Volume-based and Surface-Based Methods in Autism Compared with Healthy Controls Are Free surfer and CAT12 in Agreement?

IF 0.9 Q4 CLINICAL NEUROLOGY
Iranian Journal of Child Neurology Pub Date : 2024-01-01 Epub Date: 2024-01-18 DOI:10.22037/IJCN.V18i1.43294
Reyhane Faraji, Zohreh Ganji, Zahra Khandan Khadem, Hossein Akbari-Lalimi, Fereshteh Eidy, Hoda Zare
{"title":"Volume-based and Surface-Based Methods in Autism Compared with Healthy Controls Are Free surfer and CAT12 in Agreement?","authors":"Reyhane Faraji, Zohreh Ganji, Zahra Khandan Khadem, Hossein Akbari-Lalimi, Fereshteh Eidy, Hoda Zare","doi":"10.22037/IJCN.V18i1.43294","DOIUrl":null,"url":null,"abstract":"<p><strong>Objectives: </strong>Autism Spectrum Disorder (ASD) encompasses a range of neurodevelopmental disorders, and early detection is crucial. This study aims to identify the Regions of Interest (ROIs) with significant differences between healthy controls and individuals with autism, as well as evaluate the agreement between FreeSurfer 6 (FS6) and Computational Anatomy Toolbox (CAT12) methods.</p><p><strong>Materials & methods: </strong>Surface-based and volume-based features were extracted from FS software and CAT12 toolbox for Statistical Parametric Mapping (SPM) software to estimate ROI-wise biomarkers. These biomarkers were compared between 18 males Typically Developing Controls (TDCs) and 40 male subjects with ASD to assess group differences for each method. Finally, agreement and regression analyses were performed between the two methods for TDCs and ASD groups.</p><p><strong>Results: </strong>Both methods revealed ROIs with significant differences for each parameter. The Analysis of Covariance (ANCOVA) showed that both TDCs and ASD groups indicated a significant relationship between the two methods (p<0.001). The R<sup>2</sup> values for TDCs and ASD groups were 0.692 and 0.680, respectively, demonstrating a moderate correlation between CAT12 and FS6. Bland-Altman graphs showed a moderate level of agreement between the two methods.</p><p><strong>Conclusion: </strong>The moderate correlation and agreement between CAT12 and FS6 suggest that while some consistency is observed in the results, CAT12 is not a superior substitute for FS6 software. Further research is needed to identify a potential replacement for this method.</p>","PeriodicalId":14537,"journal":{"name":"Iranian Journal of Child Neurology","volume":"18 1","pages":"93-118"},"PeriodicalIF":0.9000,"publicationDate":"2024-01-01","publicationTypes":"Journal Article","fieldsOfStudy":null,"isOpenAccess":false,"openAccessPdf":"https://www.ncbi.nlm.nih.gov/pmc/articles/PMC10874516/pdf/","citationCount":"0","resultStr":null,"platform":"Semanticscholar","paperid":null,"PeriodicalName":"Iranian Journal of Child Neurology","FirstCategoryId":"1085","ListUrlMain":"https://doi.org/10.22037/IJCN.V18i1.43294","RegionNum":0,"RegionCategory":null,"ArticlePicture":[],"TitleCN":null,"AbstractTextCN":null,"PMCID":null,"EPubDate":"2024/1/18 0:00:00","PubModel":"Epub","JCR":"Q4","JCRName":"CLINICAL NEUROLOGY","Score":null,"Total":0}
引用次数: 0

Abstract

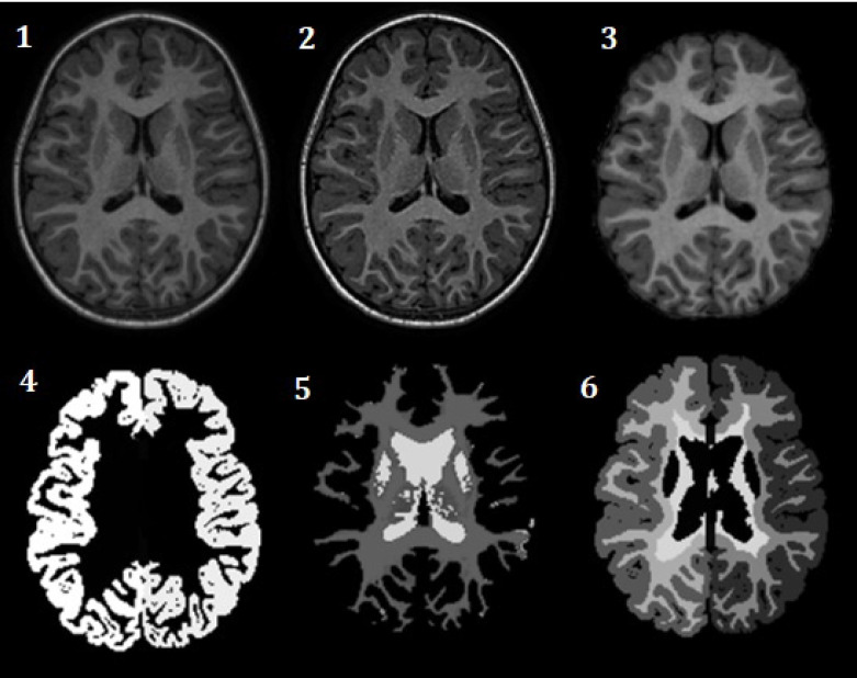
Objectives: Autism Spectrum Disorder (ASD) encompasses a range of neurodevelopmental disorders, and early detection is crucial. This study aims to identify the Regions of Interest (ROIs) with significant differences between healthy controls and individuals with autism, as well as evaluate the agreement between FreeSurfer 6 (FS6) and Computational Anatomy Toolbox (CAT12) methods.

Materials & methods: Surface-based and volume-based features were extracted from FS software and CAT12 toolbox for Statistical Parametric Mapping (SPM) software to estimate ROI-wise biomarkers. These biomarkers were compared between 18 males Typically Developing Controls (TDCs) and 40 male subjects with ASD to assess group differences for each method. Finally, agreement and regression analyses were performed between the two methods for TDCs and ASD groups.

Results: Both methods revealed ROIs with significant differences for each parameter. The Analysis of Covariance (ANCOVA) showed that both TDCs and ASD groups indicated a significant relationship between the two methods (p<0.001). The R2 values for TDCs and ASD groups were 0.692 and 0.680, respectively, demonstrating a moderate correlation between CAT12 and FS6. Bland-Altman graphs showed a moderate level of agreement between the two methods.

Conclusion: The moderate correlation and agreement between CAT12 and FS6 suggest that while some consistency is observed in the results, CAT12 is not a superior substitute for FS6 software. Further research is needed to identify a potential replacement for this method.

Abstract Image

Abstract Image

Abstract Image

与健康对照组相比,自闭症患者的体积法和表面法是否一致?
目的:自闭症谱系障碍(ASD)包括一系列神经发育障碍,早期发现至关重要。本研究旨在确定健康对照组与自闭症患者之间存在显著差异的感兴趣区(ROI),并评估 FreeSurfer 6(FS6)与计算解剖工具箱(CAT12)方法之间的一致性:从FS软件和CAT12工具箱的统计参数映射(SPM)软件中提取基于表面和体积的特征,以估计ROI方面的生物标志物。将这些生物标志物在 18 名男性典型发育对照组(TDCs)和 40 名男性 ASD 受试者之间进行比较,以评估每种方法的群体差异。最后,对TDCs组和ASD组的两种方法进行了一致性和回归分析:结果:两种方法都能发现各参数有显著差异的 ROI。协方差分析(ANCOVA)显示,TDCs 组和 ASD 组均表明两种方法之间存在显著关系(TDCs 组和 ASD 组的 p2 值分别为 0.692 和 0.680,表明 CAT12 和 FS6 之间存在中度相关性)。Bland-Altman图显示两种方法的一致性处于中等水平:CAT12 和 FS6 之间的中等相关性和一致性表明,虽然结果有一定的一致性,但 CAT12 并不能取代 FS6 软件。需要进一步研究,以确定该方法的潜在替代品。
本文章由计算机程序翻译,如有差异,请以英文原文为准。
求助全文
约1分钟内获得全文 求助全文
来源期刊
CiteScore
1.40
自引率
0.00%
发文量
35
×
引用
GB/T 7714-2015
复制
MLA
复制
APA
复制
导出至
BibTeX EndNote RefMan NoteFirst NoteExpress
×
提示
您的信息不完整,为了账户安全,请先补充。
现在去补充
×
提示
您因"违规操作"
具体请查看互助需知
我知道了
×
提示
确定
请完成安全验证×
copy
已复制链接
快去分享给好友吧!
我知道了
右上角分享
点击右上角分享
0
联系我们:info@booksci.cn Book学术提供免费学术资源搜索服务,方便国内外学者检索中英文文献。致力于提供最便捷和优质的服务体验。 Copyright © 2023 布克学术 All rights reserved.
京ICP备2023020795号-1
ghs 京公网安备 11010802042870号
Book学术文献互助
Book学术文献互助群
群 号:604180095
Book学术官方微信