补充假马齿苋对健康老年人血清脑源性神经营养因子水平无影响,但有利于调节核因子κ B和环AMP反应元件结合蛋白水平。

Andrew P Keegan, Con Stough, Daniel Paris, Cheryl A Luis, Laila Abdullah, Ghania Ait-Ghezala, Fiona Crawford, Michael Mullan
{"title":"补充假马齿苋对健康老年人血清脑源性神经营养因子水平无影响,但有利于调节核因子κ B和环AMP反应元件结合蛋白水平。","authors":"Andrew P Keegan,&nbsp;Con Stough,&nbsp;Daniel Paris,&nbsp;Cheryl A Luis,&nbsp;Laila Abdullah,&nbsp;Ghania Ait-Ghezala,&nbsp;Fiona Crawford,&nbsp;Michael Mullan","doi":"","DOIUrl":null,"url":null,"abstract":"<p><strong>Background and aim: </strong><i>Bacopa monnieri</i> is an Ayurvedic herb that has been used for multiple conditions, most notably to augment cognition, particularly memory and attention. Multiple mechanisms, including raising brain-derived neurotrophic factor (BDNF), have been proposed and investigated in animal models that require translational studies in humans.</p><p><strong>Methods: </strong>Bacopa was administered in an open-labeled study to cognitively healthy controls over a 3-month period. Cognition and mood were assessed using the Montreal Cognitive Assessment (MoCA) and geriatric depression scale (GDS) at the baseline and 3-month visit. Laboratories were assessed for safety and serum levels of mature (mBDNF) and proBDNF were quantified. In a subset of subjects, intracellular signaling processes were assessed using western blot analysis.</p><p><strong>Results: </strong>Bacopa was provided to 35 subjects and was well-tolerated except for 4 (11%) subjects who early terminated due to known, reversible, and gastrointestinal side effects (i.e., nausea, diarrhea). Over the 3 months, the GDS and the total MoCA did not significantly change; however, the delayed-recall subscale significantly improved (baseline: 3.8 ± 1.2, 3-months: 4.3 ± 0.9; <i>P</i> = 0.032). Serum mBDNF and proBDNF levels did not significantly change. Cyclic AMP response element-binding protein (CREB) phosphorylation significantly increased (<i>P</i> = 0.028) and p65 nuclear factor kappa B (NF-κB) phosphorylation significantly decreased (<i>P</i> = 0.030).</p><p><strong>Conclusion: </strong>These results suggest that Bacopa may exert an anti-inflammatory effect through NF-κB and improve intracellular signaling processes associated with synaptogenesis (CREB). The future placebo-controlled studies are recommended.</p><p><strong>Relevance for patients: </strong><i>B. monnieri</i> will require larger, blinded trials to better understand potential mechanisms, interactions, and utilization.</p>","PeriodicalId":15482,"journal":{"name":"Journal of Clinical and Translational Research","volume":"9 1","pages":"50-58"},"PeriodicalIF":0.0000,"publicationDate":"2023-02-25","publicationTypes":"Journal Article","fieldsOfStudy":null,"isOpenAccess":false,"openAccessPdf":"https://ftp.ncbi.nlm.nih.gov/pub/pmc/oa_pdf/d8/7d/jclintranslres-2023-9-1-50.PMC10075090.pdf","citationCount":"0","resultStr":"{\"title\":\"<i>Bacopa monnieri</i> supplementation has no effect on serum brain-derived neurotrophic factor levels but beneficially modulates nuclear factor kappa B and cyclic AMP response element-binding protein levels in healthy elderly subjects.\",\"authors\":\"Andrew P Keegan,&nbsp;Con Stough,&nbsp;Daniel Paris,&nbsp;Cheryl A Luis,&nbsp;Laila Abdullah,&nbsp;Ghania Ait-Ghezala,&nbsp;Fiona Crawford,&nbsp;Michael Mullan\",\"doi\":\"\",\"DOIUrl\":null,\"url\":null,\"abstract\":\"<p><strong>Background and aim: </strong><i>Bacopa monnieri</i> is an Ayurvedic herb that has been used for multiple conditions, most notably to augment cognition, particularly memory and attention. Multiple mechanisms, including raising brain-derived neurotrophic factor (BDNF), have been proposed and investigated in animal models that require translational studies in humans.</p><p><strong>Methods: </strong>Bacopa was administered in an open-labeled study to cognitively healthy controls over a 3-month period. Cognition and mood were assessed using the Montreal Cognitive Assessment (MoCA) and geriatric depression scale (GDS) at the baseline and 3-month visit. Laboratories were assessed for safety and serum levels of mature (mBDNF) and proBDNF were quantified. In a subset of subjects, intracellular signaling processes were assessed using western blot analysis.</p><p><strong>Results: </strong>Bacopa was provided to 35 subjects and was well-tolerated except for 4 (11%) subjects who early terminated due to known, reversible, and gastrointestinal side effects (i.e., nausea, diarrhea). Over the 3 months, the GDS and the total MoCA did not significantly change; however, the delayed-recall subscale significantly improved (baseline: 3.8 ± 1.2, 3-months: 4.3 ± 0.9; <i>P</i> = 0.032). Serum mBDNF and proBDNF levels did not significantly change. Cyclic AMP response element-binding protein (CREB) phosphorylation significantly increased (<i>P</i> = 0.028) and p65 nuclear factor kappa B (NF-κB) phosphorylation significantly decreased (<i>P</i> = 0.030).</p><p><strong>Conclusion: </strong>These results suggest that Bacopa may exert an anti-inflammatory effect through NF-κB and improve intracellular signaling processes associated with synaptogenesis (CREB). The future placebo-controlled studies are recommended.</p><p><strong>Relevance for patients: </strong><i>B. monnieri</i> will require larger, blinded trials to better understand potential mechanisms, interactions, and utilization.</p>\",\"PeriodicalId\":15482,\"journal\":{\"name\":\"Journal of Clinical and Translational Research\",\"volume\":\"9 1\",\"pages\":\"50-58\"},\"PeriodicalIF\":0.0000,\"publicationDate\":\"2023-02-25\",\"publicationTypes\":\"Journal Article\",\"fieldsOfStudy\":null,\"isOpenAccess\":false,\"openAccessPdf\":\"https://ftp.ncbi.nlm.nih.gov/pub/pmc/oa_pdf/d8/7d/jclintranslres-2023-9-1-50.PMC10075090.pdf\",\"citationCount\":\"0\",\"resultStr\":null,\"platform\":\"Semanticscholar\",\"paperid\":null,\"PeriodicalName\":\"Journal of Clinical and Translational Research\",\"FirstCategoryId\":\"1085\",\"ListUrlMain\":\"\",\"RegionNum\":0,\"RegionCategory\":null,\"ArticlePicture\":[],\"TitleCN\":null,\"AbstractTextCN\":null,\"PMCID\":null,\"EPubDate\":\"\",\"PubModel\":\"\",\"JCR\":\"\",\"JCRName\":\"\",\"Score\":null,\"Total\":0}","platform":"Semanticscholar","paperid":null,"PeriodicalName":"Journal of Clinical and Translational Research","FirstCategoryId":"1085","ListUrlMain":"","RegionNum":0,"RegionCategory":null,"ArticlePicture":[],"TitleCN":null,"AbstractTextCN":null,"PMCID":null,"EPubDate":"","PubModel":"","JCR":"","JCRName":"","Score":null,"Total":0}
引用次数: 0

摘要

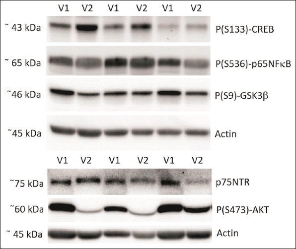
背景和目的:假马齿苋是一种阿育吠陀草药,用于多种情况,最显著的是增强认知,特别是记忆和注意力。多种机制,包括提高脑源性神经营养因子(BDNF),已经提出并在动物模型中进行了研究,需要在人类中进行转化研究。方法:在一项开放标签研究中,对认知健康对照者进行为期3个月的假马齿苋治疗。在基线和3个月的随访中,采用蒙特利尔认知评估(MoCA)和老年抑郁量表(GDS)评估认知和情绪。对实验室进行安全性评估,并对血清成熟(mBDNF)和proBDNF水平进行量化。在一部分受试者中,使用western blot分析评估细胞内信号传导过程。结果:为35名受试者提供假马齿苋,除4名(11%)受试者因已知的、可逆的和胃肠道副作用(即恶心、腹泻)而早期终止外,其余受试者耐受性良好。3个月内,GDS和总MoCA无显著变化;然而,延迟回忆分量表显著改善(基线:3.8±1.2,3个月:4.3±0.9;P = 0.032)。血清mBDNF和proBDNF水平无明显变化。环AMP反应元件结合蛋白(CREB)磷酸化水平显著升高(P = 0.028), p65核因子κB (NF-κB)磷酸化水平显著降低(P = 0.030)。结论:马齿苋可能通过NF-κB发挥抗炎作用,改善细胞内突触发生(CREB)相关信号通路。建议将来进行安慰剂对照研究。与患者的相关性:蒙氏杆菌需要更大规模的盲法试验,以更好地了解潜在的机制、相互作用和利用。
本文章由计算机程序翻译,如有差异,请以英文原文为准。

<i>Bacopa monnieri</i> supplementation has no effect on serum brain-derived neurotrophic factor levels but beneficially modulates nuclear factor kappa B and cyclic AMP response element-binding protein levels in healthy elderly subjects.

<i>Bacopa monnieri</i> supplementation has no effect on serum brain-derived neurotrophic factor levels but beneficially modulates nuclear factor kappa B and cyclic AMP response element-binding protein levels in healthy elderly subjects.

Bacopa monnieri supplementation has no effect on serum brain-derived neurotrophic factor levels but beneficially modulates nuclear factor kappa B and cyclic AMP response element-binding protein levels in healthy elderly subjects.

Background and aim: Bacopa monnieri is an Ayurvedic herb that has been used for multiple conditions, most notably to augment cognition, particularly memory and attention. Multiple mechanisms, including raising brain-derived neurotrophic factor (BDNF), have been proposed and investigated in animal models that require translational studies in humans.

Methods: Bacopa was administered in an open-labeled study to cognitively healthy controls over a 3-month period. Cognition and mood were assessed using the Montreal Cognitive Assessment (MoCA) and geriatric depression scale (GDS) at the baseline and 3-month visit. Laboratories were assessed for safety and serum levels of mature (mBDNF) and proBDNF were quantified. In a subset of subjects, intracellular signaling processes were assessed using western blot analysis.

Results: Bacopa was provided to 35 subjects and was well-tolerated except for 4 (11%) subjects who early terminated due to known, reversible, and gastrointestinal side effects (i.e., nausea, diarrhea). Over the 3 months, the GDS and the total MoCA did not significantly change; however, the delayed-recall subscale significantly improved (baseline: 3.8 ± 1.2, 3-months: 4.3 ± 0.9; P = 0.032). Serum mBDNF and proBDNF levels did not significantly change. Cyclic AMP response element-binding protein (CREB) phosphorylation significantly increased (P = 0.028) and p65 nuclear factor kappa B (NF-κB) phosphorylation significantly decreased (P = 0.030).

Conclusion: These results suggest that Bacopa may exert an anti-inflammatory effect through NF-κB and improve intracellular signaling processes associated with synaptogenesis (CREB). The future placebo-controlled studies are recommended.

Relevance for patients: B. monnieri will require larger, blinded trials to better understand potential mechanisms, interactions, and utilization.

求助全文
通过发布文献求助,成功后即可免费获取论文全文。 去求助
来源期刊
自引率
0.00%
发文量
0
×
引用
GB/T 7714-2015
复制
MLA
复制
APA
复制
导出至
BibTeX EndNote RefMan NoteFirst NoteExpress
×
提示
您的信息不完整,为了账户安全,请先补充。
现在去补充
×
提示
您因"违规操作"
具体请查看互助需知
我知道了
×
提示
确定
请完成安全验证×
copy
已复制链接
快去分享给好友吧!
我知道了
右上角分享
点击右上角分享
0
联系我们:info@booksci.cn Book学术提供免费学术资源搜索服务,方便国内外学者检索中英文文献。致力于提供最便捷和优质的服务体验。 Copyright © 2023 布克学术 All rights reserved.
京ICP备2023020795号-1
ghs 京公网安备 11010802042870号
Book学术文献互助
Book学术文献互助群
群 号:604180095
Book学术官方微信