大量肥厚性脑膜瘤斑块模拟纤维发育不良。

Ju In Park, Chang Kyu Park, Bong Jin Park, Seok Keun Choi
{"title":"大量肥厚性脑膜瘤斑块模拟纤维发育不良。","authors":"Ju In Park, Chang Kyu Park, Bong Jin Park, Seok Keun Choi","doi":"10.14791/btrt.2023.0027","DOIUrl":null,"url":null,"abstract":"<p><p>The authors report an extremely rare case of a massive hyperostotic meningioma en plaque, which had characteristics of unique bony growth. A 34-year-old man presented with a palpable solid mass in the left cranial region that had gradually grown in size with a broad base on the calvarium for 8 years. Radiologically, the area involved by the mass ranged from the sphenoid bone to the frontal, parietal, temporal, and occipital bones. Three-dimensional CT revealed multiple growing spiculate features on the inner and outer cranial surface. Even though the radiologic features resembled fibrous dysplasia, it was histologically found to be a type of meningioma.</p>","PeriodicalId":72453,"journal":{"name":"Brain tumor research and treatment","volume":"11 4","pages":"271-273"},"PeriodicalIF":0.0000,"publicationDate":"2023-10-01","publicationTypes":"Journal Article","fieldsOfStudy":null,"isOpenAccess":false,"openAccessPdf":"https://www.ncbi.nlm.nih.gov/pmc/articles/PMC10641317/pdf/","citationCount":"0","resultStr":"{\"title\":\"Massive Hyperostotic Meningioma En Plaque Mimicking Fibrous Dysplasia.\",\"authors\":\"Ju In Park, Chang Kyu Park, Bong Jin Park, Seok Keun Choi\",\"doi\":\"10.14791/btrt.2023.0027\",\"DOIUrl\":null,\"url\":null,\"abstract\":\"<p><p>The authors report an extremely rare case of a massive hyperostotic meningioma en plaque, which had characteristics of unique bony growth. A 34-year-old man presented with a palpable solid mass in the left cranial region that had gradually grown in size with a broad base on the calvarium for 8 years. Radiologically, the area involved by the mass ranged from the sphenoid bone to the frontal, parietal, temporal, and occipital bones. Three-dimensional CT revealed multiple growing spiculate features on the inner and outer cranial surface. Even though the radiologic features resembled fibrous dysplasia, it was histologically found to be a type of meningioma.</p>\",\"PeriodicalId\":72453,\"journal\":{\"name\":\"Brain tumor research and treatment\",\"volume\":\"11 4\",\"pages\":\"271-273\"},\"PeriodicalIF\":0.0000,\"publicationDate\":\"2023-10-01\",\"publicationTypes\":\"Journal Article\",\"fieldsOfStudy\":null,\"isOpenAccess\":false,\"openAccessPdf\":\"https://www.ncbi.nlm.nih.gov/pmc/articles/PMC10641317/pdf/\",\"citationCount\":\"0\",\"resultStr\":null,\"platform\":\"Semanticscholar\",\"paperid\":null,\"PeriodicalName\":\"Brain tumor research and treatment\",\"FirstCategoryId\":\"1085\",\"ListUrlMain\":\"https://doi.org/10.14791/btrt.2023.0027\",\"RegionNum\":0,\"RegionCategory\":null,\"ArticlePicture\":[],\"TitleCN\":null,\"AbstractTextCN\":null,\"PMCID\":null,\"EPubDate\":\"\",\"PubModel\":\"\",\"JCR\":\"\",\"JCRName\":\"\",\"Score\":null,\"Total\":0}","platform":"Semanticscholar","paperid":null,"PeriodicalName":"Brain tumor research and treatment","FirstCategoryId":"1085","ListUrlMain":"https://doi.org/10.14791/btrt.2023.0027","RegionNum":0,"RegionCategory":null,"ArticlePicture":[],"TitleCN":null,"AbstractTextCN":null,"PMCID":null,"EPubDate":"","PubModel":"","JCR":"","JCRName":"","Score":null,"Total":0}
引用次数: 0

摘要

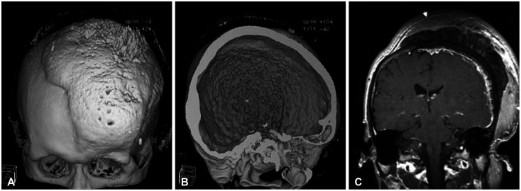
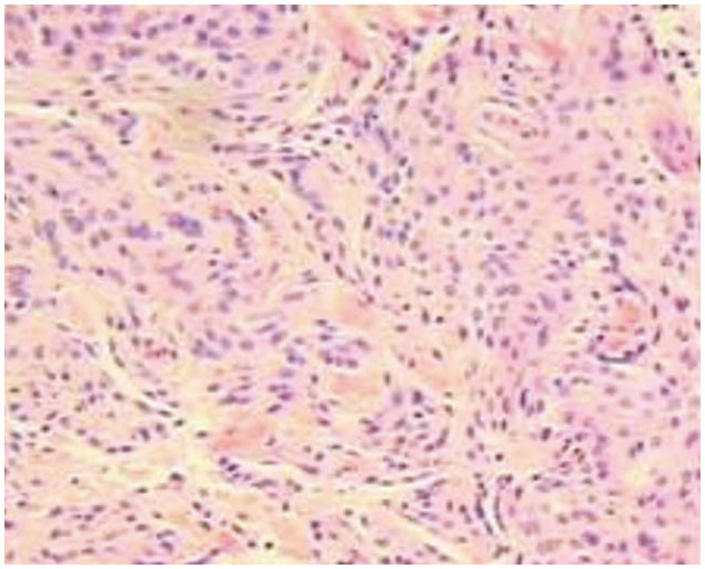
作者报告了一例极其罕见的斑块状大面积肥厚性脑膜瘤,其具有独特的骨生长特征。一名34岁的男性患者在8年的时间里,在左颅骨区域出现了一个可触及的实性肿块,该肿块逐渐变大,在颅骨上有一个宽的基底。放射学上,肿块累及的范围从蝶骨到额骨、顶骨、颞骨和枕骨。三维CT显示颅内外表面多发生长的针状特征。尽管放射学特征类似于纤维发育不良,但组织学上发现它是一种脑膜瘤。
本文章由计算机程序翻译,如有差异,请以英文原文为准。

Massive Hyperostotic Meningioma En Plaque Mimicking Fibrous Dysplasia.

Massive Hyperostotic Meningioma En Plaque Mimicking Fibrous Dysplasia.

Massive Hyperostotic Meningioma En Plaque Mimicking Fibrous Dysplasia.

The authors report an extremely rare case of a massive hyperostotic meningioma en plaque, which had characteristics of unique bony growth. A 34-year-old man presented with a palpable solid mass in the left cranial region that had gradually grown in size with a broad base on the calvarium for 8 years. Radiologically, the area involved by the mass ranged from the sphenoid bone to the frontal, parietal, temporal, and occipital bones. Three-dimensional CT revealed multiple growing spiculate features on the inner and outer cranial surface. Even though the radiologic features resembled fibrous dysplasia, it was histologically found to be a type of meningioma.

求助全文
通过发布文献求助,成功后即可免费获取论文全文。 去求助
来源期刊
自引率
0.00%
发文量
0
×
引用
GB/T 7714-2015
复制
MLA
复制
APA
复制
导出至
BibTeX EndNote RefMan NoteFirst NoteExpress
×
提示
您的信息不完整,为了账户安全,请先补充。
现在去补充
×
提示
您因"违规操作"
具体请查看互助需知
我知道了
×
提示
确定
请完成安全验证×
copy
已复制链接
快去分享给好友吧!
我知道了
右上角分享
点击右上角分享
0
联系我们:info@booksci.cn Book学术提供免费学术资源搜索服务,方便国内外学者检索中英文文献。致力于提供最便捷和优质的服务体验。 Copyright © 2023 布克学术 All rights reserved.
京ICP备2023020795号-1
ghs 京公网安备 11010802042870号
Book学术文献互助
Book学术文献互助群
群 号:604180095
Book学术官方微信