先前眼内注射的硅油模仿颅内出血移入脑室内和蛛网膜下腔:病例报告。

IF 1.9 4区 医学 Q2 MEDICINE, GENERAL & INTERNAL
Singapore medical journal Pub Date : 2025-07-01 Epub Date: 2023-01-30 DOI:10.4103/singaporemedj.SMJ-2021-107
Tai Long Evan Tan, Yan Rong Yong, Jia Ren Perry Liew
{"title":"先前眼内注射的硅油模仿颅内出血移入脑室内和蛛网膜下腔:病例报告。","authors":"Tai Long Evan Tan, Yan Rong Yong, Jia Ren Perry Liew","doi":"10.4103/singaporemedj.SMJ-2021-107","DOIUrl":null,"url":null,"abstract":"","PeriodicalId":21752,"journal":{"name":"Singapore medical journal","volume":" ","pages":"407-409"},"PeriodicalIF":1.9000,"publicationDate":"2025-07-01","publicationTypes":"Journal Article","fieldsOfStudy":null,"isOpenAccess":false,"openAccessPdf":"https://www.ncbi.nlm.nih.gov/pmc/articles/PMC12364394/pdf/","citationCount":"0","resultStr":"{\"title\":\"Intraventricular and subarachnoid migration of silicone oil from previous intraocular injection mimicking intracranial haemorrhage: a case report.\",\"authors\":\"Tai Long Evan Tan, Yan Rong Yong, Jia Ren Perry Liew\",\"doi\":\"10.4103/singaporemedj.SMJ-2021-107\",\"DOIUrl\":null,\"url\":null,\"abstract\":\"\",\"PeriodicalId\":21752,\"journal\":{\"name\":\"Singapore medical journal\",\"volume\":\" \",\"pages\":\"407-409\"},\"PeriodicalIF\":1.9000,\"publicationDate\":\"2025-07-01\",\"publicationTypes\":\"Journal Article\",\"fieldsOfStudy\":null,\"isOpenAccess\":false,\"openAccessPdf\":\"https://www.ncbi.nlm.nih.gov/pmc/articles/PMC12364394/pdf/\",\"citationCount\":\"0\",\"resultStr\":null,\"platform\":\"Semanticscholar\",\"paperid\":null,\"PeriodicalName\":\"Singapore medical journal\",\"FirstCategoryId\":\"3\",\"ListUrlMain\":\"https://doi.org/10.4103/singaporemedj.SMJ-2021-107\",\"RegionNum\":4,\"RegionCategory\":\"医学\",\"ArticlePicture\":[],\"TitleCN\":null,\"AbstractTextCN\":null,\"PMCID\":null,\"EPubDate\":\"2023/1/30 0:00:00\",\"PubModel\":\"Epub\",\"JCR\":\"Q2\",\"JCRName\":\"MEDICINE, GENERAL & INTERNAL\",\"Score\":null,\"Total\":0}","platform":"Semanticscholar","paperid":null,"PeriodicalName":"Singapore medical journal","FirstCategoryId":"3","ListUrlMain":"https://doi.org/10.4103/singaporemedj.SMJ-2021-107","RegionNum":4,"RegionCategory":"医学","ArticlePicture":[],"TitleCN":null,"AbstractTextCN":null,"PMCID":null,"EPubDate":"2023/1/30 0:00:00","PubModel":"Epub","JCR":"Q2","JCRName":"MEDICINE, GENERAL & INTERNAL","Score":null,"Total":0}
引用次数: 0

摘要

本文章由计算机程序翻译,如有差异,请以英文原文为准。

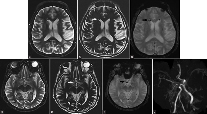
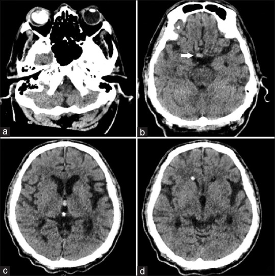
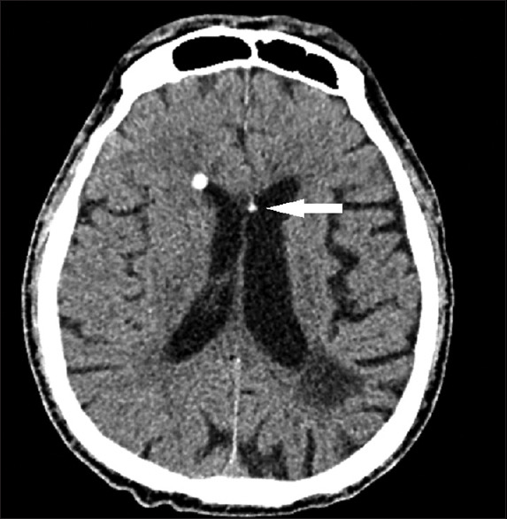
Intraventricular and subarachnoid migration of silicone oil from previous intraocular injection mimicking intracranial haemorrhage: a case report.

Intraventricular and subarachnoid migration of silicone oil from previous intraocular injection mimicking intracranial haemorrhage: a case report.

Intraventricular and subarachnoid migration of silicone oil from previous intraocular injection mimicking intracranial haemorrhage: a case report.

Intraventricular and subarachnoid migration of silicone oil from previous intraocular injection mimicking intracranial haemorrhage: a case report.
求助全文
通过发布文献求助,成功后即可免费获取论文全文。 去求助
来源期刊
Singapore medical journal
Singapore medical journal MEDICINE, GENERAL & INTERNAL-
CiteScore
3.40
自引率
3.70%
发文量
149
审稿时长
3-6 weeks
期刊介绍: The Singapore Medical Journal (SMJ) is the monthly publication of Singapore Medical Association (SMA). The Journal aims to advance medical practice and clinical research by publishing high-quality articles that add to the clinical knowledge of physicians in Singapore and worldwide. SMJ is a general medical journal that focuses on all aspects of human health. The Journal publishes commissioned reviews, commentaries and editorials, original research, a small number of outstanding case reports, continuing medical education articles (ECG Series, Clinics in Diagnostic Imaging, Pictorial Essays, Practice Integration & Life-long Learning [PILL] Series), and short communications in the form of letters to the editor.
×
引用
GB/T 7714-2015
复制
MLA
复制
APA
复制
导出至
BibTeX EndNote RefMan NoteFirst NoteExpress
×
提示
您的信息不完整,为了账户安全,请先补充。
现在去补充
×
提示
您因"违规操作"
具体请查看互助需知
我知道了
×
提示
确定
请完成安全验证×
copy
已复制链接
快去分享给好友吧!
我知道了
右上角分享
点击右上角分享
0
联系我们:info@booksci.cn Book学术提供免费学术资源搜索服务,方便国内外学者检索中英文文献。致力于提供最便捷和优质的服务体验。 Copyright © 2023 布克学术 All rights reserved.
京ICP备2023020795号-1
ghs 京公网安备 11010802042870号
Book学术文献互助
Book学术文献互助群
群 号:604180095
Book学术官方微信