Oropharyngeal Lymphogranuloma Venereum: A Clinical Reasoning Challenge and Literature Review.

IF 0.6 Q3 MEDICINE, GENERAL & INTERNAL
Andrew D Vogel, Anthony Asta, Hussam Ammar
{"title":"Oropharyngeal Lymphogranuloma Venereum: A Clinical Reasoning Challenge and Literature Review.","authors":"Andrew D Vogel, Anthony Asta, Hussam Ammar","doi":"10.55729/2000-9666.1439","DOIUrl":null,"url":null,"abstract":"<p><p>Lymphogranuloma venereum (LGV) is a sexually transmitted infection typically caused by serovars L1-L3 of <i>Chlamydia trachomatis</i>. These serovars are tissue-invasive with a preponderance for lymphatic spread and can be acquired via unprotected oral, anal, or vaginal sex. We present the case of a 23-year-old with a prior history of syphilis admitted with four weeks of progressively enlarging painful right cervical lymphadenopathy. Extensive testing, including oropharyngeal swabs and microbiological testing, did not yield a diagnosis, nor did extensive pathological and microbial testing of the lymph node biopsy tissue. Serological test of lymphogranuloma venereum revealed positive <i>Chlamydia trachomatis</i> L1 serovar antibodies. The patient had a complete resolution of his symptoms after three weeks of doxycycline therapy.</p>","PeriodicalId":15460,"journal":{"name":"Journal of Community Hospital Internal Medicine Perspectives","volume":"15 1","pages":"79-83"},"PeriodicalIF":0.6000,"publicationDate":"2025-01-06","publicationTypes":"Journal Article","fieldsOfStudy":null,"isOpenAccess":false,"openAccessPdf":"https://www.ncbi.nlm.nih.gov/pmc/articles/PMC11759088/pdf/","citationCount":"0","resultStr":null,"platform":"Semanticscholar","paperid":null,"PeriodicalName":"Journal of Community Hospital Internal Medicine Perspectives","FirstCategoryId":"1085","ListUrlMain":"https://doi.org/10.55729/2000-9666.1439","RegionNum":0,"RegionCategory":null,"ArticlePicture":[],"TitleCN":null,"AbstractTextCN":null,"PMCID":null,"EPubDate":"2025/1/1 0:00:00","PubModel":"eCollection","JCR":"Q3","JCRName":"MEDICINE, GENERAL & INTERNAL","Score":null,"Total":0}
引用次数: 0

Abstract

Lymphogranuloma venereum (LGV) is a sexually transmitted infection typically caused by serovars L1-L3 of Chlamydia trachomatis. These serovars are tissue-invasive with a preponderance for lymphatic spread and can be acquired via unprotected oral, anal, or vaginal sex. We present the case of a 23-year-old with a prior history of syphilis admitted with four weeks of progressively enlarging painful right cervical lymphadenopathy. Extensive testing, including oropharyngeal swabs and microbiological testing, did not yield a diagnosis, nor did extensive pathological and microbial testing of the lymph node biopsy tissue. Serological test of lymphogranuloma venereum revealed positive Chlamydia trachomatis L1 serovar antibodies. The patient had a complete resolution of his symptoms after three weeks of doxycycline therapy.

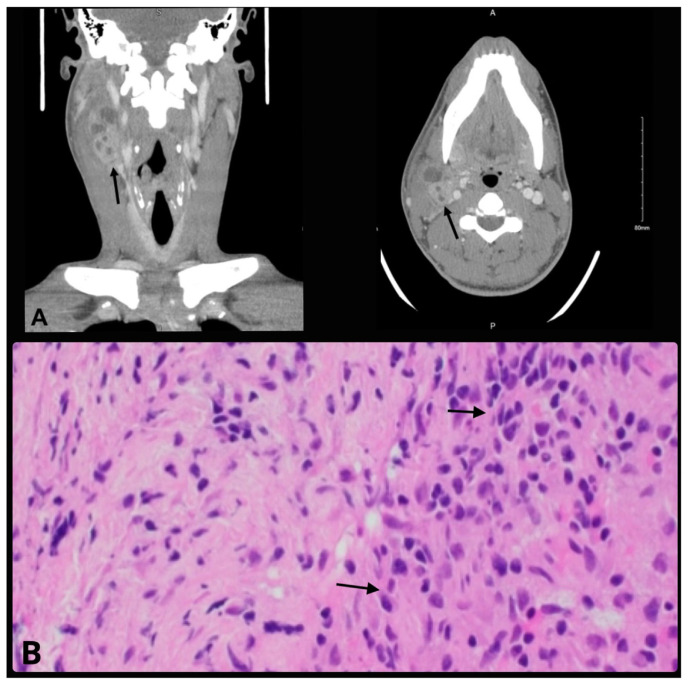
Abstract Image

口咽淋巴肉芽肿性病:临床推理挑战和文献回顾。
性病性淋巴肉芽肿(LGV)是一种性传播感染,通常由沙眼衣原体L1-L3血清型引起。这些血清型具有组织侵袭性,以淋巴传播为主,可通过无保护的口交、肛交或阴道性交获得。我们提出的情况下,23岁的梅毒病史入院与四个星期的渐进式扩大疼痛的右颈部淋巴结病。广泛的检测,包括口咽拭子和微生物检测,没有得出诊断,淋巴结活检组织的广泛病理和微生物检测也没有得出诊断。性病淋巴肉芽肿血清学检查沙眼衣原体L1抗体阳性。患者经三周强力霉素治疗后症状完全消失。
本文章由计算机程序翻译,如有差异,请以英文原文为准。
求助全文
约1分钟内获得全文 求助全文
来源期刊
自引率
0.00%
发文量
106
审稿时长
17 weeks
期刊介绍: JCHIMP provides: up-to-date information in the field of Internal Medicine to community hospital medical professionals a platform for clinical faculty, residents, and medical students to publish research relevant to community hospital programs. Manuscripts that explore aspects of medicine at community hospitals welcome, including but not limited to: the best practices of community academic programs community hospital-based research opinion and insight from community hospital leadership and faculty the scholarly work of residents and medical students affiliated with community hospitals.
×
引用
GB/T 7714-2015
复制
MLA
复制
APA
复制
导出至
BibTeX EndNote RefMan NoteFirst NoteExpress
×
提示
您的信息不完整,为了账户安全,请先补充。
现在去补充
×
提示
您因"违规操作"
具体请查看互助需知
我知道了
×
提示
确定
请完成安全验证×
copy
已复制链接
快去分享给好友吧!
我知道了
右上角分享
点击右上角分享
0
联系我们:info@booksci.cn Book学术提供免费学术资源搜索服务,方便国内外学者检索中英文文献。致力于提供最便捷和优质的服务体验。 Copyright © 2023 布克学术 All rights reserved.
京ICP备2023020795号-1
ghs 京公网安备 11010802042870号
Book学术文献互助
Book学术文献互助群
群 号:604180095
Book学术官方微信