以生理盐水为加工液,应用自体细胞学技术诊断口腔病变:一项比较研究。

IF 1 4区 医学 Q4 MEDICAL LABORATORY TECHNOLOGY
Journal of Cytology Pub Date : 2023-04-01 Epub Date: 2023-05-22 DOI:10.4103/joc.joc_64_22
B N Kumarguru, M Lakshmi Narayana, G Urvashi, A S Ramaswamy
{"title":"以生理盐水为加工液,应用自体细胞学技术诊断口腔病变:一项比较研究。","authors":"B N Kumarguru,&nbsp;M Lakshmi Narayana,&nbsp;G Urvashi,&nbsp;A S Ramaswamy","doi":"10.4103/joc.joc_64_22","DOIUrl":null,"url":null,"abstract":"<p><strong>Background: </strong>Oral cancer is a major health problem in developing countries. Cytology has been widely accepted as a tool in the early diagnosis of cancer.</p><p><strong>Objectives: </strong>To evaluate the diagnostic utility of four different cytology techniques, that is, modified brush cytology (BR) technique, brush cytology cytocentrifugation (BRCC) technique, modified scrape cytology (SR) technique, and scrape cytology cytocentrifugation (SRCC) technique and correlate the cytopathological diagnosis with the available histopathological diagnosis.</p><p><strong>Materials and methods: </strong>It was a prospective observational study of oral cavity lesions conducted from January 2018 to December 2018 at a rural tertiary care referral institute. Smears prepared by four different techniques, that is, BR technique, BRCC technique, SR technique and SRCC technique were evaluated using a scoring system. Normal saline was used as a processing fluid for cytocentrifugation techniques, and the cytological diagnosis was compared with an available histopathological diagnosis for concordance.</p><p><strong>Results: </strong>Twenty-seven cases of oral cavity lesions were analyzed. Squamous cell carcinoma (55.56%) constituted the most common lesion diagnosed by cytology. Total concordance was 95.65%. Brush cytology techniques were better technique than scrape cytology techniques. Cytocentrifugation techniques were better than modified brush cytology technique and modified scrape cytology technique and the values were statistically highly significant (<i>P</i><0.0001).</p><p><strong>Conclusion: </strong>The utility of only normal saline as a processing fluid for cytocentrifugation may be considered an unexplored and prudent endeavor. This indigenously designed technique may be employed to improve the quality of cytological preparation for the evaluation of oral cavity lesions.</p>","PeriodicalId":50217,"journal":{"name":"Journal of Cytology","volume":"40 2","pages":"58-67"},"PeriodicalIF":1.0000,"publicationDate":"2023-04-01","publicationTypes":"Journal Article","fieldsOfStudy":null,"isOpenAccess":false,"openAccessPdf":"https://www.ncbi.nlm.nih.gov/pmc/articles/PMC10305897/pdf/","citationCount":"0","resultStr":"{\"title\":\"Utility of Indigenous Cytology Technique in the Diagnosis of Oral Cavity Lesions using Normal Saline as a Processing Fluid: A Comparative Study.\",\"authors\":\"B N Kumarguru,&nbsp;M Lakshmi Narayana,&nbsp;G Urvashi,&nbsp;A S Ramaswamy\",\"doi\":\"10.4103/joc.joc_64_22\",\"DOIUrl\":null,\"url\":null,\"abstract\":\"<p><strong>Background: </strong>Oral cancer is a major health problem in developing countries. Cytology has been widely accepted as a tool in the early diagnosis of cancer.</p><p><strong>Objectives: </strong>To evaluate the diagnostic utility of four different cytology techniques, that is, modified brush cytology (BR) technique, brush cytology cytocentrifugation (BRCC) technique, modified scrape cytology (SR) technique, and scrape cytology cytocentrifugation (SRCC) technique and correlate the cytopathological diagnosis with the available histopathological diagnosis.</p><p><strong>Materials and methods: </strong>It was a prospective observational study of oral cavity lesions conducted from January 2018 to December 2018 at a rural tertiary care referral institute. Smears prepared by four different techniques, that is, BR technique, BRCC technique, SR technique and SRCC technique were evaluated using a scoring system. Normal saline was used as a processing fluid for cytocentrifugation techniques, and the cytological diagnosis was compared with an available histopathological diagnosis for concordance.</p><p><strong>Results: </strong>Twenty-seven cases of oral cavity lesions were analyzed. Squamous cell carcinoma (55.56%) constituted the most common lesion diagnosed by cytology. Total concordance was 95.65%. Brush cytology techniques were better technique than scrape cytology techniques. Cytocentrifugation techniques were better than modified brush cytology technique and modified scrape cytology technique and the values were statistically highly significant (<i>P</i><0.0001).</p><p><strong>Conclusion: </strong>The utility of only normal saline as a processing fluid for cytocentrifugation may be considered an unexplored and prudent endeavor. This indigenously designed technique may be employed to improve the quality of cytological preparation for the evaluation of oral cavity lesions.</p>\",\"PeriodicalId\":50217,\"journal\":{\"name\":\"Journal of Cytology\",\"volume\":\"40 2\",\"pages\":\"58-67\"},\"PeriodicalIF\":1.0000,\"publicationDate\":\"2023-04-01\",\"publicationTypes\":\"Journal Article\",\"fieldsOfStudy\":null,\"isOpenAccess\":false,\"openAccessPdf\":\"https://www.ncbi.nlm.nih.gov/pmc/articles/PMC10305897/pdf/\",\"citationCount\":\"0\",\"resultStr\":null,\"platform\":\"Semanticscholar\",\"paperid\":null,\"PeriodicalName\":\"Journal of Cytology\",\"FirstCategoryId\":\"3\",\"ListUrlMain\":\"https://doi.org/10.4103/joc.joc_64_22\",\"RegionNum\":4,\"RegionCategory\":\"医学\",\"ArticlePicture\":[],\"TitleCN\":null,\"AbstractTextCN\":null,\"PMCID\":null,\"EPubDate\":\"2023/5/22 0:00:00\",\"PubModel\":\"Epub\",\"JCR\":\"Q4\",\"JCRName\":\"MEDICAL LABORATORY TECHNOLOGY\",\"Score\":null,\"Total\":0}","platform":"Semanticscholar","paperid":null,"PeriodicalName":"Journal of Cytology","FirstCategoryId":"3","ListUrlMain":"https://doi.org/10.4103/joc.joc_64_22","RegionNum":4,"RegionCategory":"医学","ArticlePicture":[],"TitleCN":null,"AbstractTextCN":null,"PMCID":null,"EPubDate":"2023/5/22 0:00:00","PubModel":"Epub","JCR":"Q4","JCRName":"MEDICAL LABORATORY TECHNOLOGY","Score":null,"Total":0}
引用次数: 0

摘要

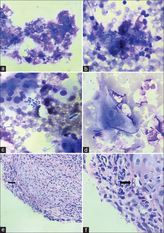
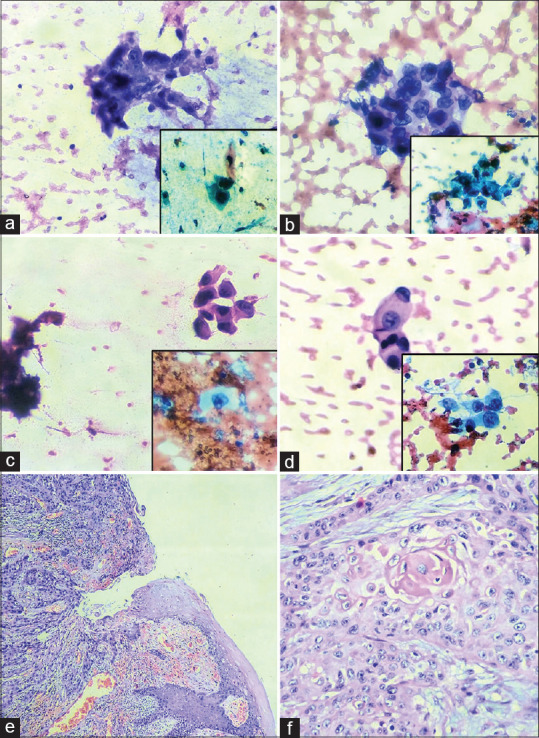
背景:口腔癌症是发展中国家的一个主要健康问题。细胞学已被广泛接受为癌症早期诊断的工具。目的:评价四种不同细胞学技术的诊断实用性,即改良刷状细胞学(BR)技术、刷状细胞学细胞离心(BRCC)技术、改良刮取细胞学(SR)技术和刮取细胞学细胞离心技术,并将细胞病理学诊断与可用的组织病理学诊断相关联。材料和方法:这是一项2018年1月至2018年12月在农村三级护理转诊机构进行的口腔病变前瞻性观察性研究。采用评分系统对BR技术、BRCC技术、SR技术和SRCC技术四种不同技术制备的涂片进行评价。使用生理盐水作为细胞离心技术的处理液,并将细胞学诊断与可用的组织病理学诊断进行比较以获得一致性。结果:对27例口腔病变进行分析。鳞状细胞癌(55.56%)是细胞学诊断最常见的病变。总符合率为95.65%,刷式细胞学技术优于刮式细胞学技术。细胞离心技术优于改良刷式细胞学技术和改良刮式细胞学技术,其数值具有统计学意义(结论:仅使用生理盐水作为细胞离心的处理液可能被认为是一项尚未探索和谨慎的努力。这项自主设计的技术可用于提高口腔病变评估的细胞学准备质量。
本文章由计算机程序翻译,如有差异,请以英文原文为准。

Utility of Indigenous Cytology Technique in the Diagnosis of Oral Cavity Lesions using Normal Saline as a Processing Fluid: A Comparative Study.

Utility of Indigenous Cytology Technique in the Diagnosis of Oral Cavity Lesions using Normal Saline as a Processing Fluid: A Comparative Study.

Utility of Indigenous Cytology Technique in the Diagnosis of Oral Cavity Lesions using Normal Saline as a Processing Fluid: A Comparative Study.

Utility of Indigenous Cytology Technique in the Diagnosis of Oral Cavity Lesions using Normal Saline as a Processing Fluid: A Comparative Study.

Background: Oral cancer is a major health problem in developing countries. Cytology has been widely accepted as a tool in the early diagnosis of cancer.

Objectives: To evaluate the diagnostic utility of four different cytology techniques, that is, modified brush cytology (BR) technique, brush cytology cytocentrifugation (BRCC) technique, modified scrape cytology (SR) technique, and scrape cytology cytocentrifugation (SRCC) technique and correlate the cytopathological diagnosis with the available histopathological diagnosis.

Materials and methods: It was a prospective observational study of oral cavity lesions conducted from January 2018 to December 2018 at a rural tertiary care referral institute. Smears prepared by four different techniques, that is, BR technique, BRCC technique, SR technique and SRCC technique were evaluated using a scoring system. Normal saline was used as a processing fluid for cytocentrifugation techniques, and the cytological diagnosis was compared with an available histopathological diagnosis for concordance.

Results: Twenty-seven cases of oral cavity lesions were analyzed. Squamous cell carcinoma (55.56%) constituted the most common lesion diagnosed by cytology. Total concordance was 95.65%. Brush cytology techniques were better technique than scrape cytology techniques. Cytocentrifugation techniques were better than modified brush cytology technique and modified scrape cytology technique and the values were statistically highly significant (P<0.0001).

Conclusion: The utility of only normal saline as a processing fluid for cytocentrifugation may be considered an unexplored and prudent endeavor. This indigenously designed technique may be employed to improve the quality of cytological preparation for the evaluation of oral cavity lesions.

求助全文
通过发布文献求助,成功后即可免费获取论文全文。 去求助
来源期刊
Journal of Cytology
Journal of Cytology MEDICAL LABORATORY TECHNOLOGY-
CiteScore
1.80
自引率
7.70%
发文量
34
审稿时长
46 weeks
期刊介绍: The Journal of Cytology is the official Quarterly publication of the Indian Academy of Cytologists. It is in the 25th year of publication in the year 2008. The journal covers all aspects of diagnostic cytology, including fine needle aspiration cytology, gynecological and non-gynecological cytology. Articles on ancillary techniques, like cytochemistry, immunocytochemistry, electron microscopy, molecular cytopathology, as applied to cytological material are also welcome. The journal gives preference to clinically oriented studies over experimental and animal studies. The Journal would publish peer-reviewed original research papers, case reports, systematic reviews, meta-analysis, and debates.
×
引用
GB/T 7714-2015
复制
MLA
复制
APA
复制
导出至
BibTeX EndNote RefMan NoteFirst NoteExpress
×
提示
您的信息不完整,为了账户安全,请先补充。
现在去补充
×
提示
您因"违规操作"
具体请查看互助需知
我知道了
×
提示
确定
请完成安全验证×
copy
已复制链接
快去分享给好友吧!
我知道了
右上角分享
点击右上角分享
0
联系我们:info@booksci.cn Book学术提供免费学术资源搜索服务,方便国内外学者检索中英文文献。致力于提供最便捷和优质的服务体验。 Copyright © 2023 布克学术 All rights reserved.
京ICP备2023020795号-1
ghs 京公网安备 11010802042870号
Book学术文献互助
Book学术文献互助群
群 号:604180095
Book学术官方微信