Gliclazide protects ionizing radiation-induced intestinal injury in mice by inhibiting oxidative stress and caspase-3.

Biotechnologia Pub Date : 2024-12-19 eCollection Date: 2024-01-01 DOI:10.5114/bta.2024.145257
Soroush Arzani, Soghra Farzipour, Fereshteh Talebpour Amiri, Seyed Jalal Hosseinimehr
{"title":"Gliclazide protects ionizing radiation-induced intestinal injury in mice by inhibiting oxidative stress and caspase-3.","authors":"Soroush Arzani, Soghra Farzipour, Fereshteh Talebpour Amiri, Seyed Jalal Hosseinimehr","doi":"10.5114/bta.2024.145257","DOIUrl":null,"url":null,"abstract":"<p><p>Gliclazide (GLZ), an oral antihyperglycemic medication, has additional beneficial effects, such as anti-inflammatory and antioxidant properties, besides lowering blood glucose levels. In this study, the radio-protective effect of GLZ was evaluated against ionizing radiation (IR)-induced intestinal injury in mice. Eight groups of mice were randomized as follows: control, GLZ (5, 10, and 25 mg/kg), IR (6 Gy), and IR + GLZ (at 5, 10, and 25 mg/kg). GLZ was administered to the mice for eight consecutive days, after which they were exposed to X-rays at a single dose of 6 Gy. After irradiation, biochemical parameters, immunohistochemical, and histological examinations were conducted on the ileum of the mice. IR exposure increased the levels of malondialdehyde and protein carbonyl, while glutathione levels, as oxidative stress biomarkers, decreased. Apoptosis in ileum tissues was also assessed. Furthermore, histopathological changes were observed in the irradiated mice. GLZ treatment significantly mitigated these changes. The administration of GLZ resulted in a marked decrease in caspase-3 immunoreactivity in the ileum of irradiated mice. This preclinical study exhibited that GLZ has a radioprotective effect against intestinal injury by inhibiting oxidative stress and apoptosis.</p>","PeriodicalId":94371,"journal":{"name":"Biotechnologia","volume":"105 4","pages":"367-376"},"PeriodicalIF":0.0000,"publicationDate":"2024-12-19","publicationTypes":"Journal Article","fieldsOfStudy":null,"isOpenAccess":false,"openAccessPdf":"https://www.ncbi.nlm.nih.gov/pmc/articles/PMC11748219/pdf/","citationCount":"0","resultStr":null,"platform":"Semanticscholar","paperid":null,"PeriodicalName":"Biotechnologia","FirstCategoryId":"1085","ListUrlMain":"https://doi.org/10.5114/bta.2024.145257","RegionNum":0,"RegionCategory":null,"ArticlePicture":[],"TitleCN":null,"AbstractTextCN":null,"PMCID":null,"EPubDate":"2024/1/1 0:00:00","PubModel":"eCollection","JCR":"","JCRName":"","Score":null,"Total":0}
引用次数: 0

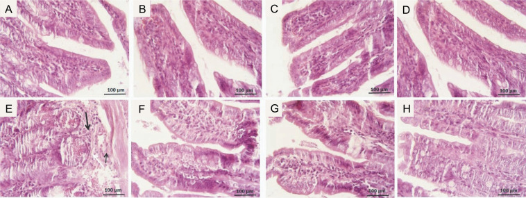
Abstract

Gliclazide (GLZ), an oral antihyperglycemic medication, has additional beneficial effects, such as anti-inflammatory and antioxidant properties, besides lowering blood glucose levels. In this study, the radio-protective effect of GLZ was evaluated against ionizing radiation (IR)-induced intestinal injury in mice. Eight groups of mice were randomized as follows: control, GLZ (5, 10, and 25 mg/kg), IR (6 Gy), and IR + GLZ (at 5, 10, and 25 mg/kg). GLZ was administered to the mice for eight consecutive days, after which they were exposed to X-rays at a single dose of 6 Gy. After irradiation, biochemical parameters, immunohistochemical, and histological examinations were conducted on the ileum of the mice. IR exposure increased the levels of malondialdehyde and protein carbonyl, while glutathione levels, as oxidative stress biomarkers, decreased. Apoptosis in ileum tissues was also assessed. Furthermore, histopathological changes were observed in the irradiated mice. GLZ treatment significantly mitigated these changes. The administration of GLZ resulted in a marked decrease in caspase-3 immunoreactivity in the ileum of irradiated mice. This preclinical study exhibited that GLZ has a radioprotective effect against intestinal injury by inhibiting oxidative stress and apoptosis.

Abstract Image

Abstract Image

Abstract Image

格列齐特通过抑制氧化应激和caspase-3来保护电离辐射诱导的小鼠肠道损伤。
格列齐特(GLZ)是一种口服降糖药物,除了降低血糖水平外,还具有其他有益作用,如抗炎和抗氧化特性。本研究评价了GLZ对电离辐射(IR)致小鼠肠道损伤的辐射保护作用。8组小鼠随机分为:对照组、GLZ(5、10、25 mg/kg)、IR (6 Gy)和IR + GLZ(5、10、25 mg/kg)。小鼠连续8天服用GLZ,之后接受单次剂量为6 Gy的x射线照射。辐照后对小鼠回肠进行生化指标、免疫组化和组织学检查。红外暴露增加了丙二醛和蛋白质羰基的水平,而作为氧化应激生物标志物的谷胱甘肽水平下降。回肠组织的细胞凋亡也被评估。此外,观察到辐照小鼠的组织病理学变化。GLZ治疗显著减轻了这些变化。给药GLZ导致辐照小鼠回肠caspase-3免疫反应性明显降低。本临床前研究表明,GLZ通过抑制氧化应激和细胞凋亡对肠道损伤具有辐射保护作用。
本文章由计算机程序翻译,如有差异,请以英文原文为准。
求助全文
约1分钟内获得全文 求助全文
来源期刊
自引率
0.00%
发文量
0
×
引用
GB/T 7714-2015
复制
MLA
复制
APA
复制
导出至
BibTeX EndNote RefMan NoteFirst NoteExpress
×
提示
您的信息不完整,为了账户安全,请先补充。
现在去补充
×
提示
您因"违规操作"
具体请查看互助需知
我知道了
×
提示
确定
请完成安全验证×
copy
已复制链接
快去分享给好友吧!
我知道了
右上角分享
点击右上角分享
0
联系我们:info@booksci.cn Book学术提供免费学术资源搜索服务,方便国内外学者检索中英文文献。致力于提供最便捷和优质的服务体验。 Copyright © 2023 布克学术 All rights reserved.
京ICP备2023020795号-1
ghs 京公网安备 11010802042870号
Book学术文献互助
Book学术文献互助群
群 号:604180095
Book学术官方微信