化脓性链球菌的进化最大限度地提高了细胞壁转肽酶 A 裂解结构的效率。

IF 1.9 Q3 BUSINESS, FINANCE
Bradley M Readnour, Yetunde A Ayinuola, Brady T Russo, Zhong Liang, Shaun W Lee, Victoria A Ploplis, Vincent A Fischetti, Francis J Castellino
{"title":"化脓性链球菌的进化最大限度地提高了细胞壁转肽酶 A 裂解结构的效率。","authors":"Bradley M Readnour, Yetunde A Ayinuola, Brady T Russo, Zhong Liang, Shaun W Lee, Victoria A Ploplis, Vincent A Fischetti, Francis J Castellino","doi":"10.1016/j.jbc.2022.101940","DOIUrl":null,"url":null,"abstract":"<p><p>Trafficking of M-protein (Mprt) from the cytosol of Group A Streptococcus pyogenes (GAS) occurs via Sec translocase membrane channels that associate with Sortase A (SrtA), an enzyme that catalyzes cleavage of Mprt at the proximal C-terminal [-LPST<sup>355∗</sup>GEAA-] motif and subsequent transpeptidation of the Mprt-containing product to the cell wall (CW). These steps facilitate stable exposure of the N-terminus of Mprt to the extracellular milieu where it interacts with ligands. Previously, we found that inactivation of SrtA in GAS cells eliminated Mprt CW transpeptidation but effected little reduction in its cell surface exposure, indicating that the C-terminus of Mprt retained in the cytoplasmic membrane (CM) extends its N-terminus to the cell surface. Herein, we assessed the effects of mutating the Thr<sup>355</sup> residue in the WT SrtA consensus sequence (LPST<sup>355∗</sup>GEAA-) in a specific Mprt, PAM. In vitro, we found that synthetic peptides with mutations (LPSX<sup>355</sup>GEAA) in the SrtA cleavage site displayed slower cleavage activities with rSrtA than the WT peptide. Aromatic residues at X had the lowest activities. Nonetheless, PAM/[Y<sup>355</sup>G] still transpeptidated the CW in vivo. However, when using isolated CMs from srtA-inactivated GAS cells, rapid cleavage of PAM/[LPSY<sup>355</sup>GEAA] occurred at E<sup>357∗</sup> but transpeptidation did not take place. These results show that another CM-resident enzyme nonproductively cleaved PAM/[LPSYGE<sup>357∗</sup>AA]. However, SrtA associated with the translocon channel in vivo cleaved and transpeptidated PAM/[LPSX<sup>355</sup><sup>∗</sup>GEAA] variants. These CM features allow diverse cleavage site variants to covalently attach to the CW despite the presence of other potent nonproductive CM proteases.</p>","PeriodicalId":45720,"journal":{"name":"Journal of Financial Management of Property and Construction","volume":"19 1","pages":"101940"},"PeriodicalIF":1.9000,"publicationDate":"2022-06-01","publicationTypes":"Journal Article","fieldsOfStudy":null,"isOpenAccess":false,"openAccessPdf":"https://www.ncbi.nlm.nih.gov/pmc/articles/PMC9123276/pdf/","citationCount":"0","resultStr":"{\"title\":\"Evolution of Streptococcus pyogenes has maximized the efficiency of the Sortase A cleavage motif for cell wall transpeptidation.\",\"authors\":\"Bradley M Readnour, Yetunde A Ayinuola, Brady T Russo, Zhong Liang, Shaun W Lee, Victoria A Ploplis, Vincent A Fischetti, Francis J Castellino\",\"doi\":\"10.1016/j.jbc.2022.101940\",\"DOIUrl\":null,\"url\":null,\"abstract\":\"<p><p>Trafficking of M-protein (Mprt) from the cytosol of Group A Streptococcus pyogenes (GAS) occurs via Sec translocase membrane channels that associate with Sortase A (SrtA), an enzyme that catalyzes cleavage of Mprt at the proximal C-terminal [-LPST<sup>355∗</sup>GEAA-] motif and subsequent transpeptidation of the Mprt-containing product to the cell wall (CW). These steps facilitate stable exposure of the N-terminus of Mprt to the extracellular milieu where it interacts with ligands. Previously, we found that inactivation of SrtA in GAS cells eliminated Mprt CW transpeptidation but effected little reduction in its cell surface exposure, indicating that the C-terminus of Mprt retained in the cytoplasmic membrane (CM) extends its N-terminus to the cell surface. Herein, we assessed the effects of mutating the Thr<sup>355</sup> residue in the WT SrtA consensus sequence (LPST<sup>355∗</sup>GEAA-) in a specific Mprt, PAM. In vitro, we found that synthetic peptides with mutations (LPSX<sup>355</sup>GEAA) in the SrtA cleavage site displayed slower cleavage activities with rSrtA than the WT peptide. Aromatic residues at X had the lowest activities. Nonetheless, PAM/[Y<sup>355</sup>G] still transpeptidated the CW in vivo. However, when using isolated CMs from srtA-inactivated GAS cells, rapid cleavage of PAM/[LPSY<sup>355</sup>GEAA] occurred at E<sup>357∗</sup> but transpeptidation did not take place. These results show that another CM-resident enzyme nonproductively cleaved PAM/[LPSYGE<sup>357∗</sup>AA]. However, SrtA associated with the translocon channel in vivo cleaved and transpeptidated PAM/[LPSX<sup>355</sup><sup>∗</sup>GEAA] variants. These CM features allow diverse cleavage site variants to covalently attach to the CW despite the presence of other potent nonproductive CM proteases.</p>\",\"PeriodicalId\":45720,\"journal\":{\"name\":\"Journal of Financial Management of Property and Construction\",\"volume\":\"19 1\",\"pages\":\"101940\"},\"PeriodicalIF\":1.9000,\"publicationDate\":\"2022-06-01\",\"publicationTypes\":\"Journal Article\",\"fieldsOfStudy\":null,\"isOpenAccess\":false,\"openAccessPdf\":\"https://www.ncbi.nlm.nih.gov/pmc/articles/PMC9123276/pdf/\",\"citationCount\":\"0\",\"resultStr\":null,\"platform\":\"Semanticscholar\",\"paperid\":null,\"PeriodicalName\":\"Journal of Financial Management of Property and Construction\",\"FirstCategoryId\":\"1085\",\"ListUrlMain\":\"https://doi.org/10.1016/j.jbc.2022.101940\",\"RegionNum\":0,\"RegionCategory\":null,\"ArticlePicture\":[],\"TitleCN\":null,\"AbstractTextCN\":null,\"PMCID\":null,\"EPubDate\":\"2022/4/14 0:00:00\",\"PubModel\":\"Epub\",\"JCR\":\"Q3\",\"JCRName\":\"BUSINESS, FINANCE\",\"Score\":null,\"Total\":0}","platform":"Semanticscholar","paperid":null,"PeriodicalName":"Journal of Financial Management of Property and Construction","FirstCategoryId":"1085","ListUrlMain":"https://doi.org/10.1016/j.jbc.2022.101940","RegionNum":0,"RegionCategory":null,"ArticlePicture":[],"TitleCN":null,"AbstractTextCN":null,"PMCID":null,"EPubDate":"2022/4/14 0:00:00","PubModel":"Epub","JCR":"Q3","JCRName":"BUSINESS, FINANCE","Score":null,"Total":0}
引用次数: 0

摘要

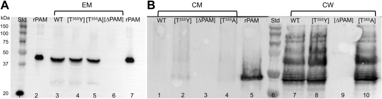
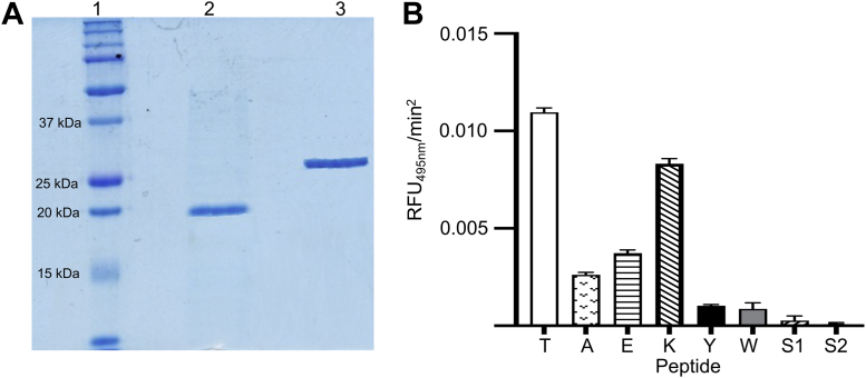
A 组化脓性链球菌(GAS)的 M 蛋白(Mprt)通过 Sec 易位酶膜通道与 Sortase A(SrtA)结合,Sortase A 是一种催化 Mprt 在近端 C 端 [-LPST355∗GEAA-] 矩阵处裂解并随后将含 Mprt 的产物转肽至细胞壁(CW)的酶。这些步骤有助于 Mprt 的 N 端稳定地暴露在细胞外环境中,与配体相互作用。此前,我们发现 GAS 细胞中的 SrtA 失活消除了 Mprt 的 CW 转肽作用,但几乎没有减少其在细胞表面的暴露,这表明保留在细胞质膜(CM)中的 Mprt 的 C 端将其 N 端延伸到了细胞表面。在此,我们评估了突变 WT SrtA 共识序列(LPST355∗GEAA-)中 Thr355 残基对特定 Mprt PAM 的影响。在体外,我们发现在 SrtA 裂解位点发生突变(LPSX355GEAA)的合成肽在 rSrtA 中的裂解活性比 WT 肽慢。位于 X 的芳香残基的活性最低。尽管如此,PAM/[Y355G] 仍能在体内转肽 CW。然而,当使用从 srtA 失活的 GAS 细胞中分离出的 CM 时,PAM/[LPSY355GEAA] 在 E357∗ 处发生快速裂解,但没有发生转肽作用。这些结果表明,另一种驻留在 CM 的酶非生产性地裂解了 PAM/[LPSYGE357∗AA]。然而,体内与转座子通道相关的 SrtA 可裂解和转肽 PAM/[LPSX355∗GEAA]变体。尽管存在其他强效的非生产性 CM 蛋白酶,但这些 CM 特征允许不同的裂解位点变体共价连接到 CW 上。
本文章由计算机程序翻译,如有差异,请以英文原文为准。

Evolution of Streptococcus pyogenes has maximized the efficiency of the Sortase A cleavage motif for cell wall transpeptidation.

Evolution of Streptococcus pyogenes has maximized the efficiency of the Sortase A cleavage motif for cell wall transpeptidation.

Evolution of Streptococcus pyogenes has maximized the efficiency of the Sortase A cleavage motif for cell wall transpeptidation.

Evolution of Streptococcus pyogenes has maximized the efficiency of the Sortase A cleavage motif for cell wall transpeptidation.

Trafficking of M-protein (Mprt) from the cytosol of Group A Streptococcus pyogenes (GAS) occurs via Sec translocase membrane channels that associate with Sortase A (SrtA), an enzyme that catalyzes cleavage of Mprt at the proximal C-terminal [-LPST355∗GEAA-] motif and subsequent transpeptidation of the Mprt-containing product to the cell wall (CW). These steps facilitate stable exposure of the N-terminus of Mprt to the extracellular milieu where it interacts with ligands. Previously, we found that inactivation of SrtA in GAS cells eliminated Mprt CW transpeptidation but effected little reduction in its cell surface exposure, indicating that the C-terminus of Mprt retained in the cytoplasmic membrane (CM) extends its N-terminus to the cell surface. Herein, we assessed the effects of mutating the Thr355 residue in the WT SrtA consensus sequence (LPST355∗GEAA-) in a specific Mprt, PAM. In vitro, we found that synthetic peptides with mutations (LPSX355GEAA) in the SrtA cleavage site displayed slower cleavage activities with rSrtA than the WT peptide. Aromatic residues at X had the lowest activities. Nonetheless, PAM/[Y355G] still transpeptidated the CW in vivo. However, when using isolated CMs from srtA-inactivated GAS cells, rapid cleavage of PAM/[LPSY355GEAA] occurred at E357∗ but transpeptidation did not take place. These results show that another CM-resident enzyme nonproductively cleaved PAM/[LPSYGE357∗AA]. However, SrtA associated with the translocon channel in vivo cleaved and transpeptidated PAM/[LPSX355GEAA] variants. These CM features allow diverse cleavage site variants to covalently attach to the CW despite the presence of other potent nonproductive CM proteases.

求助全文
通过发布文献求助,成功后即可免费获取论文全文。 去求助
来源期刊
CiteScore
3.70
自引率
0.00%
发文量
17
×
引用
GB/T 7714-2015
复制
MLA
复制
APA
复制
导出至
BibTeX EndNote RefMan NoteFirst NoteExpress
×
提示
您的信息不完整,为了账户安全,请先补充。
现在去补充
×
提示
您因"违规操作"
具体请查看互助需知
我知道了
×
提示
确定
请完成安全验证×
copy
已复制链接
快去分享给好友吧!
我知道了
右上角分享
点击右上角分享
0
联系我们:info@booksci.cn Book学术提供免费学术资源搜索服务,方便国内外学者检索中英文文献。致力于提供最便捷和优质的服务体验。 Copyright © 2023 布克学术 All rights reserved.
京ICP备2023020795号-1
ghs 京公网安备 11010802042870号
Book学术文献互助
Book学术文献互助群
群 号:604180095
Book学术官方微信