原发性肾脏透明血管卡斯特曼病:病例报告和文献综述。

Q3 Social Sciences
Yunzhu Li, Haixia Zhao, Bingyin Su, Chan Yang, Shurong Li, Wanlei Fu
{"title":"原发性肾脏透明血管卡斯特曼病:病例报告和文献综述。","authors":"Yunzhu Li, Haixia Zhao, Bingyin Su, Chan Yang, Shurong Li, Wanlei Fu","doi":"10.1186/s13000-019-0870-9","DOIUrl":null,"url":null,"abstract":"<p><strong>Background: </strong>Castleman's disease (CD) is an uncommon type of benign proliferation of the lymphoid tissue, characterized by local or systemic lymphadenopathy that most frequently appears in the mediastinum; involvement of the kidney is uncommon, and proliferation originating from the kidney is extremely rare. Herein, we report a rare case of hyaline vascular Castleman's disease (HV-CD) in a 56-year-old male patient and discuss its morphological characteristics and differential diagnoses including mantle cell lymphoma (MCL), follicular lymphoma (FL), and nodal marginal zone lymphoma (NMZL).</p><p><strong>Case presentation: </strong>A right upper-middle renal mass was detected after physical examination in a 56-year-old man without any clinical symptoms and a previous partial resection of the right kidney. Microscopically, the lymphoid follicles were increased in number and had expanded mantle zones and atrophic germinal centers. Vascular proliferation and hyalinization in the interfollicular zones were observed. Immunohistochemical staining showed CD20-positive cells in the mantle zones; CD21 and CD35 were expressed in the dendritic cells, CD3 was positive in a small number of T cells, and CD38 and CD138 were positive in the plasma cells. Additionally, Ki-67 expression was positive in the follicle centers. In contrast, staining for Bcl-2 in the germinal centers and cyclin D1 were negative. The immunohistochemical analysis combined with the morphological results supported the diagnosis of HV-CD. The patient recovered well after surgery.</p><p><strong>Conclusions: </strong>Primarily renal HV-CD without lymph node hyperplasia or clinical symptoms is extraordinarily rare and different from the multicentric-type CD (MCD) with kidney involvement. Therefore, it is extremely important to improve the awareness of this diagnosis. Attention should be paid to the difference between HV-CD and common lymph node reactive hyperplasia, MCL, FL, NMZL, and so on. To avoid misdiagnosis as a renal malignant tumor requiring radical resection, distinguishing these diseases is crucial.</p>","PeriodicalId":39340,"journal":{"name":"NASSP Bulletin","volume":"89 1","pages":"94"},"PeriodicalIF":0.0000,"publicationDate":"2019-08-22","publicationTypes":"Journal Article","fieldsOfStudy":null,"isOpenAccess":false,"openAccessPdf":"https://www.ncbi.nlm.nih.gov/pmc/articles/PMC6706926/pdf/","citationCount":"0","resultStr":"{\"title\":\"Primary hyaline vascular Castleman disease of the kidney: case report and literature review.\",\"authors\":\"Yunzhu Li, Haixia Zhao, Bingyin Su, Chan Yang, Shurong Li, Wanlei Fu\",\"doi\":\"10.1186/s13000-019-0870-9\",\"DOIUrl\":null,\"url\":null,\"abstract\":\"<p><strong>Background: </strong>Castleman's disease (CD) is an uncommon type of benign proliferation of the lymphoid tissue, characterized by local or systemic lymphadenopathy that most frequently appears in the mediastinum; involvement of the kidney is uncommon, and proliferation originating from the kidney is extremely rare. Herein, we report a rare case of hyaline vascular Castleman's disease (HV-CD) in a 56-year-old male patient and discuss its morphological characteristics and differential diagnoses including mantle cell lymphoma (MCL), follicular lymphoma (FL), and nodal marginal zone lymphoma (NMZL).</p><p><strong>Case presentation: </strong>A right upper-middle renal mass was detected after physical examination in a 56-year-old man without any clinical symptoms and a previous partial resection of the right kidney. Microscopically, the lymphoid follicles were increased in number and had expanded mantle zones and atrophic germinal centers. Vascular proliferation and hyalinization in the interfollicular zones were observed. Immunohistochemical staining showed CD20-positive cells in the mantle zones; CD21 and CD35 were expressed in the dendritic cells, CD3 was positive in a small number of T cells, and CD38 and CD138 were positive in the plasma cells. Additionally, Ki-67 expression was positive in the follicle centers. In contrast, staining for Bcl-2 in the germinal centers and cyclin D1 were negative. The immunohistochemical analysis combined with the morphological results supported the diagnosis of HV-CD. The patient recovered well after surgery.</p><p><strong>Conclusions: </strong>Primarily renal HV-CD without lymph node hyperplasia or clinical symptoms is extraordinarily rare and different from the multicentric-type CD (MCD) with kidney involvement. Therefore, it is extremely important to improve the awareness of this diagnosis. Attention should be paid to the difference between HV-CD and common lymph node reactive hyperplasia, MCL, FL, NMZL, and so on. To avoid misdiagnosis as a renal malignant tumor requiring radical resection, distinguishing these diseases is crucial.</p>\",\"PeriodicalId\":39340,\"journal\":{\"name\":\"NASSP Bulletin\",\"volume\":\"89 1\",\"pages\":\"94\"},\"PeriodicalIF\":0.0000,\"publicationDate\":\"2019-08-22\",\"publicationTypes\":\"Journal Article\",\"fieldsOfStudy\":null,\"isOpenAccess\":false,\"openAccessPdf\":\"https://www.ncbi.nlm.nih.gov/pmc/articles/PMC6706926/pdf/\",\"citationCount\":\"0\",\"resultStr\":null,\"platform\":\"Semanticscholar\",\"paperid\":null,\"PeriodicalName\":\"NASSP Bulletin\",\"FirstCategoryId\":\"3\",\"ListUrlMain\":\"https://doi.org/10.1186/s13000-019-0870-9\",\"RegionNum\":0,\"RegionCategory\":null,\"ArticlePicture\":[],\"TitleCN\":null,\"AbstractTextCN\":null,\"PMCID\":null,\"EPubDate\":\"\",\"PubModel\":\"\",\"JCR\":\"Q3\",\"JCRName\":\"Social Sciences\",\"Score\":null,\"Total\":0}","platform":"Semanticscholar","paperid":null,"PeriodicalName":"NASSP Bulletin","FirstCategoryId":"3","ListUrlMain":"https://doi.org/10.1186/s13000-019-0870-9","RegionNum":0,"RegionCategory":null,"ArticlePicture":[],"TitleCN":null,"AbstractTextCN":null,"PMCID":null,"EPubDate":"","PubModel":"","JCR":"Q3","JCRName":"Social Sciences","Score":null,"Total":0}
引用次数: 0

摘要

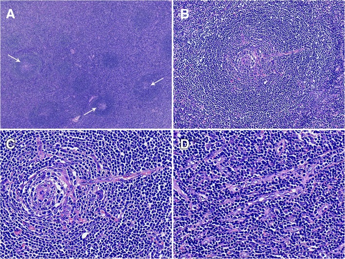
背景:卡斯特曼病(CD)是一种不常见的淋巴组织良性增生类型,以局部或全身淋巴结病变为特征,最常出现在纵隔;累及肾脏的情况并不常见,源于肾脏的增生也极为罕见。在此,我们报告了一例罕见的透明血管卡斯特曼病(HV-CD)病例,患者为一名56岁的男性,并讨论了该病的形态学特征和鉴别诊断,包括套细胞淋巴瘤(MCL)、滤泡淋巴瘤(FL)和结节边缘区淋巴瘤(NMZL):一名 56 岁的男性在体检后发现右肾中上部肿块,无任何临床症状,曾做过右肾部分切除术。显微镜下,淋巴滤泡数量增多,套叠区扩大,生发中心萎缩。淋巴滤泡间区可见血管增生和透明化。免疫组化染色显示,套膜区的细胞呈 CD20 阳性;树突状细胞表达 CD21 和 CD35,少量 T 细胞呈 CD3 阳性,浆细胞呈 CD38 和 CD138 阳性。此外,Ki-67 在卵泡中心呈阳性表达。相比之下,生殖中心的 Bcl-2 染色和细胞周期蛋白 D1 均为阴性。免疫组化分析结合形态学结果支持 HV-CD 的诊断。患者术后恢复良好:无淋巴结增生或临床症状的原发性肾型HV-CD极为罕见,有别于累及肾脏的多中心型CD(MCD)。因此,提高对这一诊断的认识极为重要。应注意 HV-CD 与普通淋巴结反应性增生、MCL、FL、NMZL 等的区别。为避免误诊为需要根治性切除的肾脏恶性肿瘤,区分这些疾病至关重要。
本文章由计算机程序翻译,如有差异,请以英文原文为准。

Primary hyaline vascular Castleman disease of the kidney: case report and literature review.

Primary hyaline vascular Castleman disease of the kidney: case report and literature review.

Primary hyaline vascular Castleman disease of the kidney: case report and literature review.

Primary hyaline vascular Castleman disease of the kidney: case report and literature review.

Background: Castleman's disease (CD) is an uncommon type of benign proliferation of the lymphoid tissue, characterized by local or systemic lymphadenopathy that most frequently appears in the mediastinum; involvement of the kidney is uncommon, and proliferation originating from the kidney is extremely rare. Herein, we report a rare case of hyaline vascular Castleman's disease (HV-CD) in a 56-year-old male patient and discuss its morphological characteristics and differential diagnoses including mantle cell lymphoma (MCL), follicular lymphoma (FL), and nodal marginal zone lymphoma (NMZL).

Case presentation: A right upper-middle renal mass was detected after physical examination in a 56-year-old man without any clinical symptoms and a previous partial resection of the right kidney. Microscopically, the lymphoid follicles were increased in number and had expanded mantle zones and atrophic germinal centers. Vascular proliferation and hyalinization in the interfollicular zones were observed. Immunohistochemical staining showed CD20-positive cells in the mantle zones; CD21 and CD35 were expressed in the dendritic cells, CD3 was positive in a small number of T cells, and CD38 and CD138 were positive in the plasma cells. Additionally, Ki-67 expression was positive in the follicle centers. In contrast, staining for Bcl-2 in the germinal centers and cyclin D1 were negative. The immunohistochemical analysis combined with the morphological results supported the diagnosis of HV-CD. The patient recovered well after surgery.

Conclusions: Primarily renal HV-CD without lymph node hyperplasia or clinical symptoms is extraordinarily rare and different from the multicentric-type CD (MCD) with kidney involvement. Therefore, it is extremely important to improve the awareness of this diagnosis. Attention should be paid to the difference between HV-CD and common lymph node reactive hyperplasia, MCL, FL, NMZL, and so on. To avoid misdiagnosis as a renal malignant tumor requiring radical resection, distinguishing these diseases is crucial.

求助全文
通过发布文献求助,成功后即可免费获取论文全文。 去求助
来源期刊
NASSP Bulletin
NASSP Bulletin Social Sciences-Education
CiteScore
1.40
自引率
0.00%
发文量
14
×
引用
GB/T 7714-2015
复制
MLA
复制
APA
复制
导出至
BibTeX EndNote RefMan NoteFirst NoteExpress
×
提示
您的信息不完整,为了账户安全,请先补充。
现在去补充
×
提示
您因"违规操作"
具体请查看互助需知
我知道了
×
提示
确定
请完成安全验证×
copy
已复制链接
快去分享给好友吧!
我知道了
右上角分享
点击右上角分享
0
联系我们:info@booksci.cn Book学术提供免费学术资源搜索服务,方便国内外学者检索中英文文献。致力于提供最便捷和优质的服务体验。 Copyright © 2023 布克学术 All rights reserved.
京ICP备2023020795号-1
ghs 京公网安备 11010802042870号
Book学术文献互助
Book学术文献互助群
群 号:604180095
Book学术官方微信