant among experimental groups. In conclusion, our results indicated that the transcriptional modulation of Sirts precedes HSD-induced damage and loss of kidney function, as well as a possible protective adaptive response of physical exercise on long-term Sirts expression.</p>","PeriodicalId":9088,"journal":{"name":"Brazilian Journal of Medical and Biological Research","volume":"58 ","pages":"e13043"},"PeriodicalIF":1.9000,"publicationDate":"2025-01-31","publicationTypes":"Journal Article","fieldsOfStudy":null,"isOpenAccess":false,"openAccessPdf":"https://www.ncbi.nlm.nih.gov/pmc/articles/PMC11793145/pdf/","citationCount":"0","resultStr":null,"platform":"Semanticscholar","paperid":null,"PeriodicalName":"Brazilian Journal of Medical and Biological Research","FirstCategoryId":"3","ListUrlMain":"https://doi.org/10.1590/1414-431X2024e13043","RegionNum":4,"RegionCategory":"医学","ArticlePicture":[],"TitleCN":null,"AbstractTextCN":null,"PMCID":null,"EPubDate":"2025/1/1 0:00:00","PubModel":"eCollection","JCR":"Q2","JCRName":"BIOLOGY","Score":null,"Total":0}
引用次数: 0

Abstract

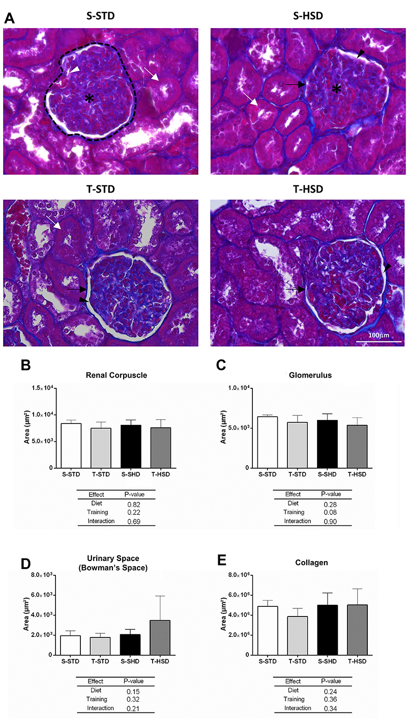
Sirtuins (SIRTs) are key regulators of cellular metabolism, involved in a wide range of physiological and pathological processes. However, there is scarce knowledge about the effect of sugar consumption and physical activity on SIRTs in kidney disorders. Here, we evaluated the impact of prolonged consumption of an isocaloric high-sugar diet (HSD) and physical training on the modulation of renal Sirts and the link between these alterations and possible obesity-associated kidney damage. Newly weaned male Wistar rats were fed a standard chow diet (STD) or HSD ad libitum and then subjected or not to regular workload swimming training for 18 weeks. Morphometric and biochemical parameters were analyzed, and the kidneys were removed for lipid quantification, histological analysis, and for Sirts1-7 expression. HSD led to the development of obesity, increased serum triglyceride levels, and glucose intolerance, regardless of higher caloric consumption. However, training was able to partially inhibit the HSD-induced obesogenic effect. No changes were identified in kidney mass, lipid content, histology, and creatinine clearance among the groups; these results were associated with a decrease in the renal expression of Sirt2-3 and Sirt7; however, training was able to reverse this modulation. The interaction between HSD and training led to an increase in Sirt4-7. However, Sirt1 remained constant among experimental groups. In conclusion, our results indicated that the transcriptional modulation of Sirts precedes HSD-induced damage and loss of kidney function, as well as a possible protective adaptive response of physical exercise on long-term Sirts expression.

Abstract Image

Abstract Image

Abstract Image

在肾功能丧失之前,高糖饮食和定期游泳训练会调节 sirtuin 的表达。
Sirtuins (SIRTs)是细胞代谢的关键调节因子,参与了广泛的生理和病理过程。然而,关于糖摄入和身体活动对肾脏疾病患者sirt的影响的知识很少。在这里,我们评估了长时间等热量高糖饮食(HSD)和体育训练对肾脏sirt调节的影响,以及这些改变与可能的肥胖相关肾损伤之间的联系。新断奶雄性Wistar大鼠随意饲喂标准饲料(STD)或HSD,然后进行或不进行常规负荷游泳训练,为期18周。分析形态计量学和生化参数,并切除肾脏进行脂质定量、组织学分析和Sirts1-7表达。HSD导致肥胖、血清甘油三酯水平升高和葡萄糖耐受不良,与高热量消耗无关。然而,训练能够部分抑制hsd诱导的肥胖效应。各组间肾脏质量、脂质含量、组织学和肌酐清除率未见变化;这些结果与肾脏Sirt2-3和Sirt7表达的降低有关;然而,训练能够逆转这种调节。HSD和训练之间的相互作用导致Sirt4-7的增加。然而,Sirt1在实验组中保持不变。总之,我们的研究结果表明,Sirts的转录调节先于hsd诱导的肾功能损伤和丧失,以及体育锻炼对长期Sirts表达的可能保护性适应性反应。
本文章由计算机程序翻译,如有差异,请以英文原文为准。
求助全文
约1分钟内获得全文 求助全文
来源期刊
CiteScore
4.00
自引率
0.00%
发文量
129
审稿时长
2 months
期刊介绍: The Brazilian Journal of Medical and Biological Research, founded by Michel Jamra, is edited and published monthly by the Associação Brasileira de Divulgação Científica (ABDC), a federation of Brazilian scientific societies: - Sociedade Brasileira de Biofísica (SBBf) - Sociedade Brasileira de Farmacologia e Terapêutica Experimental (SBFTE) - Sociedade Brasileira de Fisiologia (SBFis) - Sociedade Brasileira de Imunologia (SBI) - Sociedade Brasileira de Investigação Clínica (SBIC) - Sociedade Brasileira de Neurociências e Comportamento (SBNeC).
×
引用
GB/T 7714-2015
复制
MLA
复制
APA
复制
导出至
BibTeX EndNote RefMan NoteFirst NoteExpress
×
提示
您的信息不完整,为了账户安全,请先补充。
现在去补充
×
提示
您因"违规操作"
具体请查看互助需知
我知道了
×
提示
确定
请完成安全验证×
copy
已复制链接
快去分享给好友吧!
我知道了
右上角分享
点击右上角分享
0
联系我们:info@booksci.cn Book学术提供免费学术资源搜索服务,方便国内外学者检索中英文文献。致力于提供最便捷和优质的服务体验。 Copyright © 2023 布克学术 All rights reserved.
京ICP备2023020795号-1
ghs 京公网安备 11010802042870号
Book学术文献互助
Book学术文献互助群
群 号:604180095
Book学术官方微信