上颌侧切牙 Talon 尖突与 Dens Invaginatus 共生:病例报告及文献综述。

IF 2.6 2区 文学 Q1 EDUCATION & EDUCATIONAL RESEARCH
Elt Journal Pub Date : 2022-02-22 eCollection Date: 2022-01-01 DOI:10.1155/2022/9165574
Snehashish Ghosh, Safal Dhungel, Bhawana Subedi, Subi Pradhan
{"title":"上颌侧切牙 Talon 尖突与 Dens Invaginatus 共生:病例报告及文献综述。","authors":"Snehashish Ghosh, Safal Dhungel, Bhawana Subedi, Subi Pradhan","doi":"10.1155/2022/9165574","DOIUrl":null,"url":null,"abstract":"<p><p>Morphogenic developmental anomalies are common in maxillary lateral incisors, but simultaneous occurrence of two developmental anomalies in a single tooth is relatively uncommon. In this case report, we present a case of cooccurrence of the talon's cusp with dens invaginatus in the left lateral incisor tooth. Early diagnosis and prompt treatment of such cases are important to prevent any untoward consequences.</p>","PeriodicalId":47776,"journal":{"name":"Elt Journal","volume":"1 1","pages":"9165574"},"PeriodicalIF":2.6000,"publicationDate":"2022-02-22","publicationTypes":"Journal Article","fieldsOfStudy":null,"isOpenAccess":false,"openAccessPdf":"https://www.ncbi.nlm.nih.gov/pmc/articles/PMC8888113/pdf/","citationCount":"0","resultStr":"{\"title\":\"Cooccurrence of Talon's Cusp with Dens Invaginatus in the Maxillary Lateral Incisor: A Case Report with Review of Literature.\",\"authors\":\"Snehashish Ghosh, Safal Dhungel, Bhawana Subedi, Subi Pradhan\",\"doi\":\"10.1155/2022/9165574\",\"DOIUrl\":null,\"url\":null,\"abstract\":\"<p><p>Morphogenic developmental anomalies are common in maxillary lateral incisors, but simultaneous occurrence of two developmental anomalies in a single tooth is relatively uncommon. In this case report, we present a case of cooccurrence of the talon's cusp with dens invaginatus in the left lateral incisor tooth. Early diagnosis and prompt treatment of such cases are important to prevent any untoward consequences.</p>\",\"PeriodicalId\":47776,\"journal\":{\"name\":\"Elt Journal\",\"volume\":\"1 1\",\"pages\":\"9165574\"},\"PeriodicalIF\":2.6000,\"publicationDate\":\"2022-02-22\",\"publicationTypes\":\"Journal Article\",\"fieldsOfStudy\":null,\"isOpenAccess\":false,\"openAccessPdf\":\"https://www.ncbi.nlm.nih.gov/pmc/articles/PMC8888113/pdf/\",\"citationCount\":\"0\",\"resultStr\":null,\"platform\":\"Semanticscholar\",\"paperid\":null,\"PeriodicalName\":\"Elt Journal\",\"FirstCategoryId\":\"1085\",\"ListUrlMain\":\"https://doi.org/10.1155/2022/9165574\",\"RegionNum\":2,\"RegionCategory\":\"文学\",\"ArticlePicture\":[],\"TitleCN\":null,\"AbstractTextCN\":null,\"PMCID\":null,\"EPubDate\":\"2022/1/1 0:00:00\",\"PubModel\":\"eCollection\",\"JCR\":\"Q1\",\"JCRName\":\"EDUCATION & EDUCATIONAL RESEARCH\",\"Score\":null,\"Total\":0}","platform":"Semanticscholar","paperid":null,"PeriodicalName":"Elt Journal","FirstCategoryId":"1085","ListUrlMain":"https://doi.org/10.1155/2022/9165574","RegionNum":2,"RegionCategory":"文学","ArticlePicture":[],"TitleCN":null,"AbstractTextCN":null,"PMCID":null,"EPubDate":"2022/1/1 0:00:00","PubModel":"eCollection","JCR":"Q1","JCRName":"EDUCATION & EDUCATIONAL RESEARCH","Score":null,"Total":0}
引用次数: 0

摘要

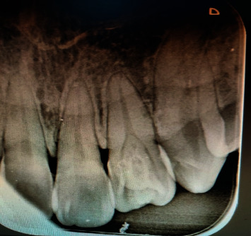
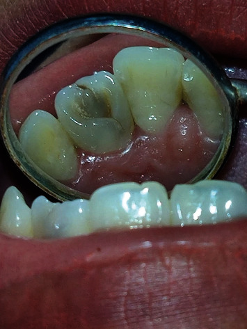
形态发育异常在上颌侧切牙中很常见,但在一颗牙齿中同时出现两种发育异常的情况却相对少见。在本病例报告中,我们介绍了一例在左侧切牙中同时出现爪状尖牙和内陷牙的病例。此类病例的早期诊断和及时治疗对于防止任何不良后果的发生非常重要。
本文章由计算机程序翻译,如有差异,请以英文原文为准。

Cooccurrence of Talon's Cusp with Dens Invaginatus in the Maxillary Lateral Incisor: A Case Report with Review of Literature.

Cooccurrence of Talon's Cusp with Dens Invaginatus in the Maxillary Lateral Incisor: A Case Report with Review of Literature.

Cooccurrence of Talon's Cusp with Dens Invaginatus in the Maxillary Lateral Incisor: A Case Report with Review of Literature.

Cooccurrence of Talon's Cusp with Dens Invaginatus in the Maxillary Lateral Incisor: A Case Report with Review of Literature.

Morphogenic developmental anomalies are common in maxillary lateral incisors, but simultaneous occurrence of two developmental anomalies in a single tooth is relatively uncommon. In this case report, we present a case of cooccurrence of the talon's cusp with dens invaginatus in the left lateral incisor tooth. Early diagnosis and prompt treatment of such cases are important to prevent any untoward consequences.

求助全文
通过发布文献求助,成功后即可免费获取论文全文。 去求助
来源期刊
Elt Journal
Elt Journal Multiple-
CiteScore
4.80
自引率
8.00%
发文量
50
期刊介绍: ELT Journal is a quarterly publication for all those involved in the field of teaching English as a second or foreign language. The journal links the everyday concerns of practitioners with insights gained from related academic disciplines such as applied linguistics, education, psychology, and sociology. ELT Journal provides a medium for informed discussion of the principles and practice which determine the ways in which the English language is taught and learnt around the world. It is also a forum for the exchange of information among members of the profession worldwide.
×
引用
GB/T 7714-2015
复制
MLA
复制
APA
复制
导出至
BibTeX EndNote RefMan NoteFirst NoteExpress
×
提示
您的信息不完整,为了账户安全,请先补充。
现在去补充
×
提示
您因"违规操作"
具体请查看互助需知
我知道了
×
提示
确定
请完成安全验证×
copy
已复制链接
快去分享给好友吧!
我知道了
右上角分享
点击右上角分享
0
联系我们:info@booksci.cn Book学术提供免费学术资源搜索服务,方便国内外学者检索中英文文献。致力于提供最便捷和优质的服务体验。 Copyright © 2023 布克学术 All rights reserved.
京ICP备2023020795号-1
ghs 京公网安备 11010802042870号
Book学术文献互助
Book学术文献互助群
群 号:604180095
Book学术官方微信