Intraoperative Superficial Temporal Artery-middle Cerebral Artery Bypass Failure during Combined Bypass Surgery in Children with Moyamoya Disease.

IF 2.3 4区 医学 Q2 CLINICAL NEUROLOGY
Neurologia medico-chirurgica Pub Date : 2025-03-15 Epub Date: 2025-01-24 DOI:10.2176/jns-nmc.2024-0242
Toshiaki Hayashi, Tomomi Kimiwada, Keita Tominaga, Hidenori Endo
{"title":"Intraoperative Superficial Temporal Artery-middle Cerebral Artery Bypass Failure during Combined Bypass Surgery in Children with Moyamoya Disease.","authors":"Toshiaki Hayashi, Tomomi Kimiwada, Keita Tominaga, Hidenori Endo","doi":"10.2176/jns-nmc.2024-0242","DOIUrl":null,"url":null,"abstract":"<p><p>Pediatric patients with moyamoya disease frequently show rapid progression with a high risk of stroke. Indirect revascularization is widely accepted as a surgical treatment for pediatric moyamoya disease, but it does not augment cerebral blood flow immediately, which leaves patients at risk for stroke peri-operatively. This delay in flow augmentation may make adding direct bypass the better option. This study documents our cases of direct bypass failure that underwent indirect bypass supplemented with superficial temporal artery-middle cerebral artery bypass to evaluate the adverse effects of direct bypass failure. A retrospective review of all surgeries for pediatric moyamoya disease after introducing intraoperative indocyanine green videoangiography to confirm direct bypass patency identified 78 surgical hemispheres. Direct bypass failure was defined as failure to confirm blood flow from the superficial temporal artery to the middle cerebral artery on indocyanine green videoangiography. The occurrence of ischemic complications was evaluated by magnetic resonance imaging. During the period, postoperative ischemic complications were seen in 3 surgical hemispheres (3.8%) and one contralateral hemisphere (1.3%). One case in which hyperventilation was difficult to control postoperatively developed extensive cerebral infarction. Direct bypass failure was seen in 3 patients (3.8%), none of whom had additional cerebral infarction on magnetic resonance imaging. The results of this study indicate that failure of direct bypass surgery does not necessarily lead to cerebral infarction. Based on these results, surgeons can safely attempt to add a direct bypass to an indirect bypass, with special attention to perioperative patient management.</p>","PeriodicalId":19225,"journal":{"name":"Neurologia medico-chirurgica","volume":" ","pages":"133-140"},"PeriodicalIF":2.3000,"publicationDate":"2025-03-15","publicationTypes":"Journal Article","fieldsOfStudy":null,"isOpenAccess":false,"openAccessPdf":"https://www.ncbi.nlm.nih.gov/pmc/articles/PMC11968199/pdf/","citationCount":"0","resultStr":null,"platform":"Semanticscholar","paperid":null,"PeriodicalName":"Neurologia medico-chirurgica","FirstCategoryId":"3","ListUrlMain":"https://doi.org/10.2176/jns-nmc.2024-0242","RegionNum":4,"RegionCategory":"医学","ArticlePicture":[],"TitleCN":null,"AbstractTextCN":null,"PMCID":null,"EPubDate":"2025/1/24 0:00:00","PubModel":"Epub","JCR":"Q2","JCRName":"CLINICAL NEUROLOGY","Score":null,"Total":0}
引用次数: 0

Abstract

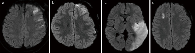
Pediatric patients with moyamoya disease frequently show rapid progression with a high risk of stroke. Indirect revascularization is widely accepted as a surgical treatment for pediatric moyamoya disease, but it does not augment cerebral blood flow immediately, which leaves patients at risk for stroke peri-operatively. This delay in flow augmentation may make adding direct bypass the better option. This study documents our cases of direct bypass failure that underwent indirect bypass supplemented with superficial temporal artery-middle cerebral artery bypass to evaluate the adverse effects of direct bypass failure. A retrospective review of all surgeries for pediatric moyamoya disease after introducing intraoperative indocyanine green videoangiography to confirm direct bypass patency identified 78 surgical hemispheres. Direct bypass failure was defined as failure to confirm blood flow from the superficial temporal artery to the middle cerebral artery on indocyanine green videoangiography. The occurrence of ischemic complications was evaluated by magnetic resonance imaging. During the period, postoperative ischemic complications were seen in 3 surgical hemispheres (3.8%) and one contralateral hemisphere (1.3%). One case in which hyperventilation was difficult to control postoperatively developed extensive cerebral infarction. Direct bypass failure was seen in 3 patients (3.8%), none of whom had additional cerebral infarction on magnetic resonance imaging. The results of this study indicate that failure of direct bypass surgery does not necessarily lead to cerebral infarction. Based on these results, surgeons can safely attempt to add a direct bypass to an indirect bypass, with special attention to perioperative patient management.

Abstract Image

Abstract Image

Abstract Image

儿童烟雾病联合搭桥手术中术中颞浅动脉-大脑中动脉搭桥失败。
患有烟雾病的儿科患者通常表现为快速进展,卒中风险高。间接血运重建术被广泛接受为儿童烟雾病的手术治疗,但它不能立即增加脑血流量,这使得患者有围手术期中风的风险。这种流量增加的延迟可能使增加直接旁路成为更好的选择。本研究记录了直接旁路手术失败的病例,这些患者接受间接旁路手术并辅以颞浅动脉-大脑中动脉旁路手术,以评估直接旁路手术失败的不良影响。术中引入吲哚菁绿血管造影以确认直接旁路通畅后,对所有小儿烟雾病手术进行回顾性回顾,确定了78个手术半球。直接旁路失败定义为在吲吲胺绿血管造影上不能确认血液从颞浅动脉流向大脑中动脉。磁共振成像评价缺血性并发症的发生情况。在此期间,3个手术半球(3.8%)和1个对侧半球(1.3%)出现术后缺血性并发症。1例术后过度通气难以控制,并发广泛性脑梗死。3例患者(3.8%)出现直接旁路衰竭,磁共振成像均无脑梗死。本研究结果表明,直接搭桥手术失败并不一定导致脑梗死。基于这些结果,外科医生可以安全地尝试在间接旁路搭桥的基础上增加直接旁路搭桥,并特别注意围手术期患者的管理。
本文章由计算机程序翻译,如有差异,请以英文原文为准。
求助全文
约1分钟内获得全文 求助全文
来源期刊
Neurologia medico-chirurgica
Neurologia medico-chirurgica 医学-临床神经学
CiteScore
3.70
自引率
10.50%
发文量
63
审稿时长
3-8 weeks
期刊介绍: Information not localized
×
引用
GB/T 7714-2015
复制
MLA
复制
APA
复制
导出至
BibTeX EndNote RefMan NoteFirst NoteExpress
×
提示
您的信息不完整,为了账户安全,请先补充。
现在去补充
×
提示
您因"违规操作"
具体请查看互助需知
我知道了
×
提示
确定
请完成安全验证×
copy
已复制链接
快去分享给好友吧!
我知道了
右上角分享
点击右上角分享
0
联系我们:info@booksci.cn Book学术提供免费学术资源搜索服务,方便国内外学者检索中英文文献。致力于提供最便捷和优质的服务体验。 Copyright © 2023 布克学术 All rights reserved.
京ICP备2023020795号-1
ghs 京公网安备 11010802042870号
Book学术文献互助
Book学术文献互助群
群 号:604180095
Book学术官方微信