Giant Primary Epidural Extraskeletal Ewing Sarcoma in Cervical Spine of an Infant: Case Report and Review of the Literature.

IF 0.9 Q4 CLINICAL NEUROLOGY
Iranian Journal of Child Neurology Pub Date : 2024-01-01 Epub Date: 2024-09-29 DOI:10.22037/ijcn.v18i4
Sousan Mousavi, Ehsan Keykhosravi, Hamid Rezaee, Paria Dehghanian, Farnoosh Ebrahimzadeh, Amin Tavallaii, Mehran Beiraghi Toosi
{"title":"Giant Primary Epidural Extraskeletal Ewing Sarcoma in Cervical Spine of an Infant: Case Report and Review of the Literature.","authors":"Sousan Mousavi, Ehsan Keykhosravi, Hamid Rezaee, Paria Dehghanian, Farnoosh Ebrahimzadeh, Amin Tavallaii, Mehran Beiraghi Toosi","doi":"10.22037/ijcn.v18i4","DOIUrl":null,"url":null,"abstract":"<p><p>Ewing sarcoma (ES) is a highly malignant tumor originating from bones, exceptionally long bones. ES arising from the epidural extramedullary space, primarily the cervical region, is highly unlikely. There have been only six cases of cervical epidural extraskeletal Ewing sarcoma (EEES) in children reported in the literature, all of whom were older than seven years old. Four of seven cases, including the one mentioned in this study, were male (57%). Herein, we report a 1.5-year-old girl who presented with quadriparesis without cognitive impairment and had initially undergone a metabolic disorder evaluation. The spine MRI revealed a mass in the C2-T6 region, and she underwent a biopsy of the tumor via laminectomy. Microscopic examination confirms a diagnosis of ES based on immunohistochemistry. This is the first literature that presents an infant with EEES.</p>","PeriodicalId":14537,"journal":{"name":"Iranian Journal of Child Neurology","volume":"18 4","pages":"127-134"},"PeriodicalIF":0.9000,"publicationDate":"2024-01-01","publicationTypes":"Journal Article","fieldsOfStudy":null,"isOpenAccess":false,"openAccessPdf":"https://www.ncbi.nlm.nih.gov/pmc/articles/PMC11520270/pdf/","citationCount":"0","resultStr":null,"platform":"Semanticscholar","paperid":null,"PeriodicalName":"Iranian Journal of Child Neurology","FirstCategoryId":"1085","ListUrlMain":"https://doi.org/10.22037/ijcn.v18i4","RegionNum":0,"RegionCategory":null,"ArticlePicture":[],"TitleCN":null,"AbstractTextCN":null,"PMCID":null,"EPubDate":"2024/9/29 0:00:00","PubModel":"Epub","JCR":"Q4","JCRName":"CLINICAL NEUROLOGY","Score":null,"Total":0}
引用次数: 0

Abstract

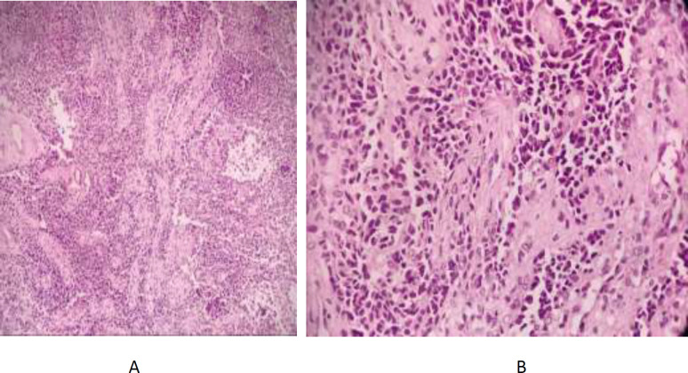
Ewing sarcoma (ES) is a highly malignant tumor originating from bones, exceptionally long bones. ES arising from the epidural extramedullary space, primarily the cervical region, is highly unlikely. There have been only six cases of cervical epidural extraskeletal Ewing sarcoma (EEES) in children reported in the literature, all of whom were older than seven years old. Four of seven cases, including the one mentioned in this study, were male (57%). Herein, we report a 1.5-year-old girl who presented with quadriparesis without cognitive impairment and had initially undergone a metabolic disorder evaluation. The spine MRI revealed a mass in the C2-T6 region, and she underwent a biopsy of the tumor via laminectomy. Microscopic examination confirms a diagnosis of ES based on immunohistochemistry. This is the first literature that presents an infant with EEES.

Abstract Image

Abstract Image

Abstract Image

婴儿颈椎硬膜外巨大原发性尤文肉瘤:病例报告和文献综述。
尤文肉瘤(ES)是一种起源于骨骼,尤其是长骨的高度恶性肿瘤。硬膜外髓外间隙(主要是颈椎部位)发生 ES 的可能性极低。文献中仅报道过六例儿童颈部硬膜外骨外尤文肉瘤(EEES)病例,患者年龄均超过七岁。包括本研究中提到的病例在内,7 例病例中有 4 例为男性(占 57%)。在此,我们报告了一名 1.5 岁的女孩,她出现四肢瘫痪,但无认知障碍,最初接受了代谢紊乱评估。脊柱磁共振成像(MRI)显示,C2-T6区域有肿块,她通过椎板切除术对肿瘤进行了活检。显微镜检查根据免疫组化结果确诊为 ES。这是第一篇介绍 EEES 婴儿病例的文献。
本文章由计算机程序翻译,如有差异,请以英文原文为准。
求助全文
约1分钟内获得全文 求助全文
来源期刊
CiteScore
1.40
自引率
0.00%
发文量
35
×
引用
GB/T 7714-2015
复制
MLA
复制
APA
复制
导出至
BibTeX EndNote RefMan NoteFirst NoteExpress
×
提示
您的信息不完整,为了账户安全,请先补充。
现在去补充
×
提示
您因"违规操作"
具体请查看互助需知
我知道了
×
提示
确定
请完成安全验证×
copy
已复制链接
快去分享给好友吧!
我知道了
右上角分享
点击右上角分享
0
联系我们:info@booksci.cn Book学术提供免费学术资源搜索服务,方便国内外学者检索中英文文献。致力于提供最便捷和优质的服务体验。 Copyright © 2023 布克学术 All rights reserved.
京ICP备2023020795号-1
ghs 京公网安备 11010802042870号
Book学术文献互助
Book学术文献互助群
群 号:604180095
Book学术官方微信