csf -静脉瘘引起的自发性颅内低血压:评估卧位脊髓造影和维持卧位CT后肾脏造影剂积聚以改善瘘定位。

IF 2.1 4区 医学 Q3 Medicine
Interventional Neuroradiology Pub Date : 2025-08-01 Epub Date: 2023-05-21 DOI:10.1177/15910199231172627
Richard I Farb, Sean T O'Reilly, Everardus J Hendriks, Philip W Peng, Eric M Massicotte, Yasmine Hoydonckx, Patrick J Nicholson
{"title":"csf -静脉瘘引起的自发性颅内低血压:评估卧位脊髓造影和维持卧位CT后肾脏造影剂积聚以改善瘘定位。","authors":"Richard I Farb, Sean T O'Reilly, Everardus J Hendriks, Philip W Peng, Eric M Massicotte, Yasmine Hoydonckx, Patrick J Nicholson","doi":"10.1177/15910199231172627","DOIUrl":null,"url":null,"abstract":"<p><p>PurposePresented here is a strategy of sequential lateral decubitus digital subtraction myelography (LDDSM) followed closely by lateral decubitus CT (LDCT) to facilitate cerebrospinal fluid (CSF)-venous fistula (CVF) localization.Materials and MethodsThis is a retrospective analysis of patients referred to our institution for evaluation of CSF leak. Patients with Type 1 and Type 2 leaks, and those not displaying MR brain stigmata of intracranial hypotension were excluded. All patients underwent consecutive LDDSM and LDCT. If the CVF was not localized on the first LDDSM-LDCT pair the patient returned for contralateral examinations. Images were reviewed for CVF and for accumulation of contrast within the renal pelvises expressed as a renal pelvis contrast score (RPCS) in Hounsfield units (HU).ResultsTwenty-two patients were included in this study. In 21 of 22 patients (95%) a CVF was identified yielding an RPCS for the LDDSM-LDCT pair ipsilateral to the CVF ranging from 71 to 423 with an average of 146 HU. An RPCS of the negative side LDDSM-LDCT pair contralateral to a CVF was available in 8 patients and averaged 51 HU. In 4 patients the initial bilateral LDDSM-LDCT pairs did not reveal the location of the CVF however in 3 of these 4 cases the CVF was revealed on a third LDDSM repeated ipsilateral to the higher RPCS.ConclusionThe strategy of sequential LDDSM-LDCT coupled with evaluation of renal accumulation of contrast agent appears to improve the rate of CVF localization and warrants further evaluation.</p>","PeriodicalId":14380,"journal":{"name":"Interventional Neuroradiology","volume":" ","pages":"457-463"},"PeriodicalIF":2.1000,"publicationDate":"2025-08-01","publicationTypes":"Journal Article","fieldsOfStudy":null,"isOpenAccess":false,"openAccessPdf":"https://www.ncbi.nlm.nih.gov/pmc/articles/PMC12280252/pdf/","citationCount":"0","resultStr":"{\"title\":\"Spontaneous intracranial hypotension due to CSF-venous fistula: Evaluation of renal accumulation of contrast following decubitus myelography and maintained decubitus CT to improve fistula localization.\",\"authors\":\"Richard I Farb, Sean T O'Reilly, Everardus J Hendriks, Philip W Peng, Eric M Massicotte, Yasmine Hoydonckx, Patrick J Nicholson\",\"doi\":\"10.1177/15910199231172627\",\"DOIUrl\":null,\"url\":null,\"abstract\":\"<p><p>PurposePresented here is a strategy of sequential lateral decubitus digital subtraction myelography (LDDSM) followed closely by lateral decubitus CT (LDCT) to facilitate cerebrospinal fluid (CSF)-venous fistula (CVF) localization.Materials and MethodsThis is a retrospective analysis of patients referred to our institution for evaluation of CSF leak. Patients with Type 1 and Type 2 leaks, and those not displaying MR brain stigmata of intracranial hypotension were excluded. All patients underwent consecutive LDDSM and LDCT. If the CVF was not localized on the first LDDSM-LDCT pair the patient returned for contralateral examinations. Images were reviewed for CVF and for accumulation of contrast within the renal pelvises expressed as a renal pelvis contrast score (RPCS) in Hounsfield units (HU).ResultsTwenty-two patients were included in this study. In 21 of 22 patients (95%) a CVF was identified yielding an RPCS for the LDDSM-LDCT pair ipsilateral to the CVF ranging from 71 to 423 with an average of 146 HU. An RPCS of the negative side LDDSM-LDCT pair contralateral to a CVF was available in 8 patients and averaged 51 HU. In 4 patients the initial bilateral LDDSM-LDCT pairs did not reveal the location of the CVF however in 3 of these 4 cases the CVF was revealed on a third LDDSM repeated ipsilateral to the higher RPCS.ConclusionThe strategy of sequential LDDSM-LDCT coupled with evaluation of renal accumulation of contrast agent appears to improve the rate of CVF localization and warrants further evaluation.</p>\",\"PeriodicalId\":14380,\"journal\":{\"name\":\"Interventional Neuroradiology\",\"volume\":\" \",\"pages\":\"457-463\"},\"PeriodicalIF\":2.1000,\"publicationDate\":\"2025-08-01\",\"publicationTypes\":\"Journal Article\",\"fieldsOfStudy\":null,\"isOpenAccess\":false,\"openAccessPdf\":\"https://www.ncbi.nlm.nih.gov/pmc/articles/PMC12280252/pdf/\",\"citationCount\":\"0\",\"resultStr\":null,\"platform\":\"Semanticscholar\",\"paperid\":null,\"PeriodicalName\":\"Interventional Neuroradiology\",\"FirstCategoryId\":\"3\",\"ListUrlMain\":\"https://doi.org/10.1177/15910199231172627\",\"RegionNum\":4,\"RegionCategory\":\"医学\",\"ArticlePicture\":[],\"TitleCN\":null,\"AbstractTextCN\":null,\"PMCID\":null,\"EPubDate\":\"2023/5/21 0:00:00\",\"PubModel\":\"Epub\",\"JCR\":\"Q3\",\"JCRName\":\"Medicine\",\"Score\":null,\"Total\":0}","platform":"Semanticscholar","paperid":null,"PeriodicalName":"Interventional Neuroradiology","FirstCategoryId":"3","ListUrlMain":"https://doi.org/10.1177/15910199231172627","RegionNum":4,"RegionCategory":"医学","ArticlePicture":[],"TitleCN":null,"AbstractTextCN":null,"PMCID":null,"EPubDate":"2023/5/21 0:00:00","PubModel":"Epub","JCR":"Q3","JCRName":"Medicine","Score":null,"Total":0}
引用次数: 0

摘要

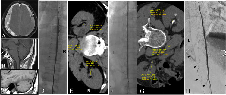
目的本文介绍了一种顺序侧卧数字减影脊髓造影(LDDSM)与侧卧CT (LDCT)密切配合的策略,以促进脑脊液(CSF)-静脉瘘(CVF)定位。材料与方法回顾性分析来我院评估脑脊液泄漏的患者。排除1型和2型渗漏患者,以及未出现颅内低血压的MR脑污点的患者。所有患者均连续行ldddsm和LDCT。如果CVF未定位在第一对ldsm - ldct上,则患者返回进行对侧检查。检查CVF和肾盂内造影剂积累的图像,以Hounsfield单位(HU)的肾盂造影剂评分(rpc)表示。结果本组共纳入22例患者。22例患者中有21例(95%)被确定为CVF,与CVF同侧的ldsm - ldct对的RPCS范围为71至423,平均为146 HU。8例患者在CVF对侧的LDDSM-LDCT对阴性侧的RPCS,平均为51 HU。在4例患者中,最初的双侧LDDSM- ldct对未显示CVF的位置,但在这4例中,有3例在第三个LDDSM上显示了CVF,重复到较高RPCS的同侧。结论序贯LDDSM-LDCT结合造影剂肾脏积聚评价策略可提高CVF的定位率,值得进一步评价。
本文章由计算机程序翻译,如有差异,请以英文原文为准。

Spontaneous intracranial hypotension due to CSF-venous fistula: Evaluation of renal accumulation of contrast following decubitus myelography and maintained decubitus CT to improve fistula localization.

Spontaneous intracranial hypotension due to CSF-venous fistula: Evaluation of renal accumulation of contrast following decubitus myelography and maintained decubitus CT to improve fistula localization.

Spontaneous intracranial hypotension due to CSF-venous fistula: Evaluation of renal accumulation of contrast following decubitus myelography and maintained decubitus CT to improve fistula localization.

Spontaneous intracranial hypotension due to CSF-venous fistula: Evaluation of renal accumulation of contrast following decubitus myelography and maintained decubitus CT to improve fistula localization.

PurposePresented here is a strategy of sequential lateral decubitus digital subtraction myelography (LDDSM) followed closely by lateral decubitus CT (LDCT) to facilitate cerebrospinal fluid (CSF)-venous fistula (CVF) localization.Materials and MethodsThis is a retrospective analysis of patients referred to our institution for evaluation of CSF leak. Patients with Type 1 and Type 2 leaks, and those not displaying MR brain stigmata of intracranial hypotension were excluded. All patients underwent consecutive LDDSM and LDCT. If the CVF was not localized on the first LDDSM-LDCT pair the patient returned for contralateral examinations. Images were reviewed for CVF and for accumulation of contrast within the renal pelvises expressed as a renal pelvis contrast score (RPCS) in Hounsfield units (HU).ResultsTwenty-two patients were included in this study. In 21 of 22 patients (95%) a CVF was identified yielding an RPCS for the LDDSM-LDCT pair ipsilateral to the CVF ranging from 71 to 423 with an average of 146 HU. An RPCS of the negative side LDDSM-LDCT pair contralateral to a CVF was available in 8 patients and averaged 51 HU. In 4 patients the initial bilateral LDDSM-LDCT pairs did not reveal the location of the CVF however in 3 of these 4 cases the CVF was revealed on a third LDDSM repeated ipsilateral to the higher RPCS.ConclusionThe strategy of sequential LDDSM-LDCT coupled with evaluation of renal accumulation of contrast agent appears to improve the rate of CVF localization and warrants further evaluation.

求助全文
通过发布文献求助,成功后即可免费获取论文全文。 去求助
来源期刊
CiteScore
2.80
自引率
11.80%
发文量
192
审稿时长
6-12 weeks
期刊介绍: Interventional Neuroradiology (INR) is a peer-reviewed clinical practice journal documenting the current state of interventional neuroradiology worldwide. INR publishes original clinical observations, descriptions of new techniques or procedures, case reports, and articles on the ethical and social aspects of related health care. Original research published in INR is related to the practice of interventional neuroradiology...
×
引用
GB/T 7714-2015
复制
MLA
复制
APA
复制
导出至
BibTeX EndNote RefMan NoteFirst NoteExpress
×
提示
您的信息不完整,为了账户安全,请先补充。
现在去补充
×
提示
您因"违规操作"
具体请查看互助需知
我知道了
×
提示
确定
请完成安全验证×
copy
已复制链接
快去分享给好友吧!
我知道了
右上角分享
点击右上角分享
0
联系我们:info@booksci.cn Book学术提供免费学术资源搜索服务,方便国内外学者检索中英文文献。致力于提供最便捷和优质的服务体验。 Copyright © 2023 布克学术 All rights reserved.
京ICP备2023020795号-1
ghs 京公网安备 11010802042870号
Book学术文献互助
Book学术文献互助群
群 号:604180095
Book学术官方微信