内窥镜在心脏病学中的作用:病例系列和文献综述。

IF 1.1 4区 农林科学 Q3 HORTICULTURE
Abdelrahman Elhakim, Kawther Karkour, Philip Sauter, Michael Rode, Mohamed Elhakim, Peter W Radke, Mohammed Saad
{"title":"内窥镜在心脏病学中的作用:病例系列和文献综述。","authors":"Abdelrahman Elhakim, Kawther Karkour, Philip Sauter, Michael Rode, Mohamed Elhakim, Peter W Radke, Mohammed Saad","doi":"10.1093/ehjimp/qyad002","DOIUrl":null,"url":null,"abstract":"<p><strong>Aims: </strong>Endosonography (EUS) is the diagnostic tool with the highest resolution for the local staging of gastrointestinal tumours and, due to the detailed visualization of the wall layers, is recommended in current guidelines for cancer management. In addition, an endoscope has an ultrasound tip design and balloon insufflation control design, and a 120° bending mechanism to deflect the endoscope tip. These advantages could be beneficial and valuable while investigating the cardiovascular structures during routine gastrointestinal procedures using this diagnostic tool.</p><p><strong>Methods and results: </strong>We present six cases of incidentally diagnosed cardiac pathologies (pulmonary thromboembolism of the main pulmonary artery, patent foramen oval with right to left shunt under Valsalva, left atrial appendage thrombus, aortic dissection, moderate aortic valve stenosis, mitral and aortic valve endocarditis) during routine gastrointestinal endosonographic procedures. These diagnoses influenced changes in management strategies in four cases.</p><p><strong>Conclusion: </strong>The introduction of EUS in cardiovascular medicine allows for a real-time high-resolution assessment of cardiovascular structures and allows early detection of silent cardiac pathologies during routine gastrointestinal procedures. It is the diagnostic tool with the highest resolution for accurate definition of variable gastrointestinal anatomy. Thus, help for accurate definitions of cardiovascular anatomy and pathology, which could influence optimal management strategies with improved safety, efficacy, and economic outcomes.</p>","PeriodicalId":17226,"journal":{"name":"Journal of the American Society for Horticultural Science","volume":"1 1","pages":"qyad002"},"PeriodicalIF":1.1000,"publicationDate":"2023-05-17","publicationTypes":"Journal Article","fieldsOfStudy":null,"isOpenAccess":false,"openAccessPdf":"https://www.ncbi.nlm.nih.gov/pmc/articles/PMC11249961/pdf/","citationCount":"0","resultStr":"{\"title\":\"The role of endosonography in cardiology: case series and literature review.\",\"authors\":\"Abdelrahman Elhakim, Kawther Karkour, Philip Sauter, Michael Rode, Mohamed Elhakim, Peter W Radke, Mohammed Saad\",\"doi\":\"10.1093/ehjimp/qyad002\",\"DOIUrl\":null,\"url\":null,\"abstract\":\"<p><strong>Aims: </strong>Endosonography (EUS) is the diagnostic tool with the highest resolution for the local staging of gastrointestinal tumours and, due to the detailed visualization of the wall layers, is recommended in current guidelines for cancer management. In addition, an endoscope has an ultrasound tip design and balloon insufflation control design, and a 120° bending mechanism to deflect the endoscope tip. These advantages could be beneficial and valuable while investigating the cardiovascular structures during routine gastrointestinal procedures using this diagnostic tool.</p><p><strong>Methods and results: </strong>We present six cases of incidentally diagnosed cardiac pathologies (pulmonary thromboembolism of the main pulmonary artery, patent foramen oval with right to left shunt under Valsalva, left atrial appendage thrombus, aortic dissection, moderate aortic valve stenosis, mitral and aortic valve endocarditis) during routine gastrointestinal endosonographic procedures. These diagnoses influenced changes in management strategies in four cases.</p><p><strong>Conclusion: </strong>The introduction of EUS in cardiovascular medicine allows for a real-time high-resolution assessment of cardiovascular structures and allows early detection of silent cardiac pathologies during routine gastrointestinal procedures. It is the diagnostic tool with the highest resolution for accurate definition of variable gastrointestinal anatomy. Thus, help for accurate definitions of cardiovascular anatomy and pathology, which could influence optimal management strategies with improved safety, efficacy, and economic outcomes.</p>\",\"PeriodicalId\":17226,\"journal\":{\"name\":\"Journal of the American Society for Horticultural Science\",\"volume\":\"1 1\",\"pages\":\"qyad002\"},\"PeriodicalIF\":1.1000,\"publicationDate\":\"2023-05-17\",\"publicationTypes\":\"Journal Article\",\"fieldsOfStudy\":null,\"isOpenAccess\":false,\"openAccessPdf\":\"https://www.ncbi.nlm.nih.gov/pmc/articles/PMC11249961/pdf/\",\"citationCount\":\"0\",\"resultStr\":null,\"platform\":\"Semanticscholar\",\"paperid\":null,\"PeriodicalName\":\"Journal of the American Society for Horticultural Science\",\"FirstCategoryId\":\"1085\",\"ListUrlMain\":\"https://doi.org/10.1093/ehjimp/qyad002\",\"RegionNum\":4,\"RegionCategory\":\"农林科学\",\"ArticlePicture\":[],\"TitleCN\":null,\"AbstractTextCN\":null,\"PMCID\":null,\"EPubDate\":\"2023/5/1 0:00:00\",\"PubModel\":\"eCollection\",\"JCR\":\"Q3\",\"JCRName\":\"HORTICULTURE\",\"Score\":null,\"Total\":0}","platform":"Semanticscholar","paperid":null,"PeriodicalName":"Journal of the American Society for Horticultural Science","FirstCategoryId":"1085","ListUrlMain":"https://doi.org/10.1093/ehjimp/qyad002","RegionNum":4,"RegionCategory":"农林科学","ArticlePicture":[],"TitleCN":null,"AbstractTextCN":null,"PMCID":null,"EPubDate":"2023/5/1 0:00:00","PubModel":"eCollection","JCR":"Q3","JCRName":"HORTICULTURE","Score":null,"Total":0}
引用次数: 0

摘要

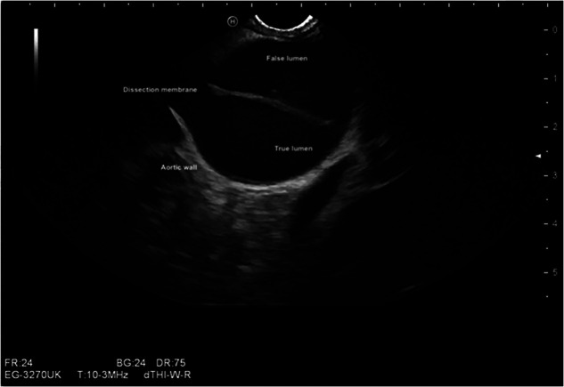
目的:内窥镜成像(EUS)是对胃肠道肿瘤进行局部分期的分辨率最高的诊断工具,由于能详细观察肿瘤壁层,因此被推荐用于目前的癌症治疗指南中。此外,内窥镜还具有超声波尖端设计和球囊充气控制设计,以及可使内窥镜尖端偏转 120° 的弯曲机制。在使用这种诊断工具进行常规胃肠道手术时,这些优势在检查心血管结构时可能是有益和有价值的:我们介绍了六例在常规胃肠道内窥镜检查过程中意外诊断出的心脏病变(主肺动脉肺血栓栓塞、卵圆孔伴Valsalva下右向左分流、左心房阑尾血栓、主动脉夹层、主动脉瓣中度狭窄、二尖瓣和主动脉瓣心内膜炎)。这些诊断改变了四例病例的治疗策略:结论:将 EUS 引入心血管内科可对心血管结构进行实时高分辨率评估,并可在常规胃肠道手术中及早发现无声的心脏病变。它是分辨率最高的诊断工具,可准确定义可变的胃肠道解剖结构。因此,有助于准确定义心血管解剖和病理,从而影响最佳管理策略,提高安全性、有效性和经济效益。
本文章由计算机程序翻译,如有差异,请以英文原文为准。

The role of endosonography in cardiology: case series and literature review.

The role of endosonography in cardiology: case series and literature review.

The role of endosonography in cardiology: case series and literature review.

The role of endosonography in cardiology: case series and literature review.

Aims: Endosonography (EUS) is the diagnostic tool with the highest resolution for the local staging of gastrointestinal tumours and, due to the detailed visualization of the wall layers, is recommended in current guidelines for cancer management. In addition, an endoscope has an ultrasound tip design and balloon insufflation control design, and a 120° bending mechanism to deflect the endoscope tip. These advantages could be beneficial and valuable while investigating the cardiovascular structures during routine gastrointestinal procedures using this diagnostic tool.

Methods and results: We present six cases of incidentally diagnosed cardiac pathologies (pulmonary thromboembolism of the main pulmonary artery, patent foramen oval with right to left shunt under Valsalva, left atrial appendage thrombus, aortic dissection, moderate aortic valve stenosis, mitral and aortic valve endocarditis) during routine gastrointestinal endosonographic procedures. These diagnoses influenced changes in management strategies in four cases.

Conclusion: The introduction of EUS in cardiovascular medicine allows for a real-time high-resolution assessment of cardiovascular structures and allows early detection of silent cardiac pathologies during routine gastrointestinal procedures. It is the diagnostic tool with the highest resolution for accurate definition of variable gastrointestinal anatomy. Thus, help for accurate definitions of cardiovascular anatomy and pathology, which could influence optimal management strategies with improved safety, efficacy, and economic outcomes.

求助全文
通过发布文献求助,成功后即可免费获取论文全文。 去求助
来源期刊
CiteScore
3.80
自引率
0.00%
发文量
31
审稿时长
2 months
期刊介绍: The Journal of the American Society for Horticultural Science publishes papers on the results of original research on horticultural plants and their products or directly related research areas. Its prime function is to communicate mission-oriented, fundamental research to other researchers. The journal includes detailed reports of original research results on various aspects of horticultural science and directly related subjects such as: - Biotechnology - Developmental Physiology - Environmental Stress Physiology - Genetics and Breeding - Photosynthesis, Sources-Sink Physiology - Postharvest Biology - Seed Physiology - Postharvest Biology - Seed Physiology - Soil-Plant-Water Relationships - Statistics
×
引用
GB/T 7714-2015
复制
MLA
复制
APA
复制
导出至
BibTeX EndNote RefMan NoteFirst NoteExpress
×
提示
您的信息不完整,为了账户安全,请先补充。
现在去补充
×
提示
您因"违规操作"
具体请查看互助需知
我知道了
×
提示
确定
请完成安全验证×
copy
已复制链接
快去分享给好友吧!
我知道了
右上角分享
点击右上角分享
0
联系我们:info@booksci.cn Book学术提供免费学术资源搜索服务,方便国内外学者检索中英文文献。致力于提供最便捷和优质的服务体验。 Copyright © 2023 布克学术 All rights reserved.
京ICP备2023020795号-1
ghs 京公网安备 11010802042870号
Book学术文献互助
Book学术文献互助群
群 号:604180095
Book学术官方微信