成人室管膜瘤广泛的脑膜扩散:1例报告及文献复习。

Joonseo Kang, Kwon Woo Lee, Yeongu Chung, Yusam Won, Je Beom Hong
{"title":"成人室管膜瘤广泛的脑膜扩散:1例报告及文献复习。","authors":"Joonseo Kang, Kwon Woo Lee, Yeongu Chung, Yusam Won, Je Beom Hong","doi":"10.14791/btrt.2023.0029","DOIUrl":null,"url":null,"abstract":"<p><p>Ependymoma is a rare adult tumor that originates from ependymal cells of the central nervous system, primarily occurring in the cerebral ventricles or the central canal of the spinal cord. In this paper, we report a case of extensive leptomeningeal seeding of ependymoma of a 39-year-old male patient, in whom the tumor was found incidentally after head trauma. The MRI exhibited diffuse leptomeningeal infiltrative lesions along with bilateral multiple cerebral sulci, basal cisterns, cerebellopontine angle, cerebellar folia. It also showed multinodular enhancing T1 low T2 high signal intensity lesions along the whole spinal cord. After the tumor biopsy at right temporal lesion, pathologic diagnosis was classic ependymoma (WHO grade 2). The patient has undergone radiation therapy and chemotherapy, and is currently maintaining a stable condition two years after surgery. This report suggests that when considering the differential diagnosis of extensive lesions both in the intracranial and intraspinal space, ependymoma should also be considered.</p>","PeriodicalId":72453,"journal":{"name":"Brain tumor research and treatment","volume":"11 4","pages":"274-280"},"PeriodicalIF":0.0000,"publicationDate":"2023-10-01","publicationTypes":"Journal Article","fieldsOfStudy":null,"isOpenAccess":false,"openAccessPdf":"https://www.ncbi.nlm.nih.gov/pmc/articles/PMC10641315/pdf/","citationCount":"0","resultStr":"{\"title\":\"Extensive Leptomeningeal Spreading of Ependymoma in an Adult: Case Report and Literature Review.\",\"authors\":\"Joonseo Kang, Kwon Woo Lee, Yeongu Chung, Yusam Won, Je Beom Hong\",\"doi\":\"10.14791/btrt.2023.0029\",\"DOIUrl\":null,\"url\":null,\"abstract\":\"<p><p>Ependymoma is a rare adult tumor that originates from ependymal cells of the central nervous system, primarily occurring in the cerebral ventricles or the central canal of the spinal cord. In this paper, we report a case of extensive leptomeningeal seeding of ependymoma of a 39-year-old male patient, in whom the tumor was found incidentally after head trauma. The MRI exhibited diffuse leptomeningeal infiltrative lesions along with bilateral multiple cerebral sulci, basal cisterns, cerebellopontine angle, cerebellar folia. It also showed multinodular enhancing T1 low T2 high signal intensity lesions along the whole spinal cord. After the tumor biopsy at right temporal lesion, pathologic diagnosis was classic ependymoma (WHO grade 2). The patient has undergone radiation therapy and chemotherapy, and is currently maintaining a stable condition two years after surgery. This report suggests that when considering the differential diagnosis of extensive lesions both in the intracranial and intraspinal space, ependymoma should also be considered.</p>\",\"PeriodicalId\":72453,\"journal\":{\"name\":\"Brain tumor research and treatment\",\"volume\":\"11 4\",\"pages\":\"274-280\"},\"PeriodicalIF\":0.0000,\"publicationDate\":\"2023-10-01\",\"publicationTypes\":\"Journal Article\",\"fieldsOfStudy\":null,\"isOpenAccess\":false,\"openAccessPdf\":\"https://www.ncbi.nlm.nih.gov/pmc/articles/PMC10641315/pdf/\",\"citationCount\":\"0\",\"resultStr\":null,\"platform\":\"Semanticscholar\",\"paperid\":null,\"PeriodicalName\":\"Brain tumor research and treatment\",\"FirstCategoryId\":\"1085\",\"ListUrlMain\":\"https://doi.org/10.14791/btrt.2023.0029\",\"RegionNum\":0,\"RegionCategory\":null,\"ArticlePicture\":[],\"TitleCN\":null,\"AbstractTextCN\":null,\"PMCID\":null,\"EPubDate\":\"\",\"PubModel\":\"\",\"JCR\":\"\",\"JCRName\":\"\",\"Score\":null,\"Total\":0}","platform":"Semanticscholar","paperid":null,"PeriodicalName":"Brain tumor research and treatment","FirstCategoryId":"1085","ListUrlMain":"https://doi.org/10.14791/btrt.2023.0029","RegionNum":0,"RegionCategory":null,"ArticlePicture":[],"TitleCN":null,"AbstractTextCN":null,"PMCID":null,"EPubDate":"","PubModel":"","JCR":"","JCRName":"","Score":null,"Total":0}
引用次数: 0

摘要

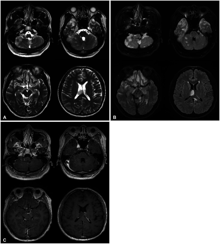
室管膜瘤是一种罕见的成人肿瘤,起源于中枢神经系统的室管膜细胞,主要发生在脑室或脊髓中央管。在这篇文章中,我们报告一个39岁的男性患者,在头部外伤后偶然发现了广泛的室管膜瘤。MRI表现为弥漫性脑脊膜浸润性病变,伴双侧多脑沟、基底池、桥小脑角、小脑叶。它还显示沿整个脊髓的多结节增强T1低T2高信号强度病变。右侧颞叶病变肿瘤活检后,病理诊断为典型室管膜瘤(WHO分级2级)。患者接受放疗和化疗,术后2年病情稳定。本报告提示,在考虑颅内和椎管间隙广泛病变的鉴别诊断时,也应考虑室管膜瘤。
本文章由计算机程序翻译,如有差异,请以英文原文为准。

Extensive Leptomeningeal Spreading of Ependymoma in an Adult: Case Report and Literature Review.

Extensive Leptomeningeal Spreading of Ependymoma in an Adult: Case Report and Literature Review.

Extensive Leptomeningeal Spreading of Ependymoma in an Adult: Case Report and Literature Review.

Extensive Leptomeningeal Spreading of Ependymoma in an Adult: Case Report and Literature Review.

Ependymoma is a rare adult tumor that originates from ependymal cells of the central nervous system, primarily occurring in the cerebral ventricles or the central canal of the spinal cord. In this paper, we report a case of extensive leptomeningeal seeding of ependymoma of a 39-year-old male patient, in whom the tumor was found incidentally after head trauma. The MRI exhibited diffuse leptomeningeal infiltrative lesions along with bilateral multiple cerebral sulci, basal cisterns, cerebellopontine angle, cerebellar folia. It also showed multinodular enhancing T1 low T2 high signal intensity lesions along the whole spinal cord. After the tumor biopsy at right temporal lesion, pathologic diagnosis was classic ependymoma (WHO grade 2). The patient has undergone radiation therapy and chemotherapy, and is currently maintaining a stable condition two years after surgery. This report suggests that when considering the differential diagnosis of extensive lesions both in the intracranial and intraspinal space, ependymoma should also be considered.

求助全文
通过发布文献求助,成功后即可免费获取论文全文。 去求助
来源期刊
自引率
0.00%
发文量
0
×
引用
GB/T 7714-2015
复制
MLA
复制
APA
复制
导出至
BibTeX EndNote RefMan NoteFirst NoteExpress
×
提示
您的信息不完整,为了账户安全,请先补充。
现在去补充
×
提示
您因"违规操作"
具体请查看互助需知
我知道了
×
提示
确定
请完成安全验证×
copy
已复制链接
快去分享给好友吧!
我知道了
右上角分享
点击右上角分享
0
联系我们:info@booksci.cn Book学术提供免费学术资源搜索服务,方便国内外学者检索中英文文献。致力于提供最便捷和优质的服务体验。 Copyright © 2023 布克学术 All rights reserved.
京ICP备2023020795号-1
ghs 京公网安备 11010802042870号
Book学术文献互助
Book学术文献互助群
群 号:604180095
Book学术官方微信