跗骨隧道综合征的解剖学探讨:踝关节内侧解剖能给我们揭示什么?

IF 2.2 3区 医学 Q1 ORTHOPEDICS
Jorge Gomes Lopes, André Rodrigues-Pinho, Maria Abreu Neves, Filipe Fonseca Pinto, Miguel Relvas-Silva, Luísa Vital, Francisco Serdoura, António Nogueira-Sousa, Maria Dulce Madeira, Pedro Alberto Pereira
{"title":"跗骨隧道综合征的解剖学探讨:踝关节内侧解剖能给我们揭示什么?","authors":"Jorge Gomes Lopes, André Rodrigues-Pinho, Maria Abreu Neves, Filipe Fonseca Pinto, Miguel Relvas-Silva, Luísa Vital, Francisco Serdoura, António Nogueira-Sousa, Maria Dulce Madeira, Pedro Alberto Pereira","doi":"10.1186/s13047-023-00682-4","DOIUrl":null,"url":null,"abstract":"<p><strong>Background: </strong>The heel is a complex anatomical region and is very often the source of pain complaints. The medial heel contains a number of structures, capable of compressing the main nerves of the region and knowing its anatomical topography is mandatory. The purpose of this work is to evaluate if tibial nerve (TN) and its main branches relate to the main anatomical landmarks of the ankle's medial side and if so, do they have a regular path after emerging from TN.</p><p><strong>Methods: </strong>The distal part of the legs, ankles and feet of 12 Thiel embalmed cadavers were dissected. The pattern of the branches of the TN was registered and the measurements were performed according to the Dellon-McKinnon malleolar-calcaneal line (DML) and the Heimkes Triangle (HT).</p><p><strong>Results: </strong>The TN divided proximal to DML in 87.5%, on top of the DML in 12,5% and distal in none of the feet. The Baxter's nerve (BN) originated proximally in 50%, on top of the DML in 12,5% and distally in 37.5% of the cases. There was a strong and significant correlation between the length of DML and the distance from the center of the medial malleolus (MM) to the lateral plantar nerve (LPN), medial plantar (MPN) nerve, BN and Medial Calcaneal Nerve (MCN) (ρ: 0.910, 0.866, 0.970 and 0.762 respectively, p <  0.001).</p><p><strong>Conclusions: </strong>In our sample the TN divides distal to DML in none of the cases. We also report a strong association between ankle size and the distribution of the MPN, LPN, BN and MCN. We hypothesize that location of these branches on the medial side of the ankle could be more predictable if we take into consideration the distance between the MM and the medial process of the calcaneal tuberosity.</p>","PeriodicalId":49164,"journal":{"name":"Journal of Foot and Ankle Research","volume":"16 1","pages":"80"},"PeriodicalIF":2.2000,"publicationDate":"2023-11-14","publicationTypes":"Journal Article","fieldsOfStudy":null,"isOpenAccess":false,"openAccessPdf":"https://www.ncbi.nlm.nih.gov/pmc/articles/PMC10644421/pdf/","citationCount":"0","resultStr":"{\"title\":\"An anatomical approach to the tarsal tunnel syndrome: what can ankle's medial side anatomy reveal to us?\",\"authors\":\"Jorge Gomes Lopes, André Rodrigues-Pinho, Maria Abreu Neves, Filipe Fonseca Pinto, Miguel Relvas-Silva, Luísa Vital, Francisco Serdoura, António Nogueira-Sousa, Maria Dulce Madeira, Pedro Alberto Pereira\",\"doi\":\"10.1186/s13047-023-00682-4\",\"DOIUrl\":null,\"url\":null,\"abstract\":\"<p><strong>Background: </strong>The heel is a complex anatomical region and is very often the source of pain complaints. The medial heel contains a number of structures, capable of compressing the main nerves of the region and knowing its anatomical topography is mandatory. The purpose of this work is to evaluate if tibial nerve (TN) and its main branches relate to the main anatomical landmarks of the ankle's medial side and if so, do they have a regular path after emerging from TN.</p><p><strong>Methods: </strong>The distal part of the legs, ankles and feet of 12 Thiel embalmed cadavers were dissected. The pattern of the branches of the TN was registered and the measurements were performed according to the Dellon-McKinnon malleolar-calcaneal line (DML) and the Heimkes Triangle (HT).</p><p><strong>Results: </strong>The TN divided proximal to DML in 87.5%, on top of the DML in 12,5% and distal in none of the feet. The Baxter's nerve (BN) originated proximally in 50%, on top of the DML in 12,5% and distally in 37.5% of the cases. There was a strong and significant correlation between the length of DML and the distance from the center of the medial malleolus (MM) to the lateral plantar nerve (LPN), medial plantar (MPN) nerve, BN and Medial Calcaneal Nerve (MCN) (ρ: 0.910, 0.866, 0.970 and 0.762 respectively, p <  0.001).</p><p><strong>Conclusions: </strong>In our sample the TN divides distal to DML in none of the cases. We also report a strong association between ankle size and the distribution of the MPN, LPN, BN and MCN. We hypothesize that location of these branches on the medial side of the ankle could be more predictable if we take into consideration the distance between the MM and the medial process of the calcaneal tuberosity.</p>\",\"PeriodicalId\":49164,\"journal\":{\"name\":\"Journal of Foot and Ankle Research\",\"volume\":\"16 1\",\"pages\":\"80\"},\"PeriodicalIF\":2.2000,\"publicationDate\":\"2023-11-14\",\"publicationTypes\":\"Journal Article\",\"fieldsOfStudy\":null,\"isOpenAccess\":false,\"openAccessPdf\":\"https://www.ncbi.nlm.nih.gov/pmc/articles/PMC10644421/pdf/\",\"citationCount\":\"0\",\"resultStr\":null,\"platform\":\"Semanticscholar\",\"paperid\":null,\"PeriodicalName\":\"Journal of Foot and Ankle Research\",\"FirstCategoryId\":\"3\",\"ListUrlMain\":\"https://doi.org/10.1186/s13047-023-00682-4\",\"RegionNum\":3,\"RegionCategory\":\"医学\",\"ArticlePicture\":[],\"TitleCN\":null,\"AbstractTextCN\":null,\"PMCID\":null,\"EPubDate\":\"\",\"PubModel\":\"\",\"JCR\":\"Q1\",\"JCRName\":\"ORTHOPEDICS\",\"Score\":null,\"Total\":0}","platform":"Semanticscholar","paperid":null,"PeriodicalName":"Journal of Foot and Ankle Research","FirstCategoryId":"3","ListUrlMain":"https://doi.org/10.1186/s13047-023-00682-4","RegionNum":3,"RegionCategory":"医学","ArticlePicture":[],"TitleCN":null,"AbstractTextCN":null,"PMCID":null,"EPubDate":"","PubModel":"","JCR":"Q1","JCRName":"ORTHOPEDICS","Score":null,"Total":0}
引用次数: 0

摘要

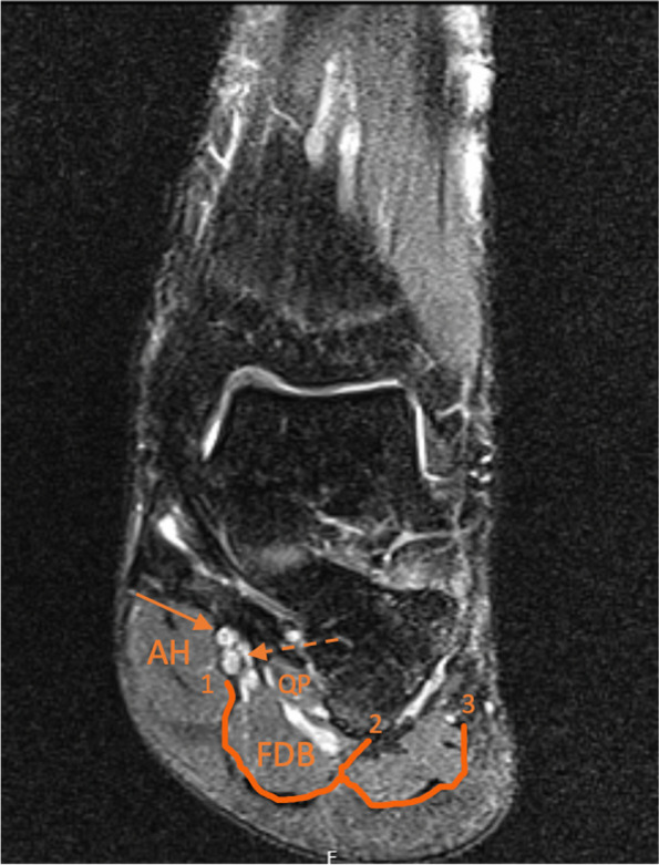
背景:足跟是一个复杂的解剖区域,经常是疼痛的来源。内侧跟包含许多结构,能够压迫该区域的主要神经,了解其解剖地形是强制性的。本研究的目的是评价胫骨神经及其主要分支是否与踝关节内侧的主要解剖标志有关,如果有,它们从胫骨神经出来后是否有规则的路径。方法:解剖12具蒂尔尸体的小腿、脚踝和足的远端。根据Dellon-McKinnon踝-跟骨线(DML)和Heimkes三角(HT)测量TN分支的形态。结果:TN分离DML近端占87.5%,分离DML上端占12.5%,远端无分离。巴克斯特神经(BN)近端发源于50%,DML顶部发源于12.5%,远端发源于37.5%。DML长度与内踝(MM)中心到足底外侧神经(LPN)、足底内侧神经(MPN)、BN和跟内侧神经(MCN)的距离有很强且显著的相关性(ρ分别为0.910、0.866、0.970和0.762)。结论:本组病例中,TN均未分化至DML远端。我们还报道了踝关节尺寸与MPN、LPN、BN和MCN分布之间的强烈关联。我们假设,如果考虑MM和跟骨粗隆内侧突之间的距离,这些分支在踝关节内侧的位置可以更容易预测。
本文章由计算机程序翻译,如有差异,请以英文原文为准。

An anatomical approach to the tarsal tunnel syndrome: what can ankle's medial side anatomy reveal to us?

An anatomical approach to the tarsal tunnel syndrome: what can ankle's medial side anatomy reveal to us?

An anatomical approach to the tarsal tunnel syndrome: what can ankle's medial side anatomy reveal to us?

An anatomical approach to the tarsal tunnel syndrome: what can ankle's medial side anatomy reveal to us?

Background: The heel is a complex anatomical region and is very often the source of pain complaints. The medial heel contains a number of structures, capable of compressing the main nerves of the region and knowing its anatomical topography is mandatory. The purpose of this work is to evaluate if tibial nerve (TN) and its main branches relate to the main anatomical landmarks of the ankle's medial side and if so, do they have a regular path after emerging from TN.

Methods: The distal part of the legs, ankles and feet of 12 Thiel embalmed cadavers were dissected. The pattern of the branches of the TN was registered and the measurements were performed according to the Dellon-McKinnon malleolar-calcaneal line (DML) and the Heimkes Triangle (HT).

Results: The TN divided proximal to DML in 87.5%, on top of the DML in 12,5% and distal in none of the feet. The Baxter's nerve (BN) originated proximally in 50%, on top of the DML in 12,5% and distally in 37.5% of the cases. There was a strong and significant correlation between the length of DML and the distance from the center of the medial malleolus (MM) to the lateral plantar nerve (LPN), medial plantar (MPN) nerve, BN and Medial Calcaneal Nerve (MCN) (ρ: 0.910, 0.866, 0.970 and 0.762 respectively, p <  0.001).

Conclusions: In our sample the TN divides distal to DML in none of the cases. We also report a strong association between ankle size and the distribution of the MPN, LPN, BN and MCN. We hypothesize that location of these branches on the medial side of the ankle could be more predictable if we take into consideration the distance between the MM and the medial process of the calcaneal tuberosity.

求助全文
通过发布文献求助,成功后即可免费获取论文全文。 去求助
来源期刊
CiteScore
4.50
自引率
10.30%
发文量
83
审稿时长
>12 weeks
期刊介绍: Journal of Foot and Ankle Research, the official journal of the Australian Podiatry Association and The College of Podiatry (UK), is an open access journal that encompasses all aspects of policy, organisation, delivery and clinical practice related to the assessment, diagnosis, prevention and management of foot and ankle disorders. Journal of Foot and Ankle Research covers a wide range of clinical subject areas, including diabetology, paediatrics, sports medicine, gerontology and geriatrics, foot surgery, physical therapy, dermatology, wound management, radiology, biomechanics and bioengineering, orthotics and prosthetics, as well the broad areas of epidemiology, policy, organisation and delivery of services related to foot and ankle care. The journal encourages submissions from all health professionals who manage lower limb conditions, including podiatrists, nurses, physical therapists and physiotherapists, orthopaedists, manual therapists, medical specialists and general medical practitioners, as well as health service researchers concerned with foot and ankle care. The Australian Podiatry Association and the College of Podiatry (UK) have reserve funds to cover the article-processing charge for manuscripts submitted by its members. Society members can email the appropriate contact at Australian Podiatry Association or The College of Podiatry to obtain the corresponding code to enter on submission.
×
引用
GB/T 7714-2015
复制
MLA
复制
APA
复制
导出至
BibTeX EndNote RefMan NoteFirst NoteExpress
×
提示
您的信息不完整,为了账户安全,请先补充。
现在去补充
×
提示
您因"违规操作"
具体请查看互助需知
我知道了
×
提示
确定
请完成安全验证×
copy
已复制链接
快去分享给好友吧!
我知道了
右上角分享
点击右上角分享
0
联系我们:info@booksci.cn Book学术提供免费学术资源搜索服务,方便国内外学者检索中英文文献。致力于提供最便捷和优质的服务体验。 Copyright © 2023 布克学术 All rights reserved.
京ICP备2023020795号-1
ghs 京公网安备 11010802042870号
Book学术文献互助
Book学术文献互助群
群 号:604180095
Book学术官方微信