利用 3T 测量和计算的超高 b 值弥散加权磁共振成像评估胆道恶性肿瘤。

IF 3.2 3区 医学 Q2 RADIOLOGY, NUCLEAR MEDICINE & MEDICAL IMAGING
Magnetic Resonance in Medical Sciences Pub Date : 2024-10-01 Epub Date: 2023-05-13 DOI:10.2463/mrms.mp.2022-0144
Minkyeong Kim, Tae Young Lee, Byeong Seong Kang, Woon Jung Kwon, Soyeoun Lim, Gyeong Min Park, Minseo Bang
{"title":"利用 3T 测量和计算的超高 b 值弥散加权磁共振成像评估胆道恶性肿瘤。","authors":"Minkyeong Kim, Tae Young Lee, Byeong Seong Kang, Woon Jung Kwon, Soyeoun Lim, Gyeong Min Park, Minseo Bang","doi":"10.2463/mrms.mp.2022-0144","DOIUrl":null,"url":null,"abstract":"<p><strong>Purpose: </strong>Although diffusion-weighted imaging (DWI) with ultra-high b-values is reported to be advantageous in the detection of some tumors, its applicability is not yet known in biliary malignancy. Therefore, this study aimed to evaluate the impact of measured b = 1400 s/mm<sup>2</sup> (M1400) and calculated b = 1400 s/mm<sup>2</sup> (C1400) DWI on image quality and quality of lesion discernibility using a modern 3T MR system compared to conventional b = 800 s/mm<sup>2</sup> DWI (M800).</p><p><strong>Methods: </strong>We evaluated 56 patients who had pathologically proven biliary malignancy. All the patients underwent preoperative or baseline 3T MRI using DWI (b = 50, 400, 800, and 1400 s/mm<sup>2</sup>). The calculated DWI was obtained using a conventional DWI set (b = 50, 400, and 800). The tumor-to-bile contrast ratio (CR) and tumor SNR were compared between the different DWI images. Likert scores were given on a 5-point scale to assess the overall image quality, overall artifacts, ghost artifacts, misregistration artifacts, margin sharpness, and lesion discernibility. Repeated-measures analysis of variance with post hoc analyses was used for statistical evaluations.</p><p><strong>Results: </strong>The CR of the tumor-to-bile was significantly higher in both M1400 and C1400 than in M800 (P<sup>a</sup> < 0.01). SNRs were significantly higher in M800, followed by C1400 and M1400 (P<sup>a</sup> < 0.01). Lesion discernibility was significantly improved for M1400, followed by C1400 and M800 for both readers (P<sup>a</sup> < 0.01).</p><p><strong>Conclusion: </strong>Using a 3T MRI, both measured and calculated DWI with an ultra-high b-value offer superior lesion discernibility for biliary malignancy compared to the conventional DWI.</p>","PeriodicalId":18119,"journal":{"name":"Magnetic Resonance in Medical Sciences","volume":" ","pages":"428-437"},"PeriodicalIF":3.2000,"publicationDate":"2024-10-01","publicationTypes":"Journal Article","fieldsOfStudy":null,"isOpenAccess":false,"openAccessPdf":"https://www.ncbi.nlm.nih.gov/pmc/articles/PMC11447472/pdf/","citationCount":"0","resultStr":"{\"title\":\"Evaluating Biliary Malignancy with Measured and Calculated Ultra-high b-value Diffusion-weighted MR Imaging at 3T.\",\"authors\":\"Minkyeong Kim, Tae Young Lee, Byeong Seong Kang, Woon Jung Kwon, Soyeoun Lim, Gyeong Min Park, Minseo Bang\",\"doi\":\"10.2463/mrms.mp.2022-0144\",\"DOIUrl\":null,\"url\":null,\"abstract\":\"<p><strong>Purpose: </strong>Although diffusion-weighted imaging (DWI) with ultra-high b-values is reported to be advantageous in the detection of some tumors, its applicability is not yet known in biliary malignancy. Therefore, this study aimed to evaluate the impact of measured b = 1400 s/mm<sup>2</sup> (M1400) and calculated b = 1400 s/mm<sup>2</sup> (C1400) DWI on image quality and quality of lesion discernibility using a modern 3T MR system compared to conventional b = 800 s/mm<sup>2</sup> DWI (M800).</p><p><strong>Methods: </strong>We evaluated 56 patients who had pathologically proven biliary malignancy. All the patients underwent preoperative or baseline 3T MRI using DWI (b = 50, 400, 800, and 1400 s/mm<sup>2</sup>). The calculated DWI was obtained using a conventional DWI set (b = 50, 400, and 800). The tumor-to-bile contrast ratio (CR) and tumor SNR were compared between the different DWI images. Likert scores were given on a 5-point scale to assess the overall image quality, overall artifacts, ghost artifacts, misregistration artifacts, margin sharpness, and lesion discernibility. Repeated-measures analysis of variance with post hoc analyses was used for statistical evaluations.</p><p><strong>Results: </strong>The CR of the tumor-to-bile was significantly higher in both M1400 and C1400 than in M800 (P<sup>a</sup> < 0.01). SNRs were significantly higher in M800, followed by C1400 and M1400 (P<sup>a</sup> < 0.01). Lesion discernibility was significantly improved for M1400, followed by C1400 and M800 for both readers (P<sup>a</sup> < 0.01).</p><p><strong>Conclusion: </strong>Using a 3T MRI, both measured and calculated DWI with an ultra-high b-value offer superior lesion discernibility for biliary malignancy compared to the conventional DWI.</p>\",\"PeriodicalId\":18119,\"journal\":{\"name\":\"Magnetic Resonance in Medical Sciences\",\"volume\":\" \",\"pages\":\"428-437\"},\"PeriodicalIF\":3.2000,\"publicationDate\":\"2024-10-01\",\"publicationTypes\":\"Journal Article\",\"fieldsOfStudy\":null,\"isOpenAccess\":false,\"openAccessPdf\":\"https://www.ncbi.nlm.nih.gov/pmc/articles/PMC11447472/pdf/\",\"citationCount\":\"0\",\"resultStr\":null,\"platform\":\"Semanticscholar\",\"paperid\":null,\"PeriodicalName\":\"Magnetic Resonance in Medical Sciences\",\"FirstCategoryId\":\"3\",\"ListUrlMain\":\"https://doi.org/10.2463/mrms.mp.2022-0144\",\"RegionNum\":3,\"RegionCategory\":\"医学\",\"ArticlePicture\":[],\"TitleCN\":null,\"AbstractTextCN\":null,\"PMCID\":null,\"EPubDate\":\"2023/5/13 0:00:00\",\"PubModel\":\"Epub\",\"JCR\":\"Q2\",\"JCRName\":\"RADIOLOGY, NUCLEAR MEDICINE & MEDICAL IMAGING\",\"Score\":null,\"Total\":0}","platform":"Semanticscholar","paperid":null,"PeriodicalName":"Magnetic Resonance in Medical Sciences","FirstCategoryId":"3","ListUrlMain":"https://doi.org/10.2463/mrms.mp.2022-0144","RegionNum":3,"RegionCategory":"医学","ArticlePicture":[],"TitleCN":null,"AbstractTextCN":null,"PMCID":null,"EPubDate":"2023/5/13 0:00:00","PubModel":"Epub","JCR":"Q2","JCRName":"RADIOLOGY, NUCLEAR MEDICINE & MEDICAL IMAGING","Score":null,"Total":0}
引用次数: 0

摘要

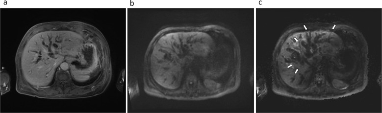
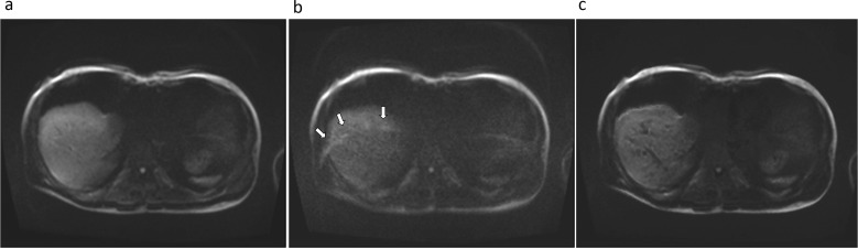
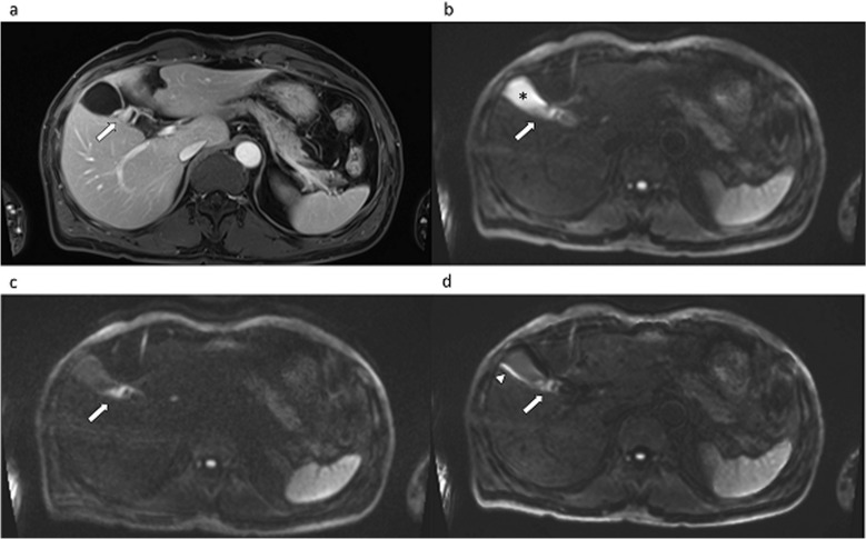
目的:尽管有报道称超高b值的弥散加权成像(DWI)在某些肿瘤的检测中具有优势,但其在胆道恶性肿瘤中的适用性尚不清楚。因此,本研究旨在评估使用现代 3T 磁共振系统测量的 b = 1400 s/mm2 (M1400) 和计算的 b = 1400 s/mm2 (C1400) DWI 与传统的 b = 800 s/mm2 DWI (M800) 相比对图像质量和病变可辨认性质量的影响:我们对 56 例经病理证实的胆道恶性肿瘤患者进行了评估。所有患者都接受了术前或基线 3T MRI DWI(b = 50、400、800 和 1400 s/mm2)检查。计算出的 DWI 是使用传统 DWI 集(b = 50、400 和 800)获得的。比较了不同 DWI 图像之间的肿瘤与胆汁对比度 (CR) 和肿瘤 SNR。对整体图像质量、整体伪影、重影伪影、错误定位伪影、边缘锐利度和病变可辨识性进行5级李克特评分。统计评估采用重复测量方差分析和事后分析:M1400和C1400的肿瘤到胆汁的CR明显高于M800(Pa < 0.01)。M800的信噪比明显更高,其次是C1400和M1400(Pa < 0.01)。M1400的病变可辨认性明显提高,C1400和M800次之(Pa < 0.01):结论:与传统的 DWI 相比,使用 3T MRI 测量和计算的超高 b 值 DWI 对胆道恶性肿瘤的病变辨别能力更强。
本文章由计算机程序翻译,如有差异,请以英文原文为准。

Evaluating Biliary Malignancy with Measured and Calculated Ultra-high b-value Diffusion-weighted MR Imaging at 3T.

Evaluating Biliary Malignancy with Measured and Calculated Ultra-high b-value Diffusion-weighted MR Imaging at 3T.

Evaluating Biliary Malignancy with Measured and Calculated Ultra-high b-value Diffusion-weighted MR Imaging at 3T.

Evaluating Biliary Malignancy with Measured and Calculated Ultra-high b-value Diffusion-weighted MR Imaging at 3T.

Purpose: Although diffusion-weighted imaging (DWI) with ultra-high b-values is reported to be advantageous in the detection of some tumors, its applicability is not yet known in biliary malignancy. Therefore, this study aimed to evaluate the impact of measured b = 1400 s/mm2 (M1400) and calculated b = 1400 s/mm2 (C1400) DWI on image quality and quality of lesion discernibility using a modern 3T MR system compared to conventional b = 800 s/mm2 DWI (M800).

Methods: We evaluated 56 patients who had pathologically proven biliary malignancy. All the patients underwent preoperative or baseline 3T MRI using DWI (b = 50, 400, 800, and 1400 s/mm2). The calculated DWI was obtained using a conventional DWI set (b = 50, 400, and 800). The tumor-to-bile contrast ratio (CR) and tumor SNR were compared between the different DWI images. Likert scores were given on a 5-point scale to assess the overall image quality, overall artifacts, ghost artifacts, misregistration artifacts, margin sharpness, and lesion discernibility. Repeated-measures analysis of variance with post hoc analyses was used for statistical evaluations.

Results: The CR of the tumor-to-bile was significantly higher in both M1400 and C1400 than in M800 (Pa < 0.01). SNRs were significantly higher in M800, followed by C1400 and M1400 (Pa < 0.01). Lesion discernibility was significantly improved for M1400, followed by C1400 and M800 for both readers (Pa < 0.01).

Conclusion: Using a 3T MRI, both measured and calculated DWI with an ultra-high b-value offer superior lesion discernibility for biliary malignancy compared to the conventional DWI.

求助全文
通过发布文献求助,成功后即可免费获取论文全文。 去求助
来源期刊
Magnetic Resonance in Medical Sciences
Magnetic Resonance in Medical Sciences RADIOLOGY, NUCLEAR MEDICINE & MEDICAL IMAGING-
CiteScore
5.80
自引率
20.00%
发文量
71
审稿时长
>12 weeks
期刊介绍: Magnetic Resonance in Medical Sciences (MRMS or Magn Reson Med Sci) is an international journal pursuing the publication of original articles contributing to the progress of magnetic resonance in the field of biomedical sciences including technical developments and clinical applications. MRMS is an official journal of the Japanese Society for Magnetic Resonance in Medicine (JSMRM).
×
引用
GB/T 7714-2015
复制
MLA
复制
APA
复制
导出至
BibTeX EndNote RefMan NoteFirst NoteExpress
×
提示
您的信息不完整,为了账户安全,请先补充。
现在去补充
×
提示
您因"违规操作"
具体请查看互助需知
我知道了
×
提示
确定
请完成安全验证×
copy
已复制链接
快去分享给好友吧!
我知道了
右上角分享
点击右上角分享
0
联系我们:info@booksci.cn Book学术提供免费学术资源搜索服务,方便国内外学者检索中英文文献。致力于提供最便捷和优质的服务体验。 Copyright © 2023 布克学术 All rights reserved.
京ICP备2023020795号-1
ghs 京公网安备 11010802042870号
Book学术文献互助
Book学术文献互助群
群 号:604180095
Book学术官方微信