深度学习重构对呼吸触发的肝脏 T2 加权磁共振成像的影响:单次快速自旋回波和快速自旋回波序列的比较。

IF 3.2 3区 医学 Q2 RADIOLOGY, NUCLEAR MEDICINE & MEDICAL IMAGING
Magnetic Resonance in Medical Sciences Pub Date : 2024-04-01 Epub Date: 2023-03-29 DOI:10.2463/mrms.mp.2022-0111
Kengo Kiso, Takahiro Tsuboyama, Hiromitsu Onishi, Kazuya Ogawa, Atsushi Nakamoto, Mitsuaki Tatsumi, Takashi Ota, Hideyuki Fukui, Keigo Yano, Toru Honda, Shinji Kakemoto, Yoshihiro Koyama, Hiroyuki Tarewaki, Noriyuki Tomiyama
{"title":"深度学习重构对呼吸触发的肝脏 T2 加权磁共振成像的影响:单次快速自旋回波和快速自旋回波序列的比较。","authors":"Kengo Kiso, Takahiro Tsuboyama, Hiromitsu Onishi, Kazuya Ogawa, Atsushi Nakamoto, Mitsuaki Tatsumi, Takashi Ota, Hideyuki Fukui, Keigo Yano, Toru Honda, Shinji Kakemoto, Yoshihiro Koyama, Hiroyuki Tarewaki, Noriyuki Tomiyama","doi":"10.2463/mrms.mp.2022-0111","DOIUrl":null,"url":null,"abstract":"<p><strong>Purpose: </strong>To compare the effects of deep learning reconstruction (DLR) on respiratory-triggered T2-weighted MRI of the liver between single-shot fast spin-echo (SSFSE) and fast spin-echo (FSE) sequences.</p><p><strong>Methods: </strong>Respiratory-triggered fat-suppressed liver T2-weighted MRI was obtained with the FSE and SSFSE sequences at the same spatial resolution in 55 patients. Conventional reconstruction (CR) and DLR were applied to each sequence, and the SNR and liver-to-lesion contrast were measured on FSE-CR, FSE-DLR, SSFSE-CR, and SSFSE-DLR images. Image quality was independently assessed by three radiologists. The results of the qualitative and quantitative analyses were compared among the four types of images using repeated-measures analysis of variance or Friedman's test for normally and non-normally distributed data, respectively, and a visual grading characteristics (VGC) analysis was performed to evaluate the image quality improvement by DLR on the FSE and SSFSE sequences.</p><p><strong>Results: </strong>The liver SNR was lowest on SSFSE-CR and highest on FSE-DLR and SSFSE-DLR (P < 0.01). The liver-to-lesion contrast did not differ significantly among the four types of images. Qualitatively, noise scores were worst on SSFSE-CR but best on SSFSE-DLR because DLR significantly reduced noise (P < 0.01). In contrast, artifact scores were worst both on FSE-CR and FSE-DLR (P < 0.01) because DLR did not reduce the artifacts. Lesion conspicuity was significantly improved by DLR compared with CR in the SSFSE (P < 0.01) but not in FSE sequences for all readers. Overall image quality was significantly improved by DLR compared with CR for all readers in the SSFSE (P < 0.01) but only one reader in the FSE (P < 0.01). The mean area under the VGC curve values for the FSE-DLR and SSFSE-DLR sequences were 0.65 and 0.94, respectively.</p><p><strong>Conclusion: </strong>In liver T2-weighted MRI, DLR produced more marked improvements in image quality in SSFSE than in FSE.</p>","PeriodicalId":18119,"journal":{"name":"Magnetic Resonance in Medical Sciences","volume":" ","pages":"214-224"},"PeriodicalIF":3.2000,"publicationDate":"2024-04-01","publicationTypes":"Journal Article","fieldsOfStudy":null,"isOpenAccess":false,"openAccessPdf":"https://www.ncbi.nlm.nih.gov/pmc/articles/PMC11024712/pdf/","citationCount":"0","resultStr":"{\"title\":\"Effect of Deep Learning Reconstruction on Respiratory-triggered T2-weighted MR Imaging of the Liver: A Comparison between the Single-shot Fast Spin-echo and Fast Spin-echo Sequences.\",\"authors\":\"Kengo Kiso, Takahiro Tsuboyama, Hiromitsu Onishi, Kazuya Ogawa, Atsushi Nakamoto, Mitsuaki Tatsumi, Takashi Ota, Hideyuki Fukui, Keigo Yano, Toru Honda, Shinji Kakemoto, Yoshihiro Koyama, Hiroyuki Tarewaki, Noriyuki Tomiyama\",\"doi\":\"10.2463/mrms.mp.2022-0111\",\"DOIUrl\":null,\"url\":null,\"abstract\":\"<p><strong>Purpose: </strong>To compare the effects of deep learning reconstruction (DLR) on respiratory-triggered T2-weighted MRI of the liver between single-shot fast spin-echo (SSFSE) and fast spin-echo (FSE) sequences.</p><p><strong>Methods: </strong>Respiratory-triggered fat-suppressed liver T2-weighted MRI was obtained with the FSE and SSFSE sequences at the same spatial resolution in 55 patients. Conventional reconstruction (CR) and DLR were applied to each sequence, and the SNR and liver-to-lesion contrast were measured on FSE-CR, FSE-DLR, SSFSE-CR, and SSFSE-DLR images. Image quality was independently assessed by three radiologists. The results of the qualitative and quantitative analyses were compared among the four types of images using repeated-measures analysis of variance or Friedman's test for normally and non-normally distributed data, respectively, and a visual grading characteristics (VGC) analysis was performed to evaluate the image quality improvement by DLR on the FSE and SSFSE sequences.</p><p><strong>Results: </strong>The liver SNR was lowest on SSFSE-CR and highest on FSE-DLR and SSFSE-DLR (P < 0.01). The liver-to-lesion contrast did not differ significantly among the four types of images. Qualitatively, noise scores were worst on SSFSE-CR but best on SSFSE-DLR because DLR significantly reduced noise (P < 0.01). In contrast, artifact scores were worst both on FSE-CR and FSE-DLR (P < 0.01) because DLR did not reduce the artifacts. Lesion conspicuity was significantly improved by DLR compared with CR in the SSFSE (P < 0.01) but not in FSE sequences for all readers. Overall image quality was significantly improved by DLR compared with CR for all readers in the SSFSE (P < 0.01) but only one reader in the FSE (P < 0.01). The mean area under the VGC curve values for the FSE-DLR and SSFSE-DLR sequences were 0.65 and 0.94, respectively.</p><p><strong>Conclusion: </strong>In liver T2-weighted MRI, DLR produced more marked improvements in image quality in SSFSE than in FSE.</p>\",\"PeriodicalId\":18119,\"journal\":{\"name\":\"Magnetic Resonance in Medical Sciences\",\"volume\":\" \",\"pages\":\"214-224\"},\"PeriodicalIF\":3.2000,\"publicationDate\":\"2024-04-01\",\"publicationTypes\":\"Journal Article\",\"fieldsOfStudy\":null,\"isOpenAccess\":false,\"openAccessPdf\":\"https://www.ncbi.nlm.nih.gov/pmc/articles/PMC11024712/pdf/\",\"citationCount\":\"0\",\"resultStr\":null,\"platform\":\"Semanticscholar\",\"paperid\":null,\"PeriodicalName\":\"Magnetic Resonance in Medical Sciences\",\"FirstCategoryId\":\"3\",\"ListUrlMain\":\"https://doi.org/10.2463/mrms.mp.2022-0111\",\"RegionNum\":3,\"RegionCategory\":\"医学\",\"ArticlePicture\":[],\"TitleCN\":null,\"AbstractTextCN\":null,\"PMCID\":null,\"EPubDate\":\"2023/3/29 0:00:00\",\"PubModel\":\"Epub\",\"JCR\":\"Q2\",\"JCRName\":\"RADIOLOGY, NUCLEAR MEDICINE & MEDICAL IMAGING\",\"Score\":null,\"Total\":0}","platform":"Semanticscholar","paperid":null,"PeriodicalName":"Magnetic Resonance in Medical Sciences","FirstCategoryId":"3","ListUrlMain":"https://doi.org/10.2463/mrms.mp.2022-0111","RegionNum":3,"RegionCategory":"医学","ArticlePicture":[],"TitleCN":null,"AbstractTextCN":null,"PMCID":null,"EPubDate":"2023/3/29 0:00:00","PubModel":"Epub","JCR":"Q2","JCRName":"RADIOLOGY, NUCLEAR MEDICINE & MEDICAL IMAGING","Score":null,"Total":0}
引用次数: 0

摘要

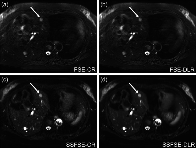
目的:比较单次快速自旋回波(SSFSE)和快速自旋回波(FSE)序列的深度学习重建(DLR)对呼吸触发肝脏T2加权磁共振成像的影响:在55名患者中,以相同的空间分辨率使用FSE和SSFSE序列获得了呼吸触发脂肪抑制肝脏T2加权磁共振成像。每个序列都应用了常规重建(CR)和DLR,并测量了FSE-CR、FSE-DLR、SSFSE-CR和SSFSE-DLR图像的信噪比和肝脏与病灶对比度。图像质量由三名放射科医生独立评估。针对正态分布和非正态分布数据,分别使用重复测量方差分析或弗里德曼检验对四种类型图像的定性和定量分析结果进行比较,并进行视觉分级特征(VGC)分析,以评估 DLR 对 FSE 和 SSFSE 序列图像质量的改善情况:结果:SSFSE-CR的肝脏信噪比最低,FSE-DLR和SSFSE-DLR的肝脏信噪比最高(P < 0.01)。四种图像的肝脏与病灶对比度差异不大。从质量上看,SSFSE-CR 的噪声评分最差,但 SSFSE-DLR 的噪声评分最好,因为 DLR 能显著降低噪声(P < 0.01)。相反,FSE-CR 和 FSE-DLR 的伪影评分最差(P < 0.01),因为 DLR 没有减少伪影。在 SSFSE 序列中,与 CR 相比,DLR 能明显提高病变的清晰度(P < 0.01),但在 FSE 序列中,所有读者的病变清晰度都没有提高。在 SSFSE 序列中,与 CR 相比,DLR 对所有读者的整体图像质量都有明显改善(P < 0.01),但在 FSE 序列中,只有一名读者的整体图像质量有明显改善(P < 0.01)。FSE-DLR和SSFSE-DLR序列的平均VGC曲线下面积值分别为0.65和0.94:结论:在肝脏 T2 加权 MRI 中,DLR 对 SSFSE 图像质量的改善比 FSE 更明显。
本文章由计算机程序翻译,如有差异,请以英文原文为准。

Effect of Deep Learning Reconstruction on Respiratory-triggered T2-weighted MR Imaging of the Liver: A Comparison between the Single-shot Fast Spin-echo and Fast Spin-echo Sequences.

Effect of Deep Learning Reconstruction on Respiratory-triggered T2-weighted MR Imaging of the Liver: A Comparison between the Single-shot Fast Spin-echo and Fast Spin-echo Sequences.

Effect of Deep Learning Reconstruction on Respiratory-triggered T2-weighted MR Imaging of the Liver: A Comparison between the Single-shot Fast Spin-echo and Fast Spin-echo Sequences.

Effect of Deep Learning Reconstruction on Respiratory-triggered T2-weighted MR Imaging of the Liver: A Comparison between the Single-shot Fast Spin-echo and Fast Spin-echo Sequences.

Purpose: To compare the effects of deep learning reconstruction (DLR) on respiratory-triggered T2-weighted MRI of the liver between single-shot fast spin-echo (SSFSE) and fast spin-echo (FSE) sequences.

Methods: Respiratory-triggered fat-suppressed liver T2-weighted MRI was obtained with the FSE and SSFSE sequences at the same spatial resolution in 55 patients. Conventional reconstruction (CR) and DLR were applied to each sequence, and the SNR and liver-to-lesion contrast were measured on FSE-CR, FSE-DLR, SSFSE-CR, and SSFSE-DLR images. Image quality was independently assessed by three radiologists. The results of the qualitative and quantitative analyses were compared among the four types of images using repeated-measures analysis of variance or Friedman's test for normally and non-normally distributed data, respectively, and a visual grading characteristics (VGC) analysis was performed to evaluate the image quality improvement by DLR on the FSE and SSFSE sequences.

Results: The liver SNR was lowest on SSFSE-CR and highest on FSE-DLR and SSFSE-DLR (P < 0.01). The liver-to-lesion contrast did not differ significantly among the four types of images. Qualitatively, noise scores were worst on SSFSE-CR but best on SSFSE-DLR because DLR significantly reduced noise (P < 0.01). In contrast, artifact scores were worst both on FSE-CR and FSE-DLR (P < 0.01) because DLR did not reduce the artifacts. Lesion conspicuity was significantly improved by DLR compared with CR in the SSFSE (P < 0.01) but not in FSE sequences for all readers. Overall image quality was significantly improved by DLR compared with CR for all readers in the SSFSE (P < 0.01) but only one reader in the FSE (P < 0.01). The mean area under the VGC curve values for the FSE-DLR and SSFSE-DLR sequences were 0.65 and 0.94, respectively.

Conclusion: In liver T2-weighted MRI, DLR produced more marked improvements in image quality in SSFSE than in FSE.

求助全文
通过发布文献求助,成功后即可免费获取论文全文。 去求助
来源期刊
Magnetic Resonance in Medical Sciences
Magnetic Resonance in Medical Sciences RADIOLOGY, NUCLEAR MEDICINE & MEDICAL IMAGING-
CiteScore
5.80
自引率
20.00%
发文量
71
审稿时长
>12 weeks
期刊介绍: Magnetic Resonance in Medical Sciences (MRMS or Magn Reson Med Sci) is an international journal pursuing the publication of original articles contributing to the progress of magnetic resonance in the field of biomedical sciences including technical developments and clinical applications. MRMS is an official journal of the Japanese Society for Magnetic Resonance in Medicine (JSMRM).
×
引用
GB/T 7714-2015
复制
MLA
复制
APA
复制
导出至
BibTeX EndNote RefMan NoteFirst NoteExpress
×
提示
您的信息不完整,为了账户安全,请先补充。
现在去补充
×
提示
您因"违规操作"
具体请查看互助需知
我知道了
×
提示
确定
请完成安全验证×
copy
已复制链接
快去分享给好友吧!
我知道了
右上角分享
点击右上角分享
0
联系我们:info@booksci.cn Book学术提供免费学术资源搜索服务,方便国内外学者检索中英文文献。致力于提供最便捷和优质的服务体验。 Copyright © 2023 布克学术 All rights reserved.
京ICP备2023020795号-1
ghs 京公网安备 11010802042870号
Book学术文献互助
Book学术文献互助群
群 号:604180095
Book学术官方微信