Acute Necrotizing Encephalopathy in Children: Insights and Outcomes from Iran.

IF 0.9 Q4 CLINICAL NEUROLOGY
Iranian Journal of Child Neurology Pub Date : 2024-01-01 Epub Date: 2024-09-29
Farrokh Seilanian Toosi, Narges Hashemi, Reza Nejad Shahrokh Abadi, Ahmad Mehdipour Arbastan, Javad Akhoondian, Farah Ashrafzadeh, Mehran Beiraghi Toosi, Shima Imannezhad, Sara Maddahpour, Maryam Naseri, Amin Saeidinia, Samaneh Kamali, Shima Shekari
{"title":"Acute Necrotizing Encephalopathy in Children: Insights and Outcomes from Iran.","authors":"Farrokh Seilanian Toosi, Narges Hashemi, Reza Nejad Shahrokh Abadi, Ahmad Mehdipour Arbastan, Javad Akhoondian, Farah Ashrafzadeh, Mehran Beiraghi Toosi, Shima Imannezhad, Sara Maddahpour, Maryam Naseri, Amin Saeidinia, Samaneh Kamali, Shima Shekari","doi":"","DOIUrl":null,"url":null,"abstract":"<p><strong>Objectives: </strong>Acute necrotizing encephalopathy of childhood (ANEC) is a rare, potentially life-threatening condition. This study aimed to identify clinical profiles and outcomes of ANEC while assessing the accuracy of severity scoring in the Iranian population.</p><p><strong>Materials & methods: </strong>The present study collected demographic, clinical, laboratory, and radiological data from children diagnosed with ANEC. Severity was measured using the ANE-Severity Score (ANE-SS), while outcomes were assessed with the Glasgow Outcome Score (GOS). This research analyzed the relationship between these scores and various parameters for statistical significance.</p><p><strong>Results: </strong>Seven patients were included over three years, with an average age of 4.4±2.7 years (5 males). ANE-SS varied from moderate to high, with most patients experiencing moderate to severe disabilities, as indicated by the GOS. Significant correlations were found with initial serum magnesium levels, pupil light reactivity, and initial GCS score (P-value < 0.05).</p><p><strong>Conclusion: </strong>Controlling initial magnesium levels may improve ANEC outcomes. Additionally, intact pupil light reactivity at admission was associated with a better prognosis.</p>","PeriodicalId":14537,"journal":{"name":"Iranian Journal of Child Neurology","volume":"18 4","pages":"107-119"},"PeriodicalIF":0.9000,"publicationDate":"2024-01-01","publicationTypes":"Journal Article","fieldsOfStudy":null,"isOpenAccess":false,"openAccessPdf":"https://www.ncbi.nlm.nih.gov/pmc/articles/PMC11520272/pdf/","citationCount":"0","resultStr":null,"platform":"Semanticscholar","paperid":null,"PeriodicalName":"Iranian Journal of Child Neurology","FirstCategoryId":"1085","ListUrlMain":"","RegionNum":0,"RegionCategory":null,"ArticlePicture":[],"TitleCN":null,"AbstractTextCN":null,"PMCID":null,"EPubDate":"2024/9/29 0:00:00","PubModel":"Epub","JCR":"Q4","JCRName":"CLINICAL NEUROLOGY","Score":null,"Total":0}
引用次数: 0

Abstract

Objectives: Acute necrotizing encephalopathy of childhood (ANEC) is a rare, potentially life-threatening condition. This study aimed to identify clinical profiles and outcomes of ANEC while assessing the accuracy of severity scoring in the Iranian population.

Materials & methods: The present study collected demographic, clinical, laboratory, and radiological data from children diagnosed with ANEC. Severity was measured using the ANE-Severity Score (ANE-SS), while outcomes were assessed with the Glasgow Outcome Score (GOS). This research analyzed the relationship between these scores and various parameters for statistical significance.

Results: Seven patients were included over three years, with an average age of 4.4±2.7 years (5 males). ANE-SS varied from moderate to high, with most patients experiencing moderate to severe disabilities, as indicated by the GOS. Significant correlations were found with initial serum magnesium levels, pupil light reactivity, and initial GCS score (P-value < 0.05).

Conclusion: Controlling initial magnesium levels may improve ANEC outcomes. Additionally, intact pupil light reactivity at admission was associated with a better prognosis.

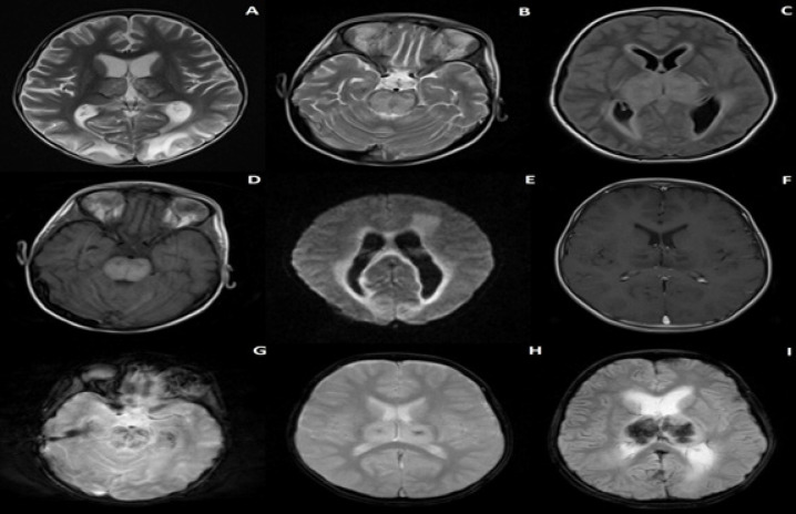
Abstract Image

儿童急性坏死性脑病:来自伊朗的见解和结果。
目的:儿童急性坏死性脑病(ANEC)是一种罕见的、可能危及生命的疾病。本研究旨在确定ANEC的临床特征和预后,同时评估伊朗人群中严重程度评分的准确性:本研究收集了被诊断为 ANEC 的儿童的人口统计学、临床、实验室和放射学数据。严重程度采用ANE-严重程度评分(ANE-SS)进行测量,而结果则采用格拉斯哥结果评分(GOS)进行评估。本研究分析了这些评分与各种参数之间的关系,以确定统计学意义:共纳入 7 名患者,历时 3 年,平均年龄为 4.4±2.7 岁(男性 5 人)。ANE-SS从中度到高度不等,大多数患者都有中度到重度残疾,如GOS所示。研究发现,初始血清镁水平、瞳孔光反应和初始GCS评分之间存在显著相关性(P值<0.05):结论:控制初始血镁水平可改善 ANEC 的预后。此外,入院时瞳孔光反应完整与预后较好相关。
本文章由计算机程序翻译,如有差异,请以英文原文为准。
求助全文
约1分钟内获得全文 求助全文
来源期刊
CiteScore
1.40
自引率
0.00%
发文量
35
×
引用
GB/T 7714-2015
复制
MLA
复制
APA
复制
导出至
BibTeX EndNote RefMan NoteFirst NoteExpress
×
提示
您的信息不完整,为了账户安全,请先补充。
现在去补充
×
提示
您因"违规操作"
具体请查看互助需知
我知道了
×
提示
确定
请完成安全验证×
copy
已复制链接
快去分享给好友吧!
我知道了
右上角分享
点击右上角分享
0
联系我们:info@booksci.cn Book学术提供免费学术资源搜索服务,方便国内外学者检索中英文文献。致力于提供最便捷和优质的服务体验。 Copyright © 2023 布克学术 All rights reserved.
京ICP备2023020795号-1
ghs 京公网安备 11010802042870号
Book学术文献互助
Book学术文献互助群
群 号:604180095
Book学术官方微信