Neurophenotype and genetic analysis of children with Aicardi-Goutières syndrome in China.

IF 2 4区 医学 Q2 PEDIATRICS
Pediatric Investigation Pub Date : 2024-05-30 eCollection Date: 2024-09-01 DOI:10.1002/ped4.12428
Shen Zhang, Weihua Zhang, Changhong Ding, Xiaotun Ren, Fang Fang, Yun Wu
{"title":"Neurophenotype and genetic analysis of children with Aicardi-Goutières syndrome in China.","authors":"Shen Zhang, Weihua Zhang, Changhong Ding, Xiaotun Ren, Fang Fang, Yun Wu","doi":"10.1002/ped4.12428","DOIUrl":null,"url":null,"abstract":"<p><strong>Importance: </strong>Aicardi-Goutières syndrome (AGS) is a rare genetic disorder mainly affecting the central nervous system and autoimmunity. However, research on AGS among Chinese patients is limited.</p><p><strong>Objective: </strong>To summarize the neurologic phenotypes and genetic causes in pediatric AGS patients, providing insights for early recognition and diagnosis in the Chinese population.</p><p><strong>Methods: </strong>Clinical features and neuroimaging results of the patients diagnosed with AGS from Beijing Children's Hospital between January 2018 and January 2022 were collected. Whole exome sequencing was used for genetic analysis.</p><p><strong>Results: </strong>A total of 15 patients was included, all presenting with various neurological symptoms, including developmental delay (100%), motor skill impairment (100%), language disability (78.6%), dystonia (93.3%), microcephaly (73.3%), sleep disorders (26.7%), regression (20.0%), vessel disease (6.7%), and epilepsy (6.7%). Neuroimaging revealed intracranial calcification (86.7%), cerebral atrophy (73.3%), and leukodystrophy (73.3%). Seven genes were identified, with <i>TREX1</i> being the most common (40.0%, 6/15), followed by <i>IFIH1</i> (20.0%, 3/15). Variant c.294dupA (p.C99Mfs*3) was detected in four unrelated patients, accounting for 66.7% (4/6) patients with the <i>TREX1</i> variant. A literature review showed that <i>TREX1</i> gene mutations in 35.6% (21/59) of AGS patients among the Chinese population.</p><p><strong>Interpretation: </strong>Neurological symptoms are the most prevalent and severe presentation of AGS. Diagnosis may be considered when symptoms such as developmental delay, dystonia, microcephaly, brain calcification, and leukodystrophy emerge. <i>TREX1</i> mutations are predominant in the Chinese population.</p>","PeriodicalId":19992,"journal":{"name":"Pediatric Investigation","volume":"8 3","pages":"193-200"},"PeriodicalIF":2.0000,"publicationDate":"2024-05-30","publicationTypes":"Journal Article","fieldsOfStudy":null,"isOpenAccess":false,"openAccessPdf":"https://www.ncbi.nlm.nih.gov/pmc/articles/PMC11427897/pdf/","citationCount":"0","resultStr":null,"platform":"Semanticscholar","paperid":null,"PeriodicalName":"Pediatric Investigation","FirstCategoryId":"3","ListUrlMain":"https://doi.org/10.1002/ped4.12428","RegionNum":4,"RegionCategory":"医学","ArticlePicture":[],"TitleCN":null,"AbstractTextCN":null,"PMCID":null,"EPubDate":"2024/9/1 0:00:00","PubModel":"eCollection","JCR":"Q2","JCRName":"PEDIATRICS","Score":null,"Total":0}
引用次数: 0

Abstract

Importance: Aicardi-Goutières syndrome (AGS) is a rare genetic disorder mainly affecting the central nervous system and autoimmunity. However, research on AGS among Chinese patients is limited.

Objective: To summarize the neurologic phenotypes and genetic causes in pediatric AGS patients, providing insights for early recognition and diagnosis in the Chinese population.

Methods: Clinical features and neuroimaging results of the patients diagnosed with AGS from Beijing Children's Hospital between January 2018 and January 2022 were collected. Whole exome sequencing was used for genetic analysis.

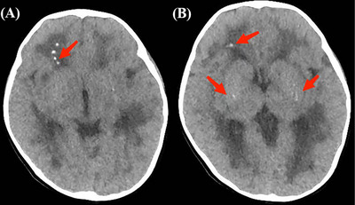
Results: A total of 15 patients was included, all presenting with various neurological symptoms, including developmental delay (100%), motor skill impairment (100%), language disability (78.6%), dystonia (93.3%), microcephaly (73.3%), sleep disorders (26.7%), regression (20.0%), vessel disease (6.7%), and epilepsy (6.7%). Neuroimaging revealed intracranial calcification (86.7%), cerebral atrophy (73.3%), and leukodystrophy (73.3%). Seven genes were identified, with TREX1 being the most common (40.0%, 6/15), followed by IFIH1 (20.0%, 3/15). Variant c.294dupA (p.C99Mfs*3) was detected in four unrelated patients, accounting for 66.7% (4/6) patients with the TREX1 variant. A literature review showed that TREX1 gene mutations in 35.6% (21/59) of AGS patients among the Chinese population.

Interpretation: Neurological symptoms are the most prevalent and severe presentation of AGS. Diagnosis may be considered when symptoms such as developmental delay, dystonia, microcephaly, brain calcification, and leukodystrophy emerge. TREX1 mutations are predominant in the Chinese population.

Abstract Image

Abstract Image

Abstract Image

中国艾卡迪-古蒂耶尔综合征患儿的神经表型和遗传分析。
重要意义艾卡迪-古蒂耶尔综合征(AGS)是一种罕见的遗传性疾病,主要影响中枢神经系统和自身免疫。然而,针对中国患者的 AGS 研究却十分有限:总结小儿AGS患者的神经系统表型和遗传原因,为中国人群的早期识别和诊断提供启示:收集2018年1月至2022年1月期间北京儿童医院确诊的AGS患者的临床特征和神经影像学结果。结果:共纳入15例患者,其中1例被确诊为AGS:共纳入15例患者,均表现出各种神经系统症状,包括发育迟缓(100%)、运动技能障碍(100%)、语言障碍(78.6%)、肌张力障碍(93.3%)、小头畸形(73.3%)、睡眠障碍(26.7%)、退行性疾病(20.0%)、血管疾病(6.7%)和癫痫(6.7%)。神经影像学检查发现颅内钙化(86.7%)、脑萎缩(73.3%)和白质营养不良(73.3%)。发现了 7 个基因,其中 TREX1 最常见(40.0%,6/15),其次是 IFIH1(20.0%,3/15)。在四名无亲属关系的患者中发现了变异c.294dupA(p.C99Mfs*3),占TREX1变异患者的66.7%(4/6)。文献综述显示,在中国人群中,35.6%(21/59)的 AGS 患者存在 TREX1 基因突变:解读:神经系统症状是 AGS 最常见和最严重的表现。当出现发育迟缓、肌张力障碍、小头畸形、脑钙化和白质营养不良等症状时,可考虑诊断。TREX1基因突变在中国人群中占主导地位。
本文章由计算机程序翻译,如有差异,请以英文原文为准。
求助全文
约1分钟内获得全文 求助全文
来源期刊
Pediatric Investigation
Pediatric Investigation Medicine-Pediatrics, Perinatology and Child Health
CiteScore
3.30
自引率
0.00%
发文量
176
审稿时长
12 weeks
×
引用
GB/T 7714-2015
复制
MLA
复制
APA
复制
导出至
BibTeX EndNote RefMan NoteFirst NoteExpress
×
提示
您的信息不完整,为了账户安全,请先补充。
现在去补充
×
提示
您因"违规操作"
具体请查看互助需知
我知道了
×
提示
确定
请完成安全验证×
copy
已复制链接
快去分享给好友吧!
我知道了
右上角分享
点击右上角分享
0
联系我们:info@booksci.cn Book学术提供免费学术资源搜索服务,方便国内外学者检索中英文文献。致力于提供最便捷和优质的服务体验。 Copyright © 2023 布克学术 All rights reserved.
京ICP备2023020795号-1
ghs 京公网安备 11010802042870号
Book学术文献互助
Book学术文献互助群
群 号:604180095
Book学术官方微信