Rapid Neurological Decline due to Creutzfeldt-Jakob Disease.

IF 0.6 Q3 MEDICINE, GENERAL & INTERNAL
Nicole Tesoro, David Blackwood, Robert Reif, Samuel Miller, Kalyan Paudel, Christopher Haas
{"title":"Rapid Neurological Decline due to Creutzfeldt-Jakob Disease.","authors":"Nicole Tesoro, David Blackwood, Robert Reif, Samuel Miller, Kalyan Paudel, Christopher Haas","doi":"10.55729/2000-9666.1446","DOIUrl":null,"url":null,"abstract":"<p><p>Creutzfeldt-Jakob Disease (CJD) is an exceedingly rare condition with an incidence of one case per million people worldwide. It is diagnosed with symptoms of rapid neurological decline, positive CSF biomarkers, and diagnostic findings on MRI and EEG. There is no known effective therapy for CJD and prompt diagnosis is required to prepare for the expected disease prognosis and goals of care discussions.</p>","PeriodicalId":15460,"journal":{"name":"Journal of Community Hospital Internal Medicine Perspectives","volume":"15 1","pages":"51-53"},"PeriodicalIF":0.6000,"publicationDate":"2025-01-06","publicationTypes":"Journal Article","fieldsOfStudy":null,"isOpenAccess":false,"openAccessPdf":"https://www.ncbi.nlm.nih.gov/pmc/articles/PMC11759091/pdf/","citationCount":"0","resultStr":null,"platform":"Semanticscholar","paperid":null,"PeriodicalName":"Journal of Community Hospital Internal Medicine Perspectives","FirstCategoryId":"1085","ListUrlMain":"https://doi.org/10.55729/2000-9666.1446","RegionNum":0,"RegionCategory":null,"ArticlePicture":[],"TitleCN":null,"AbstractTextCN":null,"PMCID":null,"EPubDate":"2025/1/1 0:00:00","PubModel":"eCollection","JCR":"Q3","JCRName":"MEDICINE, GENERAL & INTERNAL","Score":null,"Total":0}
引用次数: 0

Abstract

Creutzfeldt-Jakob Disease (CJD) is an exceedingly rare condition with an incidence of one case per million people worldwide. It is diagnosed with symptoms of rapid neurological decline, positive CSF biomarkers, and diagnostic findings on MRI and EEG. There is no known effective therapy for CJD and prompt diagnosis is required to prepare for the expected disease prognosis and goals of care discussions.

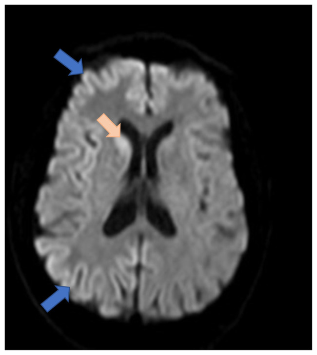
Abstract Image

克雅氏病引起的神经系统快速衰退。
克雅氏病(CJD)是一种极其罕见的疾病,全球发病率为百万分之一。诊断为神经功能快速衰退,脑脊液生物标志物阳性,MRI和EEG诊断结果。目前还没有已知的有效治疗CJD的方法,需要及时诊断,为预期的疾病预后和护理讨论的目标做好准备。
本文章由计算机程序翻译,如有差异,请以英文原文为准。
求助全文
约1分钟内获得全文 求助全文
来源期刊
自引率
0.00%
发文量
106
审稿时长
17 weeks
期刊介绍: JCHIMP provides: up-to-date information in the field of Internal Medicine to community hospital medical professionals a platform for clinical faculty, residents, and medical students to publish research relevant to community hospital programs. Manuscripts that explore aspects of medicine at community hospitals welcome, including but not limited to: the best practices of community academic programs community hospital-based research opinion and insight from community hospital leadership and faculty the scholarly work of residents and medical students affiliated with community hospitals.
×
引用
GB/T 7714-2015
复制
MLA
复制
APA
复制
导出至
BibTeX EndNote RefMan NoteFirst NoteExpress
×
提示
您的信息不完整,为了账户安全,请先补充。
现在去补充
×
提示
您因"违规操作"
具体请查看互助需知
我知道了
×
提示
确定
请完成安全验证×
copy
已复制链接
快去分享给好友吧!
我知道了
右上角分享
点击右上角分享
0
联系我们:info@booksci.cn Book学术提供免费学术资源搜索服务,方便国内外学者检索中英文文献。致力于提供最便捷和优质的服务体验。 Copyright © 2023 布克学术 All rights reserved.
京ICP备2023020795号-1
ghs 京公网安备 11010802042870号
Book学术文献互助
Book学术文献互助群
群 号:604180095
Book学术官方微信