Examining the Prevalence of Left Atrial Appendage Thrombus in a Cohort of Acute Stroke Patients with an Extended Computed Tomography Angiographic Protocol.

IF 2.4 4区 医学 Q3 CLINICAL NEUROLOGY
European Neurology Pub Date : 2024-01-01 Epub Date: 2024-05-16 DOI:10.1159/000539170
Szabolcs István Antal, Nikoletta Szabó, Róbert Klucsai, Péter Klivényi, Zsigmond Támas Kincses
{"title":"Examining the Prevalence of Left Atrial Appendage Thrombus in a Cohort of Acute Stroke Patients with an Extended Computed Tomography Angiographic Protocol.","authors":"Szabolcs István Antal, Nikoletta Szabó, Róbert Klucsai, Péter Klivényi, Zsigmond Támas Kincses","doi":"10.1159/000539170","DOIUrl":null,"url":null,"abstract":"<p><strong>Introduction: </strong>Current guidelines recommend transthoracic echocardiography (TTE) for routine screening of cardiac emboli; however, the visualization of the left atrial appendage (LAA) where the thrombi are commonly found is poor. Transesophageal echocardiography (TEE) would provide better detectability of LAA thrombus, but it is a time-consuming and semi-invasive method. Extending non-gated carotid computed tomography angiography (CTA) examination to the LAA could reliably detect thrombi and could also aid treatment and secondary prevention of stroke.</p><p><strong>Methods: </strong>We extended the CTA scan range of acute stroke patients 4 cm below the carina to include the left atrium and appendage. During the review, we evaluated LAA thrombi based on contrast relations. We then used gradient boosting to identify the most important predictors of LAA thrombi from a variety of different clinical parameters.</p><p><strong>Results: </strong>We examined 240 acute stroke patients' extended CTA scans. We detected LAA thrombi in eleven cases (4.58%), eight of them had atrial fibrillation. 23.75% of all patients (57 cases) had recently discovered or previously known atrial fibrillation. Windsack morphology was the most commonly associated morphology with filling defects on CTA. According to the gradient-boosting analysis, LAA morphology showed the most predictive value for thrombi.</p><p><strong>Conclusion: </strong>Our extended CTA scans reliably detected LAA thrombi even in cases where TTE did not and showed that 2 patients' LAA thrombus would have been untreated based on electrocardiogram monitoring and TTE. We also showed that the benefits of CTA outweigh the disadvantages arising from the slight amount of excess radiation.</p>","PeriodicalId":12065,"journal":{"name":"European Neurology","volume":" ","pages":"105-112"},"PeriodicalIF":2.4000,"publicationDate":"2024-01-01","publicationTypes":"Journal Article","fieldsOfStudy":null,"isOpenAccess":false,"openAccessPdf":"https://www.ncbi.nlm.nih.gov/pmc/articles/PMC11332310/pdf/","citationCount":"0","resultStr":null,"platform":"Semanticscholar","paperid":null,"PeriodicalName":"European Neurology","FirstCategoryId":"3","ListUrlMain":"https://doi.org/10.1159/000539170","RegionNum":4,"RegionCategory":"医学","ArticlePicture":[],"TitleCN":null,"AbstractTextCN":null,"PMCID":null,"EPubDate":"2024/5/16 0:00:00","PubModel":"Epub","JCR":"Q3","JCRName":"CLINICAL NEUROLOGY","Score":null,"Total":0}
引用次数: 0

Abstract

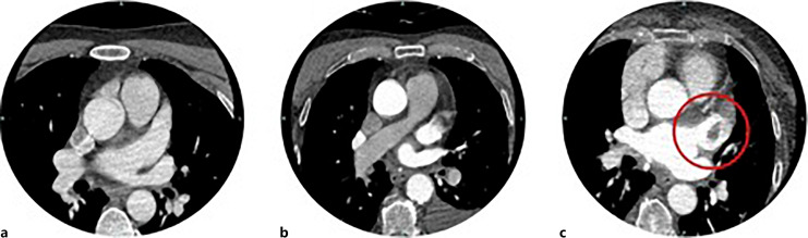
Introduction: Current guidelines recommend transthoracic echocardiography (TTE) for routine screening of cardiac emboli; however, the visualization of the left atrial appendage (LAA) where the thrombi are commonly found is poor. Transesophageal echocardiography (TEE) would provide better detectability of LAA thrombus, but it is a time-consuming and semi-invasive method. Extending non-gated carotid computed tomography angiography (CTA) examination to the LAA could reliably detect thrombi and could also aid treatment and secondary prevention of stroke.

Methods: We extended the CTA scan range of acute stroke patients 4 cm below the carina to include the left atrium and appendage. During the review, we evaluated LAA thrombi based on contrast relations. We then used gradient boosting to identify the most important predictors of LAA thrombi from a variety of different clinical parameters.

Results: We examined 240 acute stroke patients' extended CTA scans. We detected LAA thrombi in eleven cases (4.58%), eight of them had atrial fibrillation. 23.75% of all patients (57 cases) had recently discovered or previously known atrial fibrillation. Windsack morphology was the most commonly associated morphology with filling defects on CTA. According to the gradient-boosting analysis, LAA morphology showed the most predictive value for thrombi.

Conclusion: Our extended CTA scans reliably detected LAA thrombi even in cases where TTE did not and showed that 2 patients' LAA thrombus would have been untreated based on electrocardiogram monitoring and TTE. We also showed that the benefits of CTA outweigh the disadvantages arising from the slight amount of excess radiation.

Abstract Image

Abstract Image

Abstract Image

通过扩展 CT 血管造影方案,研究急性中风患者队列中左心房阑尾血栓的发生率。
导言:现行指南建议采用经胸超声心动图(TTE)对心脏栓塞进行常规筛查,但该方法对通常发现血栓的左心房附壁(LAA)的可视性较差。经食道超声心动图(TEE)能更好地检测 LAA 血栓,但这种方法耗时且属于半侵入性检查。将非门控颈动脉计算机断层扫描(CTA)检查扩展到 LAA 可以可靠地发现血栓,还能帮助治疗和中风的二级预防:方法:我们将急性中风患者的 CTA 扫描范围扩大到颈动脉下 4 厘米处,包括左心房和阑尾。在检查过程中,我们根据对比度关系评估了 LAA 血栓。然后,我们使用梯度增强技术从各种不同的临床参数中找出预测 LAA 血栓的最重要因素:我们检查了 240 名急性中风患者的扩展 CTA 扫描。我们在 11 例患者(4.58%)中发现了 LAA 血栓,其中 8 例患者患有心房颤动。在所有患者中,23.75%(57 例)最近发现或以前已知有心房颤动。CTA显示的充盈缺损最常见的相关形态是Windsack形态。根据梯度增强分析,LAA形态对血栓的预测价值最高:结论:我们的扩展 CTA 扫描能可靠地检测出 LAA 血栓,即使在 TTE 无法检测出 LAA 血栓的病例中也是如此,并显示有两名患者的 LAA 血栓在心电图(ECG)监测和 TTE 的基础上未得到治疗。我们的研究还表明,CTA 的益处超过了微量过量辐射带来的弊端。
本文章由计算机程序翻译,如有差异,请以英文原文为准。
求助全文
约1分钟内获得全文 求助全文
来源期刊
European Neurology
European Neurology 医学-临床神经学
CiteScore
4.40
自引率
4.20%
发文量
51
审稿时长
4-8 weeks
期刊介绍: ''European Neurology'' publishes original papers, reviews and letters to the editor. Papers presented in this journal cover clinical aspects of diseases of the nervous system and muscles, as well as their neuropathological, biochemical, and electrophysiological basis. New diagnostic probes, pharmacological and surgical treatments are evaluated from clinical evidence and basic investigative studies. The journal also features original works and reviews on the history of neurology.
×
引用
GB/T 7714-2015
复制
MLA
复制
APA
复制
导出至
BibTeX EndNote RefMan NoteFirst NoteExpress
×
提示
您的信息不完整,为了账户安全,请先补充。
现在去补充
×
提示
您因"违规操作"
具体请查看互助需知
我知道了
×
提示
确定
请完成安全验证×
copy
已复制链接
快去分享给好友吧!
我知道了
右上角分享
点击右上角分享
0
联系我们:info@booksci.cn Book学术提供免费学术资源搜索服务,方便国内外学者检索中英文文献。致力于提供最便捷和优质的服务体验。 Copyright © 2023 布克学术 All rights reserved.
京ICP备2023020795号-1
ghs 京公网安备 11010802042870号
Book学术文献互助
Book学术文献互助群
群 号:604180095
Book学术官方微信