Diagnostic Performance of Deep Learning Applications in Hepatocellular Carcinoma Detection Using Computed Tomography Imaging.

IF 1.6 4区 医学 Q4 GASTROENTEROLOGY & HEPATOLOGY
Enes Şahin, Ozan Can Tatar, Mehmet Eşref Ulutaş, Sertaç Ata Güler, Turgay Şimşek, Nihat Zafer Turgay, Nuh Zafer Cantürk
{"title":"Diagnostic Performance of Deep Learning Applications in Hepatocellular Carcinoma Detection Using Computed Tomography Imaging.","authors":"Enes Şahin, Ozan Can Tatar, Mehmet Eşref Ulutaş, Sertaç Ata Güler, Turgay Şimşek, Nihat Zafer Turgay, Nuh Zafer Cantürk","doi":"10.5152/tjg.2024.24538","DOIUrl":null,"url":null,"abstract":"<p><p>Hepatocellular carcinoma (HCC) is a prevalent cancer that significantly contributes to mortality globally, primarily due to its late diagnosis. Early detection is crucial yet challenging. This study leverages the potential of deep learning (DL) technologies, employing the You Only Look Once (YOLO) architecture, to enhance the detection of HCC in computed tomography (CT) images, aiming to improve early diagnosis and thereby patient outcomes. We used a dataset of 1290 CT images from 122 patients, segmented according to a standard 70:20:10 split for training, validation, and testing phases. The YOLO-based DL model was trained on these images, with subsequent phases for validation and testing to assess the model's diagnostic capabilities comprehensively. The model exhibited exceptional diagnostic accuracy, with a precision of 0.97216, recall of 0.919, and an overall accuracy of 95.35%, significantly surpassing traditional diagnostic approaches. It achieved a specificity of 95.83% and a sensitivity of 94.74%, evidencing its effectiveness in clinical settings and its potential to reduce the rate of missed diagnoses and unnecessary interventions. The implementation of the YOLO architecture for detecting HCC in CT scans has shown substantial promise, indicating that DL models could soon become a standard tool in oncological diagnostics. As artificial intelligence technology continues to evolve, its integration into healthcare systems is expected to advance the accuracy and efficiency of diagnostics in oncology, enhancing early detection and treatment strategies and potentially improving patient survival rates.</p>","PeriodicalId":51205,"journal":{"name":"Turkish Journal of Gastroenterology","volume":" ","pages":"124-130"},"PeriodicalIF":1.6000,"publicationDate":"2024-12-30","publicationTypes":"Journal Article","fieldsOfStudy":null,"isOpenAccess":false,"openAccessPdf":"https://www.ncbi.nlm.nih.gov/pmc/articles/PMC11851832/pdf/","citationCount":"0","resultStr":null,"platform":"Semanticscholar","paperid":null,"PeriodicalName":"Turkish Journal of Gastroenterology","FirstCategoryId":"3","ListUrlMain":"https://doi.org/10.5152/tjg.2024.24538","RegionNum":4,"RegionCategory":"医学","ArticlePicture":[],"TitleCN":null,"AbstractTextCN":null,"PMCID":null,"EPubDate":"","PubModel":"","JCR":"Q4","JCRName":"GASTROENTEROLOGY & HEPATOLOGY","Score":null,"Total":0}
引用次数: 0

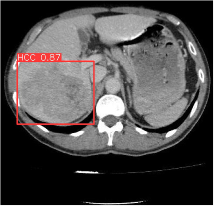
Abstract

Hepatocellular carcinoma (HCC) is a prevalent cancer that significantly contributes to mortality globally, primarily due to its late diagnosis. Early detection is crucial yet challenging. This study leverages the potential of deep learning (DL) technologies, employing the You Only Look Once (YOLO) architecture, to enhance the detection of HCC in computed tomography (CT) images, aiming to improve early diagnosis and thereby patient outcomes. We used a dataset of 1290 CT images from 122 patients, segmented according to a standard 70:20:10 split for training, validation, and testing phases. The YOLO-based DL model was trained on these images, with subsequent phases for validation and testing to assess the model's diagnostic capabilities comprehensively. The model exhibited exceptional diagnostic accuracy, with a precision of 0.97216, recall of 0.919, and an overall accuracy of 95.35%, significantly surpassing traditional diagnostic approaches. It achieved a specificity of 95.83% and a sensitivity of 94.74%, evidencing its effectiveness in clinical settings and its potential to reduce the rate of missed diagnoses and unnecessary interventions. The implementation of the YOLO architecture for detecting HCC in CT scans has shown substantial promise, indicating that DL models could soon become a standard tool in oncological diagnostics. As artificial intelligence technology continues to evolve, its integration into healthcare systems is expected to advance the accuracy and efficiency of diagnostics in oncology, enhancing early detection and treatment strategies and potentially improving patient survival rates.

Abstract Image

Abstract Image

Abstract Image

深度学习在肝细胞癌计算机断层成像诊断中的应用。
肝细胞癌(HCC)是一种普遍存在的癌症,主要是由于其诊断较晚,在全球范围内显著导致死亡率。早期发现至关重要,但也具有挑战性。本研究利用深度学习(DL)技术的潜力,采用You Only Look Once (YOLO)架构,增强计算机断层扫描(CT)图像中HCC的检测,旨在改善早期诊断,从而改善患者预后。我们使用了来自122名患者的1290张CT图像的数据集,根据标准的70:20:10分割进行训练、验证和测试阶段的分割。基于yolo的DL模型在这些图像上进行训练,随后进行验证和测试,以全面评估模型的诊断能力。该模型的诊断精度为0.97216,召回率为0.919,总体准确率为95.35%,显著优于传统的诊断方法。特异性为95.83%,敏感性为94.74%,证明了其在临床环境中的有效性,并有可能减少漏诊率和不必要的干预。在CT扫描中检测HCC的YOLO架构的实施显示出了巨大的希望,这表明DL模型很快就会成为肿瘤诊断的标准工具。随着人工智能技术的不断发展,其与医疗保健系统的整合有望提高肿瘤诊断的准确性和效率,增强早期检测和治疗策略,并有可能提高患者的存活率。
本文章由计算机程序翻译,如有差异,请以英文原文为准。
求助全文
约1分钟内获得全文 求助全文
来源期刊
Turkish Journal of Gastroenterology
Turkish Journal of Gastroenterology 医学-胃肠肝病学
CiteScore
1.90
自引率
0.00%
发文量
127
审稿时长
6 months
期刊介绍: The Turkish Journal of Gastroenterology (Turk J Gastroenterol) is the double-blind peer-reviewed, open access, international publication organ of the Turkish Society of Gastroenterology. The journal is a bimonthly publication, published on January, March, May, July, September, November and its publication language is English. The Turkish Journal of Gastroenterology aims to publish international at the highest clinical and scientific level on original issues of gastroenterology and hepatology. The journal publishes original papers, review articles, case reports and letters to the editor on clinical and experimental gastroenterology and hepatology.
×
引用
GB/T 7714-2015
复制
MLA
复制
APA
复制
导出至
BibTeX EndNote RefMan NoteFirst NoteExpress
×
提示
您的信息不完整,为了账户安全,请先补充。
现在去补充
×
提示
您因"违规操作"
具体请查看互助需知
我知道了
×
提示
确定
请完成安全验证×
copy
已复制链接
快去分享给好友吧!
我知道了
右上角分享
点击右上角分享
0
联系我们:info@booksci.cn Book学术提供免费学术资源搜索服务,方便国内外学者检索中英文文献。致力于提供最便捷和优质的服务体验。 Copyright © 2023 布克学术 All rights reserved.
京ICP备2023020795号-1
ghs 京公网安备 11010802042870号
Book学术文献互助
Book学术文献互助群
群 号:604180095
Book学术官方微信