在钆醋酸增强肝胆期利用压缩传感获得的屏气高分辨率 T1 加权梯度回波肝脏 MR 成像:与标准 T1 加权序列相比的图像质量和病变可见度。

IF 3.2 3区 医学 Q2 RADIOLOGY, NUCLEAR MEDICINE & MEDICAL IMAGING
Magnetic Resonance in Medical Sciences Pub Date : 2024-04-01 Epub Date: 2023-02-04 DOI:10.2463/mrms.mp.2022-0137
Kenichiro Ihara, Hideko Onoda, Masahiro Tanabe, Etsushi Iida, Takaaki Ueda, Taiga Kobayashi, Mayumi Higashi, Marcel Dominik Nickel, Hiroshi Imai, Katsuyoshi Ito
{"title":"在钆醋酸增强肝胆期利用压缩传感获得的屏气高分辨率 T1 加权梯度回波肝脏 MR 成像:与标准 T1 加权序列相比的图像质量和病变可见度。","authors":"Kenichiro Ihara, Hideko Onoda, Masahiro Tanabe, Etsushi Iida, Takaaki Ueda, Taiga Kobayashi, Mayumi Higashi, Marcel Dominik Nickel, Hiroshi Imai, Katsuyoshi Ito","doi":"10.2463/mrms.mp.2022-0137","DOIUrl":null,"url":null,"abstract":"<p><strong>Purpose: </strong>To evaluate the feasibility of breath-hold (BH) high-resolution (HR) T1-weighted gradient echo hepatobiliary phase (HBP) imaging using compressed sensing (CS) in gadoxetic acid-enhanced liver MRI in comparison with standard HBP imaging using parallel imaging (PI).</p><p><strong>Methods: </strong>The study included 122 patients with liver tumors with hypointensity in the HBP who underwent both HR HBP imaging with CS and standard HBP imaging with PI. Two radiologists evaluated the liver edge sharpness, hepatic vessel conspicuity, bile duct conspicuity, image noise, and overall image quality, as well as the lesion conspicuity on HR and standard HBP imaging and the contrast-enhanced (CE) MR cholangiography (MRC) image quality reconstructed from HBP images. As a quantitative analysis, the SNR of the liver and the liver to lesion signal intensity ratio (LLSIR) were also determined.</p><p><strong>Results: </strong>The liver edge sharpness, hepatic vessel conspicuity, bile duct conspicuity, and overall image quality as well as the lesion conspicuity and the LLSIR on HR HBP imaging with CS were significantly higher than those on standard HBP imaging (all of P < 0.001). The image quality of CE-MRC reconstructed from HR HBP imaging with CS was also significantly higher than that from standard HBP imaging (P < 0.001). Conversely, the SNR of liver in standard HBP was significantly higher than that in HR HBP with CS (P < 0.001).</p><p><strong>Conclusion: </strong>BH HR HBP imaging with CS provided an improved overall image quality, lesion conspicuity, and CE-MRC visualization when compared with standard HBP imaging without extending the acquisition time.</p>","PeriodicalId":18119,"journal":{"name":"Magnetic Resonance in Medical Sciences","volume":" ","pages":"146-152"},"PeriodicalIF":3.2000,"publicationDate":"2024-04-01","publicationTypes":"Journal Article","fieldsOfStudy":null,"isOpenAccess":false,"openAccessPdf":"https://www.ncbi.nlm.nih.gov/pmc/articles/PMC11024715/pdf/","citationCount":"0","resultStr":"{\"title\":\"Breath-hold High-resolution T1-weighted Gradient Echo Liver MR Imaging with Compressed Sensing Obtained during the Gadoxetic Acid-enhanced Hepatobiliary Phase: Image Quality and Lesion Visibility Compared with a Standard T1-weighted Sequence.\",\"authors\":\"Kenichiro Ihara, Hideko Onoda, Masahiro Tanabe, Etsushi Iida, Takaaki Ueda, Taiga Kobayashi, Mayumi Higashi, Marcel Dominik Nickel, Hiroshi Imai, Katsuyoshi Ito\",\"doi\":\"10.2463/mrms.mp.2022-0137\",\"DOIUrl\":null,\"url\":null,\"abstract\":\"<p><strong>Purpose: </strong>To evaluate the feasibility of breath-hold (BH) high-resolution (HR) T1-weighted gradient echo hepatobiliary phase (HBP) imaging using compressed sensing (CS) in gadoxetic acid-enhanced liver MRI in comparison with standard HBP imaging using parallel imaging (PI).</p><p><strong>Methods: </strong>The study included 122 patients with liver tumors with hypointensity in the HBP who underwent both HR HBP imaging with CS and standard HBP imaging with PI. Two radiologists evaluated the liver edge sharpness, hepatic vessel conspicuity, bile duct conspicuity, image noise, and overall image quality, as well as the lesion conspicuity on HR and standard HBP imaging and the contrast-enhanced (CE) MR cholangiography (MRC) image quality reconstructed from HBP images. As a quantitative analysis, the SNR of the liver and the liver to lesion signal intensity ratio (LLSIR) were also determined.</p><p><strong>Results: </strong>The liver edge sharpness, hepatic vessel conspicuity, bile duct conspicuity, and overall image quality as well as the lesion conspicuity and the LLSIR on HR HBP imaging with CS were significantly higher than those on standard HBP imaging (all of P < 0.001). The image quality of CE-MRC reconstructed from HR HBP imaging with CS was also significantly higher than that from standard HBP imaging (P < 0.001). Conversely, the SNR of liver in standard HBP was significantly higher than that in HR HBP with CS (P < 0.001).</p><p><strong>Conclusion: </strong>BH HR HBP imaging with CS provided an improved overall image quality, lesion conspicuity, and CE-MRC visualization when compared with standard HBP imaging without extending the acquisition time.</p>\",\"PeriodicalId\":18119,\"journal\":{\"name\":\"Magnetic Resonance in Medical Sciences\",\"volume\":\" \",\"pages\":\"146-152\"},\"PeriodicalIF\":3.2000,\"publicationDate\":\"2024-04-01\",\"publicationTypes\":\"Journal Article\",\"fieldsOfStudy\":null,\"isOpenAccess\":false,\"openAccessPdf\":\"https://www.ncbi.nlm.nih.gov/pmc/articles/PMC11024715/pdf/\",\"citationCount\":\"0\",\"resultStr\":null,\"platform\":\"Semanticscholar\",\"paperid\":null,\"PeriodicalName\":\"Magnetic Resonance in Medical Sciences\",\"FirstCategoryId\":\"3\",\"ListUrlMain\":\"https://doi.org/10.2463/mrms.mp.2022-0137\",\"RegionNum\":3,\"RegionCategory\":\"医学\",\"ArticlePicture\":[],\"TitleCN\":null,\"AbstractTextCN\":null,\"PMCID\":null,\"EPubDate\":\"2023/2/4 0:00:00\",\"PubModel\":\"Epub\",\"JCR\":\"Q2\",\"JCRName\":\"RADIOLOGY, NUCLEAR MEDICINE & MEDICAL IMAGING\",\"Score\":null,\"Total\":0}","platform":"Semanticscholar","paperid":null,"PeriodicalName":"Magnetic Resonance in Medical Sciences","FirstCategoryId":"3","ListUrlMain":"https://doi.org/10.2463/mrms.mp.2022-0137","RegionNum":3,"RegionCategory":"医学","ArticlePicture":[],"TitleCN":null,"AbstractTextCN":null,"PMCID":null,"EPubDate":"2023/2/4 0:00:00","PubModel":"Epub","JCR":"Q2","JCRName":"RADIOLOGY, NUCLEAR MEDICINE & MEDICAL IMAGING","Score":null,"Total":0}
引用次数: 0

摘要

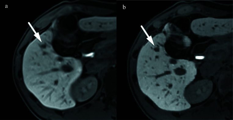
目的:评估在钆醋酸增强肝脏磁共振成像中使用压缩传感(CS)的屏气(BH)高分辨率(HR)T1加权梯度回波肝胆相(HBP)成像与使用平行成像(PI)的标准HBP成像的可行性:研究纳入了122例HBP低密度肝肿瘤患者,他们同时接受了CS的HR HBP成像和PI的标准HBP成像。两位放射科医生评估了肝脏边缘锐利度、肝脏血管清晰度、胆管清晰度、图像噪声和整体图像质量,以及HR和标准HBP成像的病灶清晰度和由HBP图像重建的对比增强(CE)磁共振胆管造影(MRC)图像质量。作为定量分析,还测定了肝脏的信噪比和肝脏与病变信号强度比(LLSIR):结果:使用 CS 进行 HR HBP 成像时,肝脏边缘锐利度、肝血管清晰度、胆管清晰度、整体图像质量以及病变清晰度和 LLSIR 均显著高于标准 HBP 成像(P 均<0.001)。使用 CS 进行 HR HBP 成像重建的 CE-MRC 图像质量也明显高于标准 HBP 成像(P < 0.001)。相反,标准 HBP 成像中肝脏的信噪比明显高于使用 CS 的 HR HBP 成像(P < 0.001):结论:与标准 HBP 成像相比,带 CS 的 BH HR HBP 成像可在不延长采集时间的情况下提高整体图像质量、病灶清晰度和 CE-MRC 可见度。
本文章由计算机程序翻译,如有差异,请以英文原文为准。

Breath-hold High-resolution T1-weighted Gradient Echo Liver MR Imaging with Compressed Sensing Obtained during the Gadoxetic Acid-enhanced Hepatobiliary Phase: Image Quality and Lesion Visibility Compared with a Standard T1-weighted Sequence.

Breath-hold High-resolution T1-weighted Gradient Echo Liver MR Imaging with Compressed Sensing Obtained during the Gadoxetic Acid-enhanced Hepatobiliary Phase: Image Quality and Lesion Visibility Compared with a Standard T1-weighted Sequence.

Breath-hold High-resolution T1-weighted Gradient Echo Liver MR Imaging with Compressed Sensing Obtained during the Gadoxetic Acid-enhanced Hepatobiliary Phase: Image Quality and Lesion Visibility Compared with a Standard T1-weighted Sequence.

Breath-hold High-resolution T1-weighted Gradient Echo Liver MR Imaging with Compressed Sensing Obtained during the Gadoxetic Acid-enhanced Hepatobiliary Phase: Image Quality and Lesion Visibility Compared with a Standard T1-weighted Sequence.

Purpose: To evaluate the feasibility of breath-hold (BH) high-resolution (HR) T1-weighted gradient echo hepatobiliary phase (HBP) imaging using compressed sensing (CS) in gadoxetic acid-enhanced liver MRI in comparison with standard HBP imaging using parallel imaging (PI).

Methods: The study included 122 patients with liver tumors with hypointensity in the HBP who underwent both HR HBP imaging with CS and standard HBP imaging with PI. Two radiologists evaluated the liver edge sharpness, hepatic vessel conspicuity, bile duct conspicuity, image noise, and overall image quality, as well as the lesion conspicuity on HR and standard HBP imaging and the contrast-enhanced (CE) MR cholangiography (MRC) image quality reconstructed from HBP images. As a quantitative analysis, the SNR of the liver and the liver to lesion signal intensity ratio (LLSIR) were also determined.

Results: The liver edge sharpness, hepatic vessel conspicuity, bile duct conspicuity, and overall image quality as well as the lesion conspicuity and the LLSIR on HR HBP imaging with CS were significantly higher than those on standard HBP imaging (all of P < 0.001). The image quality of CE-MRC reconstructed from HR HBP imaging with CS was also significantly higher than that from standard HBP imaging (P < 0.001). Conversely, the SNR of liver in standard HBP was significantly higher than that in HR HBP with CS (P < 0.001).

Conclusion: BH HR HBP imaging with CS provided an improved overall image quality, lesion conspicuity, and CE-MRC visualization when compared with standard HBP imaging without extending the acquisition time.

求助全文
通过发布文献求助,成功后即可免费获取论文全文。 去求助
来源期刊
Magnetic Resonance in Medical Sciences
Magnetic Resonance in Medical Sciences RADIOLOGY, NUCLEAR MEDICINE & MEDICAL IMAGING-
CiteScore
5.80
自引率
20.00%
发文量
71
审稿时长
>12 weeks
期刊介绍: Magnetic Resonance in Medical Sciences (MRMS or Magn Reson Med Sci) is an international journal pursuing the publication of original articles contributing to the progress of magnetic resonance in the field of biomedical sciences including technical developments and clinical applications. MRMS is an official journal of the Japanese Society for Magnetic Resonance in Medicine (JSMRM).
×
引用
GB/T 7714-2015
复制
MLA
复制
APA
复制
导出至
BibTeX EndNote RefMan NoteFirst NoteExpress
×
提示
您的信息不完整,为了账户安全,请先补充。
现在去补充
×
提示
您因"违规操作"
具体请查看互助需知
我知道了
×
提示
确定
请完成安全验证×
copy
已复制链接
快去分享给好友吧!
我知道了
右上角分享
点击右上角分享
0
联系我们:info@booksci.cn Book学术提供免费学术资源搜索服务,方便国内外学者检索中英文文献。致力于提供最便捷和优质的服务体验。 Copyright © 2023 布克学术 All rights reserved.
京ICP备2023020795号-1
ghs 京公网安备 11010802042870号
Book学术文献互助
Book学术文献互助群
群 号:604180095
Book学术官方微信