Spontaneous Splenic Rupture Leading to the Diagnosis of CML.

IF 0.6 Q3 MEDICINE, GENERAL & INTERNAL
Nikita Dahake, Rachel Thomas, Brittany Corso
{"title":"Spontaneous Splenic Rupture Leading to the Diagnosis of CML.","authors":"Nikita Dahake, Rachel Thomas, Brittany Corso","doi":"10.55729/2000-9666.1428","DOIUrl":null,"url":null,"abstract":"<p><strong>Background: </strong>Spontaneous splenic rupture (SSR) is a known complication of hematologic malignancy. Rare cases have been reported in which patients presented with SSR prior to diagnosis of chronic myeloid leukemia (CML). We present a case of atraumatic SSR due to CML presenting as persistent abdominal pain.</p><p><strong>Case presentation: </strong>A 42-year-old man presented with persistent left upper quadrant pain radiating to the lower quadrants ongoing for many months. He additionally had many other systemic symptoms including weight loss, night sweats, dark tarry stools, and progressive fatigue. Initial laboratory tests showed an anemia and a leukocytosis of 170 K/mm3 which uptrended to 230 K/mm<sup>3</sup>. CT abdomen showed spontaneous splenic rupture without major hemodynamic compromise and was treated conservatively. Peripheral smear was indicative of a chronic leukemia, and BCR-ABL testing was positive, leading to the diagnosis of CML - a rare cause of SSR.</p><p><strong>Discussion: </strong>We present a case of SSR as the inciting factor for a work-up revealing hematologic abnormalities and later CML. While splenic rupture has been shown to be present in patients with lymphoma and AML, it is an uncommon presenting symptom of CML and has only been documented in case reports. We urge clinicians to keep splenic rupture on the differential for persistent abdominal pain, as well as a thorough hematological workup for malignancy if hematologic lab abnormalities exist.</p>","PeriodicalId":15460,"journal":{"name":"Journal of Community Hospital Internal Medicine Perspectives","volume":"15 1","pages":"54-57"},"PeriodicalIF":0.6000,"publicationDate":"2025-01-06","publicationTypes":"Journal Article","fieldsOfStudy":null,"isOpenAccess":false,"openAccessPdf":"https://www.ncbi.nlm.nih.gov/pmc/articles/PMC11759071/pdf/","citationCount":"0","resultStr":null,"platform":"Semanticscholar","paperid":null,"PeriodicalName":"Journal of Community Hospital Internal Medicine Perspectives","FirstCategoryId":"1085","ListUrlMain":"https://doi.org/10.55729/2000-9666.1428","RegionNum":0,"RegionCategory":null,"ArticlePicture":[],"TitleCN":null,"AbstractTextCN":null,"PMCID":null,"EPubDate":"2025/1/1 0:00:00","PubModel":"eCollection","JCR":"Q3","JCRName":"MEDICINE, GENERAL & INTERNAL","Score":null,"Total":0}
引用次数: 0

Abstract

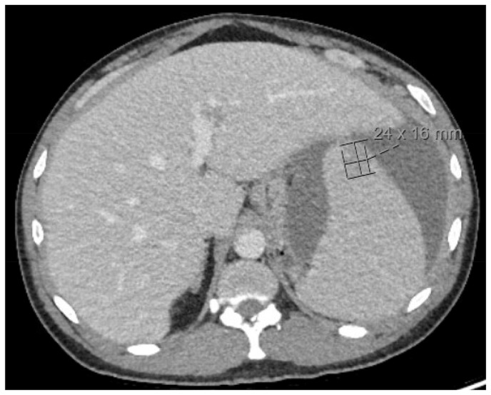
Background: Spontaneous splenic rupture (SSR) is a known complication of hematologic malignancy. Rare cases have been reported in which patients presented with SSR prior to diagnosis of chronic myeloid leukemia (CML). We present a case of atraumatic SSR due to CML presenting as persistent abdominal pain.

Case presentation: A 42-year-old man presented with persistent left upper quadrant pain radiating to the lower quadrants ongoing for many months. He additionally had many other systemic symptoms including weight loss, night sweats, dark tarry stools, and progressive fatigue. Initial laboratory tests showed an anemia and a leukocytosis of 170 K/mm3 which uptrended to 230 K/mm3. CT abdomen showed spontaneous splenic rupture without major hemodynamic compromise and was treated conservatively. Peripheral smear was indicative of a chronic leukemia, and BCR-ABL testing was positive, leading to the diagnosis of CML - a rare cause of SSR.

Discussion: We present a case of SSR as the inciting factor for a work-up revealing hematologic abnormalities and later CML. While splenic rupture has been shown to be present in patients with lymphoma and AML, it is an uncommon presenting symptom of CML and has only been documented in case reports. We urge clinicians to keep splenic rupture on the differential for persistent abdominal pain, as well as a thorough hematological workup for malignancy if hematologic lab abnormalities exist.

Abstract Image

Abstract Image

Abstract Image

自发性脾破裂对慢性粒细胞白血病的诊断价值。
背景:自发性脾破裂(SSR)是一种已知的血液恶性肿瘤并发症。在慢性髓性白血病(CML)诊断前出现SSR的罕见病例已被报道。我们提出一个病例的非外伤性SSR由于CML表现为持续腹痛。病例介绍:一名42岁男性,表现为持续性左上腹疼痛,放射至下象限,持续数月。此外,他还有许多其他全身性症状,包括体重减轻、盗汗、黑色焦油样便和进行性疲劳。最初的实验室检查显示贫血和白细胞增多170 K/mm3,后来上升到230 K/mm3。腹部CT显示自发性脾破裂,无明显血流动力学损害,保守治疗。外周涂片提示慢性白血病,BCR-ABL检测阳性,可诊断为CML - SSR的罕见病因。讨论:我们提出一个病例SSR作为一个刺激因素的工作揭示血液学异常和后来的CML。虽然脾破裂已被证明存在于淋巴瘤和AML患者中,但它是CML的一种罕见的表现症状,仅在病例报告中有记录。我们敦促临床医生保持脾破裂的鉴别持续腹痛,以及彻底的血液学检查恶性肿瘤,如果血液学实验室异常存在。
本文章由计算机程序翻译,如有差异,请以英文原文为准。
求助全文
约1分钟内获得全文 求助全文
来源期刊
自引率
0.00%
发文量
106
审稿时长
17 weeks
期刊介绍: JCHIMP provides: up-to-date information in the field of Internal Medicine to community hospital medical professionals a platform for clinical faculty, residents, and medical students to publish research relevant to community hospital programs. Manuscripts that explore aspects of medicine at community hospitals welcome, including but not limited to: the best practices of community academic programs community hospital-based research opinion and insight from community hospital leadership and faculty the scholarly work of residents and medical students affiliated with community hospitals.
×
引用
GB/T 7714-2015
复制
MLA
复制
APA
复制
导出至
BibTeX EndNote RefMan NoteFirst NoteExpress
×
提示
您的信息不完整,为了账户安全,请先补充。
现在去补充
×
提示
您因"违规操作"
具体请查看互助需知
我知道了
×
提示
确定
请完成安全验证×
copy
已复制链接
快去分享给好友吧!
我知道了
右上角分享
点击右上角分享
0
联系我们:info@booksci.cn Book学术提供免费学术资源搜索服务,方便国内外学者检索中英文文献。致力于提供最便捷和优质的服务体验。 Copyright © 2023 布克学术 All rights reserved.
京ICP备2023020795号-1
ghs 京公网安备 11010802042870号
Book学术文献互助
Book学术文献互助群
群 号:604180095
Book学术官方微信