Recurrent Hypoglycemia in a Patient with Advanced Hepatocellular Carcinoma.

IF 0.6 Q3 MEDICINE, GENERAL & INTERNAL
Balpreet Chouhan
{"title":"Recurrent Hypoglycemia in a Patient with Advanced Hepatocellular Carcinoma.","authors":"Balpreet Chouhan","doi":"10.55729/2000-9666.1406","DOIUrl":null,"url":null,"abstract":"<p><strong>Background: </strong>Nonislet cell tumor hypoglycemia (NICTH) is a rare but serious complication of malignancy. Various causes of this type of hypoglycemia include excessive tumor burden resulting in destruction of the liver or adrenal glands, production of autoantibodies against insulin and tumoral production of incompletely processed IGF-2.</p><p><strong>Objectives: </strong>Objective of this case report is to explore pathogenic mechanisms for hypoglycemia in hepatocellular carcinoma (HCC), and evidence-based treatment options.</p><p><strong>Methods: </strong>We present a case of recurrent symptomatic hypoglycemia, despite conservative management, in a patient with extensive hepatocellular carcinoma.</p><p><strong>Results: </strong>Patient developed recurrent hypoglycemia despite attempting treatment with therapies based on limited evidence available on literature review.</p><p><strong>Conclusion: </strong>Management of hypoglycemia is usually challenging given patients are usually not good candidates for aggressive therapies given advanced cancer stage and/or poor general condition. Paraneoplastic hypoglycemia is usually a poor prognostic indicator. Experimental treatment options for hypoglycemia include steroids, glucagon and growth hormone.</p>","PeriodicalId":15460,"journal":{"name":"Journal of Community Hospital Internal Medicine Perspectives","volume":"14 6","pages":"94-96"},"PeriodicalIF":0.6000,"publicationDate":"2024-11-02","publicationTypes":"Journal Article","fieldsOfStudy":null,"isOpenAccess":false,"openAccessPdf":"https://www.ncbi.nlm.nih.gov/pmc/articles/PMC11745173/pdf/","citationCount":"0","resultStr":null,"platform":"Semanticscholar","paperid":null,"PeriodicalName":"Journal of Community Hospital Internal Medicine Perspectives","FirstCategoryId":"1085","ListUrlMain":"https://doi.org/10.55729/2000-9666.1406","RegionNum":0,"RegionCategory":null,"ArticlePicture":[],"TitleCN":null,"AbstractTextCN":null,"PMCID":null,"EPubDate":"2024/1/1 0:00:00","PubModel":"eCollection","JCR":"Q3","JCRName":"MEDICINE, GENERAL & INTERNAL","Score":null,"Total":0}
引用次数: 0

Abstract

Background: Nonislet cell tumor hypoglycemia (NICTH) is a rare but serious complication of malignancy. Various causes of this type of hypoglycemia include excessive tumor burden resulting in destruction of the liver or adrenal glands, production of autoantibodies against insulin and tumoral production of incompletely processed IGF-2.

Objectives: Objective of this case report is to explore pathogenic mechanisms for hypoglycemia in hepatocellular carcinoma (HCC), and evidence-based treatment options.

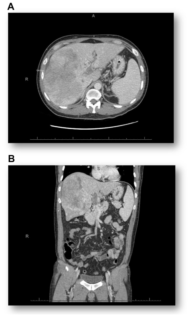
Methods: We present a case of recurrent symptomatic hypoglycemia, despite conservative management, in a patient with extensive hepatocellular carcinoma.

Results: Patient developed recurrent hypoglycemia despite attempting treatment with therapies based on limited evidence available on literature review.

Conclusion: Management of hypoglycemia is usually challenging given patients are usually not good candidates for aggressive therapies given advanced cancer stage and/or poor general condition. Paraneoplastic hypoglycemia is usually a poor prognostic indicator. Experimental treatment options for hypoglycemia include steroids, glucagon and growth hormone.

Abstract Image

晚期肝癌患者复发性低血糖1例。
背景:非胰岛细胞肿瘤低血糖症(NICTH)是一种罕见但严重的恶性肿瘤并发症。这种低血糖的各种原因包括过度的肿瘤负荷导致肝脏或肾上腺的破坏,产生抗胰岛素的自身抗体和肿瘤产生未完全加工的IGF-2。目的:本病例报告的目的是探讨肝细胞癌(HCC)低血糖的发病机制,以及循证治疗方案。方法:我们报告一例复发性症状性低血糖,尽管保守治疗,患者广泛的肝细胞癌。结果:在文献回顾中,尽管患者尝试了基于有限证据的治疗方法,但仍发生了复发性低血糖。结论:低血糖的治疗通常具有挑战性,因为晚期癌症和/或一般情况较差的患者通常不适合积极治疗。副肿瘤性低血糖通常是一个不良的预后指标。低血糖的实验性治疗方案包括类固醇、胰高血糖素和生长激素。
本文章由计算机程序翻译,如有差异,请以英文原文为准。
求助全文
约1分钟内获得全文 求助全文
来源期刊
自引率
0.00%
发文量
106
审稿时长
17 weeks
期刊介绍: JCHIMP provides: up-to-date information in the field of Internal Medicine to community hospital medical professionals a platform for clinical faculty, residents, and medical students to publish research relevant to community hospital programs. Manuscripts that explore aspects of medicine at community hospitals welcome, including but not limited to: the best practices of community academic programs community hospital-based research opinion and insight from community hospital leadership and faculty the scholarly work of residents and medical students affiliated with community hospitals.
×
引用
GB/T 7714-2015
复制
MLA
复制
APA
复制
导出至
BibTeX EndNote RefMan NoteFirst NoteExpress
×
提示
您的信息不完整,为了账户安全,请先补充。
现在去补充
×
提示
您因"违规操作"
具体请查看互助需知
我知道了
×
提示
确定
请完成安全验证×
copy
已复制链接
快去分享给好友吧!
我知道了
右上角分享
点击右上角分享
0
联系我们:info@booksci.cn Book学术提供免费学术资源搜索服务,方便国内外学者检索中英文文献。致力于提供最便捷和优质的服务体验。 Copyright © 2023 布克学术 All rights reserved.
京ICP备2023020795号-1
ghs 京公网安备 11010802042870号
Book学术文献互助
Book学术文献互助群
群 号:604180095
Book学术官方微信