同步胰腺和阴囊结核:双重危险。

IF 1.2 4区 医学 Q3 MEDICINE, GENERAL & INTERNAL
S T Patel, Q Q Contractor, C S Nayak, P M Rathi
{"title":"同步胰腺和阴囊结核:双重危险。","authors":"S T Patel, Q Q Contractor, C S Nayak, P M Rathi","doi":"10.4103/jpgm.jpgm_558_22","DOIUrl":null,"url":null,"abstract":"<p><p>We describe a patient who presented with scrotal swelling followed by non-healing and discharging scrotal sinuses, following local trauma and was initially suspected to have an infected scrotal hematoma. An evaluation revealed it to be scrotal tuberculosis. He also complained of upper abdominal pain and on transabdominal ultrasonography was detected to have a mass in the head of the pancreas. Evaluation of the pancreatic mass revealed it to be pancreatic tuberculosis. Both lesions responded well to anti-tubercular therapy. This is an unusual case of two rare sites of extrapulmonary tuberculosis presenting simultaneously in the same individual. Care needs to be exercised while evaluating any non-healing ulcers or sinuses and mass lesions in countries endemic for tuberculosis as this disease can be a great masquerader.</p>","PeriodicalId":16860,"journal":{"name":"Journal of Postgraduate Medicine","volume":" ","pages":"231-233"},"PeriodicalIF":1.2000,"publicationDate":"2023-10-01","publicationTypes":"Journal Article","fieldsOfStudy":null,"isOpenAccess":false,"openAccessPdf":"https://www.ncbi.nlm.nih.gov/pmc/articles/PMC10846806/pdf/","citationCount":"0","resultStr":"{\"title\":\"Synchronous pancreatic and scrotal tuberculosis: Double jeopardy.\",\"authors\":\"S T Patel, Q Q Contractor, C S Nayak, P M Rathi\",\"doi\":\"10.4103/jpgm.jpgm_558_22\",\"DOIUrl\":null,\"url\":null,\"abstract\":\"<p><p>We describe a patient who presented with scrotal swelling followed by non-healing and discharging scrotal sinuses, following local trauma and was initially suspected to have an infected scrotal hematoma. An evaluation revealed it to be scrotal tuberculosis. He also complained of upper abdominal pain and on transabdominal ultrasonography was detected to have a mass in the head of the pancreas. Evaluation of the pancreatic mass revealed it to be pancreatic tuberculosis. Both lesions responded well to anti-tubercular therapy. This is an unusual case of two rare sites of extrapulmonary tuberculosis presenting simultaneously in the same individual. Care needs to be exercised while evaluating any non-healing ulcers or sinuses and mass lesions in countries endemic for tuberculosis as this disease can be a great masquerader.</p>\",\"PeriodicalId\":16860,\"journal\":{\"name\":\"Journal of Postgraduate Medicine\",\"volume\":\" \",\"pages\":\"231-233\"},\"PeriodicalIF\":1.2000,\"publicationDate\":\"2023-10-01\",\"publicationTypes\":\"Journal Article\",\"fieldsOfStudy\":null,\"isOpenAccess\":false,\"openAccessPdf\":\"https://www.ncbi.nlm.nih.gov/pmc/articles/PMC10846806/pdf/\",\"citationCount\":\"0\",\"resultStr\":null,\"platform\":\"Semanticscholar\",\"paperid\":null,\"PeriodicalName\":\"Journal of Postgraduate Medicine\",\"FirstCategoryId\":\"3\",\"ListUrlMain\":\"https://doi.org/10.4103/jpgm.jpgm_558_22\",\"RegionNum\":4,\"RegionCategory\":\"医学\",\"ArticlePicture\":[],\"TitleCN\":null,\"AbstractTextCN\":null,\"PMCID\":null,\"EPubDate\":\"\",\"PubModel\":\"\",\"JCR\":\"Q3\",\"JCRName\":\"MEDICINE, GENERAL & INTERNAL\",\"Score\":null,\"Total\":0}","platform":"Semanticscholar","paperid":null,"PeriodicalName":"Journal of Postgraduate Medicine","FirstCategoryId":"3","ListUrlMain":"https://doi.org/10.4103/jpgm.jpgm_558_22","RegionNum":4,"RegionCategory":"医学","ArticlePicture":[],"TitleCN":null,"AbstractTextCN":null,"PMCID":null,"EPubDate":"","PubModel":"","JCR":"Q3","JCRName":"MEDICINE, GENERAL & INTERNAL","Score":null,"Total":0}
引用次数: 0

摘要

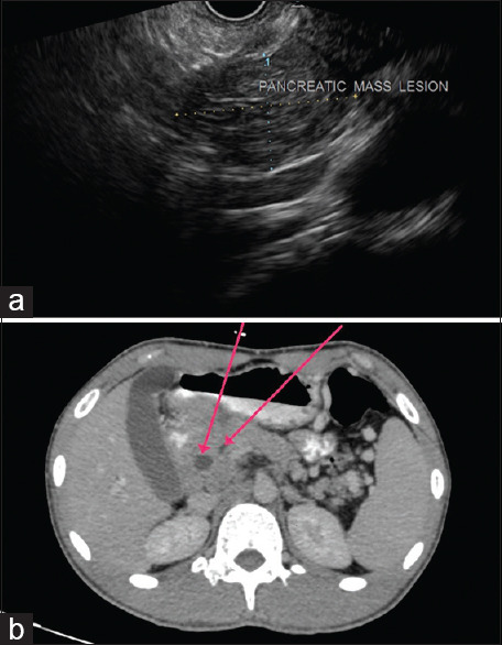
我们描述了一名患者,他在局部创伤后出现阴囊肿胀,随后阴囊窦不愈合并排出,最初被怀疑有感染性阴囊血肿。评估显示是阴囊结核。他还抱怨上腹部疼痛,经腹部超声检查发现胰头有肿块。胰腺肿块的评估显示是胰腺结核。两种病变对抗结核治疗反应良好。这是一个罕见的肺外结核两个罕见部位同时出现在同一个人身上的病例。在结核病流行国家,在评估任何无法愈合的溃疡、鼻窦和肿块时,都需要小心,因为这种疾病可能是一种很好的伪装。
本文章由计算机程序翻译,如有差异,请以英文原文为准。

Synchronous pancreatic and scrotal tuberculosis: Double jeopardy.

Synchronous pancreatic and scrotal tuberculosis: Double jeopardy.

Synchronous pancreatic and scrotal tuberculosis: Double jeopardy.

Synchronous pancreatic and scrotal tuberculosis: Double jeopardy.

We describe a patient who presented with scrotal swelling followed by non-healing and discharging scrotal sinuses, following local trauma and was initially suspected to have an infected scrotal hematoma. An evaluation revealed it to be scrotal tuberculosis. He also complained of upper abdominal pain and on transabdominal ultrasonography was detected to have a mass in the head of the pancreas. Evaluation of the pancreatic mass revealed it to be pancreatic tuberculosis. Both lesions responded well to anti-tubercular therapy. This is an unusual case of two rare sites of extrapulmonary tuberculosis presenting simultaneously in the same individual. Care needs to be exercised while evaluating any non-healing ulcers or sinuses and mass lesions in countries endemic for tuberculosis as this disease can be a great masquerader.

求助全文
通过发布文献求助,成功后即可免费获取论文全文。 去求助
来源期刊
Journal of Postgraduate Medicine
Journal of Postgraduate Medicine 医学-医学:内科
CiteScore
2.00
自引率
0.00%
发文量
76
审稿时长
40 weeks
期刊介绍: The journal will cover technical, clinical and bioengineering studies related to human well being including ethical and social issues. The journal gives preference to clinically oriented studies over experimental and animal studies. The Journal would publish peer-reviewed original research papers, case reports, systematic reviews, meta-analysis, and debates.
×
引用
GB/T 7714-2015
复制
MLA
复制
APA
复制
导出至
BibTeX EndNote RefMan NoteFirst NoteExpress
×
提示
您的信息不完整,为了账户安全,请先补充。
现在去补充
×
提示
您因"违规操作"
具体请查看互助需知
我知道了
×
提示
确定
请完成安全验证×
copy
已复制链接
快去分享给好友吧!
我知道了
右上角分享
点击右上角分享
0
联系我们:info@booksci.cn Book学术提供免费学术资源搜索服务,方便国内外学者检索中英文文献。致力于提供最便捷和优质的服务体验。 Copyright © 2023 布克学术 All rights reserved.
京ICP备2023020795号-1
ghs 京公网安备 11010802042870号
Book学术文献互助
Book学术文献互助群
群 号:604180095
Book学术官方微信